Mwanamke aliye na mifuko miwili ya uzazi ajifungua mapacha

Chanzo cha picha, Xi'an Hospital
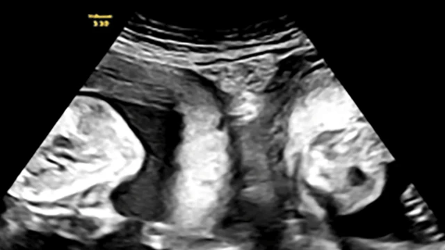
Mwanamke aliye na hali ya nadra ya mifuko miwili ya uzazi amejifungua mapacha, mtoto mmoja kutoka kila mfuko, mwezi uliopita katika hospitali moja kaskazini magharibi mwa China, kulingana na maafisa wa afya na vyombo vya habari vya serikali.
Mama huyo, ambaye jina lake la mwisho ni Li, alimkaribisha mvulana na msichana kwa njia ya upasuaji katika Hospitali ya Xi'an katika mkoa wa Shaanxi, walisema maafisa, na kuliita tukio "moja kati ya milioni."
"Ni nadra sana kwa mapacha kutungwa katika kila mfuko, na ni nadra zaidi kwao kubebwa hadi wakazaliwa," hospitali hiyo ilisema kwenye akaunti yake rasmi kwenye jukwaa la mtandao wa kijamii la China la Weibo mnamo Septemba 18.
Kwa mujibu wa hospitali hiyo, mama huyo aliyejifungua alizaliwa akiwa na mifuko miwili ya uzazi, hali inayopatikana kwa mwanamke 1 kati ya 2,000.
Tukio hilo limevutia watu kwenye mitandao ya kijamii ya China na kuwa mada inayovuma, kukiwa na maoni zaidi ya milioni 50 kuhusu tukio hilo, watumiaji wengi wametuma jumbe za kushangaa.
“Huo ni muujiza!” mtumiaji mmoja aliandika, mwingine alisema, "Ana bahati iliyoje!". Wengine walionyesha wasiwasi kwa mama huyo, mtumiaji mmoja akiandika "hii lazima ilikuwa ngumu na hatari kwake!"
Tukio la Li lilileta mwisho wenye furaha, huku hospitali ikifichua kwamba aliharibu ujauzito uliopita.
Mwezi Januari, Li alipata ujauzito na ndipo ikagundulika kupitia vipimo kwamba alikuwa anatarajia watoto wawili - na kila mmoja katika mfuko wake.
Baada ya ufuatiliaji wa "karibu wa matibabu, "alifanikiwa" kujifungua mvulana mwenye uzito wa kilogramu 3, na msichana mwenye uzito wa kilogramu 2, hospitali ilisema.
Imetafsiriwa na Rashid Abdallah na kuhaririwa na Yusuf Jumah












