 | | | د ولادت دقيقه نېټه د مېرمنو د مياشتني عادت له وروستۍ ورځې څخه شمېرل کيږي. |
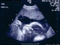
په عادي حالت کې د مور په خېټه کې د ماشوم د بدن د جوړښت او ودې وخت (٤٠) او ياهم له هغې نه کم تر(٣٦) اوونيو دی چې پدې وخت کې ماشوم بايدنړۍ ته سترګې پرانيزي. په افغانستان کې د يوشمېرميندو ماشومان د ياد وخت په دننه کې نه پيدا کيږي چې دا کار دماشوم دمړينې خطرله ځان سره لري. په ملالۍ زېږنتون کې ديوې مېرمنې، چې دنوم له ښودلو يې ډډه کوله، دزېږون د وخت دتېرېدوله امله دوه ماشومان مړه دنياته راغلي وو. په کابل کې د ملالۍ روغتون ډاکټرې نجم السما شفاجو وويل: "کله چې ديوې حاملې مېرمنې دماشوم د پيدايښت نېټه تېره شي،دهغې کڅوړې مايع کميږي چې ماشوم پکې وي. ددې سربېره پلاسنتا(جوړه) هم د(٤٠) اوونيوترتېرېدو وروسته سختيږي اوپه منظم ډول نشي کولای جنين ته وينه ورسوي چې پدې توګه جنين خرابيږي." ډېری مېرمنې دزېږون د دقيقې نېټې دنه ټاکلويا په يادنه ساتلوله امله له داشان خطرونو سره مخ کيږي. د ډاکټرانو په وينا د التراساوند معاينات د حامله ګۍ په لومړيو درېو مياشتو کې کولای شي دزېږون دقيقه نېټه وټاکي.  | | | د التراساوند معاينات د حامله ګۍ په لومړيو درېو مياشتو کې دزېږون دقيقه نېټه ټاکلی شي.. |
ديادونې وړده چې د ولادت سمه نېټه د مېرمنو د مياشتني عادت له وروستۍ ورځې څخه شمېرل کيږي. هغه شمېر ميرمنې چې دا نېټه يې په ياد نه وي، دحاملګۍ په لومړيودريومياشتوکې دې له معالج ډاکتر څخه پدې برخه کې مرسته وغواړي اولازمې مشورې دې واخلي. |