వృద్ధ నాయకులు అధికారంలో ఉంటే ఆ దేశం ఏమవుతుంది... సైన్స్ ఏం చెబుతోంది?

ఫొటో సోర్స్, Getty Images
- రచయిత, క్రిస్టైన్ రో
- హోదా, బీబీసీ ఫ్యూచర్
వృద్ధ నాయకులు పరిపాలకులుగా ఉంటే వారి పాలన అక్కడి ప్రజలకు ప్రాతినిధ్యం వహించేలా ఉండదనే చర్చ బలంగా ఉంది. అంతేకాదు, ఈ విషయంలో ఇంకా రకరకాల ఆందోళనలు వ్యక్తమవుతున్నాయి.
పౌరులతో పోలిస్తే, వయసు మళ్లిన వ్యక్తి పరిపాలన చేయడాన్ని జెరొంటోక్రసీస్గా వ్యవహరిస్తారు.
అమెరికాలో న్యాయమూర్తిగా కొనసాగుతున్న పాలిన్ న్యూమెన్ వయసు 96 సంవత్సరాలు. తన పదవిలో ఇంకొంత కాలం కొనసాగాలని ఆమె ఆశిస్తున్నారు. కానీ, సహోద్యోగుల నుంచి ఆమె పదవీ విమరణ చేయాలనే డిమాండ్ వినిపిస్తోంది.
అమెరికా రాజకీయాల్లో వృద్ధులు పదవులు చేపట్టడంపై చాలా కాలం నుంచి చర్చ జరుగుతోంది. దీనిపై విమర్శలు కూడా ఉన్నాయి. 2024 అమెరికా అధ్యక్ష ఎన్నికల బరిలో మరోసారి జో బైడెన్, ట్రంప్లు నిలవనున్నారు.
సాధారణంగా అమెరికా పౌరుల పదవీ విరమణ వయసు 67 సంవత్సరాలు. ఆ వయసు రాగానే వారికి రిటైర్మెంట్ బెనిఫిట్స్ వచ్చేస్తాయి. అయితే రాజకీయాల్లో మాత్రం రిటైర్మెంట్ వయసంటూ లేదు.
ప్రస్తుతం అధ్యక్షుడిగా కొనసాగుతున్న జో బైడెన్ వయసు 80 ఏళ్లు. రిటైర్మెంట్ వయసు దాటి 13 ఏళ్లు అవుతోంది. డొనాల్డ్ ట్రంప్ వయసు 77 ఏళ్లు. ఆయన కూడా రిటైర్మెంట్ తీసుకునే వయసు దాటి 11 సంవత్సరాలు కావొస్తోంది.
వయసు పెరిగే కొద్దీ కాగ్నిటివ్ (మెదడులో తెలివితేటలకు సంబంధించిన భాగం) పనితీరు మారుతుందని న్యూరోసైన్స్, సైకాలజీలు చెప్తున్నాయి. వయసు పెరిగేకొద్దీ దీని పనితీరు మారుతూ ఉంటుంది.
అయితే, నాయకత్వం వహించే వారు పెద్దవారై ఉండాలా అన్న ప్రశ్నకు సమాధానం ఇవ్వడం చాలా క్లిష్టమైనది. కొంతమంది చిన్నవారు కూడా మానసికంగా చాలా దృఢంగా ఉంటారు. పెద్దవారిలా సమర్థవంతంగా పనిచేస్తారు.
మరికొంతమంది వయసు పెరుగుతున్నా యువకుల్లా పనిచేస్తారు. వీరిని మనం సూపర్ ఏజెర్స్ అని కూడా అంటుంటాం. దీనిని బట్టి నాయకత్వం వహించేవారు ఎంత వయసున్న వారై ఉండాలి అన్నది సరైన ప్రశ్న కాదని కూడా అనిపించొచ్చు.

ఫొటో సోర్స్, Alamy
వయసు మెదడుని ఎలా ప్రభావితం చేస్తుంది?
