ਦਿਮਾਗ਼ ਖਾਣ ਵਾਲੇ ਅਮੀਬਾ ਕਾਰਨ ਘੱਟੋ-ਘੱਟ 19 ਮੌਤਾਂ, ਕੀ ਹੈ ਇਹ ਬਿਮਾਰੀ ਅਤੇ ਇਸਦਾ ਇਲਾਜ ਕਿਵੇਂ ਕੀਤਾ ਜਾਂਦਾ ਹੈ

ਤਸਵੀਰ ਸਰੋਤ, Getty Images
- ਲੇਖਕ, ਸੌਤਿਕ ਬਿਸਵਾਸ
- ਰੋਲ, ਬੀਬੀਸੀ ਪੱਤਰਕਾਰ
- ਪੜ੍ਹਨ ਦਾ ਸਮਾਂ: 8 ਮਿੰਟ
ਕੇਰਲ ਸੂਬੇ ਦੇ ਸਭ ਤੋਂ ਖੁਸ਼ਨੁਮਾ ਤਿਉਹਾਰ ਓਣਮ ਤੋਂ ਇੱਕ ਦਿਨ ਪਹਿਲਾਂ ਸ਼ਾਮ ਨੂੰ 45 ਸਾਲਾ ਸ਼ੋਭਨਾ ਐਂਬੂਲੈਂਸ ਦੇ ਪਿੱਛੇ ਵਾਲੇ ਪਾਸੇ ਕੰਬਦੀ ਅਤੇ ਬੇਹੋਸ਼ੀ ਦੀ ਹਾਲਤ 'ਚ ਪਏ ਸਨ। ਇਸੇ ਹਾਲਤ 'ਚ ਉਨ੍ਹਾਂ ਦਾ ਪਰਿਵਾਰ ਉਨ੍ਹਾਂ ਨੂੰ ਮੈਡੀਕਲ ਕਾਲਜ ਹਸਪਤਾਲ ਲੈ ਕੇ ਪਹੁੰਚਿਆ।
ਕੁਝ ਹੀ ਦਿਨ ਪਹਿਲਾਂ, ਮਲੱਪੁਰਮ ਜ਼ਿਲ੍ਹੇ ਦੇ ਇੱਕ ਪਿੰਡ ਵਿੱਚ ਫਲਾਂ ਦੇ ਜੂਸ ਦੀਆਂ ਬੋਤਲਾਂ ਬਣਾ ਕੇ ਗੁਜ਼ਾਰਾ ਕਰਨ ਵਾਲੇ ਇੱਕ ਦਲਿਤ ਮਹਿਲਾ ਨੇ ਚੱਕਰ ਆਉਣ ਅਤੇ ਹਾਈ ਬਲੱਡ ਪ੍ਰੈਸ਼ਰ ਦੀ ਸ਼ਿਕਾਇਤ ਕੀਤੀ ਸੀ।
ਡਾਕਟਰਾਂ ਨੇ ਉਨ੍ਹਾਂ ਨੂੰ ਦਵਾਈ ਦਿੱਤੀ ਅਤੇ ਘਰ ਭੇਜ ਦਿੱਤਾ। ਪਰ ਉਨ੍ਹਾਂ ਦੀ ਹਾਲਤ ਭਿਆਨਕ ਰਫ਼ਤਾਰ ਨਾਲ ਵਿਗੜਦੀ ਚਲੀ ਗਈ। ਬੇਚੈਨੀ ਬੁਖਾਰ ਵਿੱਚ ਬਦਲ ਗਈ, ਬੁਖਾਰ ਤੇਜ਼ ਠੰਢ ਵਿੱਚ ਬਦਲ ਗਿਆ ਅਤੇ 5 ਸਤੰਬਰ ਨੂੰ ਤਿਉਹਾਰ ਦੇ ਮੁੱਖ ਦਿਨ ਸ਼ੋਭਨਾ ਦੀ ਮੌਤ ਹੋ ਗਈ।
ਕਾਰਨ ਸੀ - ਨੈਗਲਰੀਆ ਫਾਉਲੇਰੀ - ਜਿਸ ਨੂੰ ਆਮ ਤੌਰ 'ਤੇ ਦਿਮਾਗ਼ ਖਾਣ ਵਾਲਾ ਅਮੀਬਾ ਵੀ ਕਿਹਾ ਜਾਂਦਾ ਹੈ। ਇਹ ਇੱਕ ਇਨਫੈਕਸ਼ਨ ਹੈ ਜੋ ਆਮ ਤੌਰ 'ਤੇ ਤਾਜ਼ੇ ਪਾਣੀ ਰਾਹੀਂ ਨੱਕ ਤੋਂ ਫੈਲਦੀ ਹੈ ਅਤੇ ਇੰਨੀ ਦੁਰਲੱਭ ਹੈ ਕਿ ਜ਼ਿਆਦਾਤਰ ਡਾਕਟਰ ਆਪਣੇ ਪੂਰੇ ਕਰੀਅਰ ਵਿੱਚ ਇਸ ਦਾ ਇੱਕ ਵੀ ਕੇਸ ਨਹੀਂ ਦੇਖਦੇ।
ਸ਼ੋਭਨਾ ਦੇ ਚਚੇਰੇ ਭਰਾ ਅਤੇ ਇੱਕ ਪ੍ਰਮੁੱਖ ਸਮਾਜਿਕ ਕਾਰਕੁਨ ਅਜੀਤ ਕਥੀਰਾਦਥ ਕਹਿੰਦੇ ਹਨ, "ਅਸੀਂ ਇਸ ਨੂੰ ਰੋਕ ਨਹੀਂ ਸਕੇ। ਸਾਨੂੰ ਸ਼ੋਭਨਾ ਦੀ ਮੌਤ ਤੋਂ ਬਾਅਦ ਹੀ ਇਸ ਬਿਮਾਰੀ ਬਾਰੇ ਪਤਾ ਲੱਗਾ।"

ਦਿਮਾਗ ਨੂੰ ਖਾਣ ਵਾਲਾ ਇਹ ਅਮੀਬਾ ਕੀ ਹੈ, ਕਿਵੇਂ ਦਿਮਾਗ ਤੱਕ ਪਹੁੰਚਦਾ ਹੈ ਅਤੇ ਕੀ ਸਾਵਧਾਨੀਆਂ ਵਰਤੀਆਂ ਜਾ ਸਕਦੀਆਂ ਹਨ...ਇਹ ਸਭ ਜਾਣਨ ਤੋਂ ਪਹਿਲਾਂ ਜਾਣਦੇ ਹਾਂ ਕੇਰਲ ਵਿੱਚ ਇਸ ਦੀ ਕੀ ਸਥਿਤੀ ਹੈ ਅਤੇ ਮਾਹਿਰ ਕੀ ਦੱਸ ਰਹੇ...
