Myositis : અભિનેત્રી સામન્થાને કઈ દુર્લભ બીમારી છે, તેનાં લક્ષણો શું છે?

અભિનેત્રી સામન્થાએ સોશિયલ મીડિયા પ્લેટફૉર્મ પર પોતાની બીમારીની જાણકારી આપી છે.
તેમણે કહ્યું કે થોડા મહિના પહેલાં તેમને માયોસિટિસ નામની દુર્લભ બીમારી હોવાનું નિદાન થયું છે.
અભિનેત્રી સામન્થાએ આ બીમારી વિશે કહ્યું કે, "હું સંપૂર્ણ સ્વસ્થ થઈ જાઉં એ પછી તમારા બધા સાથે આ વાત શૅર કરવા માગતી હતી. જોકે તેમાં ધાર્યા કરતાં વધુ સમય લાગી રહ્યો છે."

ઇમેજ સ્રોત, @SAMANTHAPRABHU2
સામન્થાએ ઇન્સ્ટાગ્રામ અને ટ્વિટર પર માહિતી શૅર કરી છે.
સામન્થાએ પથારીમાં બેસેલી પોતાની એક તસવીર શૅર કરી છે, જેમાં તેમના કાંડા પર IV ડ્રીપ લાગેલી છે. તેમની સામે એક માઈક દેખાય છે. જોકે તેમાં તેમનો ચહેરો દેખાતો નથી, પરંતુ તેમણે પોતાના હાથથી દિલનું પ્રતીક બનાવ્યું છે.

સામન્થાએ પોસ્ટમાં શું કહ્યું?
"યશોદાના ટ્રેલર પર વરસાવેલો તમારો પ્રેમ અદભુત હતો. તમારા અપાર પ્રેમ અને બધાના મજબૂત સમર્થનને કારણે જ હું જીવનમાં આવેલી પરિસ્થિતિઓનો સામનો કરી શકું છું."
"થોડા મહિના પહેલાં મને માયોસિટિસ હોવાનું નિદાન થયું હતું. હું સંપૂર્ણ સ્વસ્થ થયા પછી હું આ વાત તમારી સાથે શૅર કરવા માગતી હતી, પરંતુ સંપૂર્ણ સ્વસ્થ થવામાં અપેક્ષા કરતાં વધુ સમય લાગી રહ્યો છે."
End of સૌથી વધારે વંચાયેલા સમાચાર
આ લેખમાં X દ્વારા પૂરું પાડવામાં આવેલું કન્ટેન્ટ છે. કંઈ પણ લોડ થાય તે પહેલાં અમે તમારી મંજૂરી માટે પૂછીએ છીએ કારણ કે તેઓ કૂકીઝ અને અન્ય તકનીકોનો ઉપયોગ કરી શકે છે. તમે સ્વીકારતા પહેલાં X કૂકીઝ નીતિ અને ગોપનીયતાની નીતિ વાંચી શકો છો. આ સામગ્રી જોવા માટે 'સ્વીકારો અને ચાલુ રાખો'ના વિકલ્પને પસંદ કરો.
X કન્ટેન્ટ પૂર્ણ
"મને ધીરે ધીરે સમજાઈ રહ્યું છે કે દર વખતે તમારે તમારું મજબૂત વ્યક્તિત્વ આગળ ધરવાની જરૂર નથી. મારા માટે સંઘર્ષપૂર્ણ હોવા છતાં હું આ નાજુક સ્થિતિ સ્વીકારી રહી છું."
"ડૉક્ટરોને આશા છે કે હું બહુ જલદી સ્વસ્થ થઈ જઈશ. મારા જીવનમાં સારા અને ખરાબ દિવસો આવતા રહ્યા છે. મને લાગે કે હજુ એક ખરાબ દિવસ પસાર કરવો અઘરો છે પણ તે ગમે તેમ કરીને પસાર થઈ જાય છે. મને લાગે છે કે મારો વધુ એક દિવસ સ્વસ્થતા તરફ જઈ રહ્યો છે."
"હું તમને બધાને પ્રેમ કરું છું."
"આ દિવસો પણ વીતી જશે...."

માયોસિટિસ શું છે?

ઇમેજ સ્રોત, Getty Images
માયોસિટિસ એક દુર્લભ બીમારી છે. તેમાં માંસપેશીઓમાં સોજો આવી જાય છે. થાકને લીધે માંસપેશીઓમાં દર્દ પણ વધુ થાય છે.
માયોસિટિસના કેટલાક પ્રકારો હોય છે અને બીમારીનું નિદાન પણ મુશ્કેલ છે. ઘણી વાર તો લક્ષણો દેખાતાં નથી, તો ઘણી વાર આ લક્ષણો દેખાવામાં લાંબો સમય લાગી જાય છે.
માંસપેશીઓમાં દર્દ, ખોરાક આરોગવામાં મુશ્કેલી, શ્વાસ લેવામાં તકલીફ વગેરે આ રોગનાં કેટલાંક લક્ષણો છે.
વધુ થાકને લીધે ક્યારેક ચાલતી વખતે વ્યક્તિ પડી પણ જાય છે, ચાલવાથી થાકનો અનુભવ થાય છે. ઊભા થવામાં પણ દુખાવો થઈ શકે છે.
વિશેષજ્ઞોનું માનવું છે કે રોગપ્રતિકારક શક્તિ મજબૂત ન હોય તો આ રોગ થઈ શકે છે.
આ વાઇરસ સ્વસ્થ કોશિકાઓ પર હુમલો કરે છે.
હેલ્થ લાઇન વેબસાઇટ પર આપેલી માહિતી અનુસાર, સંયુક્ત રાજ્ય અમેરિકામાં 50થી 75 હજાર લોકો માયોસિટિસથી પીડિત છે. દર વર્ષે માયોસિટિસના 1,600-3,200 નવા કેસનું નિદાન થાય છે.
આ બીમારી બાળકોને પણ પ્રભાવિત કરી શકે છે. પુરુષોની તુલનામાં મહિલાઓને આ રોગ વધુ થાય છે.

માયોસિટિસના પાંચ પ્રકાર
- ડર્માટોમાયોસિટિસ
- ઇન્ક્લુઝન બૉડી માયોસિટિસ
- જુવેનાઇલ માયોસિટિસ
- પૉલિમાયોસિટિસ
- ટૉક્સિક માયોસિટિસ

ડર્માટોમાયોસિટિસથી પીડિત વ્યક્તિને માંસપેશીઓમાં દર્દ થાય છે. ત્વચા પર દાણા નીકળી આવે છે, જેને સરળતાથી ઓળખી શકાય છે. શરીર પર લાલ-ભૂરા રંગના દાણા નીકળી આવે છે.
ચહેરો, છાતી, ગરદન, પીઠ પર ફોલ્લીઓ થઈ જાય છે.
ડર્માટોમાયોસિટિસનાં લક્ષણોમાં શુષ્ક ત્વચા, ઊઠવામાં મુશ્કેલી, ગરદન-પીઠ-ખભાની માંસપેશીઓમાં નબળાઈ, થાક, સાંધામાં સોજો, ગળેથી ખોરાક ઉતારવામાં મુશ્કેલી, વજન ઘટવું અને અનિયમિત હૃદયના ધબકારા સામેલ છે.

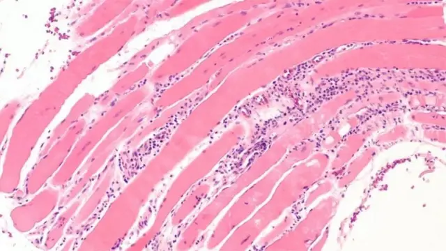
ઇન્ક્લુઝન બૉડી માયોસિટિસ

ઇમેજ સ્રોત, Getty Images
આ મહિલાઓની તુલનામાં પુરુષોમાં વધુ થાય છે. 50 વર્ષથી વધુ ઉંમરના લોકોને આ બીમારી થાય છે.
તેની શરૂઆત કાંડા, આંગળીઓ અને સાથળની માંસપેશીઓમાં નબળાઈથી થાય છે. આ મોટા ભાગે શરીરના એક ભાગને અસર કરે છે. માયોસિટિસના આ પ્રકારને વારસાગત પણ માનવામાં આવે છે.
લક્ષણ- ચાલવામાં મુશ્કેલી, અસંતુલન, ઊભા થવામાં મુશ્કેલી અને માંસપેશીઓમાં દુખાવો.

જુવેનાઇલ માયોસિટિસ
નામ પરથી ખ્યાલ આવે કે આ રોગ 18 વર્ષથી ઓછી ઉંમરનાં બાળકોમાં વધુ થાય છે. છોકરા કરતાં છોકરીમાં આ બીમારી થવાની શક્યતા બમણી હોય છે.
માંસપેશીઓમાં નબળાઈ અને ત્વચા પર ફોલ્લીઓ તેનાં મુખ્ય લક્ષણ છે.
આ સિવાય થાક, આંખ ફરતે કુંડાળાં, સ્વભાવમાં ફેરફાર, પેટમાં દુખાવો, સીડી ચડવામાં મુશ્કેલી અને હરવા-ફરવામાં મુશ્કેલી જેવાં લક્ષણો સામેલ છે.

