3 ਸਾਲ ਦੇ ਮੁੰਡੇ ਦੇ ਫੇਫੜਿਆਂ ਵਿੱਚੋਂ ਕੱਢਿਆ ਗਿਆ ਐੱਲਈਡੀ ਬਲਬ, ਜੇਕਰ ਬੱਚਾ ਸਿੱਕੇ, ਬੈਟਰੀ, ਚੁੰਬਕ ਵਰਗੀ ਚੀਜ਼ ਨਿਗਲ ਜਾਵੇ ਤਾਂ ਕੀ ਕਰਨਾ ਚਾਹੀਦਾ ਹੈ

- ਲੇਖਕ, ਓਮਕਾਰ ਕਰੰਬੇਲਕਰ
- ਰੋਲ, ਬੀਬੀਸੀ ਨਿਊਜ਼
- ਪੜ੍ਹਨ ਦਾ ਸਮਾਂ: 7 ਮਿੰਟ
ਨਵਜੰਮੇ ਬੱਚੇ ਅਤੇ ਛੋਟੇ ਬੱਚੇ ਅਕਸਰ ਹੀ ਚੀਜ਼ਾਂ ਮੂੰਹ 'ਚ ਪਾ ਲੈਂਦੇ ਹਨ। ਵੱਖ-ਵੱਖ ਚੀਜ਼ਾਂ ਦਾ ਸੁਆਦ ਚੱਖਣਾ ਬੱਚਿਆਂ ਦੇ ਵਿਕਾਸ ਦਾ ਇੱਕ ਕੁਦਰਤੀ ਹਿੱਸਾ ਹੈ।
ਹਾਲਾਂਕਿ, ਇਸ ਕਾਰਨ ਅਕਸਰ ਬੱਚੇ ਅਜਿਹੀਆਂ ਚੀਜ਼ਾਂ ਵੀ ਨਿਗਲ ਜਾਂਦੇ ਹਨ ਜੋ ਸਰੀਰ ਲਈ ਨੁਕਸਾਨਦੇਹ ਹੋ ਸਕਦੀਆਂ ਹਨ।
ਸਿੱਕੇ, ਖਿਡੌਣੇ, ਬਟਨ ਬੈਟਰੀਆਂ, ਗਹਿਣੇ ਆਦਿ ਵਰਗੀਆਂ ਬਹੁਤ ਸਾਰੀਆਂ ਚੀਜ਼ਾਂ ਬੱਚਿਆਂ ਦੇ ਪੇਟ ਵਿੱਚ ਜਾ ਸਕਦੀਆਂ ਹਨ ਅਤੇ ਗੰਭੀਰ ਡਾਕਟਰੀ ਸਮੱਸਿਆਵਾਂ ਪੈਦਾ ਕਰ ਸਕਦੀਆਂ ਹਨ।
ਪਿਛਲੇ ਕੁਝ ਸਾਲਾਂ ਵਿੱਚ ਅਜਿਹੀਆਂ ਘਟਨਾਵਾਂ ਕਾਫ਼ੀ ਵਧ ਗਈਆਂ ਹਨ, ਜਿਸ ਕਾਰਨ ਮਾਪਿਆਂ ਲਈ ਸੁਚੇਤ ਅਤੇ ਜਾਗਰੂਕ ਰਹਿਣਾ ਹੋਰ ਜ਼ਿਆਦਾ ਮਹੱਤਵਪੂਰਨ ਹੋ ਗਿਆ ਹੈ।
ਅਜਿਹੇ ਹੀ ਇੱਕ ਦੁਰਲੱਭ ਅਤੇ ਅਸਾਧਾਰਨ ਮਾਮਲੇ ਵਿੱਚ ਜਸਲੋਕ ਹਸਪਤਾਲ ਅਤੇ ਖੋਜ ਕੇਂਦਰ (ਮੁੰਬਈ) ਦੇ ਡਾਕਟਰਾਂ ਨੇ ਸਾਢੇ ਤਿੰਨ ਸਾਲ ਦੇ ਮੁੰਡੇ ਦੇ ਫੇਫੜਿਆਂ ਵਿੱਚ ਫਸੇ ਧਾਤੂ ਦੇ ਇੱਕ ਐਲਈਡੀ (LED) ਬਲਬ ਨੂੰ ਸਫਲਤਾਪੂਰਵਕ ਹਟਾਇਆ ਹੈ।
