Je, athari za bomu la atomiki la Marekani ziliingiaje mwilini mwako?

Chanzo cha picha, Getty image
Iko kwenye meno yako. iliingia machoni mwako. Imezikwa kwenye ubongo wako. Wanasayansi huita hii "ncha ya bomu". Imekuwa ndani ya mwili wako kwa zaidi ya nusu karne sasa.
Katika miaka ya 1950 iliyopita, majaribio ya bomu la atomiki yalifanyika katika sehemu mbalimbali za sakafu ya dunia. Mfululizo huu wa majaribio ulisababisha mabadiliko ya kemikali katika angani ambayo hayajawahi kufanywa hapo awali.
Hasa, baharini, pamoja na katika miamba, ilibadilisha maudhui ya kaboni ya viumbe vya Dunia.
Lakini, tofauti na mionzi ya moja kwa moja inayotolewa wakati bomu la nyuklia linapolipuka, 'ncha ya bomu' katika angani inayotokana na jaribio la nyuklia haina madhara.
Badala yake, imethibitika kuwa yenye manufaa kwa wanasayansi kwa njia mbalimbali katika miaka ya hivi karibuni.
Pamoja na hayo, uwepo wa kemikali hii katika ziwa nchin Canada, pamoja na kuongezeka kwa kaboni kama matokeo ya shughuli za kisayansi kama vile majaribio ya nyuklia tangu katikati ya karne ya 20, hivi karibuni kumependekezwa na wanasayansi kama kuashiria mwanzo rasmi wa uwepo wa mwanadamu duniani.
Ni muhimu sana kwa wataalam wa mahakama kutabiri wakati mtu alizaliwa au alikufa, na kwa madaktari kuamua umri wa neurons katika ubongo wa binadamu.
Pia, kemikali hii inaweza kutumika kutabiri umri wa wanyama pori na kuamua mwaka ambao pombe ya divai nyekundu ilitolewa.
Ncha ya bomu ni nini hasa? Inaelezea ujumbe gani kuhusu mwanadamu na dunia?

Chanzo cha picha, Getty images
Mkataba wa Marufuku ya Majaribio ya Nyuklia
Mkataba wa Marufuku ya Majaribio ya Nyuklia wa 1963 unawalazimu waliotia saini kufanya majaribio ya silaha za nyuklia chini ya ardhi pekee.
Kabla ya mkataba huo kutiwa saini, nchi mbalimbali zilikuwa zimefanya majaribio ya nyuklia ya wazi zaidi ya 500.
Hasa Marekani na Urusi zimefanya idadi kubwa ya majaribio ya silaha za nyuklia. Athari ya haya ilionekana katika angahewa ya Dunia.
Imethibitishwa vyema na tafiti kwamba mionzi iliyotolewa wakati wa majaribio ya nyuklia inaweza kuenea mbali na maeneo ya majaribio, kudhuru wanadamu na wanyamapori, na kufanya maeneo mengi ya majaribio yasiwe na makazi kabisa.
Lakini ukweli kwamba molekyuli za kemikali katika mabomu huchanganyika na nitrojeni katika angahewa na kuunda isotopu mpya kama kaboni-14 ilikuwa kipengele kisichojulikana nje ya maabara.
Kaboni iliyoongezwa maradufu
Katika miaka ya 1960, majaribio ya silaha za nyuklia za anga za wazi yalizidisha viwango vya awali vya kaboni-14 katika angahewa. Mara ya kwanza isotopu hii (carbon-14) iliingia kwenye maji, udongo na mimea. Tayari imefikia viumbe vya baharini.
Kisha ikapitia chakula hadi kwenye mwili wa mwanadamu. Athari zake kwa meno, macho na ubongo wa binadamu zimekuwepo katika mwili wa binadamu kwa zaidi ya nusu karne.
Kimsingi, “Tangu mwishoni mwa miaka ya 1950, nyenzo za miti na udongo wenye uwezo wa kutoa kemikali za kaboni zimeathiri kiwango cha kaboni dioksidi katika angahewa.
Kila moja ya mambo haya ni kile kinachoitwa 'bomu kaboni-14,'" alibainisha Walter Gutsera wa Chuo Kikuu cha Vienna katika uchambuzi wa 2022 wa matumizi ya kisayansi ya kemikali katika jarida la Radiocarbon.
Kaboni kutabiri miaka
Pata habari za kina kutoka BBC News Swahili, moja kwa moja kupitia WhatsApp.
Bonyeza hapa kujiunga
Mwisho wa Whatsapp
Ni katikati ya karne ya 20 ambapo kaboni-14 ilijulikana na wanasayansi. Lakini ilichukua miongo kadhaa kwa wanasayansi kutambua kwamba ilikuwa muhimu kisayansi.
Carbon-14 imetumika tangu miaka ya 1950 kuamua umri halisi wa mabaki ya mawe au maandishi ya kale. Utaratibu huu unatokana na kuoza kwa mionzi ya kaboni-14. Hii inaitwa 'radiocarbon dating'.
Hatahivyo, isotopu ya kaboni 14 haina msimamo. Inaoza polepole na kuwa nitrojeni baada ya miaka elfu chache ya malezi. Kulingana na hili, wakati Neanderthal (mababu zetu) walipolikufa, kiasi cha kaboni-14 kutoka kwa mifupa na meno yao kingeanza kupungua polepole.
Watafiti wanasema kupungua kwa kaboni-14 kunaweza kupimwa kulingana na tarehe ya kifo cha Neanderthal.
Kwa sababu ya kiwango cha kuoza polepole kwa isotopu ya kaboni-14, miadi ya radiocarbon ina kikomo katika kutabiri umri wa sampuli ya zaidi ya miaka 300.
Lakini tangu mapinduzi ya viwanda, ongezeko la kiasi cha kaboni dioksidi katika angahewa kufanya kuwa mgumu zaidi.
Walakini, watafiti waligundua mapema karne hii kwamba kiwango kinachoongezeka cha kaboni kwenye angahewa (Carbon Spike au Pulse) inaweza kusaidia kutumia kaboni-14 kwa njia zingine.
Kimsingi inaruhusu kutabiri umri wa kitu, ndani ya miaka 70-80 iliyopita.
Kupungua kwa viwango vya kaboni

