Tapeworm larvae in brain linked to underdone bacon
Science Photo LibraryA man in the US who complained of frequent migraines was found to have tapeworm larvae in his brain, likely linked to eating undercooked bacon.
The 52-year-old visited his doctor after his usual migraines became worse and his regular pills stopped working.
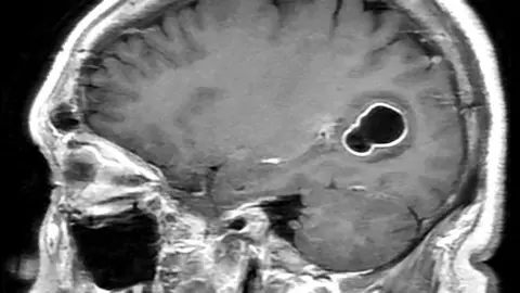
Scans found tapeworm larval cysts in his brain - which cause cysticercosis.
Doctors put the condition down to "improper handwashing". They believe the man, who got a tapeworm from eating underdone pork, infected himself.
Cysticercosis is a type of infection caused by the larvae of the parasite Taenia solium (T.solium), also known as pork tapeworm, which can lead to cysts (cysticerci) developing in the brain.
Someone with a tapeworm can infect themselves with tapeworm eggs - a process known as autoinfection - which can pass out of the body as waste and infect others in the same home.
Eating undercooked pork cannot directly give a person cysticercosis.
Recording the case in the American Journal of Case Reports, doctors wrote that it "can only be speculated" the man's cysticercosis was transmitted through autoinfection after "improper handwashing".
Given his "predilection for undercooked pork", doctors surmised he contracted the tapeworm from his "eating habits".
The patient responded to anti-parasitic and anti-inflammatory medication and has since made a full recovery.
'Poor handwashing'
According to the US Centres for Disease Control and Prevention (CDC), tapeworm larvae "get into tissues such as muscle and brain, and form cysts. When cysts are found in the brain, the condition is called neurocysticercosis".
"People get cysticercosis when they swallow T.solium eggs that are passed in the faeces of a human with a tapeworm," says the CDC.
Tapeworm eggs are spread "through food, water, or surfaces contaminated with faeces".
"Humans swallow the eggs when they eat contaminated food or put contaminated fingers in their mouth".
"Someone with a tapeworm can infect him - or herself [autoinfection]" and other members of the family," it adds.
Experts say eating undercooked pork cannot give you cysticercosis - nor is the condition common in the US, or the UK, where pig meat undergoes rigorous testing.
The highest rates of the condition are found in parts of Latin America, Asia and Africa, and it is most common in rural areas where pigs - the carriers of pork tapeworm - are allowed to roam freely, and hygiene and food safety practices are poor.
People are most at risk from such infections through poor handwashing or by ingesting contaminated food or water.
The authors of the report concluded: "It is very rare for patients to contract neurocysticercosis outside of classic exposures or travel, and such cases in the United States were thought to be non-existent."
They say the case highlights the risk of "undercooked pork consumption" and subsequent autoinfection.
"It is historically very unusual to encounter infected pork in the United States, and our case may have public health implications," the report concludes.
