நுரையீரலில் 'எல்இடி' விளக்கு சிக்கியதால் 3 மாதங்கள் அவதிப்பட்ட குழந்தை - என்ன நடந்தது?

- எழுதியவர், ஓங்கார் கரம்பேல்கர்
- பதவி, பிபிசி செய்தியாளர்
- வாசிக்கும் நேரம்: 3 நிமிடங்கள்
குழந்தைகள் வளரும் போது, பொருட்களை வாயில் போட்டுக் கொள்வதும், சுவைத்து பார்ப்பதும் இயல்பானதே. ஆனால், இந்தப் பழக்கம் சில நேரங்களில் தீங்கு ஏற்படுத்தக்கூடும்.
நாணயங்கள், பொம்மைகள், பொத்தான் அளவுக்கான பேட்டரிகள், நகைகள் போன்ற பொருட்கள் குழந்தைகளின் வயிற்றுக்குள் சென்றால் அதனால் கடும் உடல்நலப் பிரச்னைகள் ஏற்படும்.
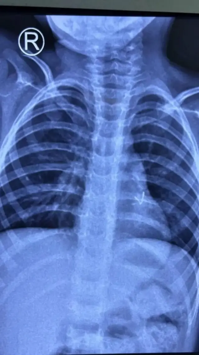
மும்பையில் உள்ள ஜாஸ்லோக் மருத்துவமனை மற்றும் ஆராய்ச்சி மையத்தின் மருத்துவர்கள், மூன்றரை வயது சிறுவனின் நுரையீரலில் சிக்கிக் கொண்ட எல்இடி விளக்கை வெற்றிகரமாக அகற்றினார்கள்.
பெற்றோர்கள் எச்சரிக்கையாக இருப்பதும், குழந்தைகள் என்ன செய்கிறார்கள் எனக் கவனித்துக்கொள்வதும் மிகவும் அவசியம் என்று நிபுணர்கள் தெரிவிக்கின்றனர்.
நுரையீரலில் 3 மாதம் சிக்கியிருந்த எல்இடி விளக்கு
மகாராஷ்ட்ரா மாநிலம் கோலாப்பூரைச் சேர்ந்த மூன்று வயது சிறுவன், கடந்த மூன்று மாதங்களாக தொடர் இருமலாலும், சுவாசிக்க சிரமப்பட்டும் அவதிப்பட்டு வந்தான். ராகுல் (பெயர் மாற்றப்பட்டது) ஆரம்பத்தில் நிமோனியாவால் பாதிக்கப்பட்டதாக நினைத்து, பல ஆண்டிபயாடிக் மருந்துகளுடன் சிகிச்சை அளிக்கப்பட்டது.
ஆனாலும், சிறுவனின் பிரச்னைகள் குறையாததால், மேலும் பரிசோதனைகள் செய்ய வேண்டியதாயிற்று. சிடி ஸ்கேன் செய்தபோது, இடது நுரையீரல் பகுதியில் ஒரு உலோகத் துண்டு இருப்பது கண்டறியப்பட்டது.
பிராங்கோஸ்கோபி (Bronchoscopy- குழாய் போன்ற கருவியை மூக்கு அல்லது வாய் மூலம் நெஞ்சுப் பகுதியில் செலுத்தி ஆய்வு செய்யும் முறை) மூலம் அதை அகற்ற எடுத்த முயற்சிகள் தோல்வியடைந்த பிறகு, அந்த சிறுவனை மும்பையில் உள்ள ஜாஸ்லோக் மருத்துவமனைக்கு அழைத்துச் சென்றார்கள்.
அங்கு பிராங்கோஸ்கோபி செய்தபோது, சிறுவன் விழுங்கியது எல்இடி விளக்கு என்றும், அது சிறுவனின் நுரையீரலில் சிக்கியிருந்ததும் தெரியவந்தது.
பின்னர் மினி தோராகோட்டமி (Mini Thoracotomy) என்ற நெஞ்சுப்பகுதி அறுவை சிகிச்சையை மேற்கொண்டு, சிறுவன் விழுங்கிய எல்இடி விளக்கை மருத்துவர்கள் வெற்றிகரமாக அகற்றினர். இதன் பிறகு சிறுவனின் நுரையீரல் செயல்பாடு மேம்பட்டுள்ளது.