ਕੇਰਲ ਵਿੱਚ ਕਿੰਨੇ ਮਾਮਲੇ

ਤਸਵੀਰ ਸਰੋਤ, Vivek R Nair
ਇਸ ਸਾਲ ਕੇਰਲ ਵਿੱਚ 70 ਤੋਂ ਵੱਧ ਲੋਕਾਂ ਨੂੰ ਇਸ ਦਿਮਾਗ਼ ਖਾਣ ਵਾਲੇ ਅਮੀਬਾ ਦੀ ਇਨਫੈਕਸ਼ਨ ਦਾ ਪਤਾ ਲੱਗਿਆ ਹੈ ਅਤੇ 19 ਲੋਕਾਂ ਦੀ ਮੌਤ ਹੋ ਗਈ ਹੈ। ਮਰੀਜ਼ਾਂ ਵਿੱਚ ਤਿੰਨ ਮਹੀਨੇ ਦੇ ਬੱਚੇ ਤੋਂ ਲੈ ਕੇ 92 ਸਾਲ ਦੇ ਬਜ਼ੁਰਗ ਤੱਕ ਸ਼ਾਮਲ ਹਨ।
ਕੇਰਲ ਵਿੱਚ ਸਾਲ 2016 ਵਿੱਚ ਇਹ ਕੇਸ ਸਾਹਮਣੇ ਆਉਣੇ ਸ਼ੁਰੂ ਹੋਏ, ਸਾਲ ਵਿੱਚ ਸਿਰਫ਼ ਇੱਕ ਜਾਂ ਦੋ ਕੇਸ, ਅਤੇ ਹਾਲ ਹੀ ਤੱਕ ਲਗਭਗ ਸਾਰੇ ਜਾਨਲੇਵਾ ਸਨ।
ਇੱਕ ਨਵੇਂ ਅਧਿਐਨ ਵਿੱਚ ਪਾਇਆ ਗਿਆ ਹੈ ਕਿ 1962 ਤੋਂ ਦੁਨੀਆਂ ਭਰ ਵਿੱਚ ਸਿਰਫ਼ 488 ਕੇਸ ਹੀ ਰਿਪੋਰਟ ਕੀਤੇ ਗਏ ਹਨ, ਜਿਨ੍ਹਾਂ ਵਿੱਚੋਂ ਜ਼ਿਆਦਾਤਰ ਅਮਰੀਕਾ, ਪਾਕਿਸਤਾਨ ਅਤੇ ਆਸਟ੍ਰੇਲੀਆ ਵਿੱਚ ਦਰਜ ਹੋਏ ਅਤੇ ਪ੍ਰਭਾਵਿਤ ਲੋਕਾਂ ਵਿੱਚੋਂ 95 ਫੀਸਦੀ ਇਸ ਬਿਮਾਰੀ ਕਾਰਨ ਮਰ ਚੁੱਕੇ ਹਨ।

ਤਸਵੀਰ ਸਰੋਤ, Universal Images Group via Getty Images
ਪਰ ਕੇਰਲ ਵਿੱਚ ਇਸ ਲਾਗ ਤੋਂ ਬਚਣ ਦੀਆਂ ਦਰਾਂ ਵਿੱਚ ਸੁਧਾਰ ਹੁੰਦਾ ਜਾਪਦਾ ਹੈ। ਪਿਛਲੇ ਸਾਲ 23 ਫੀਸਦੀ ਮੌਤ ਦਰ ਦੇ ਨਾਲ 39 ਮਾਮਲੇ ਸਨ ਅਤੇ ਇਸ ਸਾਲ 24.5 ਫੀਸਦੀ ਮੌਤ ਦਰ ਦੇ ਨਾਲ ਲਗਭਗ 70 ਮਾਮਲੇ ਸਾਹਮਣੇ ਆਏ ਹਨ। ਡਾਕਟਰਾਂ ਦਾ ਕਹਿਣਾ ਹੈ ਕਿ ਅਤਿ-ਆਧੁਨਿਕ ਪ੍ਰਯੋਗਸ਼ਾਲਾਵਾਂ ਦੇ ਕਾਰਨ ਬਿਹਤਰ ਖੋਜ ਕਾਰਨ ਇਹ ਵਾਧਾ ਹੋਇਆ ਹੈ।
ਕੇਰਲ ਦੀ ਰਾਜਧਾਨੀ ਤਿਰੂਵਨੰਤਪੁਰਮ ਦੇ ਮੈਡੀਕਲ ਕਾਲਜ ਅਤੇ ਹਸਪਤਾਲ ਵਿੱਚ ਛੂਤ ਦੀਆਂ ਬਿਮਾਰੀਆਂ ਦੇ ਮੁਖੀ ਅਰਵਿੰਦ ਰਘੂਕੁਮਾਰ ਨੇ ਕਿਹਾ, "ਕੇਸ ਵਧ ਰਹੇ ਹਨ, ਪਰ ਮੌਤਾਂ ਘਟ ਰਹੀਆਂ ਹਨ। ਕੇਰਲ ਦੀ ਵਿਸ਼ੇਸ਼ ਰਣਨੀਤੀ ਤਹਿਤ ਤੇਜ਼ੀ ਨਾਲ ਟੈਸਟਿੰਗ ਅਤੇ ਸ਼ੁਰੂਆਤੀ ਪਛਾਣ ਨੇ ਬਚਾਅ ਦਰਾਂ ਵਿੱਚ ਸੁਧਾਰ ਕੀਤਾ ਹੈ।"
