Gingivitis, periodontitis na ọrịa ndị ọzọ ga-etinyenwu ọnụ gị na nsogbu

Ebe foto si, Getty Images
- Onye dere ya, Chimamaka Ihenacho
- Ndị mere akụkọ a, Broadcast Journalist, Igbo
E nwere ike a jụọ gị ọrịa ndị ị ma na-enye nsogbu n'ọnụ mmadụ i kwuo; ọnụ isi, eze ure nakwa eze mgbu, mana ị ma na ọrịa eze nwere ike igbu gị?
Ndị ọkachamara n'ihe gbasara eze, ọrịa na-eso eze na nlekọta ya, na-akọwa na ọ bụghị naanị ihicha eze gị n'ụtụtụ ga-egbochi ụfọdụ ọrịa na-eme n'eze mmadụ.
Dọkịta na-ahụ maka eze gwara BBC Igbo na ụfọdụ mmadụ esila n'ọrịa eze laa mmụọ, mana anyị ga-akọwara gị etu nke a si eme.
Ị na-ata atụ n'ụtụtụ mana ọ bụ naanị ebe ahụ ka ihe gbasara idebe ọnụ gị ọcha biri?
Dkt Olakunle Ogunbayo bụ dọkịta eze kwuru sị na o bighi naanị n'ịta atụ n'ụtụtụ; ihe ndị ị na-etinye n'ọnụ gị na-eso eme ka ị mara ma eze ọ ga-ere gị maọbụ ọ gaghị ere gị.
Ọ gara n'ihu kpọpụta ọrịa ndị nwereike imekpa eze gị ahụ nakwa etu ị ga-ezi echekwa eze gị.
Lee ọrịa ndị ahụ nwereike ịkpa mkpamkpa n'ime ọnụ gị, ọkachasị n'eze gị:
1) Eze kpọpuru akpọpu/eze ure (Cavities/dental caries):

Ebe foto si, Science Photo Library
Ị ma ihe ahụ na-acha ọcha na-adị n'eze gị tupu ị saa ọnụ n'ụtụtụ? Ọ bụkwa ya bụ "plaque" a na-ekwu okwu ya.
Mana mgbe ọ na-abụ nsogbu bụ mgbe ụfọdụ ndị mmadụ na-anaghị asa eze ha hapụrụ ya ka ọ tọkịrị n'eze ha, kpọọ nkụ ebe ahụ dịka foto a na-egosi n'ala.
Eze mkpọpu na-esikarị n'ebe nke a kpọrọ "plaque" bụ ihe ahụ na-acha ọcha na-anyado n'eze na-amụkọ n'eze onye anaghị ata atụ ọfụma, nri fanyere n'eze, asọmmiri nakwa nje bakteria.
Bakteria a na-amụpụta asidi dịka ọ na-erikwa nri ị na-etinye n'ọnụ. Nke a na-eme ka eze gharazie isi ike etu o kwesịrị.
Nke a na-emekwa ka ya bụ bakteria na-abanye n'ime ime eze, mee ka okpuru eze ebe a na-akpọ "pulp" na Bekee ghere oghe. Eze ghere oghe butezie ọrịa, eze ahụ anwụọ.
Ihe ọzọ na-ebute mkpọpu eze a nke na-ebutekwa eze mgbu bụ ịṅụfe mmanya maọbụ nri ndị nwere shuga oke.
Mana ị ga-egbochinwu eze gị inwe mkpọpu ma ọ bụrụ na ị na-asa eze gị kwa mgbe kwa mgbe n'ihi na ọ ga-ewepụ "plaque" a na-amụkọ n'eze, nakwa site n'igakwuru ndị dọkịta eze bụ ndị ga-ewepụnwu plaque ahụ.
2) "Ludwig's Angina":
"Ludwig's Angina" bụ ọrịa eze nwereike ibute ọnwụ gị ma ị na-akpachaghị anya.
Ọrịa a bụ ọrịa na-eme n'ala ọnụ mmadụ, n'okpuru ire nke nwereike ibute ihe a kpọrọ "tooth abscess" bụ mgbe abụ banyere n'ime eze mmadụ.
O nwekwara ike ịbanye n'ime akụkụ ọnụ ndị ọzọ ọkachasị ma mmadụ nwee ọnya n'ọnụ.
Ihe ndị ọzọ na-egosi na mmadụ nwere nsogbu a gụnyere ọzịza ire, olu mgbu na ntị mgbu, ilo ihe nakwa ikwu okwu nwereike ịra ahụ, nakwa mgbe iku ume rawara ahụ ụfọdụ oge.
Ọzọ bụkwa na ọ na-ebute ahụ ọkụ, mgbagwoju anya nakwa ike ọgwụgwụ.
Gịnị na-ebute ọrịa a? Elekọtaghị eze gị ọfụma, ọnya n'ime ọnụ nakwa ụfọdụ oge ọ bụrụ na efopughi gị eze ọfụma.
Gbara gakwuru dọkịta eze ma dịrị ihe a mewe gị, makana o nwereike ibute ọnwụ.
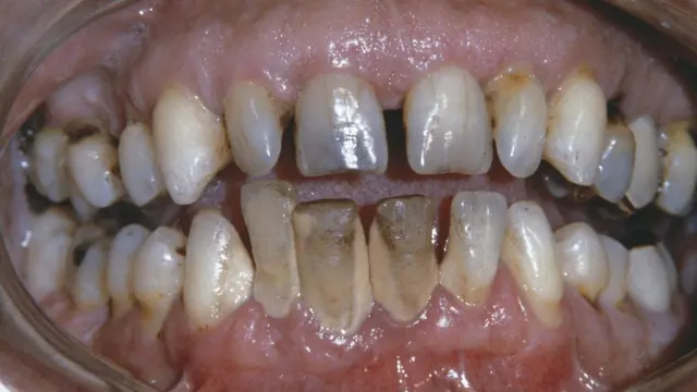
3) Ọzịza ukwu eze (Gingivitis):