ਬੱਚਾ ਪਿਛਲੇ ਤਿੰਨ ਮਹੀਨਿਆਂ ਤੋਂ ਖੰਘ ਅਤੇ ਸਾਹ ਦੀ ਤਕਲੀਫ ਨਾਲ ਜੂਝ ਰਿਹਾ ਸੀ। ਹੁਣ ਬਲਬ ਹਟਾਏ ਜਾਣ ਤੋਂ ਬਾਅਦ ਆਖਿਰਕਾਰ ਬੱਚੇ ਨੂੰ ਲਗਾਤਾਰ ਆ ਰਹੀ ਖੰਘ ਅਤੇ ਸਾਹ ਲੈਣ ਵਿੱਚ ਹੋ ਰਹੀ ਤਕਲੀਫ਼ ਤੋਂ ਰਾਹਤ ਮਿਲੀ ਹੈ।
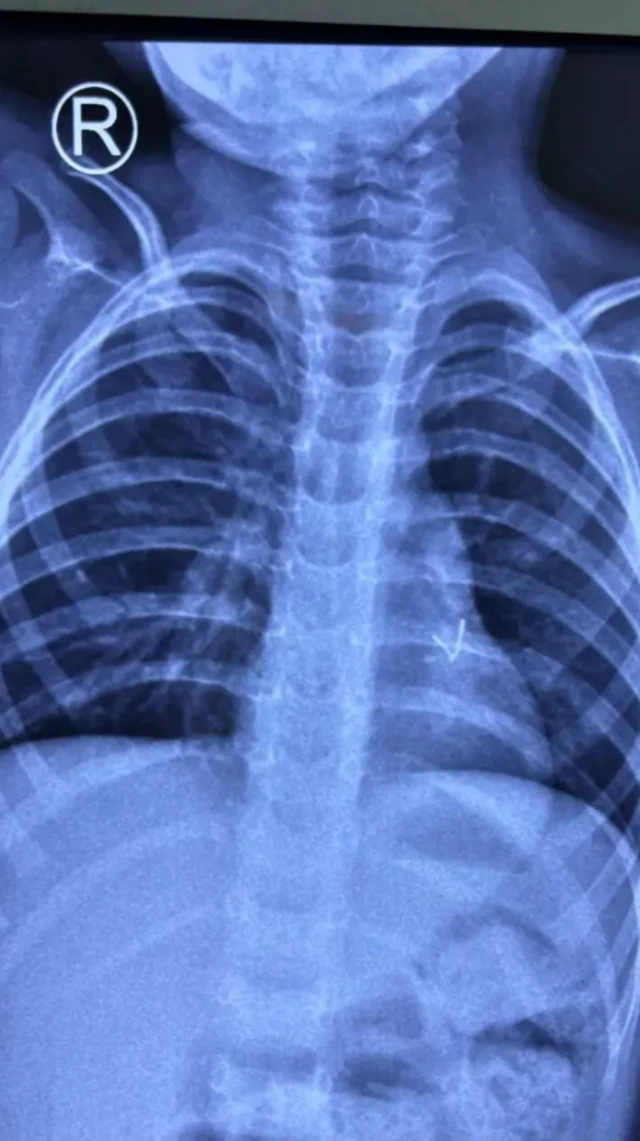
ਸਕੈਨ 'ਚ ਨਜ਼ਰ ਆਇਆ ਧਾਤੂ ਦਾ ਟੁੱਕੜਾ ਇੰਝ ਕੱਢਿਆ ਗਿਆ

ਰਾਹੁਲ (ਬਦਲਿਆ ਹੋਇਆ ਨਾਮ) ਨੂੰ ਸ਼ੁਰੂ ਵਿੱਚ ਨਮੂਨੀਆ ਦਾ ਪਤਾ ਲੱਗਿਆ ਸੀ ਅਤੇ ਐਂਟੀਬਾਇਓਟਿਕਸ ਦੇ ਕਈ ਕੋਰਸਾਂ ਨਾਲ ਉਸ ਦਾ ਇਲਾਜ ਕੀਤਾ ਗਿਆ।
ਚੰਗੀ ਦੇਖਭਾਲ ਦੇ ਬਾਵਜੂਦ ਵੀ ਉਸ ਦੇ ਲੱਛਣ ਬਣੇ ਰਹੇ। ਫਿਰ ਉਸ ਦੀ ਹੋਰ ਜਾਂਚ ਕੀਤੀ ਗਈ, ਜਿਸ ਵਿੱਚ ਸੀਟੀ ਸਕੈਨ ਵੀ ਸ਼ਾਮਲ ਸੀ, ਜਿਸ ਵਿੱਚ ਉਸ ਦੇ ਖੱਬੇ ਬ੍ਰੌਨਚਸ ਵਿੱਚ ਡੂੰਘਾਈ ਵਿੱਚ ਧਾਤੂ ਦਾ ਇੱਕ ਟੁਕੜਾ ਨਜ਼ਰ ਆਇਆ।
ਕੋਲਹਾਪੁਰ ਵਿੱਚ ਫਲੈਕਸੀਬਲ ਬ੍ਰੌਨਚੋਸਕੋਪੀ ਦੀਆਂ ਅਸਫਲ ਕੋਸ਼ਿਸ਼ਾਂ ਤੋਂ ਬਾਅਦ ਮੁੰਡੇ ਨੂੰ ਜਸਲੋਕ ਹਸਪਤਾਲ ਲਿਆਂਦਾ ਗਿਆ, ਜਿੱਥੇ ਬ੍ਰੌਨਚੋਸਕੋਪੀ ਦੌਰਾਨ ਬ੍ਰੌਨਚਸ ਵਿੱਚ ਨਿਗਲਿਆ ਹੋਇਆ ਇੱਕ ਐਲਈਡੀ ਬਲਬ ਪਾਇਆ ਗਿਆ।