ਸ਼ੁਰੂਆਤੀ ਪਛਾਣ ਕਾਰਨ ਜ਼ਰੂਰਤ ਅਨੁਸਾਰ ਇਲਾਜ ਦੇਣਾ ਸੰਭਵ ਹੋ ਜਾਂਦਾ ਹੈ। ਅਮੀਬਾ ਨੂੰ ਨਿਸ਼ਾਨਾ ਬਣਾਉਣ ਵਾਲੇ ਐਂਟੀਮਾਈਕਰੋਬਾਇਲ ਅਤੇ ਸਟੀਰੌਇਡ ਦਵਾਈਆਂ ਦਾ ਸੁਮੇਲ ਲੋਕਾਂ ਦੀ ਜਾਨ ਬਚਾ ਸਕਦਾ ਹੈ।
ਖੂਹ ਅਤੇ ਤਲਾਅ ਜੀਵਨ ਸ਼ੈਲੀ ਦਾ ਮੁੱਖ ਹਿੱਸਾ ਪਰ ਇਨ੍ਹਾਂ ਤੋਂ ਜੋਖਮ ਹੈ

ਤਸਵੀਰ ਸਰੋਤ, Abhishek Chinnappa/Getty Images
ਵਿਗਿਆਨੀਆਂ ਨੇ ਮੁਕਤ-ਜੀਵਤ ਅਮੀਬਾ ਦੀਆਂ ਲਗਭਗ 400 ਕਿਸਮਾਂ ਦੀ ਪਛਾਣ ਕੀਤੀ ਹੈ, ਪਰ ਇਨ੍ਹਾਂ ਵਿੱਚੋਂ ਸਿਰਫ ਛੇ ਮਨੁੱਖਾਂ ਵਿੱਚ ਬਿਮਾਰੀ ਪੈਦਾ ਕਰਨ ਲਈ ਪਛਾਣੀਆਂ ਗਈਆਂ ਹਨ - ਜਿਸ ਵਿੱਚ ਨੈਗੇਲੇਰੀਆ ਫੌਲੇਰੀ ਅਤੇ ਅਕੈਂਥਾਮੋਏਬਾ ਸ਼ਾਮਲ ਹਨ, ਜੋ ਦੋਵੇਂ ਦਿਮਾਗ ਨੂੰ ਸੰਕਰਮਿਤ ਕਰ ਸਕਦੇ ਹਨ।
ਅਧਿਕਾਰੀਆਂ ਦਾ ਕਹਿਣਾ ਹੈ ਕਿ ਕੇਰਲ ਵਿੱਚ ਜਨਤਕ ਸਿਹਤ ਪ੍ਰਯੋਗਸ਼ਾਲਾਵਾਂ ਹੁਣ ਪੰਜ ਪ੍ਰਮੁੱਖ ਰੋਗਾਣੂਨਾਸ਼ਕ ਕਿਸਮਾਂ ਦੀ ਪਛਾਣ ਕਰ ਸਕਦੀਆਂ ਹਨ।
ਦੱਖਣੀ ਭਾਰਤੀ ਸੂਬੇ ਕੇਰਲ ਭੂਮੀਗਤ ਪਾਣੀ ਅਤੇ ਕੁਦਰਤੀ ਜਲ ਸਰੋਤਾਂ 'ਤੇ ਬਹੁਤ ਜ਼ਿਆਦਾ ਨਿਰਭਰ ਹੈ ਅਤੇ ਇਹੀ ਗੱਲ ਇਸ ਨੂੰ ਅਜਿਹੇ ਰੋਗਾਂ ਦੇ ਮਾਮਲੇ 'ਚ ਖਾਸ ਤੌਰ 'ਤੇ ਕਮਜ਼ੋਰ ਬਣਾਉਂਦੀ ਹੈ, ਕਿਉਂਕਿ ਬਹੁਤ ਸਾਰੇ ਤਲਾਅ ਅਤੇ ਖੂਹ ਦੂਸ਼ਿਤ ਪਾਣੀ ਵਾਲੇ ਹਨ।
ਉਦਾਹਰਣ ਵਜੋਂ, ਪਿਛਲੇ ਸਾਲ ਕੁਝ ਮਾਮਲੇ ਜੋ ਸਾਹਮਣੇ ਆਏ ਸਨ, ਉਨ੍ਹਾਂ ਵਿੱਚੋਂ ਕੁਝ ਨੌਜਵਾਨਾਂ ਦੁਆਰਾ ਭੰਗ ਉਬਾਲ ਕੇ ਤਲਾਅ ਦੇ ਪਾਣੀ ਨਾਲ ਮਿਲਾ ਕੇ ਪੀਣ ਨਾਲ ਜੁੜੇ ਹੋਏ ਸਨ। ਇਹ ਬਹੁਤ ਜੋਖਮ ਭਰੀ ਚੀਜ਼ ਹੈ ਜੋ ਦਰਸਾਉਂਦੀ ਹੈ ਕਿ ਦੂਸ਼ਿਤ ਪਾਣੀ ਕਿਵੇਂ ਲਾਗ ਦਾ ਕਾਰਨ ਬਣ ਸਕਦਾ ਹੈ।