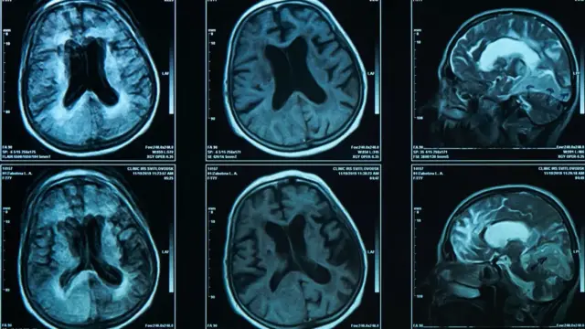
వయసు పైబడే కొద్దీ మెదడు పరిమాణం తగ్గుతుంది. మెదడులోని ప్రీఫ్రంటల్ కార్టెక్స్ భాగంపైనే ఈ ప్రభావం పడుతుంది. ప్రతి పదేళ్లకు ఈ భాగం 5% మేర తగ్గుతుంది. ఈ భాగం మెదడులోని ఇతర భాగాలతో అనుసంధానమై, కార్యనిర్వాహక పనితీరును నిర్వర్తించడంలో సహాయపడుతుంది.
అంతేకాకుండా న్యాయకత్వ సామర్థ్యాలకు అవసరమైన విషయ విశ్లేషణ, సమస్య పరిష్కరించే పరిణితి, లక్ష్య నిర్దేశం వంటి నైపుణ్యాలకు ఈ భాగమే ముఖ్యం.
30 ఏళ్ల వయసు దాటిన తర్వాత ఈ ప్రిఫ్రంటన్ కార్టెక్స్ పరిమాణం కొంచెం కొంచెంగా తగ్గుతుంది. 70ల వయసుకు చేరగానే వేగంగా పరిమాణంలో మార్పులు చోటుచేసుకుంటాయి. 65 ఏళ్ల వయసు అంతకన్నా ఎక్కువ వయసు ఉన్నవారిలో ‘వైట్ మ్యాటర్ డిసీజ్’ అన్న సమస్య తలెత్తి కార్యనిర్వహణలో సమస్యలు తలెత్తే అవకాశం ఉంది. దీనివలన చురుకుదనం తగ్గి, చేసిన పనులే మళ్లీ మళ్లీ చేస్తుంటారు.
అర్విన్లోని యూనివర్సిటీ ఆఫ్ కాలిఫోర్నియాలో సెంటర్ ఫర్ న్యూరోపాలిటిక్స్ విభాగానికి డైరెక్టర్ గా ఉన్న మార్క్ ఫిషర్ అమెరికన్ల సమాచారంపై చేసిన అధ్యయనం ప్రకారం ఆయన మాట్లాడుతూ 60 ఏళ్ల వయసు దాటిన తరువాత మెదడు పనితీరులో వేగం మందగించడం మొదలవుతుందని అన్నారు.
“65 ఏళ్లు దాటిన తర్వాత కొంతమందిలో కార్యనిర్వహక పనితీరులో సమస్యలు తలెత్తుతాయి. నా అభిప్రాయం ప్రకారం 65 ఏళ్ల వయసు సాధారణంగా విరామం తీసుకునే వయసుగా భావించొచ్చు. అదే సహేతుకమైనది “ అని అన్నారు.
అమెరికా పౌరుల సగటు జీవితకాలం 76 ఏళ్లు. ఇది ఒక్కో దేశంలో ఒక్కోలా ఉంటుంది. అక్కడి జీవన ప్రమాణాలు, ఆరోగ్య వ్యవస్థలపై ఆధారపడి ఉంటుంది. ఉదాహరణకు అమెరికాలో పురుషుల జీవితకాలం 73.జపాన్ వంటి దేశాలతో పోల్చితే తక్కువే.
జపాన్ లో 84.23 కెమరూన్ దేశంలో పురుషుల జీవితకాలం 60, కానీ అక్కడి అధ్యక్షులు పాల్ బియా వయసు 90 ఏళ్లు. ప్రస్తుతం ఆయన ప్రపంచంలోనే అతిపెద్ద వయస్కులైన నాయకులు.
సగటు జీవితకాలం శిశుమరణాల రేటు, ఇతర అంశాలను పరిగణలోకి తీసుకుని లెక్కిస్తారు.

ఫొటో సోర్స్, Getty Images
ప్రవర్తనలో అసాధారణ మార్పు..