ਇਸ ਮਗਰੋਂ ਡਾਕਟਰ ਵਿਮੇਸ਼ ਰਾਜਪੂਤ ਅਤੇ ਡਾਕਟਰ ਦਿਵਿਆ ਪ੍ਰਭਾਤ ਨੇ ਇੱਕ ਮਿੰਨੀ ਥੋਰੈਕੋਟੋਮੀ (4 ਸੈਂਟੀਮੀਟਰ ਕੱਟ ਲਗਾ ਕੇ ਸਰਜਰੀ) ਕੀਤੀ, ਅਤੇ ਖਿਡੌਣੇ ਵਾਲੀ ਕਾਰ ਵਿੱਚੋਂ ਨਿਗਲਿਆ ਹੋਇਆ ਐਲਈਡੀ ਬਲਬ ਸਫਲਤਾਪੂਰਵਕ ਕੱਢ ਦਿੱਤਾ, ਜਿਸ ਨਾਲ ਬੱਚੇ ਦੇ ਫੇਫੜਿਆਂ ਨੇ ਦੁਬਾਰਾ ਸਹੀ ਤਰ੍ਹਾਂ ਨਾਲ ਕੰਮ ਕਰਨਾ ਸ਼ੁਰੂ ਕਰ ਦਿੱਤਾ।
ਸਲਾਹਕਾਰ ਅਨੱਸਥੀਸੀਓਲੋਜਿਸਟ ਡਾਕਟਰ ਅਨੁਰਾਗ ਜੈਨ ਨੇ ਵੀ ਇਸ ਸਰਜਰੀ ਵਿੱਚ ਹਿੱਸਾ ਲਿਆ।
ਇਸ ਬਾਰੇ ਦੱਸਦੇ ਹੋਏ ਜਸਲੋਕ ਹਸਪਤਾਲ ਦੇ ਥੋਰੈਕਿਕ ਸਰਜਨ ਡਾਕਟਰ ਵਿਮੇਸ਼ ਰਾਜਪੂਤ ਨੇ ਕਿਹਾ, "ਇਹ ਸਾਡੇ ਦੁਆਰਾ ਕੀਤਾ ਗਿਆ ਸਭ ਤੋਂ ਦੁਰਲੱਭ ਮਾਮਲਾ ਸੀ। ਐਲਈਡੀ ਬਲਬ ਫੇਫੜਿਆਂ ਵਿੱਚ ਡੂੰਘਾਈ ਵਿੱਚ ਚਲਾ ਗਿਆ ਸੀ ਅਤੇ ਇਸ ਦੌਰਾਨ ਕੀਤੇ ਗਏ ਇਲਾਜ ਇਸਨੂੰ ਹਟਾਉਣ ਵਿੱਚ ਅਸਫਲ ਰਹੇ। ਇੱਕ ਯੋਜਨਾਬੱਧ ਮਿੰਨੀ ਥੋਰੈਕੋਟੋਮੀ ਨਾਲ ਅਸੀਂ ਐਲਈਡੀ ਬਲਬ ਨੂੰ ਸੁਰੱਖਿਅਤ ਢੰਗ ਨਾਲ ਹਟਾ ਦਿੱਤਾ ਅਤੇ ਬੱਚੇ ਨੂੰ ਬਚਾ ਲਿਆ ਗਿਆ।"
ਬਟਨ ਬੈਟਰੀ ਨਿਗਲਣ ਦੇ 400 ਤੋਂ ਵੱਧ ਮਾਮਲੇ

ਤਸਵੀਰ ਸਰੋਤ, Getty Images
ਆਓ ਹੁਣ ਕੁਝ ਹੋਰ ਅਜਿਹੇ ਮਾਮਲਿਆਂ ਬਾਰੇ ਜਾਣਦੇ ਹਾਂ।