"நாங்கள் செய்த அறுவை சிகிச்சைகளில் இது மிகவும் அரிது. எல்இடி விளக்கு நுரையீரலுக்குள் ஆழமாக சென்றுவிட்டது. பாரம்பரிய மருத்துவ முறைகளால் இதை அகற்ற முடியவில்லை. மினி தோராகோட்டமி மூலம் இந்த எல்இடி விளக்கை அகற்றி, சிறுவனைக் காப்பாற்றினோம்" என்று ஜாஸ்லோக் மருத்துவமனையின் நெஞ்சக அறுவை சிகிச்சை நிபுணர் மருத்துவர் விமேஷ் ராஜ் தெரிவித்தார்.
சிட்னி பல்கலைக்கழகம் செய்த ஓர் ஆய்வில், குழந்தைகள் பொத்தான் போன்ற பேட்டரியை விழுங்கிய நிகழ்வுகள் 400க்கும் மேல் பதிவாகியுள்ளன.
அவ்வாறான ஒரு நிகழ்வில் இரண்டு வயது நிரம்பிய ஒரு சிறுவன் 20 மி.மீ. பேட்டரியை விழுங்கியதால், வெறும் இரண்டு மணி நேரத்திற்குள் அவனுடைய உணவுக்குழாய் வீங்கிவிட்டது.
பேட்டரியை சரியான நேரத்தில் அகற்றாவிட்டால், உள்ளுறை ரத்தப்போக்கு ஏற்படுவதற்கான ஆபத்து 8 மடங்கு அதிகரிக்கும். இது போன்ற சந்தர்ப்பங்களில் 9% நிகழ்வுகளில் குழந்தைகள் இறந்துள்ளனர்.
அமெரிக்காவில் கொலரோடா மாகாணத்தில் ஒரு சிறுவன் நாணயத்தை விழுங்கியதால், அவனை மருத்துவமனையில் அனுமதிக்க வேண்டியதாயிற்று. பெரும்பாலான சந்தர்ப்பங்களில் நாணயம் உடலில் இருந்து தானாகவே வெளியேறும். ஆனால் அந்த சிறுவனுக்கு அது உணவுக்குழாயில் சிக்கிக்கொண்டது.
இவ்வாறு சிக்கிக் கொள்ளும் பொருட்களை 24 மணி நேரத்திற்குள் அகற்ற வேண்டும் என்றும், இல்லையெனில் ரத்தப்போக்கு ஏற்படும், புண்கள் ஏற்படும் ஆபத்து உள்ளது என்றும் மருத்துவர்கள் தெரிவித்தனர்.

குழந்தைகள் எந்தப் பொருட்களை விழுங்கும் ஆபத்து உள்ளது?
- நாணயங்கள்
- பொத்தான் பேட்டரிகள் (Button Cell)
- சிறிய பொம்மைகள் அல்லது அவற்றின் துண்டுகள்
- நகைகள்
- பென்சில் முனைகள், ஊசிகள், கிளிப்புகள்
சிறு குழந்தைகள் உலோக பொருட்களையோ, நாணயங்களையோ அல்லது பெரிய அளவிலான விதைகளையோ விழுங்குவதால் உயிருக்கு ஆபத்து ஏற்படுமா என்பது குறித்து, ஜாஸ்லோக் மருத்துவமனையைச் சேர்ந்த மருத்துவர் விமேஷ் ராஜ்புத் பிபிசி கேள்விகளுக்கு பதில் அளித்தார்.
ஜாஸ்லோக் மருத்துவமனை மற்றும் ஆராய்ச்சி மையத்தில் ரோபோடிக் தோராசிக் அறுவை சிகிச்சை நிபுணராக விமேஷ் ராஜ்புத் பணியாற்றுகிறார்.
"முதலில் நம் உடலில் உள்ள இரண்டு முக்கிய குழாய்களைப் பற்றி தெரிந்து கொள்ள வேண்டும். ஒன்று ட்ராக்கியா (மூச்சுக்குழாய்), மற்றொன்று ஈஸோபேகஸ் (உணவுக்குழாய்). எந்தவொரு பொருளும் உணவுக்குழாயில் சிக்கினால், அது பொதுவாக மலத்துடன் வெளியேறும். மிகவும் அரிதாக அறுவை சிகிச்சை தேவைப்படலாம். ஆனால் மூச்சுக்குழாயில் சென்றால் உயிருக்கு ஆபத்து விளையும். சிறு குழந்தைக்கு உடனடியாக மருத்துவ சிகிச்சை தேவை. சில சமயங்களில் அது சளியுடன் வெளியே வந்துவிடும். அப்படி நடந்தால் நல்லது. ஆனால் சிறு குழந்தைகளுக்கு இந்த சாத்தியம் கடினம். அதனால்தான், சிறு குழந்தைகளை இத்தகைய பொருட்களிடமிருந்து எப்போதும் விலக்கி வைக்க வேண்டும்" என்று டாக்டர் ராஜ்புத் விளக்கினார்.

