మీ గుండె వయసెంత... మీ అసలు వయసు కన్నా ఎక్కువా?

ఫొటో సోర్స్, GETTY CREATIVE
- రచయిత, పల్లబ్ ఘోష్
- హోదా, బీబీసీ న్యూస్
మద్యపానం, ధూమపానం, అనారోగ్యకర ఆహారపు అలవాట్లు, వ్యాయామం చేయకపోవడంతో మీ గుండె వయసు ఎలా పెరిగిపోతోందో కొత్త ఆర్టిఫిషియల్ ఇంటెలిజెన్స్ (ఏఐ) టూల్ చెబుతోంది.
గుండెను మళ్లీ సాధారణ స్థితికి తీసుకురావడం, హృద్రోగాల ముప్పును తగ్గించడమే లక్ష్యంగా దీన్ని అభివృద్ధి చేశారు.
లండన్ ఇన్స్టిట్యూట్ ఆఫ్ మెడికల్ సైన్స్ (ఎల్ఎంఎస్)లోని మెడికల్ రీసెర్చ్ కౌన్సిల్ (ఎంఆర్సీ) ప్రొఫెసర్ డీక్లాన్ ఆరేగాన్ నేతృత్వంలో నిపుణుల బృందం దీన్ని అభివృద్ధి చేశారు.
నా గుండె ఎలా పనిచేస్తోందో దీని సాయంతో వారు పరిశీలించారు.
‘‘మనం ఎదుటివారి ముఖం చూసినప్పుడు అతడి వయసు ఎంతో మనం ఒక అంచనాకు వస్తుంటాం. మన అవయవాల వయసు కూడా అంతే’’ అని ప్రొఫెసర్ ఆరేగాన్ నాతో అన్నారు.
‘‘కొందరి గుండె వయసు వారి వయసు కంటే తక్కువగా ఉంటుంది. అయితే, మరికొంత మంది గుండెకు చాలా వేగంగా వయసు పైబడుతుంది. ఇలాంటి వారికి వ్యాధుల ముప్పు ఎక్కువగా ఉంటుంది. ఇలా జరగడం వెనకున్న కారణాలను మేం తెలుసుకోవాలని భావించాం’’ అని ఆయన చెప్పారు.

ఫొటో సోర్స్, BBC NEWS
నేను మరీ అంత అనారోగ్యకర ఆహారపు అలవాట్లను అనుసరించడం లేదని ప్రొఫెసర్ ఆరేగాన్కు చెప్పాను. కానీ, నా ఆహారపు అలవాట్లను ఇంకా మెరుగుపరచుకోవచ్చు. బరువును కూడా నేను కాస్త తగ్గించుకోవాలి. వ్యాయామం కూడా చేయాలి.
అయితే, నా చిన్నప్పుడు నెయ్యిని ఎక్కువగా తీసుకునేవాణ్ని. రుచికరమైన కూరలు, అన్నం, రోటీలను మరింత రుచిరకంగా మార్చేందుకు మా ఇంట్లో దీన్ని కలిపేవారు.
అయితే, దీని వల్ల మా కుటుంబంలో చాలామందికి కొలెస్ట్రాల్ స్థాయిలు పెరగడంతోపాటు అధిక రక్తపోటు, మధుమేహం లాంటి సమస్యలు కూడా వచ్చాయి.
నేను దక్షిణాసియావాసిని. ఇక్కడ వారికి హృద్రోగాల ముప్పు కాస్త ఎక్కువగా ఉంటుంది. కాబట్టి కొత్త పరీక్షలో మరీ అంత ఆశాజనక ఫలితాలను ఏమీ ఆశించడం లేదు.
కానీ, ఎందుకైనా మంచిది. ఒకసారి ఈ టెస్టులో నా గుండె ఆరోగ్యం పరీక్షించుకోవాలని అనుకున్నాను.

ఫొటో సోర్స్, BBC NEWS
గుండె ఆరోగ్యాన్ని పరీక్షించుకునేందుకు చాలా మార్గాలు ఉన్నాయి. స్కాన్లు, ఎలక్ట్రోకార్డియోగ్రామ్స్(ఈసీజీ), రక్తపోటు పరీక్షలు లాంటి వీటిలో ఉంటాయి. వీటి సాయంతో ప్రస్తుతం మన గుండె ఎలా పనిచేస్తోందో తెలుసుకోవచ్చు. అయితే, ఇవి ఏ రోజుకు ఆ రోజు, ఏ నెలకు ఆ నెల మారిపోతూ ఉంటాయి.
అయితే, తాజా ఏఐ టూల్తో మద్యపానం, ధూమపానం, అనారోగ్యకర ఆహారపు అలవాట్లు, వ్యాయామం లేమి లాంటి కారణాలతో దీర్ఘకాలంలో మన గుండెపై ఎలాంటి ప్రభావం పడుతుందో తెలుసుకోవచ్చని ప్రొఫెసర్ ఆరేగాన్ నాతో చెప్పారు.
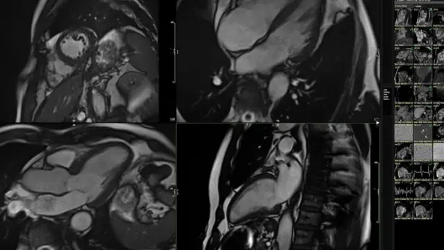
దీని కోసం వ్యాయామం తర్వాత నా గుండెకు మ్యాగ్నెటిక్ రీసొనెన్స్ ఇమేజింగ్ (ఎంఆర్ఐ) స్కాన్ను చేయించాల్సి ఉంటుంది.
గుండె వయసు పైబడటానికి సంబంధించిన సంకేతాలు చాలా సూక్ష్మంగా ఉంటాయి. నిపుణులు కూడా వీటిని కనిపెట్టడం చాలా కష్టం. కానీ, ఏఐ టూల్ మాత్రం మెరుగ్గా గుర్తుపట్టగలదు. దీని కోసం భిన్న రకాల గుండె జబ్బులు ఉన్నవారితోపాటు ఆరోగ్యకర గుండెకు సంబంధించిన 40,000 మంది సమాచారాన్ని దీనికి అందించారు.
3డీ మోషన్లో నా ఎంఆర్ఐ స్కాన్కు సంబంధించిన వేల కొద్ది సూక్ష్మ వివరాలను ఈ టూల్ విశ్లేషించింది. భిన్న వయసు గల 5000 మంది ఆరోగ్య వంతుల సమాచారంతో దీన్ని సరిపోల్చింది.