ਸਿਡਨੀ ਯੂਨੀਵਰਸਿਟੀ ਦੇ ਇੱਕ ਅਧਿਐਨ ਵਿੱਚ ਬਟਨ ਬੈਟਰੀ ਨਿਗਲਣ ਦੇ 400 ਤੋਂ ਵੱਧ ਮਾਮਲੇ ਦਰਜ ਕੀਤੇ ਗਏ ਹਨ। ਇੱਕ ਮਾਮਲੇ ਵਿੱਚ 2 ਸਾਲ ਤੋਂ ਘੱਟ ਉਮਰ ਦੇ ਇੱਕ ਬੱਚੇ ਨੇ 20 ਐਮਐਮ ਦੀ ਬੈਟਰੀ ਨਿਗਲ ਲਈ ਸੀ ਅਤੇ ਸਿਰਫ਼ ਦੋ ਘੰਟਿਆਂ ਦੇ ਅੰਦਰ-ਅੰਦਰ ਉਸ ਦੀ ਭੋਜਨ ਨਲ਼ੀ ਵਿੱਚ ਗੰਭੀਰ ਸੋਜ ਆ ਗਈ ਸੀ।
ਸਮੇਂ ਸਿਰ ਬੈਟਰੀ ਨਾ ਕੱਢਣ ਨਾਲ ਅੰਦਰੂਨੀ ਖੂਨ ਵਹਿਣ ਦਾ ਖ਼ਤਰਾ 8 ਗੁਣਾ ਵਧ ਜਾਂਦਾ ਹੈ। ਅਜਿਹੇ 9% ਮਾਮਲਿਆਂ ਵਿੱਚ ਬੱਚਿਆਂ ਦੀ ਮੌਤ ਹੋ ਗਈ। ਇਨ੍ਹਾਂ ਵਿੱਚੋਂ ਜ਼ਿਆਦਾਤਰ ਮਾਮਲਿਆਂ ਵਿੱਚ ਅੰਦਰੂਨੀ ਖੂਨ ਵਹਿਣਾ ਹੀ ਕਾਰਨ ਸੀ।
ਇੱਕ ਛੋਟੇ ਮੁੰਡੇ ਨੂੰ ਸਿੱਕਾ ਨਿਗਲਣ ਤੋਂ ਬਾਅਦ ਕੋਲੋਰਾਡੋ ਦੇ ਚਿਲਡਰਨ ਹਸਪਤਾਲ ਵਿੱਚ ਦਾਖਲ ਕਰਵਾਇਆ ਗਿਆ ਸੀ। ਅਕਸਰ ਸਿੱਕਾ ਸਰੀਰ ਵਿੱਚੋਂ ਕੁਦਰਤੀ ਤੌਰ 'ਤੇ ਬਾਹਰ ਨਿਕਲ ਜਾਂਦਾ ਹੈ, ਪਰ ਇਸ ਮਾਮਲੇ ਵਿੱਚ ਇਹ ਭੋਜਨ ਨਲ਼ੀ ਵਿੱਚ ਫਸ ਗਿਆ ਸੀ।
ਡਾਕਟਰਾਂ ਨੇ ਕਿਹਾ ਕਿ ਅਜਿਹੀਆਂ ਵਸਤੂਆਂ ਨੂੰ 24 ਘੰਟਿਆਂ ਦੇ ਅੰਦਰ ਹਟਾ ਦੇਣਾ ਚਾਹੀਦਾ ਹੈ ਨਹੀਂ ਤਾਂ ਖੂਨ ਵਹਿਣ ਜਾਂ ਸੱਟ ਲੱਗਣ ਦਾ ਖ਼ਤਰਾ ਹੁੰਦਾ ਹੈ।
ਇਸ ਤੋਂ ਪਤਾ ਲੱਗਦਾ ਹੈ ਕਿ ਇਹ ਘਟਨਾਵਾਂ ਪੂਰੀ ਦੁਨੀਆਂ ਵਿੱਚ ਹੋ ਰਹੀਆਂ ਹਨ। ਇਸ ਲਈ ਛੋਟੇ ਬੱਚਿਆਂ ਦੇ ਮਾਮਲੇ ਵਿੱਚ ਬਹੁਤ ਜ਼ਿਆਦਾ ਸਾਵਧਾਨੀ ਵਰਤਣ ਦੀ ਲੋੜ ਹੁੰਦੀ ਹੈ।
ਬੱਚੇ ਅਕਸਰ ਕਿਹੜੀਆਂ ਵਸਤੂਆਂ ਨਿਗਲ ਲੈਂਦੇ ਹਨ?