குழந்தைகள் ஏதாவது பொருளை விழுங்கிவிட்டால் என்ன செய்ய வேண்டும்?
இதே கேள்வியை மும்பையில் உள்ள அப்போலோ மருத்துவமனைகளின் மூத்த சிறப்பு நிபுணரும், குழந்தை மருத்துவத் துறைத் தலைவருமான டாக்டர் விஜய் யேவாலேவிடம் கேட்டோம்.
"உடனடியாக மருத்துவ சிகிச்சை அளிக்க வேண்டும். சில குழந்தைகளுக்கு எந்த அறிகுறிகளும் தெரியாது. எனவே ஒருவர் நாணயம் போன்ற பொருளை விழுங்கியிருந்தால், பயப்படாமல் மருத்துவ சிகிச்சை செய்துகொள்ள வேண்டும். பொருள் வெளியே வருவதற்காக அல்லது வாந்தி எடுப்பதற்காக குழந்தைகளுக்கு எந்தவொரு உணவையும் கொடுக்கக் கூடாது. ஏனெனில் அவ்வாறு செய்வது நிலைமையை மேலும் சிக்கலாக்கும்" என்று அவர் கூறினார்.
"எந்தவொரு பொருளும் உணவுக்குழாயில் சிக்கினால் குழந்தைகள் அழுவார்கள். சிறிது நேரம் கழித்து அழுகை நின்றுவிடும். அப்போது நீங்கள் டாக்டரிடம் சென்று நெஞ்சு, வயிறு எக்ஸ்-ரே எடுத்து மருத்துவர்கள் பரிந்துரைக்கும் சிகிச்சையைப் பெற வேண்டும். ஒருவேளை அந்த பொருள் குழந்தையின் மூச்சுக்குழாயில் நுழைந்துவிட்டால், குழந்தை அழும். ஆனால் குரல் வித்தியாசமாக இருக்கும். சுவாசிப்பதில் சிரமம் இருக்கும். அரிதான நிலைமைகளில், குழந்தையின் உடல் நீல நிறமாக மாறக்கூடும். எனவே, உடனடியாக மருத்துவரின் உதவியைப் பெற வேண்டும்" என்று டாக்டர் ராஜ்புத் கூறுகிறார்.

என்ன சிகிச்சை தரப்படும்?
"எந்தவொரு பொருளும் உணவுக்குழாய் வழியாக சென்றால், 90 சதவீதம் பேருக்கு அது வயிற்றில் சென்று சேரும். அப்போது வாழைப்பழங்கள் போன்ற அதிக நார்ச்சத்து உள்ள பழங்களை சாப்பிடுதல் அல்லது மலம் இளக்கும் மருந்துகள் எடுத்துக்கொள்வதன் மூலம் அது மலத்தில் வெளியேற உதவும். சிலருக்கு, செரிமான மண்டலத்தின் மேல் பகுதியை சோதிக்கிறார்கள். இதில், பொருளை அகற்ற வயிற்றில் ஒரு கேமரா அனுப்பப்படும். அரிதான சந்தர்ப்பங்களில், அறுவை சிகிச்சை தேவைப்படும்" என்று விமேஷ் ராஜ்புத் தெரிவித்தார்.
"ஒருவேளை குழந்தைகள் விழுங்கிய பொருள் மூச்சுக்குழாயில் சிக்கிக் கொண்டால், உடனடியாக சிகிச்சை தேவை. அது சளியுடன் வெளியே வராவிட்டால், பிராங்கோஸ்கோபி மூலம் சிகிச்சை செய்கிறார்கள். மிகவும் அரிதான சந்தர்ப்பங்களில், நெஞ்சு பகுதியில் அறுவை சிகிச்சை செய்கிறார்கள்" என்று அவர் கூறினார்.
இத்தகைய சந்தர்ப்பங்களில் சரியான நேரத்தில் சிகிச்சை எவ்வளவு முக்கியமோ, அதேபோல் இந்த சம்பவங்கள் நடக்காமல் முன்கூட்டியே பாதுகாப்பு நடவடிக்கைகள் எடுப்பதும் மிகவும் முக்கியம் என்று மருத்துவர்கள் கூறுகின்றனர்.
- இது, பிபிசிக்காக கலெக்டிவ் நியூஸ்ரூம் வெளியீடு
