సాధారణంగా వ్యక్తి ఆరోగ్యం, కాగ్నిటివ్ ఫిట్నెస్ లపై ఆధారపడి అంచనాలు ఉంటాయని ఫిషర్ అన్నారు. దీనిని ‘ట్రెమండస్ ఇండివిడ్యువల్ వేరియబిలిటి’ (వ్యక్తిగత ప్రవర్తనలో అసాధారణ మార్పు) గా పేర్కొన్నారు.
“ఒక బ్యాటరీ సామర్థ్యాన్ని నిర్థారించడానికి ఎలాగైతే పరీక్ష జరుపుతామో అలాగే మానవుడి కార్యనిర్వహక పనితీరును విశ్లేషించడానికి కూడా పరీక్ష నిర్వహించాలి అని ఫిషర్ అన్నారు. అయితే, వారి పనితీరు వ్యక్తిని బట్టి మారవచ్చు'' అని పేర్కొన్నారు.
గుండె సంబంధిత సమస్యలు, హై కొలెస్ట్రాల్, హై బీపీ వంటి ఆరోగ్య సమస్యలు కూడా మెదడు పనితీరుపై, ముఖ్యంగా కార్యనిర్వహక పనితీరుపై ప్రభావం చూపిస్తాయి. అన్నిసార్లు వృద్ధాప్యంతోపాటు ఆరోగ్య సమస్యలు తలెత్తకపోవచ్చు.
వయసు పెరిగే సమయంలో తలెత్తే హైపర్ టెన్షన్ సమస్య మరీ ముఖ్యంగా మెదడు పనితీరుపై ప్రభావాన్ని చూపిస్తుంది అని ఫిషర్ అన్నారు. ముందే గుర్తించి, హైపర్ టెన్షన్ కు చికిత్స తీసుకుంటే మెదడు ఆరోగ్యాన్ని కాపాడుకోవచ్చని అన్నారు.
అర్విన్ లోని యూనివర్సిటీ ఆఫ్ కాలిఫోర్నియాకు చెందిన న్యూరోసైంటిస్ట్ మార్క్ మ్యాప్ స్టోన్ మాట్లాడుతూ, మెదడులోని ఇతర భాగాలు కూడా వయసు పెరిగే కొద్దీ సరిగా స్పందించవని అన్నారు. అల్జీమర్స్ వంటి వ్యాధుల బారిన పడే అవకాశం ఉందని అన్నారు.
అయితే, కొంతమందిలో వయసు పెరిగినా, మెదడు చురుగ్గా పనిచేస్తుంది. 70ల వయసు చేరిన వారిలో కొత్త సమాచారాన్ని సంగ్రహించే సామర్థ్యం తగ్గినా, సమాచారాన్ని విశ్లేషించి, దిశా నిర్దేశం చేసే సామర్థ్యం మెరుగుపడుతుందని అన్నారు.
అయితే, 30 ఏళ్ల వ్యక్తితో పోల్చిచూస్తే 70 ఏళ్ల వయసున్న వ్యక్తి కొత్త సమాచారాన్ని సంగ్రహించడంలో వెనకబడతారు. మార్క్ స్టోన్ మాట్లాడుతూ 60 ఏళ్ల వ్యక్తి పదజాలం 20 ఏళ్ల వ్యక్తికన్నా మెరుగ్గా ఉంటుందని అన్నారు. పదాలను ఎంచుకుని మాట్లాడటంలో 60 ఏళ్ల వ్యక్తులు ముందుంటారని అన్నారు. 60 ఏళ్లు దాటిన వారిలో ఈ నైపుణ్యం వృద్ధి చెందుతుందని ఒక అధ్యయనంలో తేలింది.
బ్రౌన్ యూనివర్సిటీలో పొలిటికల్ సైకాలజీ నిపుణులు రోజ్ మెక్ డెర్మొట్ట్ మాట్లాడుతూ వృద్ధులు ‘క్రిస్టల్ ఇంటెలిజెన్స్‘లో మెరుగవుతారని అన్నారు.
వృద్ధులు యుక్తవయసుని దాటి వచ్చారు కాబట్టి, అనుభవంతో కూడిన పరణితి వారిలో ఉంటుంది. వారు యువకుల కన్నా యుక్తితో, సృజనాత్మకతో కొత్త సమాచారాన్ని మరింత మెరుగ్గా సమీకృతం చేయగలిగే సామర్థ్యం కలిగి ఉంటారు.