- ਸਿੱਕੇ
- ਬਟਨ ਬੈਟਰੀ (ਬਟਨ ਸੈੱਲ)
- ਛੋਟੇ ਖਿਡੌਣੇ ਜਾਂ ਉਨ੍ਹਾਂ ਦੇ ਟੁਕੜੇ
- ਗਹਿਣੇ ਜਾਂ ਉਨ੍ਹਾਂ ਦੇ ਟੁਕੜੇ
- ਪੈਨਸਿਲ ਦੀ ਨੋਕ, ਪਿੰਨ, ਕਲਿੱਪ ਆਦਿ
ਕਿਨ੍ਹਾਂ ਮਾਮਲਿਆਂ ਵਿੱਚ ਖਤਰਾ ਜ਼ਿਆਦਾ?

ਅਸੀਂ ਜਸਲੋਕ ਹਸਪਤਾਲ ਦੇ ਡਾਕਟਰ ਵਿਮੇਸ਼ ਰਾਜਪੂਤ ਨਾਲ ਇਸ ਬਾਰੇ ਗੱਲ ਕੀਤੀ ਕਿ ਕੀ ਧਾਤੂ ਦੀਆਂ ਵਸਤੂਆਂ, ਸਿੱਕੇ ਜਾਂ ਵੱਡੇ ਬੀਜ ਨਿਗਲਣਾ ਛੋਟੇ ਬੱਚਿਆਂ ਲਈ ਜਾਨਲੇਵਾ ਹੋ ਸਕਦਾ ਹੈ। ਡਾਕਟਰ ਰਾਜਪੂਤ ਜਸਲੋਕ ਹਸਪਤਾਲ ਅਤੇ ਖੋਜ ਕੇਂਦਰ ਵਿੱਚ ਇੱਕ ਰੋਬੋਟਿਕ ਥੌਰੇਸਿਕ ਸਰਜਨ ਵਜੋਂ ਕੰਮ ਕਰਦੇ ਹਨ।
ਉਨ੍ਹਾਂ ਕਿਹਾ, "ਸਾਨੂੰ ਪਹਿਲਾਂ ਆਪਣੇ ਸਰੀਰ ਦੀ ਬਣਤਰ ਸਮਝਣ ਦੀ ਲੋੜ ਹੈ। ਇੱਕ ਸਾਹ ਨਲ਼ੀ ਹੈ ਅਤੇ ਦੂਜੀ ਭੋਜਨ ਨਲ਼ੀ। ਜੇਕਰ ਅਜਿਹਾ ਕੋਈ ਤੱਤ, ਜਿਵੇਂ ਕਿ ਕੋਈ ਬਾਹਰੀ ਚੀਜ਼ ਭੋਜਨ ਨਲ਼ੀ ਵਿੱਚ ਦਾਖਲ ਹੁੰਦਾ ਹੈ ਤਾਂ ਇਸਦੇ ਮਲ ਰਾਹੀਂ ਬਾਹਰ ਆਉਣ ਦੀ ਸੰਭਾਵਨਾ ਜ਼ਿਆਦਾ ਹੁੰਦੀ ਹੈ। ਬਹੁਤ ਘੱਟ ਮਰੀਜ਼ਾਂ ਨੂੰ ਸਰਜਰੀ ਕਰਵਾਉਣੀ ਪੈਂਦੀ ਹੈ।''
''ਪਰ ਜੇਕਰ ਅਜਿਹਾ ਕੋਈ ਤੱਤ ਜਾਂ ਵਸਤੂ ਸਾਹ ਨਲ਼ੀ ਵਿੱਚ ਦਾਖਲ ਹੁੰਦਾ ਹੈ ਤਾਂ ਇਹ ਜਾਨਲੇਵਾ ਹੋ ਸਕਦਾ ਹੈ ਅਤੇ ਜਲਦੀ ਤੋਂ ਜਲਦੀ ਡਾਕਟਰੀ ਇਲਾਜ ਦੀ ਲੋੜ ਹੁੰਦੀ ਹੈ। ਜੇਕਰ ਇਹ ਮਰੀਜ਼ ਦੇ ਬਲਗਮ ਨਾਲ ਨਿਕਲਦਾ ਹੈ, ਤਾਂ ਇਹ ਠੀਕ ਹੈ। ਹਾਲਾਂਕਿ, ਛੋਟੇ ਬੱਚਿਆਂ ਦੇ ਮਾਮਲੇ ਵਿੱਚ ਇਹ ਮੁਸ਼ਕਲ ਹੁੰਦਾ ਹੈ। ਇਸ ਲਈ ਛੋਟੇ ਬੱਚਿਆਂ ਨੂੰ ਅਜਿਹੀਆਂ ਵਸਤੂਆਂ ਤੋਂ ਦੂਰ ਰੱਖਣਾ ਚਾਹੀਦਾ ਹੈ।"
ਅਸੀਂ ਇਹੀ ਸਵਾਲ ਨਵੀਂ ਮੁੰਬਈ ਦੇ ਅਪੋਲੋ ਹਸਪਤਾਲਾਂ ਦੇ ਸੀਨੀਅਰ ਮਾਹਰ ਅਤੇ ਬਾਲ ਰੋਗ ਵਿਭਾਗ ਦੇ ਮੁਖੀ ਡਾਕਟਰ ਵਿਜੇ ਯੇਵਾਲੇ ਨੂੰ ਪੁੱਛਿਆ।
ਉਨ੍ਹਾਂ ਕਿਹਾ, "ਫੋਰੇਨ ਬਾਡੀ (ਭਾਵ ਅਜਿਹੀਆਂ ਬਾਹਰੀ ਵਸਤੂਆਂ) ਬੱਚਿਆਂ ਵਿੱਚ ਬਹੁਤ ਆਮ ਹਨ, ਖਾਸ ਕਰਕੇ ਤਿੰਨ ਤੋਂ ਛੇ ਸਾਲ ਦੀ ਉਮਰ ਦੇ ਬੱਚਿਆਂ ਵਿੱਚ। ਇਹ ਵਸਤੂਆਂ ਜਾਨਲੇਵਾ ਹਨ ਜਾਂ ਨਹੀਂ, ਇਹ ਉਨ੍ਹਾਂ ਦੇ ਆਕਾਰ ਅਤੇ ਰਸਾਇਣਕ ਹਿੱਸਿਆਂ 'ਤੇ ਨਿਰਭਰ ਕਰਦਾ ਹੈ। ਸਿੱਕਾ ਨਿਗਲਣ ਨਾਲ ਭੋਜਨ ਨਲ਼ੀ ਵਿੱਚ ਰੁਕਾਵਟ ਪੈਦਾ ਹੋ ਸਕਦੀ ਹੈ।''
''ਵੱਡੇ ਬੀਜ ਸਾਹ ਨਾਲੀ ਵਿੱਚ ਫਸ ਸਕਦੇ ਹਨ। ਜਦਕਿ ਬਟਨ ਬੈਟਰੀਆਂ ਵਰਗੀਆਂ ਵਸਤੂਆਂ ਤਰਲ ਪਦਾਰਥ ਲੀਕ ਕਰ ਸਕਦੀਆਂ ਹਨ। ਇਸ ਨਾਲ (ਸਰੀਰ ਦੇ ਅੰਦਰ) ਛੇਕ ਵੀ ਹੋ ਸਕਦਾ ਹੈ। ਚੁੰਬਕਾਂ ਦਾ ਵੀ ਅਜਿਹਾ ਹੀ ਪ੍ਰਭਾਵ ਹੁੰਦਾ ਹੈ।"
ਜੇਕਰ ਬੱਚੇ ਅਜਿਹੀਆਂ ਵਸਤੂਆਂ ਨਿਗਲ ਲੈਣ ਤਾਂ ਕੀ ਕਰਨਾ ਚਾਹੀਦਾ ਹੈ?