ਕੇਰਲ ਵਿੱਚ ਲਗਭਗ 5.5 ਮਿਲੀਅਨ ਖੂਹ ਅਤੇ 55,000 ਤਲਾਅ ਹਨ ਅਤੇ ਲੱਖਾਂ ਲੋਕ ਰੋਜ਼ਾਨਾ ਉਨ੍ਹਾਂ ਤੋਂ ਪਾਣੀ ਲੈਂਦੇ ਹਨ। ਇਸ ਤਰ੍ਹਾਂ ਦੇਖਿਆ ਜਾਵੇ ਤਾਂ ਖੂਹਾਂ ਜਾਂ ਤਲਾਅ ਨੂੰ ਸਿਰਫ਼ "ਜੋਖਮ ਕਾਰਕ" ਨਹੀਂ ਮੰਨਿਆ ਜਾ ਸਕਦਾ ਕਿਉਂਕਿ ਉਹ ਸੂਬੇ ਵਿੱਚ ਜੀਵਨਸ਼ੈਲੀ ਦਾ ਮੁਖ ਹਿੱਸਾ ਹਨ।
ਪ੍ਰਸ਼ਾਸਨ ਕੀ ਕਰ ਰਿਹਾ

ਤਸਵੀਰ ਸਰੋਤ, Nebula NP
ਇੱਕ ਪ੍ਰਮੁੱਖ ਮਹਾਂਮਾਰੀ ਵਿਗਿਆਨੀ ਅਨੀਸ਼ ਟੀਐੱਸ ਕਹਿੰਦੇ ਹਨ, "ਕੁਝ ਲਾਗਾਂ ਤਲਾਅ ਵਿੱਚ ਨਹਾਉਣ ਵਾਲੇ ਲੋਕਾਂ ਵਿੱਚ ਹੋਈਆਂ ਹਨ, ਕੁਝ ਸਵਿਮਿੰਗ ਪੂਲ ਤੋਂ ਅਤੇ ਇੱਥੋਂ ਤੱਕ ਧਾਰਮਿਕ ਰਸਮਾਂ ਮੁਤਾਬਕ ਨੱਕ ਧੋਣ ਦੌਰਾਨ ਵੀ। ਭਾਵੇਂ ਇਹ ਦੂਸ਼ਿਤ ਤਲਾਅ ਹੋਵੇ ਜਾਂ ਖੂਹ, ਜੋਖਮ ਤਾਂ ਹੈ।"
ਇਸ ਲਈ ਜਨਤਕ ਸਿਹਤ ਅਧਿਕਾਰੀਆਂ ਨੇ ਇੱਕ ਵੱਡੇ ਪੱਧਰ 'ਤੇ ਕੁਝ ਕਰਨ ਦੀ ਕੋਸ਼ਿਸ਼ ਕੀਤੀ। ਅਗਸਤ ਦੇ ਅਖੀਰ ਵਿੱਚ ਇੱਕ ਮੁਹਿੰਮ ਤਹਿਤ ਸੂਬੇ ਦੇ 2.7 ਮਿਲੀਅਨ ਖੂਹਾਂ ਵਿੱਚ ਕਲੋਰਿਨ ਪਾ ਕੇ ਪਾਣੀ ਸਾਫ਼ ਕੀਤਾ ਗਿਆ।
ਸਥਾਨਕ ਸਰਕਾਰਾਂ ਨੇ ਜਨਤਕ ਸਿਹਤ ਐਕਟ ਤਲਾਬਾਂ ਦੇ ਆਲੇ-ਦੁਆਲੇ ਨਹਾਉਣ ਜਾਂ ਤੈਰਾਕੀ ਕਰਨ 'ਤੇ ਪਾਬੰਦੀ ਲਗਾਉਣ ਵਾਲੇ ਬੋਰਡ ਲਗਾਏ ਹਨ ਅਤੇ ਸਵੀਮਿੰਗ ਪੂਲ ਅਤੇ ਪਾਣੀ ਦੀਆਂ ਟੈਂਕੀਆਂ 'ਚ ਨਿਯਮਤ ਕਲੋਰਿਨ ਨਾਲ ਸਫਾਈ ਨੂੰ ਯਕੀਨੀ ਬਣਾਉਣ ਲਈ ਕਦਮ ਚੁੱਕੇ ਹਨ।
ਪਰ ਇਨ੍ਹਾਂ ਉਪਾਵਾਂ ਦੇ ਬਾਵਜੂਦ ਤਲਾਬਾਂ ਨੂੰ ਕਲੋਰੀਨ ਕਰਨਾ ਅਸਲ ਵਿੱਚ ਸੰਭਵ ਨਹੀਂ ਹੈ ਕਿਉਂਕਿ ਇਸ ਨਾਲ ਮੱਛੀਆਂ ਮਰ ਜਾਣਗੀਆਂ। ਨਾਲ ਹੀ 30 ਮਿਲੀਅਨ ਤੋਂ ਵੱਧ ਆਬਾਦੀ ਵਾਲੇ ਸੂਬੇ ਵਿੱਚ ਹਰ ਪਿੰਡ ਦੇ ਪਾਣੀ ਦੇ ਸਰੋਤ ਦੀ ਨਿਗਰਾਨੀ ਕਰਨਾ ਅਵਿਵਹਾਰਕ ਹੈ।