ఫొటో సోర్స్, Getty Images
రాజకీయ జీవితంలో కాగ్నిటివ్ సామర్థ్యం
‘సూపర్ ఏజెర్స్’గా పిలుచుకునే కొంతమందిలో 80 ఏళ్లు వచ్చినప్పటికీ కాగ్నిటివ్ పనితీరు యువకుల కన్నా మెరుగ్గా ఉంటుంది. వీరిలో మెదడులో జ్ఞాపకశక్తికి కీలకభాగమైన ఎంటోర్హినాల్ కార్టెక్స్ లోని న్యూరాన్ల పనితీరు చురుగ్గా ఉంటుంది. వయసు కన్నా 20-30 సంవత్సరాలు తక్కువ వయసు ఉండే వారితో సమానంగా వీరి మెదడు పనిచేస్తుంది.
మెదడు పనితీరు, కణజాల సంరక్షణలో సామాజిక సంబంధాలు, మానసిక ఉద్దీపనం, శారీరక వ్యాయామం వంటివి కీలకం. రాజకీయ నాయకత్వం మానసిక, సామాజిక అంశాలు, సవాళ్లతో మిళితమై ఉంటుంది. శక్తివంతులైన వ్యక్తులకు ఆర్థిక భద్రత, మెరుగైన ఆరోగ్య సంరక్షణతోపాటు ఇతర అంశాలను సమర్థంగా నిర్వర్తించే సామర్థ్యం ఉంటుంది. అలాంటి వారు సూపర్ ఏజెర్స్ గా మారే అవకాశం ఉంది. కొంతమంది సైంటిస్టులు జో బైడెన్ వంటి నాయకులను సూపర్ ఏజెర్స్ గా పిలుస్తారు.
కేంబ్రిడ్జి యూనివర్సిటీకి చెందిన క్లినికల్ న్యూరో సైకాలజీ ప్రొఫెసర్ బర్బరా సహకియాన్ మాట్లాడుతూ “సాధారణంగా రాజకీయ నాయకులకు వృద్ధాప్యం కొత్త సవాళ్లను తీసుకువచ్చే అవకాశం ఉంది. వయసు పెరిగే కొద్దీ కాగ్నిటివ్ సామర్థ్యం తగ్గుతుంది. ముఖ్యంగా కీలకమైన సమయాలు, అనిశ్చితి నెలకొన్న సందర్భాలలో సరైన, సమర్థవంతమైన నిర్ణయాలు తీసుకోవడానికి కాగ్నిటివ్ నైపుణ్యం ముఖ్యం” అన్నారు.
న్యూరోసైన్స్, పొలిటికల్ సైన్స్ను కలిపి న్యూరో పాలిటిక్స్గా చెబుతుంటారు. అయితే, దీనిపై భిన్నమైన వాదనలున్నాయి. కొంతమంది స్వయంప్రకటిన మేధావులు రాజకీయ ప్రవర్తనలకు బయలాజికల్ వివరణలు ఇవ్వడం చాలా సులభవమని భావిస్తుంటారని విమర్శకులు వాదిస్తున్నారు.

ఫొటో సోర్స్, Getty Images
నాయకులకు కాగ్నిటివ్ స్క్రీనింగ్
వయసు పెరిగే కొద్దీ మెదడు పనీతీరుపై ప్రభావానికి సంబంధించిన ఆధారాలతో, ఫిషర్, పలు విభాగాలకు చెందిన ఆయన సహోద్యోగులు కలిసి, రాజకీయ నాయకులకు వయసులో సంబంధం లేకుండా అభిజ్ఞ పరీక్ష (కాగ్నిటివ్ స్క్రీనింగ్) నిర్వహించాలని పేర్కొన్నారు.
కాగ్నిటివ్ పనితీరు ముఖ్యంగా న్యూరోసైకలాజికల్ మూల్యాంకనంపై ఆధారపడి ఉంటుందని ప్రొఫెసర్ మ్యాప్ స్టోన్ అన్నారు.