Ebe foto si, Science Photo Library
Ọrịa a na-emekarị ndị okenye karịa ụmụaka. Ọ na-abịa mgbe bakteria na-eri n'ọnụ mmadụ mụkọrọ n'ukwu eze mmadụ, nke na-eme ka plaque (nke a na-akpọkwa "tartar" maọbụ "calculus") ahụ na-amụkọ n'eze mmadụ sie ike.
Nke a na-amụkọ ma na-agbasa oghere dị n'etiti eze, ma bute ọzịza ukwu eze. Ụfọdụ ọgwụ mmadụ na-aṅụ nwekwara ike ibute ọrịa eze a.
Ihe ndị na-egosikarị na mmadụ nwere nsogbu a karịa na ukwu eze onye ahụ zara aza gụnyere na ukwu eze ahụ ga na-agba ọbara ma ọ na-echi eze ya, o nwereike inwe eze mgbu, ọnụ ya ga na-esikwa isi.
Ọ bụkwa ọzịza ukwu eze a na-agwọghị agwọ na-ebu ụzọ egosi na mmadụ enweela nsogbu a kpọrọ "periodontitis", nke nwereike ibute mmebisi ihe ndị na-ejide eze mmadụ nakwa mee ka eze na-adapụsị.
Ukwu eze gị na-aza aza gbaa mbọ gakwuru ndị dọkịta eze ka ha lee ya anya.
Dkt Ogunbayo kwuru na e nwereike isi n'eze mmadụ mara ma o nwere ụfọdụ ọrịa gụnyere ọrịa shuga (diabetes) nakwa nkwụsị ịhụ nsọ na nwaanyị (menopause).
4) Periodontitis:

Ebe foto si, Science Photo Library
Ọrịa a na-esi na ọzịza ukwu eze a na-agwọghị agwọ malite, nke bụ na elekọtaghị eze ọfụma na-ebute ọrịa a.
Bakteria na-ebute ozịza ukwu eze, na-ebute periodontitis a bụ mgbe uru anụ na ọkpụkpụ na-ejide eze malitere iri mperi.
Periodontitis na-akpa mkpamkpa, ọ na-eme ka oghere dịchaa n'etiti eze nakwa n'ukwu eze dịka foto a dị n'elu.
N'afọ 2019 ka ndị ọkammụta sayensị chọpụtakwara na ọrịa a nwereike ibute ọrịa nchefu ihe a na-akpọ "Alzheimer's" na Bekee.
A na-eche na ọ na-egosikwa na mmadụ nwere ọrịa ogbu na nkwonkwo a na-akpọ "Arthritis" na Bekee.
5) Ọnụ isi (halitosis):

