Kuna hatari gani za kuzuia kupiga chafya?

Chanzo cha picha, MAYANK MAKHIJA/NURPHOTO VIA GETTY IMAGES
Mwanaume mmoja nchini Uingereza alipata majeraha ya koo baada ya kuzuia kupiga chafya. Madaktari wameonya kuzuia kupiga chafya kunaweza kuwa na athari.
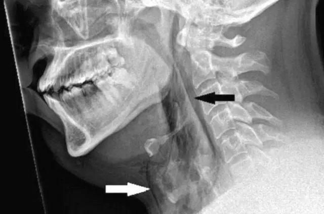
Mwanaume huyo mwenye umri wa miaka 30 alilazwa katika Hospitali ya Ninewells huko Dundee, Uingereza, akiwa na maumivu makali ya shingo. Alipopiga chafya, alifunika pua na mdomo kwa mikono yake.
Kwa kuzuia chafya hiyo, koo lake lilikuwa na upana wa milimita 2. Ilibainika kupitia uchunguzi na kuonekana jera alilokuwa nalo.
Madaktari katika Chuo Kikuu cha Dundee wanasema kufunika mdomo na pua wakati mtu anapiga chafya huongeza kanieneo kwenye njia ya juu ya hewa kwa mara 20.
Hatari za Kuzuia Chafya

Chanzo cha picha, BMJ
Madaktari wanasema kuna hatari ya sikio kupasuka kutokana kani kuwa kubwa. Pia, maambukizi ya mishipa ya damu yanaweza kutokea. Madaktari vilevile wanaonya mifupa ya kifua inaweza kuvunjika au majeraha mengine makubwa yanaweza kutokea.
Katika uchunguzi wa mtu aliyepata majeraha, madaktari wanasema sauti ilikuwa ikitoka kooni na mtu huyo alishindwa kuizuia. Wakati wa kupiga chafya, mtu huyo alikuwa akiendesha gari akiwa amejifunga mkanda kwa mujibu wa madaktari.
Tukio sawa na hilo lilitokea 2018 huko Uingereza. Mwanaume mmoja huko Leicester alipata majera ya koo baada ya kuzuia chafya. Alipata maumivu makali kwenye koo lake, kiasi cha kushindwa kuongea na kumeza chakula.
Matokeo yake, madaktari walimlisha kupitia bomba kwa siku saba.
Faida za Kupiga Chafya

Chanzo cha picha, GETTY IMAGES
Pata habari za kina kutoka BBC News Swahili, moja kwa moja kupitia WhatsApp.
Bonyeza hapa kujiunga
Mwisho wa Whatsapp
Madaktari wanasema mwanaume huyo hakuhitaji kufanyiwa upasuaji wowote na aliwekwa chini ya uangalizi katika hospitali hiyo kwa muda. Alipewa dawa za kutuliza maumivu na kuruhusiwa kutoka hospitalini.
Madaktari walishauri apumzike vya kutosha na asifanye kazi nyingi kwa muda wa wiki mbili. Wiki tano baadaye, madaktari walibaini jeraha alilopata lilikuwa limepona kabisa.
Makala ya Dtk. Rastes Misirovs katika jarida la matibabu inasema, ''kupiga chafya ni utaratibu wa asili na ni mchakato wa ulinzi wa mwili wa binadamu.''
Anaeleza kupiga chafya huzuia kitu chochote chenye muwasho kuingia mwilini kupitia puani, na hivyo mtu hapaswi kamwe kuacha kupiga chafya.
"Wakati wa kupiga chafya, maambukizi yanayowasha kama vile virusi hutolewa kutoka puani pamoja na mate na kamasi. Tunapaswa kufunika pua zetu kwa mikono yetu ili kuzuia virusi kuenea kwa wale walio karibu nasi lakini tusizuie kupiga chafya," anasema.
Kuacha kupiga chafya kunaweza kusababisha majera ya koo. Ingawa madaktari wanasema matukio kama hayo ni nadra, lakini wakati mwingine yanaweza kuwa hatari.
Sababu za Kupiga Chafya

Chanzo cha picha, GETTY IMAGES
Madaktari wanasema kupiga chafya hanasababishwi na vijidudu, virusi au vumbi. Wakati mwingine hata mionzi yenye nguvu ya jua inaweza kusababisha kupiga chafya.
Uchunguzi kwa watu zaidi ya 1,000, wa watafiti wa nchini Ujerumani uliripoti kuwa miale mikali au mwanga mkali wa jua husababisha kupiga chafya.
Wataalamu wengine wanaamini sababu ya kupiga chafya inaweza kuwa ya urithi. Watu huripoti kupiga chafya baada ya kula chakula kingi.
Chafya ya mtu inaweza kufikia mita nane au futi 26.
Utafiti uliofanywa na Lydia Boroiba katika Taasisi ya Teknolojia ya Massachusetts uligundua chembechembe zinazotolewa kutoka puani wakati wa kupiga chafya zinaweza kuelea hewani kwa dakika kadhaa.
Imetafsiriwa na Rashid Abdallah na kuhaririwa na Dinah Gahamanyi