ਤਸਵੀਰ ਸਰੋਤ, Getty Images
ਇਸ ਸਬੰਧ ਵਿੱਚ ਡਾਕਟਰ ਵਿਜੇ ਯੇਵਾਲੇ ਨੇ ਕਿਹਾ, "ਜਦੋਂ ਇਹ ਪਤਾ ਲੱਗੇ ਕਿ ਬੱਚੇ ਨੇ ਅਜਿਹੀ ਵਸਤੂ ਨਿਗਲ ਲਈ ਹੈ ਤਾਂ ਉਨ੍ਹਾਂ ਨੂੰ ਤੁਰੰਤ ਡਾਕਟਰੀ ਇਲਾਜ ਦੇਣਾ ਚਾਹੀਦਾ ਹੈ। ਕੁਝ ਬੱਚਿਆਂ ਵਿੱਚ ਕੋਈ ਲੱਛਣ ਨਹੀਂ ਦਿਖਾਈ ਦਿੰਦੇ। ਜੇਕਰ ਉਨ੍ਹਾਂ ਨੇ ਸਿੱਕੇ ਵਰਗੀ ਵਸਤੂ ਨਿਗਲ ਲਈ ਹੈ ਤਾਂ ਬਿਨਾਂ ਘਬਰਾਏ ਉਨ੍ਹਾਂ ਲਈ ਡਾਕਟਰੀ ਇਲਾਜ ਲੈਣਾ ਚਾਹੀਦਾ ਹੈ।''
''ਨਿਗਲੀ ਗਈ ਵਸਤੂ ਨੂੰ ਉਲਟੀ ਆਦਿ ਰਾਹੀਂ ਬਾਹਰ ਕੱਢਣ ਲਈ ਬੱਚੇ ਨੂੰ ਕੋਈ ਵੀ ਭੋਜਨ ਦੇ ਕੇ ਇਲਾਜ ਕਰਨ ਦੀ ਕੋਸ਼ਿਸ਼ ਨਾ ਕਰੋ ਕਿਉਂਕਿ ਇਸ ਨਾਲ ਮਾਮਲਾ ਹੋਰ ਉਲਝ ਸਕਦਾ ਹੈ।''
ਡਾਕਟਰ ਰਾਜਪੂਤ ਕਹਿੰਦੇ ਹਨ, "ਜੇਕਰ ਇਹ ਵਸਤੂ ਬੱਚੇ ਦੀ ਭੋਜਨ ਨਲ਼ੀ ਵਿੱਚ ਦਾਖਲ ਹੋ ਗਈ ਹੈ, ਤਾਂ ਬੱਚਾ ਰੋਵੇਗਾ ਅਤੇ ਕੁਝ ਸਮੇਂ ਬਾਅਦ ਉਹ ਸ਼ਾਂਤ ਹੋ ਜਾਵੇਗਾ। ਇਸ ਤੋਂ ਬਾਅਦ ਤੁਹਾਨੂੰ ਡਾਕਟਰ ਕੋਲ ਜਾਣਾ ਚਾਹੀਦਾ ਹੈ ਅਤੇ ਛਾਤੀ ਅਤੇ ਪੇਟ ਦਾ ਐਕਸ-ਰੇ ਕਰਵਾਉਣਾ ਚਾਹੀਦਾ ਹੈ ਅਤੇ ਉਨ੍ਹਾਂ ਦੇ ਸੁਝਾਅ ਅਨੁਸਾਰ ਇਲਾਜ ਕਰਨਾ ਚਾਹੀਦਾ ਹੈ।''
''ਜੇਕਰ ਇਹ ਵਸਤੂ ਉਸਦੀ ਸਾਹ ਨਾਲੀ ਵਿੱਚ ਦਾਖਲ ਹੋ ਗਈ ਹੈ ਤਾਂ ਬੱਚਾ ਰੋਵੇਗਾ ਪਰ ਉਸਦੀ ਆਵਾਜ਼ ਵੱਖਰੀ ਹੋ ਜਾਵੇਗੀ। ਉਸ ਨੂੰ ਸਾਹ ਲੈਣ ਵਿੱਚ ਮੁਸ਼ਕਲ ਆਵੇਗੀ। ਬਹੁਤ ਗੰਭੀਰ ਮਾਮਲਿਆਂ ਵਿੱਚ ਬੱਚਾ ਨੀਲਾ ਪੈ ਸਕਦਾ ਹੈ। ਇਸ ਲਈ ਤੁਰੰਤ ਡਾਕਟਰ ਤੋਂ ਮਦਦ ਲੈਣੀ ਚਾਹੀਦੀ ਹੈ।"
ਅਜਿਹੀ ਸਥਿਤੀ ਵਿੱਚ ਇਲਾਜ ਕੀ ਹੈ?