ఫొటో సోర్స్, BBC NEWS
మెరుగైన ఆహారపు అలవాట్లతో
నా గుండె వయసు 63 అని ఆ టూల్ నిర్ధారించింది. అంటే నా వయసు కంటే కేవలం కొన్ని ఏళ్లు మాత్రమే ఎక్కువ. నేను ఊహించినంత దారుణంగా ఏమీ పరిస్థితులు లేవు.
రోజూ వ్యాయామం చేయడం, ఆరోగ్యకర ఆహారాన్ని తీసుకోవడం లాంటి తాజా మార్పుల వల్లే కా గుండె కాస్త మెరుగ్గా ఉందా? అని నేను ప్రొఫెసర్ ఆరేగాన్ను అడిగాను.
ఇదే విషయాన్ని తెలుసుకునేందుకు ప్రస్తుతం తాము దృష్టిసారిస్తున్నా ఆయన చెప్పారు.
‘‘గుండె వయసు పైబడటానికి మీలోని జన్యువులే కారణమా లేదా మీ జీనవ శైలా? అనే విషయాన్ని మేం తెలుసుకోవాలని అనుకుంటున్నాం’’ అని ఆరేగాన్ నాతో చెప్పారు.
‘‘అదే సమయంలో గుండెను మళ్లీ పూర్వస్థితికి తీసుకురాగలమా? అనేది కూడా ప్రస్తుతం తెలియడం లేదు. మరోవైపు సరైన చికిత్సతో మళ్లీ గుండెకు యవ్వనాన్ని ప్రసాదించడం సాధ్యమేనా అనేది కూడా పరిశోధన చేపడుతున్నాం’’ అని ఆయన అన్నారు.
రివర్స్ ఏజింగ్
గుండె వయసు పైబడేటప్పుడు కండరాలపై ఏర్పడే కొన్ని మచ్చలు, కొన్ని రకాల జన్యవులు.. ప్రస్తుతం గుండె వయసును నిర్ధారించడంలో ప్రధాన పాత్ర పోషిస్తున్నాయి.
రోగ నిరోధక వ్యవస్థకు సంబంధించిన కొన్ని జన్యువులు కూడా ఇక్కడ కీలకంగా పనిచేస్తాయి. రోగ నిరోధక కణాలు వ్యాధులతో పోరడతాయి, కణజాలాన్ని శుభ్రం చేస్తాయి. కానీ, ఇవి మరింత క్రియాశీలమైతే కణజాలం దెబ్బ తింటుంది. ఇన్ఫ్లమేషన్ కూడా రావచ్చు.
గుండెకు ఎలక్ట్రికల్ సిగ్నల్స్ పంపే మూడో రకమైన జన్యువులు కూడా ఇక్కడ ప్రధాన పాత్ర పోషిస్తున్నాయి. ఇవి దెబ్బతింటే గుండె లయ తప్పుతుంది.
ఈ జన్యువులను పరీక్షించడం ద్వారా గుండె వయసు పైబడిందో లేదో తెలుసుకోవచ్చు. వీటిని లక్ష్యంగా చేసుకుని అభివృద్ధి చేసే చికిత్సలతో మళ్లీ ఆరోగ్యంగా, దీర్ఘకాలం జీవించే అవకాశముందని ప్రొఫెసర్ ఆరేగాన్ నాతో చెప్పారు.
‘‘వయసు పైబడే ఛాయల నుంచి తప్పించుకోవడంలో ఈ జన్యువులు సాయం చేయొచ్చు. అంతేకాదు కొత్త చికిత్సలు ఎలా పనిచేస్తున్నాయో కూడా దీని సాయంతో తెలుసుకోవచ్చు’’ అని ఆయన తెలిపారు.
ఇవి కూడా చదవండి:
- రూఢకోట: ఈ ఊరి మహిళలు గర్భం దాల్చాలంటేనే భయపడుతున్నారు
- చంద్రయాన్ 3: స్పేస్ క్రాఫ్ట్స్, శాటిలైట్లపై కనిపించే బంగారు రంగు కవరింగ్ ఏమిటి?
- మహిళల ఫుట్బాల్ ప్రపంచ కప్: ఫైనల్స్ గెలిచాక స్పెయిన్ కెప్టెన్ ఓల్గా కర్మోనాకు ఆమె తండ్రి మరణించిన సంగతి చెప్పారు...
- దగ్గు మందు మరణాలు: ‘ఇండియా ఔషధం అంటే ముట్టుకోవాలన్నా భయమేస్తోంది’
- పెట్టుబడి పెట్టేటప్పుడు రిస్కును ఎలా అంచనా వేయాలి?
(బీబీసీ తెలుగును ఫేస్బుక్, ఇన్స్టాగ్రామ్, ట్విటర్లో ఫాలో అవ్వండి. యూట్యూబ్లో సబ్స్క్రైబ్ చేయండి.)


