Chanzo cha picha, getty images
Tangu mwishoni mwa miaka ya 1950, imekadiriwa kuwa ushawishi wa isotopu ya kaboni-14 katika maumbile na wanadamu umekuwa ukipungua polepole. Kwa hivyo, kutokana na majaribio yao, wanasayansi wanaweza kuchambua uwiano wa kaboni-14 katika jambo lolote la kikaboni ambalo limebadilisha kaboni na angahewa na kubainisha chanzo chake.
Uchambuzi huu unajumuisha kila mtu aliyezaliwa katika miaka ya 1950 na baadaye. Tishu za mwili za mtu aliyezaliwa katika miaka ya 1950 zina kaboni-14 zaidi kuliko tishu za mtu aliyezaliwa katika miaka ya 1980.
Uchunguzi wa data za uhalifu
Mojawapo ya matumizi ya awali ya kaboni-14 ilikuwa kusaidia wachunguzi wa uhalifu kubaini umri wa mabaki ya binadamu ambayo hayajatambuliwa.
Wataalamu wamegundua kwamba isotopu za kaboni-14 zinaweza kupimwa kwenye meno, mifupa, nywele au hata mboni ya jicho ili kukadiria umri wa mtu au alipokufa, asema Eden Centine Johnstone Belfort wa Chuo Kikuu cha Monash huko Melbourne.
Belfort na Blue, katika ukaguzi wa 2019, walitaja mifano kadhaa ya ' kaboni ya kutabiri miaka'.
Hasa, walibaini katika ukaguzi wao kwamba wachunguzi wa polisi walitumia miadi ya kaboni kuthibitisha kwamba mwili uliopatikana katika ziwa kaskazini mwa Italia mnamo 2010 ulitupwa huko na muuaji mwaka uliopita (2009).
Katika visa vya uhalifu wa kivita, mauaji ya halaiki na mauaji ya kiholela, Belfort na Blue wanataja kwamba miadi ya kaboni inaweza kuwa na jukumu muhimu katika kuamua ni lini na wapi marehemu waliuawa kutokana na ukiukaji huo wa haki za binadamu.
Mnamo 2004, kwa mfano, sampuli za nywele za kaboni zilizopatikana kwenye kaburi huko Ukrainie ziliruhusu wachunguzi kutambua iwapo walikuwa wa uhalifu wa kivita wa Nazi uliofanywa kati ya 1941 na 1952.
Kaboni ya kubaini miaka haujatumika tu katika uchunguzi wa ukiukaji wa haki za binadamu, lakini pia umesababisha maarifa mapya katika mwili wa binadamu na seli za ubongo.
Tafiti za Maabara
Mnamo 2005, Kirsty Spalding, mwanabiolojia katika Taasisi ya Karolinska nchini Uswidi, na wenzake walijifunza kwamba kwa kuchambua kuzaliwa au kifo cha binadamu na kaboni 14, umri wa jamaa wa seli za binadamu unaweza kutambuliwa.
Kirsty Spalding alitumia mbinu ya kaboni ya kubaini miaka katika tafiti zake zilizofuata ili kubaini ikiwa seli fulani katika mwili wa binadamu zipo tangu kuzaliwa au zinabadilika kila mara.
Unene ni tatizo
Kwa mfano, seli za binadamu zinapokufa, mwili huzalisha seli za mafuta zinazoitwa adipocytes ili kufidia, kulingana na utafiti wa 2008 wa Spaulding na wenzake.
Ilibainika pia kuwa idadi ya seli hizi za mafuta hazibadiliki hadi mtu afikie utu uzima. Hii imesababisha tiba mpya ya unene wa kupitia kiasi.
Kwa kutabiri kiwango cha kuzaliwa au kifo cha seli za mafuta kwa kutumia carbon dating, sayansi ya matibabu imepata njia ambayo kupitia mazoezi na mabadiliko ya chakula, mtu anaweza kupunguza idadi ya seli za mafuta ambazo zina jukumu kubwa katika kunenepa kupitia kiasi.