ਤਸਵੀਰ ਸਰੋਤ, Getty Images
ਡਾਕਟਰ ਵਿਮੇਸ਼ ਰਾਜਪੂਤ ਕਹਿੰਦੇ ਹਨ, "ਜੇਕਰ ਅਜਿਹੀ ਵਸਤੂ ਭੋਜਨ ਨਲ਼ੀ ਵਿੱਚੋਂ ਲੰਘਦੀ ਹੈ ਤਾਂ 90 ਫੀਸਦੀ ਮਾਮਲਿਆਂ ਵਿੱਚ ਇਹ ਪੇਟ ਵਿੱਚ ਜਾਂਦੀ ਹੈ। ਫਿਰ ਕੇਲੇ ਵਰਗੇ ਉੱਚ ਫਾਈਬਰ ਵਾਲੇ ਫਲ ਖਾਣ ਜਾਂ ਦਸਤ ਦੀ ਦਵਾਈ ਲੈਣ ਨਾਲ ਇਸ ਨੂੰ ਮਲ ਰਾਹੀਂ ਬਾਹਰ ਆਉਣ ਵਿੱਚ ਮਦਦ ਮਿਲ ਸਕਦੀ ਹੈ। ਕੁਝ ਮਾਮਲਿਆਂ ਵਿੱਚ ਇੱਕ ਉੱਪਰੀ ਗੈਸਟਰੋਇੰਟੇਸਟਾਈਨਲਸਕੋਪੀ ਦੀ ਲੋੜ ਹੁੰਦੀ ਹੈ। ਇਸ ਵਿੱਚ ਵਸਤੂ ਨੂੰ ਹਟਾਉਣ ਲਈ ਪੇਟ ਵਿੱਚ ਇੱਕ ਕੈਮਰਾ ਭੇਜਿਆ ਜਾਂਦਾ ਹੈ। ਬਹੁਤ ਘੱਟ ਮਾਮਲਿਆਂ ਵਿੱਚ ਸਰਜਰੀ ਦੀ ਲੋੜ ਹੁੰਦੀ ਹੈ।"
ਜੇਕਰ ਕੋਈ ਵਸਤੂ ਸਾਹ ਨਲੀ ਵਿੱਚ ਫਸ ਜਾਵੇ ਤਾਂ ਕੀ ਕਰਨਾ ਚਾਹੀਦਾ ਹੈ, ਇਸ ਬਾਰੇ ਡਾਕਟਰ ਰਾਜਪੂਤ ਨੇ ਕਿਹਾ, "ਜੇਕਰ ਵਸਤੂ ਸਾਹ ਨਲੀ ਵਿੱਚ ਫਸ ਜਾਂਦੀ ਹੈ ਤਾਂ ਇਲਾਜ ਦੀ ਲੋੜ ਹੁੰਦੀ ਹੈ। ਜੇਕਰ ਵਸਤੂ ਥੁੱਕ ਨਾਲ ਬਾਹਰ ਨਹੀਂ ਆਉਂਦੀ ਤਾਂ ਬ੍ਰੌਨਕੋਸਕੋਪੀ ਕੀਤੀ ਜਾਂਦੀ ਹੈ। ਬਹੁਤ ਘੱਟ ਮਾਮਲਿਆਂ ਵਿੱਚ ਛਾਤੀ ਦੀ ਸਰਜਰੀ ਕੀਤੀ ਜਾਂਦੀ ਹੈ।"
ਪਿਛਲੇ ਕੁਝ ਸਾਲਾਂ ਵਿੱਚ ਬੱਚਿਆਂ ਦੁਆਰਾ ਅਜਿਹੀਆਂ ਵਸਤੂਆਂ ਨੂੰ ਨਿਗਲਣ ਦੀਆਂ ਘਟਨਾਵਾਂ ਵਿੱਚ ਕਾਫ਼ੀ ਵਾਧਾ ਹੋਇਆ ਹੈ। ਇਨ੍ਹਾਂ ਘਟਨਾਵਾਂ ਤੋਂ ਪੈਦਾ ਹੋਣ ਵਾਲੀਆਂ ਡਾਕਟਰੀ ਪੇਚੀਦਗੀਆਂ ਨੂੰ ਰੋਕਣ ਲਈ ਮਾਪਿਆਂ ਦੀ ਜਾਗਰੂਕਤਾ ਅਤੇ ਘਰ ਵਿੱਚ ਸੁਰੱਖਿਆ ਜ਼ਰੂਰੀ ਹੈ।
ਡਾਕਟਰਾਂ ਦੇ ਅਨੁਸਾਰ, ਅਜਿਹੇ ਮਾਮਲਿਆਂ ਵਿੱਚ ਜਿੰਨਾ ਜ਼ਰੂਰੀ ਸਮੇਂ ਸਿਰ ਇਲਾਜ ਹੈ, ਓਨਾ ਹੀ ਜ਼ਰੂਰੀ ਇਹ ਵੀ ਹੈ ਕਿ ਅਜਿਹੀਆਂ ਘਟਨਾਵਾਂ ਨੂੰ ਵਾਪਰਨ ਤੋਂ ਰੋਕਣ ਲਈ ਪਹਿਲਾਂ ਤੋਂ ਹੀ ਸਾਵਧਾਨੀ ਵਰਤੀ ਜਾਵੇ।
ਬੀਬੀਸੀ ਲਈ ਕਲੈਕਟਿਵ ਨਿਊਜ਼ਰੂਮ ਵੱਲੋਂ ਪ੍ਰਕਾਸ਼ਿਤ
