ਅਧਿਕਾਰੀ ਹੁਣ ਮਨਾਹੀ ਦੀ ਬਜਾਏ ਜਾਗਰੂਕਤਾ 'ਤੇ ਜ਼ੋਰ ਦੇ ਰਹੇ ਹਨ: ਘਰਾਂ ਨੂੰ ਟੈਂਕਾਂ ਅਤੇ ਤਲਾਬਾਂ ਨੂੰ ਸਾਫ਼ ਕਰਨ, ਨੱਕ ਧੋਣ ਲਈ ਸਾਫ਼ ਅਤੇ ਗਰਮ ਪਾਣੀ ਦੀ ਵਰਤੋਂ ਕਰਨ, ਬੱਚਿਆਂ ਨੂੰ ਗਾਰਡਨ ਸਪ੍ਰਿੰਕਲਰਜ਼ ਤੋਂ ਦੂਰ ਰੱਖਣ ਅਤੇ ਅਸੁਰੱਖਿਅਤ ਤਲਾਬਾਂ ਤੋਂ ਬਚਣ ਦੀ ਅਪੀਲ ਕੀਤੀ ਜਾ ਰਹੀ ਹੈ।
ਤੈਰਾਕਾਂ ਨੂੰ ਸਲਾਹ ਦਿੱਤੀ ਜਾਂਦੀ ਹੈ ਕਿ ਉਹ ਆਪਣੇ ਸਿਰਾਂ ਨੂੰ ਪਾਣੀ ਤੋਂ ਉੱਪਰ ਰੱਖ ਕੇ, ਆਪਣੇ ਨੱਕ ਢੱਕ ਕੇ ਤੈਰਾਕੀ ਕਰਨ ਅਤੇ ਰੁਕੇ ਹੋਏ ਪਾਣੀ ਜਾਂ ਇਲਾਜ ਨਾ ਕੀਤੇ ਤਾਜ਼ੇ ਪਾਣੀ ਵਿੱਚ ਜਾਣ ਤੋਂ ਗੁਰੇਜ਼ ਕਰਨ।
ਹਾਲਾਂਕਿ ਬਹੁਤ ਸਾਰੇ ਲੋਕਾਂ ਦਾ ਕਹਿਣਾ ਹੈ ਕਿ ਇੱਕ ਸਾਲ ਤੋਂ ਵੱਧ ਸਮਾਂ ਪਹਿਲਾਂ ਜਾਰੀ ਕੀਤੇ ਗਏ ਦਿਸ਼ਾ-ਨਿਰਦੇਸ਼ਾਂ ਦੇ ਬਾਵਜੂਦ ਵੀ ਉਹ ਪੂਰੀ ਤਰ੍ਹਾਂ ਲਾਗੂ ਨਹੀਂ ਹੋ ਸਕੇ ਹਨ।
ਜਲਵਾਯੂ ਪਰਿਵਰਤਨ ਇਸ ਜੋਖਮ ਨੂੰ ਵਧਾ ਰਿਹਾ ਹੈ

ਤਸਵੀਰ ਸਰੋਤ, Getty Images
ਜਾਰਜੀਆ ਯੂਨੀਵਰਸਿਟੀ 'ਚ ਛੂਤ ਦੀਆਂ ਬਿਮਾਰੀਆਂ ਅਤੇ ਸੈਲੂਲਰ ਜੀਵ ਵਿਗਿਆਨ ਦੇ ਪ੍ਰੋਫੈਸਰ ਡੈਨਿਸ ਕਾਇਲ ਨੇ ਬੀਬੀਸੀ ਨੂੰ ਦੱਸਿਆ, "ਇਹ ਇੱਕ ਮੁਸ਼ਕਲ ਸਮੱਸਿਆ ਹੈ। ਕੁਝ ਥਾਵਾਂ (ਗਰਮ ਪਾਣੀ ਦੇ ਚਸ਼ਮੇ) ਕੋਲ ਪਾਣੀ ਦੇ ਸਰੋਤ ਵਿੱਚ ਅਮੀਬਾ ਦੀ ਸੰਭਾਵਨਾ ਬਾਰੇ ਚੇਤਾਵਨੀ ਦੇਣ ਲਈ ਸੰਕੇਤ ਲਗਾਏ ਜਾਂਦੇ ਹਨ। ਜ਼ਿਆਦਾਤਰ ਸਥਿਤੀਆਂ ਵਿੱਚ ਇਹ ਵਿਹਾਰਕ ਨਹੀਂ ਹੈ ਕਿਉਂਕਿ ਅਮੀਬਾ ਕਿਸੇ ਵੀ ਅਣ-ਪ੍ਰਮਾਣਿਤ ਪਾਣੀ ਦੇ ਸਰੋਤ (ਝੀਲਾਂ, ਤਲਾਅ, ਪੂਲ) ਵਿੱਚ ਮੌਜੂਦ ਹੋ ਸਕਦਾ ਹੈ।"