యూనివర్సిటీ ఆఫ్ కాలిఫోర్నియా ప్రొఫెసర్, మెడిసిన్ స్పెషలిస్ట్ బెరెంజీ ఈ పరీక్షలు సరైనవేనని అభిప్రాయపడ్డారు.
అయితే ఈ విధానం వివాదాస్పమైంది. రాజకీయంగా విమర్శలు ఎదుర్కొంది. 75 ఏళ్లు పైబడిన వారు మానసిక సామర్థ్య పరీక్షలు చేయించుకోవాలనే వాదనకు రిపబ్లికన్ పార్టీ తరపున అధ్యక్ష పదవికి బరిలో నిలిచిన నిక్కి హాలె మద్దతు ఇస్తున్నారు. కానీ ఇది ఆచరణకు వీలు కాదని విమర్శలు వచ్చాయి.
ప్రొఫెసర్ డెర్మొట్ట్ మాత్రం పరీక్షలు మానసిక సామర్థ్యాన్ని తెలుసుకునేందుకు సరైన మార్గమే అని నమ్ముతున్నారు. కానీ అమెరికాలో నెలకొన్న రాజకీయ కారణాల వలన ఇది అమలు కాదని ఆమె భావిస్తున్నారు.
“కొంతమంది నాయకుల చుట్టూ ఉన్న నమ్మకాలు, అంచనాల నేపథ్యంలో ఒక వేళ వారు పరీక్షలో అర్హత సాధించినా, ప్రజలు నమ్ముతారా?” అని ప్రశ్నించారు.

ఫొటో సోర్స్, Getty Images
సర్వేలు ఏమంటున్నాయి?
కొంతమంది వ్యాఖ్యాతలు 2024 అమెరికా అధ్యక్ష ఎన్నికల సమయాన్ని అవకాశంగా మార్చుకుని వృద్ధుల పనితీరును విమర్శించే చర్చలను ఖండించి, అందరి దృష్టిని ఆకర్షించాలని చూస్తారు. దీనితోపాటు వృద్ధ కార్మికులకు సహాయంగా నిలవాలన్న అవసరాన్ని గుర్తుచేయడానికి ప్రయత్నిస్తారు.
అయితే, భవిష్యత్తులో మనకు ఇష్టం ఉన్నా లేకపోయినా, ప్రతి ఒక్కరూ ఎక్కువ కాలం పాటు పనిచేయాల్సి రావొచ్చని నిపుణులు అభిప్రాయపడుతున్నారు.
కొంతమంది మాత్రం వృద్ధులు పదవులలో కొనసాగడంపై వ్యతిరేకతను వ్యక్తం చేస్తున్నారు. అసోసియేటెడ్ ప్రెస్, ది రీసెర్చ్ ఆర్గనైజేషన్ నార్క్ సెంటర్ ఫర్ పబ్లిక్ అఫైర్స్ సంయుక్తంగా నిర్వహించిన పోల్లో మెజారిటీ ఓటర్లు జో బైడెన్ వయసును అవరోధంగా చూస్తున్నట్లు తేలింది.
అయితే, అమెరికా అధ్యక్ష పదవి చేపట్టేందుకు 75 ఏళ్లకు పైబడిన వారిలో ఎక్కువగా పోటీ ఉందని ఇటీవల సీబీఎస్ , యుగవ్ (వైఓయూజీఓవీ) డేటా అనలిటిక్స్ సంస్థలు నిర్వహించిన సర్వేలో ఎక్కువ మంది అభిప్రాయపడ్డారు. ఇది బైడెన్, ట్రంప్లు ఇద్దరికీ వర్తిస్తుంది.
ప్రజలు ఏం నిర్ణయం తీసుకున్నప్పటికీ, వయసు పైబడిన నాయకుల సామర్థ్యంపై కొనసాగుతున్న చర్చలు అప్పుడే ముగిసే అవకాశం లేదు.
ఇవి కూడా చదవండి:
(బీబీసీ తెలుగును ఫేస్బుక్, ఇన్స్టాగ్రామ్, ట్విటర్లో ఫాలో అవ్వండి. యూట్యూబ్లో సబ్స్క్రైబ్ చేయండి.)














