Ex-smoker backs support service after teeth recovery
Oxfordshire County Council /Sarah HowesA former smoker, who recovered teeth she had lost to gum disease, has said she "would urge anyone" to ditch the addiction.
Sarah Howes, who is in her 60s and from south Oxfordshire, used to smoke 60 cigarettes a day, which led to her losing most of her upper teeth.
She has recommended Oxfordshire County Council’s Stop for Life Oxon services to people looking to quit.
The council said it had already helped thousands of people across the county with replacement therapies.
Oxfordshire County Council /Sarah HowesMs Howes developed the habit in her teens, "when growing up and smoking went hand-in-hand with drinking and dancing".
Getting fit served as her initial motivation to cut down but noticed getting "a bit wheezy" during aerobic classes and gym sessions in her 40s.
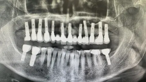
“But the main reason I quit was because I lost most of my top teeth due to gum disease," she said, adding they would fall out when she would bite on food, sometimes something even as soft as a roll.
Her dentist told her that her mouth had been starved of oxygen and smoking had been a key factor.
After some failed attempts with dentures, she invested in dental implants.
Her dental surgeon had told her she would "categorically" not carry out the operation if Ms Howes had not given up smoking completely.
She said she had used multiple therapies and now attended the gym "two to three times a week" and hiked "regularly with friends".
Ms Howes said she would "definitely have used the local Oxfordshire services had they been available to me" and "would urge anyone trying to quit to seek help of that kind”.
Ansaf Azhar, director for public health at the council, said the Stop for Life Oxon service provided "free support, which is proven to help people who want to quit smoking in Oxfordshire”.
The support can include one-to-one coaching, a free rechargeable vape kit and nicotine replacement therapy for up to 12 weeks.
Follow BBC South on Facebook, X, or Instagram. Send your story ideas to [email protected] or via WhatsApp on 0808 100 2240.