ਉਹ ਕਹਿੰਦੇ ਹਨ, "ਵਧੇਰੇ ਨਿਯੰਤਰਿਤ ਵਾਤਾਵਰਣ ਵਿੱਚ ਸਹੀ ਕਲੋਰੀਨੇਸ਼ਨ ਦੀ ਨਿਰੰਤਰ ਨਿਗਰਾਨੀ ਲਾਗ ਦੇ ਜੋਖਮ ਨੂੰ ਕਾਫ਼ੀ ਘਟਾ ਸਕਦੀ ਹੈ। ਇਨ੍ਹਾਂ ਵਿੱਚ ਪੂਲ, ਸਪਲੈਸ਼ ਪੈਡ ਅਤੇ ਹੋਰ ਮਨੁੱਖ ਦੁਆਰਾ ਬਣਾਈਆਂ ਗਈਆਂ ਮਨੋਰੰਜਨ ਵਾਲੀਆਂ ਪਾਣੀ ਦੀਆਂ ਗਤੀਵਿਧੀਆਂ ਸ਼ਾਮਲ ਹਨ।''
ਵਿਗਿਆਨੀ ਚੇਤਾਵਨੀ ਦਿੰਦੇ ਹਨ ਕਿ ਜਲਵਾਯੂ ਪਰਿਵਰਤਨ ਇਸ ਜੋਖਮ ਨੂੰ ਵਧਾ ਰਿਹਾ ਹੈ। ਗਰਮ ਪਾਣੀ, ਲੰਬੀਆਂ ਗਰਮੀਆਂ, ਅਤੇ ਵਧਦਾ ਤਾਪਮਾਨ ਅਮੀਬਾ ਲਈ ਆਦਰਸ਼ ਸਥਿਤੀਆਂ ਪੈਦਾ ਕਰਦਾ ਹੈ।
ਪ੍ਰੋਫੈਸਰ ਅਨੀਸ਼ ਕਹਿੰਦੇ ਹਨ, "ਕੇਰਲ ਦੇ ਊਸ਼ਣ ਕਟਬੰਧ ਜਲਵਾਯੂ ਵਿੱਚ 1 ਡਿਗਰੀ ਸੈਲਸੀਅਸ ਦਾ ਵਾਧਾ ਵੀ ਇਸਦੇ ਫੈਲਣ ਨੂੰ ਵਧਾ ਸਕਦਾ ਹੈ ਅਤੇ ਜਲ ਪ੍ਰਦੂਸ਼ਣ ਅਮੀਬਾ ਦੁਆਰਾ ਖਾਏ ਜਾਣ ਬੈਕਟੀਰੀਆ ਨੂੰ ਪੋਸ਼ਣ ਦੇ ਕੇ ਇਸਨੂੰ ਹੋਰ ਵਧਾ ਦਿੰਦਾ ਹੈ।"
ਡਾਕਟਰ ਕਾਇਲ ਚੇਤਾਵਨੀ ਦਿੰਦੇ ਹੋਏ ਕਹਿੰਦੇ ਹਨ ਕਿ ਕੁਝ ਪਿਛਲੇ ਕੁਝ ਮਾਮਲਿਆਂ ਦੀ ਪਛਾਣ ਨਹੀਂ ਹੋ ਪਾਈ ਹੈ ਕਿਉਂਕਿ ਅਮੀਬਾ ਨੂੰ ਕਾਰਨ ਵਜੋਂ ਪਛਾਣਿਆ ਹੀ ਨਹੀਂ ਗਿਆ ਹੈ।
ਇਹ ਅਨਿਸ਼ਚਿਤਤਾ ਇਲਾਜ ਨੂੰ ਹੋਰ ਵੀ ਮੁਸ਼ਕਲ ਬਣਾ ਸਕਦੀ ਹੈ। ਡਾਕਟਰ ਕਾਇਲ ਦੱਸਦੇ ਹਨ ਕਿ ਮੌਜੂਦਾ ਦਵਾਈਆਂ ਦਾ ਸੁਮੇਲ "ਸਬ-ਓਪਟੀਮਲ" ਹੈ। ਨਾਲ ਹੀ ਉਹ ਕਹਿੰਦੇ ਹਨ ਕਿ ਬਹੁਤ ਘੱਟ ਮਾਮਲਿਆਂ ਵਿੱਚ ਇਹ ਦਵਾਈ ਮਿਆਰ ਬਣ ਜਾਂਦੀ ਹੈ। "ਸਾਡੇ ਕੋਲ ਇਹ ਨਿਰਧਾਰਤ ਕਰਨ ਲਈ ਲੋੜੀਂਦਾ ਡੇਟਾ ਨਹੀਂ ਹੈ ਕਿ ਸਾਰੀਆਂ ਦਵਾਈਆਂ ਅਸਲ ਵਿੱਚ ਮਦਦਗਾਰ ਹਨ ਜਾਂ ਜ਼ਰੂਰੀ ਹਨ।"
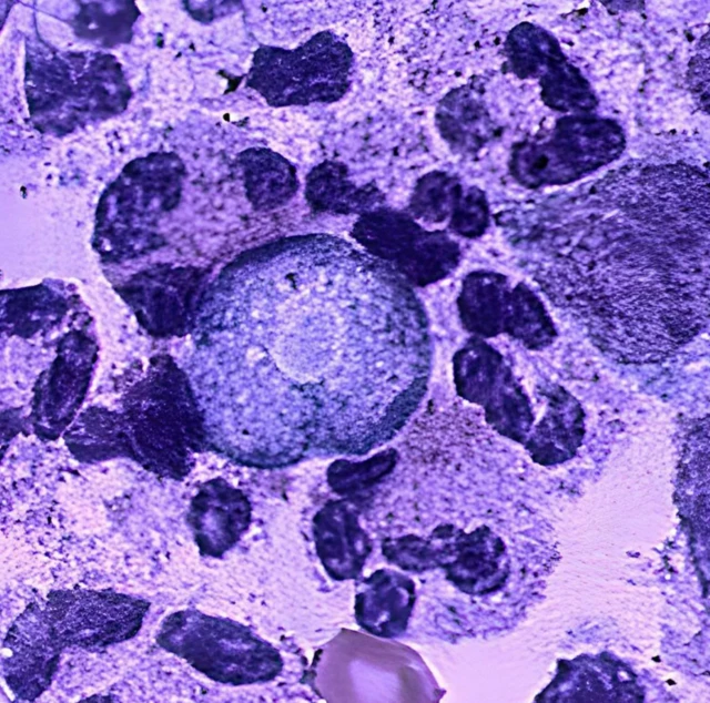
ਕੀ ਹੈ ਇਹ ਬਿਮਾਰੀ?