પૉલિમાયોસિટિસ

ઇમેજ સ્રોત, Getty Images
આ પ્રકારના માયોસિટિસથી પીડિત લોકો નાનાં-નાનાં કામ કરવામાં થાકનો અનુભવ કરે છે. માંસપેશીઓમાં બહુ દર્દ રહે છે. આ વ્યક્તિઓને રોગપ્રતિકાર શક્તિ ઓછી હોવાને કારણે અન્ય રોગ પણ થઈ શકે છે.
તેમજ માંસપેશીઓમાં દર્દની સાથે સાથે જૂની સૂકી ખાંસી, શ્વાસ લેવામાં તકલીફ, તાવ, વજન ઘટવું વગેરે લક્ષણો પણ હોય છે.

ટૉક્સિક માયોસિટિસ
આ રોગ કેટલીક દવાઓને લીધે થાય છે, જેમાં અમાન્ય વેચાતી દવાઓ પણ સામેલ છે.
કોલેસ્ટ્રૉલ ઓછું કરનારી દવાઓ ટૉક્સિક માયોસિટિસનું મુખ્ય કારણ છે.
સ્વાભાવિક રીતે જ આ માયોસિટિસનો અતિદુર્લભ પ્રકાર છે. તેનાં લક્ષણો માયોસિટિસનાં અન્ય પ્રકારો જેવાં જ છે.

રોગનું કારણ
વિશેષજ્ઞો માયોસિટિસના ચોક્કસ કારણ અંગે અલગઅલગ મત ધરાવે છે. પણ આઘાત કે સંક્રમણ આ બીમારીનું કારણ બની શકે છે.
વિશેષજ્ઞોનું માનવું છે કે રોગપ્રતિકાર શક્તિ મજબૂત ન હોવા પર આ રોગ થાય છે. આ વાઇરસ સ્વસ્થ કોશિકાઓ પર હુમલો કરે છે.
રૂમેટાઇડ આર્થરાઇટિસ, કોલ્ડ-ફ્લૂ વાઇરસ, એચઆઈવી, દવાઓની સાઇડ ઇફેક્ટ પણ આ બીમારીનું કારણ બની શકે છે.

રોગનું નિદાન કેવી રીતે કરવું?

ઇમેજ સ્રોત, SAMANTHARUTHPRABHUOFFL/INSTA
જોકે આ એક અતિદુર્લભ બીમારી છે, માટે તેનું નિદાન કરવું મુશ્કેલ છે.
ઈજાગ્રસ્ત માંસપેશીઓના લોહીનું પરીક્ષણ, શરીરમાં સોજાની માત્રાનું પરીક્ષણ અને શરીરમાં એન્ટીબૉડીની માત્રાનું પરીક્ષણ કરીને માયોસિટિસનું નિદાન થઈ શકે છે. તેના માટે ઇલેક્ટ્રોમોગ્રાફી, મસલ બાયોપ્સી, જેનેટિક ટેસ્ટિંગ વગેરે જેવા ટેસ્ટ ઉપલબ્ધ છે.

તેનો ઉપચાર શો છે?
હેલ્થલાઇન વેબસાઇટ અનુસાર, તેનો ઉપચાર પ્રત્યેક વ્યક્તિનાં લક્ષણોને આધારે અલગઅલગ થાય છે.
પ્રારંભિક તબક્કામાં રોગને કાબૂમાં લેવા સામાન્ય રીતે સ્ટેરૉઇડનો ડોઝ ગોળીઓ કે ઇન્જેક્શનના માધ્યમથી આપવામાં આવે છે.
તો બહુ ઓછા કેસમાં રોગપ્રતિકારક શક્તિને તમારા સ્નાયુઓ પર હુમલો કરતી રોકવા માટે તમને ઇમ્યુનોગ્લોબ્યુલિન ઉપચારની જરૂર પડી શકે છે.
જોકે સ્ટેરૉઇડના ભારે ડોઝની શરીર પર આડઅસર પણ પડી શકે છે. માટે કેટલીક સપ્લિમેન્ટ્સ પણ આપવામાં આવે છે.
વ્યાયામ, સ્ટ્રેચિંગ, યોગ પણ માંસપેશીઓને મજબૂત કરીને તેને વધુ સક્રિય બનાવી શકે છે.

તમે બીબીસી ગુજરાતીને સોશિયલ મીડિયા પર અહીં ફૉલો કરી શકો છો



























