Patient's chest rebuilt with 3D print after tumour surgery
ABMU Health BoardA man has had his chest rebuilt using 3D printing technology during an operation to remove a large tumour.
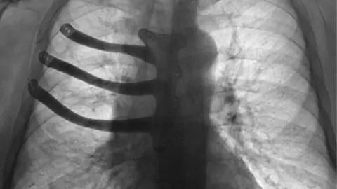
The prosthesis was inserted into Peter Maggs' chest after he had three ribs and half his breastbone removed.
The tumour had grown to around the size of a tennis ball, and the procedure left an extensive defect in the 71-year-old's chest.
The eight-hour operation was carried out by surgeons at Morriston Hospital, Swansea.

You might also be interested in:

Surgeons would traditionally have rebuilt it with a special cement prosthesis.
But advances in 3D printing technology allowed them to use a bespoke implant instead.
ABMU Health BoardIt is believed to be one of the first times such an implant has been printed in the UK.
The titanium implant was designed at Morriston and printed in Wales.
"It was a very extensive growth that needed to be removed. However, removing it also meant removing part of the breastbone and three ribs," cardiothoracic surgeon Ira Goldsmith said.
"That would leave a large defect that could have destabilised the entire chest wall and reconstructing it was going to be a very complex procedure," he added.
A cement prosthesis would have been prepared during surgery, a process that would have taken about an hour and a half.
Mr Maggs, from Abergavenny, Monmouthshire, has heart and other health issues so the surgeons were keen to reduce the operating time as much as possible.
The titanium implant was made ahead, based on a design by Mr Goldsmith, who carried out the surgery with consultant surgeon Thomas Bragg.
Mr Maggs said: "I'm feeling good now. Mr Goldsmith is a saint to me - and Mr Bragg."
ABMU Health Board