ਤਸਵੀਰ ਸਰੋਤ, Getty Images
ਅਸਲ ਵਿੱਚ ਇਸ ਬਿਮਾਰੀ ਨੂੰ ਪ੍ਰਾਇਮਰੀ ਅਮੀਬਿਕ ਮੇਨਿਂਗੋਇੰਸੇਫਲਾਈਟਿਸ (ਪੀਏਐਮ) ਨਾਮ ਨਾਲ ਜਾਣਿਆ ਜਾਂਦਾ ਹੈ, ਜੋ ਕਿ ਨੈਗਲੇਰਿਆ ਫ਼ਾਵਲੇਰੀ ਅਮੀਬਾ ਕਾਰਨ ਹੁੰਦੀ ਹੈ।
ਇਹ ਇੱਕ ਦੁਰਲੱਭ ਦਿਮਾਗੀ ਇਨਫੈਕਸ਼ਨ ਹੈ। ਜ਼ਿਆਦਾਤਰ ਮਾਮਲਿਆਂ ਵਿੱਚ ਸਵੀਮਿੰਗ ਪੂਲ ਜਾਂ ਤਲਾਅ ਵਿੱਚ ਤੈਰਾਕੀ ਕਰਦੇ ਸਮੇਂ ਐਨ ਫ਼ਾਵਲੇਰੀ ਅਮੀਬਾ ਨੱਕ ਰਾਹੀਂ ਮਨੁੱਖੀ ਸਰੀਰ ਵਿੱਚ ਦਾਖਲ ਹੋ ਜਾਂਦਾ ਹੈ ਅਤੇ ਉੱਥੋਂ ਉਹ ਦਿਮਾਗ ਦੇ ਹੇਠਾਂ ਸਥਿਤ ਕ੍ਰੀਬ੍ਰੀਫਾਰਮ ਪਲੇਟ ਰਾਹੀਂ ਹੁੰਦੇ ਹੋਏ ਦਿਮਾਗ ਤੱਕ ਪਹੁੰਚਦਾ ਹੈ।
ਬੀਬੀਸੀ ਦੇ ਸਹਿਯੋਗੀ ਪੱਤਰਕਾਰ ਇਮਰਾਨ ਕੁਰੈਸ਼ੀ ਨੇ ਜੁਲਾਈ 2024 ਵਿੱਚ ਇਸ ਬਿਮਾਰੀ ਤੋਂ ਬਚੇ ਇੱਕ 14 ਸਾਲ ਦੇ ਮੁੰਡੇ ਬਾਰੇ ਰਿਪੋਰਟ ਕਰਨ ਦੌਰਾਨ ਮੁੰਡੇ ਦਾ ਇਲਾਜ ਕਰਨ ਵਾਲੇ ਡਾਕਟਰ ਨਾਲ ਗੱਲਬਾਤ ਕੀਤੀ ਸੀ।
ਕੋਜ਼ੀਕੋਡ ਦੇ ਬੇਬੀ ਮੈਮੋਰੀਅਲ ਹਸਪਤਾਲ ਦੇ ਸਲਾਹਕਾਰ ਪੀਡੀਆਟ੍ਰਿਕ ਇੰਟੈਂਸਿਵਿਸਟ ਡਾਕਟਰ ਅਬਦੁਲ ਰਾਊਫ ਨੇ ਉਸ ਵੇਲੇ ਬੀਬੀਸੀ ਨੂੰ ਦੱਸਿਆ ਸੀ ਕਿ "ਇਹ ਇੱਕ ਪਰਜੀਵੀ ਹੈ ਜੋ ਵੱਖ-ਵੱਖ ਰਸਾਇਣਾਂ ਨੂੰ ਛੱਡਦਾ ਹੈ ਅਤੇ ਦਿਮਾਗ ਨੂੰ ਨਸ਼ਟ ਕਰ ਦਿੰਦਾ ਹੈ।"
"ਇਸ ਦੇ ਮੁੱਖ ਲੱਛਣ ਹਨ- ਬੁਖਾਰ, ਤੇਜ਼ ਸਿਰ ਦਰਦ, ਗਲ਼ੇ ਵਿੱਚ ਅਕੜਾਅ ਹੋਣਾ, ਬੇਹੋਸ਼ੀ ਹੋਣਾ, ਦੌਰੇ ਪੈਣਾ ਤੇ ਕੋਮਾ ਦੀ ਸਥਿਤੀ ਵਿੱਚ ਚਲੇ ਜਾਣਾ।"

ਤਸਵੀਰ ਸਰੋਤ, Getty Images
ਜ਼ਿਆਦਾਤਰ ਮਰੀਜ਼ ਖੋਪੜੀ ਵਿੱਚ ਜ਼ਿਆਦਾ ਦਬਾਅ ਕਾਰਨ ਮਰ ਜਾਂਦੇ ਹਨ।
ਡਾਕਟਰ ਰਊਫ਼ ਨੇ ਕਿਹਾ, "ਇਹ ਅਮੀਬਾ ਤਾਜ਼ੇ ਪਾਣੀ ਦੀਆਂ ਝੀਲਾਂ ਵਿੱਚ ਪਾਇਆ ਜਾਂਦਾ ਹੈ, ਖ਼ਾਸ ਕਰਕੇ ਗਰਮ ਪਾਣੀ ਦੀਆਂ ਝੀਲਾਂ ਵਿੱਚ।"
"ਇਹ ਧਿਆਨ ਵਿੱਚ ਰੱਖਣਾ ਚਾਹੀਦਾ ਹੈ ਕਿ ਲੋਕਾਂ ਨੂੰ ਪਾਣੀ ਵਿੱਚ ਛਾਲ ਨਹੀਂ ਮਾਰਨੀ ਚਾਹੀਦੀ ਅਤੇ ਨਾ ਹੀ ਡੁਬਕੀ ਲਗਾਉਣੀ ਚਾਹੀਦੀ ਹੈ। ਇਸ ਮਾਧਿਅਮ ਰਾਹੀਂ ਹੀ ਅਮੀਬਾ ਸਰੀਰ ਵਿੱਚ ਦਾਖਲ ਹੁੰਦਾ ਹੈ।"
