Hanyoyi biyu da tsutsotsi ka iya shiga ƙwaƙwalwarku

Asalin hoton, Science Photo Library
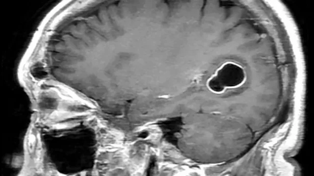
Likitoci sun gano fararen tsutsotsi wato 'tapeworms' a cikin kwakwalwar wani mutum da ke fama da matsanancin ciwon kai na ɓangare ɗaya da ake kira da 'Migraine'.
Tsutsotsin suna naɗe kamar abin kama gashi.
Ana kyautata zaton cewa cin naman alade da bai dahu sosai ba da rashin wanke hannu a kodayaushe na iya kasancewa sanadin fitowar tsutsotsin.
Mutumin mai shekara 52 ya kasa jure ciwon kan nasa, lamarin da ya sa ya nemi likitoci bayan magungunan da aka ba shi ba su yi aiki ba.
Likitocin sun yi masa hoton kwakwalwa inda suka gano farar tsutsa da ke haddasa cutar 'cysticercosis'.
A cewar likitoci, tsotsotsi za su iya shiga cikin ƙwaƙalwa saboda rashin tsaftar wanke hannu da kuma cin naman alade da bai dahu yadda ya kamata ba.
Ana kamuwa da cutar cysticercosis daga ƙwayar cuta mai suna 'Taenia solium', wadda ke shiga hanjin mutum sannan daga baya ta iya komawa cikin ƙwaƙwalwa ta haddasa ƙuraje (cysts).
Haka kuma akwai haɗarin yaɗa cutar ga sauran 'yan uwa ta hanyar najasa musamman a wuraren da ake fama da tsutsar ciki.
Sai dai masana sun ce ba kai tsaye mutum zai kamu da 'cysticercosis' daga cin naman alade da bai dahu ba.
"Wannan dai hasashe ne kawai. Mun yi imanin cewa marar lafiya na iya kamuwa da cutar 'cysticercosis' ne ta rashin tsaftace hannu ta hanyar wankewa." in ji likitocin a mujallar American Journal of Case Reports.
Sun kara da cewa marar lafiyar yana amfani da magani yadda ya kamata, kuma yanzu haka yana samun sauƙi.
Rashin wanke hannu yadda ya kamata

A cewar cibiyar kula da cututtuka (CDC) a Amurka, farar tsutsa na iya shiga cikin nama ya bi jini har zuwa kwakwalwa, inda yake haddasa ƙuraje (cysts).
Bayyanar irin waɗannan ƙuraje a kwakwalwa ana kiran su da 'neurocysticercosis'.
"Cutar kuma na iya yaɗuwa ta najasar wanda ya kamu da ita," in ji CDC.
Ƙwan farar tsutsa na iya shiga jikin mutum ta hanyar abinci ko ruwa, ko wuraren da aka yin najasa.
Idan mutum ya kai hannunsa baki ba tare da ya wanke shi da kyau ba, ƙwai na tsutsar na iya shiga cikin jiki, lamarin da ke ƙara barazanar kamuwa da cutar ga sauran 'yan uwa da masu hulɗa da shi.
Sai dai masana sun jaddada cewa cin naman aladen da bai dahu sosai ba ba ya haddasa cutar cysticercosis kai tsaye.
Maimakon haka, cutar ta fi yawaita ne a wasu sassan 'Latin Amurka da Asiya da Afirka, musamman a ƙauyuka inda aladu, waɗanda suke ɗauke da wannan tsutsa—ke yawo ba tare da kulawa ba.
Irin waɗannan wurare kan fuskanci matsalar rashin tsafta da rashin kyawun tsarin cin abinci, wanda ke ƙara yawan haɗarin kamuwa da cuta.
Mutane a irin waɗannan wurare na fuskantar haɗarin kamuwa da cuta ne saboda rashin tsaftatacen ruwa da cin abinci da ya gurɓata, da kuma rashin wanke hannu yadda ya kamata.
Amma a Amurka, ba a samun irin waɗannan lamuran. Cutar neurocysticercosis a can abu ne da ba kasafai yake faruwa ba, kuma galibi ana danganta shi da yawan tafiya zuwa wuraren da cutar ta yawaita.
Rahoton ya ƙara da cewa wannan lamari ya bayyana haɗarin da ke tattare da cin naman alade da bai dahu sosai ba da kuma rashin tsaftace hannaye.