A ka kwesịrị ịkọwara gị nke a?
Ọnụ isi bụ mgbe ajọ isi si mmadụ n'ọnụ na-ekuputa ma o meghee ọnụ.
Ụfọdụ oge ọ na-abụ n'ihi elekọtaghị eze nakwa ọnụ ọfụma na-ebute ya, mana ọnọdụ ahụike mmadụ na-ebutekwa ya.
Elekọtaghị eze dịka mgbe mmadụ akpachapụghị ihe kpafanyere ya n'eze, bakteria bịazie tinye aka gbarichaa ya, onye ahụ abanye na nsogbu a.
Ihe ndị ọzọ na-ebute ya bụ ise anwụrụ, ọnụ asọmmiri kọrọ (dịka mgbe mmadụ anaghị emepụta asọmmiri etu o kwesịrị nakwa ụfọdụ ndị na-eghewe ọnụ oghe arahụ ụra) nakwa ụfọdụ ọgwụ mmadụ na-aṅụ maka ọrịa ndị gụnyere ọbara mgbalieleu nakwa ọrịa mammịrị.
Igbochi ya, ị ga na-asacha nakwa na-aghụchasị eze gị ma ị gụrụ gụrụ. Ị ga-agakwurukwa dọkịta eze.
6) Eze iju mmadu n'ọnụ (hyperdontia):

Ebe foto si, Science Photo Library
Nke a bụ mgbe eze juru mmadụ n'ọnụ, ụfọdụ na-eto ma n'ukwu eze ebe eze ekwesịghị ito. A na-ejikarị ihe nnyocha X-ray achọta ya.
Ụfọdụ na-eto n'azụ eze 32 ahụ na-adị onye toro eto n'ọnụ, bụrụzịa ihe a na-akpọ 'eze ịyaramịya'.
Ọnọdụ a anaghị afụkarị ụfụ, mana ụfọdụ oge ọ na-eme ka ukwu eze gị zaa aza, nakwa mee ka eze gị ndị nke nọ ọfụma gbagọo agbagọ.
Amachaghị ihe na-ebute ya, mana a na-eche na ụfọdụ ọrịa na-esi n'agbụrụ efe mmadụ gụnyere "Gardner's syndrome", "Ehlers-Danlos syndrome" na ndị ọzọ.
Anaghị agwọkarị ya, mana ọ bụrụ na ọ na-enye onye nwe ya nsogbu dịka ma ọ na-ata ihe maọbụ n'ịta atụ, ndị dọkịta na-ewepụ ya.
7) Eze ịkọ mmadụ n'ọnụ (Hypodontia) bụ ndịiche "hyperdontia":

Ebe foto si, NHS/OsseoNews
"Hypodontia" bụ mgbeeze karịrị isii bụ nke na-ekwesịghị ịdapụ adịghị n'ọnụ mmadụ.
Nke a dịkwa iche na mgbe eze mmadụ ezughi ezu n'ihi na ọ merụrụ ahụ maọbụ na o nwere nsogbu eze.
Gịnị na-ebute ya? Ọ na-esikarị n'agbụrụ.
Etu e si agwọ ya? Ndị dọkịta eze na-ejikarị ihe ha na-akpọ akwa (dental bridge) ejide eze arụrụ arụ ka ọ ghara ịmịchapụta.
Ha na-ejikwa nke a kpọrọ "dentures" bụ eze arụrụ arụ, etichi eze ndị ahụ nakwa "dental implants" bụ nke yiri ezigbo eze mmadụ a na-esi n'ukwu eze etinye.
Ọrịa ndị ọzọ na-enye nsogbu n'ọnụ gụnyere nke a na-akpọ "Oral psoriasis" nakwa "Oral cancer".
Nke a bụ mgbe ọnya na-agbakasị mmadụ n'ọnụ.
Kedụ etu i nwereike isi gbochie ọrịa ndị a?
Ị nwereike isi n'ụzọ ndị a lekọta eze gị:
- Gbalịa na-asa eze gị opekatampe nkeji abụọ, ka ọ bụrụ ihe ikpeazụ ị ga-eme n'abalị tupu ị laba ụra n'abalị, ya na otu mgbe ọzọ n'ime otu ụbọchị
- Jiri ihe e ji echi eze nwere nke a na-akpọ "fluoride" (ọ bụ ihe na-enyere aka igbochi eze ize ire mmadụ)
- I chichaa eze gị, buru ụzọ gbụpụ ihe ị chiputara n'eze gị tupu ị werezie mmiri gbụchaa ọnụ gị
- Na-aghụcha oghere ndị dị n'etiti eze gị, ọkachasị tupu ị saa eze gị
- Ọ bụrụ na ọ ga-ekwe gị, esela anwụrụ
- Gbaa mbọ na-aga maka nnyocha eze gị ọ bụrụgodi otu mgbe n'ime otu afọ, mana o kwe gị na-aga ma ị gụrụ gụrụ