"ਜੇਕਰ ਪਾਣੀ ਪ੍ਰਦੂਸ਼ਿਤ ਹੈ, ਤਾਂ ਅਮੀਬਾ ਤੁਹਾਡੇ ਨੱਕ ਰਾਹੀਂ ਸਰੀਰ ਵਿੱਚ ਦਾਖਲ ਹੁੰਦਾ ਹੈ। ਪਾਣੀ ਦੇ ਪ੍ਰਦੂਸ਼ਿਤ ਤੱਤਾਂ ਅਤੇ ਇੱਥੋਂ ਤੱਕ ਕਿ ਸਵਿਮਿੰਗ ਪੂਲ ਤੋਂ ਵੀ ਦੂਰ ਰਹਿਣਾ ਸਭ ਤੋਂ ਵਧੀਆ ਬਚਾਅ ਹੈ।
"ਜੇ ਕੋਈ ਤੈਰਾਕੀ ਕਰ ਰਿਹਾ ਹੈ ਤਾਂ ਉਸ ਨੂੰ ਆਪਣੇ ਚਿਹਰਿਆਂ ਨੂੰ ਪਾਣੀ ਤੋਂ ਉੱਪਰ ਰੱਖਣਾ ਚਾਹੀਦਾ ਹੈ। ਪਾਣੀ ਵਿੱਚ ਕਲੋਰੀਨ ਮਿਲਾਉਣਾ ਬਹੁਤ ਜ਼ਰੂਰੀ ਹੈ।"
ਖ਼ੁਦ ਨੂੰ ਸੁਰੱਖਿਅਤ ਕਿਵੇਂ ਰੱਖੀਏ?

ਤਸਵੀਰ ਸਰੋਤ, Getty Images
ਜ਼ਿਆਦਾਤਰ ਲੋਕ ਤਲਾਬਾਂ ਅਤੇ ਨਦੀਆਂ ਵਿੱਚ ਨਹਾਉਣਾ ਪਸੰਦ ਕਰਦੇ ਹਨ। ਕੁਝ ਲੋਕ ਸਵੀਮਿੰਗ ਪੂਲ 'ਤੇ ਜਾਣ ਬਾਰੇ ਸੋਚਦੇ ਹਨ। ਅਜਿਹੇ ਹਾਲਾਤ ਵਿੱਚ ਕੀ ਕਰੀਏ?
ਡਾ. ਅਬਦੁੱਲ੍ਹਾ ਰੌਬ ਨੇ ਖ਼ੁਦ ਨੂੰ ਇਸ ਅਮੀਬਾ ਦੀ ਲਾਗ ਤੋਂ ਬਚਾਉਣ ਲਈ ਕੁਝ ਉਪਾਅ ਦੱਸੇ ਹਨ।
ਇਹ ਇਸ ਤਰ੍ਹਾਂ ਹਨ:
- ਅਜਿਹੇ ਸਵੀਮਿੰਗ ਪੂਲ ਵਿੱਚ ਨਾ ਜਾਓ ਜਿਨ੍ਹਾਂ ਦੀ ਸਾਂਭ-ਸੰਭਾਲ ਠੀਕ ਤਰ੍ਹਾਂ ਨਾ ਕੀਤੀ ਗਈ ਹੋਵੇ ਅਤੇ ਜਿਨ੍ਹਾਂ ਵਿੱਚ ਪਾਣੀ ਘੱਟ ਹੋਵੇ।
- ਜਾਂਚ ਕਰੋ ਲਵੋ ਕਿ ਸਵੀਮਿੰਗ ਪੂਲ ਕਲੋਰੀਨ ਨਾਲ ਠੀਕ ਤਰ੍ਹਾਂ ਰੋਗਾਣੂ ਮੁਕਤ ਕੀਤਾ ਗਿਆ ਹੈ।
- ਪ੍ਰਦੂਸ਼ਿਤ ਤਲਾਬਾਂ ਅਤੇ ਝੀਲਾਂ ਵਿੱਚ ਨਹਾਉਣ ਤੋਂ ਬਚਣਾ ਚਾਹੀਦਾ ਹੈ।
- ਜਿੱਥੇ ਤੱਕ ਸੰਭਵ ਹੋਵੇ ਪੂਲ ਵਿੱਚ ਕਲੋਰੀਨ ਮਿਲਾਈ ਜਾਣੀ ਚਾਹੀਦੀ ਹੈ।
- ਕਿਉਂਕਿ ਇਹ ਅਮੀਬਾ ਨੱਕ ਰਾਹੀਂ ਸਰੀਰ ਵਿੱਚ ਦਾਖਲ ਹੁੰਦਾ ਹੈ, ਇਸ ਲਈ ਤੁਹਾਨੂੰ ਪਾਣੀ ਵਿੱਚ ਛਾਲ ਮਾਰਨ ਅਤੇ ਗੋਤਾ ਲਗਾਉਣ ਦੀ ਬਜਾਏ ਆਪਣੇ ਸਿਰ ਨੂੰ ਉੱਪਰ ਰੱਖਣਾ ਚਾਹੀਦਾ ਹੈ।
ਬੀਬੀਸੀ ਲਈ ਕਲੈਕਟਿਵ ਨਿਊਜ਼ਰੂਮ ਵੱਲੋਂ ਪ੍ਰਕਾਸ਼ਿਤ
