Chanzo cha picha, Getty images
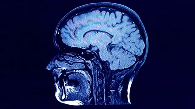
Utafiti wa neuroni
Spaulding na wenzake walifanya tafiti mwaka wa 2013 kwa kutumia mbinu za kutabiri umri wa kitu kwenye seli za ubongo wa binadamu zinazoitwa nyuroni. Kwa miaka mingi, watafiti wamefikiri kwamba idadi ya niuroni katika ubongo wa mwanadamu huwekwa utotoni.
Katika gamba la ubongo, matokeo ya tafiti za awali za kikundi cha Spalding yaliakisi uelewa wa watafiti kuhusu niuroni.
Lakini kwa kutumia Carbon dating katika eneo la hippocampus ya ubongo, timu ya Spalding iligundua kuwa niuroni mpya zinaweza kuzalishwa katika maisha yote ya mtu, hata baada ya kufikia uzee.
Matokeo ya utafiti, yaliyochukuliwa kuwa hatua kubwa katika tiba ya nyuroni , yamesababisha mikakati ya kimatibabu ya kuzuia upotezaji wa nyuroni unaosababishwa na ugonjwa na kuongeza idadi ya niuroni mpya.
Kipindi cha anthropocene
Zaidi ya nyanja za dawa za kisasa na akili, teknolojia ya kubainni umri wa kitu au carbon dating pia imekuwa na jukumu muhimu katika kuthibitisha enzi mpya ya Dunia inayoitwa Anthropocene.
Anthropocene inachukuliwa kuwa kipindi ambacho shughuli za binadamu zilitawala hali ya hewa na mazingira.
Muda mfupi baada ya wazo la Anthropocene kuibuka, wanajiolojia walianza kujadili jinsi ya kufafanua kipindi hiki Duniani kwa safu ya mwamba, barafu au mchanga unaojulikana kama 'Golden Spike'.
Kwa sababu mwanzo wa kipindi cha Holocene ni alama ya barafu fulani iliyochukuliwa kutoka katikati ya Greenland. Vile vile, kipindi cha Jurassic huanza katika Alps ya Austria. Pia, baadhi ya athari za Kipindi cha Ediacaran, mojawapo ya vipindi vya kale zaidi duniani, vilivyoanzia miaka milioni 600 hivi, vinaweza kupatikana katika Milima ya Flanders ya Australia.
Ingawa Dunia imepitia vipindi kadhaa vya wakati, athari za shughuli mbalimbali za binadamu zimechunguzwa kwa miaka mingi kama uwezekano wa kuashiria kipindi cha Anthropocene.

Chanzo cha picha, Getty Images
Matendo na athari za wanadamu duniani
Hili linaweza kuwa ongezeko la methane lililosababishwa na kilimo cha mapema maelfu ya miaka iliyopita. Vile vile, mapinduzi ya viwanda yanaweza kuwa kipindi ambacho mafuta yasiyoweza kurejeshwa kama vile gesi asilia na mafuta yasiyosafishwa yalitolewa kutoka kwa nishati zisizorejesheka kama vile petroli.
Hatahivyo, Kikundi Kazi cha Anthropolojia mnamo 2016 kilikataa hoja kwamba shughuli za binadamu, kama vile majaribio ya silaha za nyuklia, zilikuwa na athari kubwa kwenye ulimwengu, kama vile kuongezeka kwa viwango vya kaboni kwenye angahewa tu katika miaka ya 1950.
Kundi hilo lilisema kuwa shughuli mbalimbali za binadamu tayari zimeathiri Dunia kabla ya miaka ya 1950.
Katika kisa kama hicho na cha hivi karibuni zaidi, mwezi uliopita, Ziwa la Crawford huko Ontario, Canada lilipatikana kuwa na kemikali zikiwemo kaboni-14 na plutonium.
Ijapokuwa kuna uthibitisho mbalimbali wa athari za wanadamu kwa maumbile duniani, wanaanthropolojia wanasema kwamba wakati majaribio ya bomu ya atomiki yalifanywa ilikuwa karne ambapo mwanadamu alianza kuwa na athari kubwa kwa asili.









