Қизиқ, ўқинг: Юрагингиз сиздан қарими? Уни ёшартириш йўли борми? Илм-фан, Dunyo Yangiliklar

Сурат манбаси, BBC News
Янги Сунъий ақл (СА) воситаси одамнинг юраги қанчалик эрта қаришини унинг қанча алкогол ичиши, чекиши, носоғлом овқатланиши ва жисмоний ҳаракатсизлигига қараб айтиб беради.
Мақсад юракнинг қаришини ортга қайтариш, инсульт ва инфаркт каби ёшга доир касалликлар хавфини камайтиришдир.
Ушбу тизим Тиббий тадқиқот кенгашининг Лондонаги Тиббий илмлар институтидан профессор Деклан О'Реган бошқараётган жамоа томонидан ишлаб чиқилди.
Алоқадор мавзулар:
Менга ундан фойдаланиб кўришни таклиф қилишди.
"Биз бирор кимга қараганимизда унинг ёшига нисбатан ёш ёки қари кўринишини тахмин қиламиз, бизнинг органларимиз ҳам шундай", дейди проф. О'Реган.
"Айрим одамларнинг юраги анча ёш, бошқалариники эса эрта қариган ва касалликка мойил. Биз нима уларни бундай тез қаритганини аниқламоқчимиз".
Мен проф. О'Реганга соғломроқ турмуш тарзига амал қилганимни, аммо аксар одамлар каби овқатимни яхшилашим, бироз озишим ва кўпроқ жисмоний ҳаракат қилишим мумкинлигини айтдим.
Болалигимда жуда кўп эритилган сариёғ еганман. Онам карри, гуруч ва ёпилган нонни мазали қилиш учун уни кўп қўшарди.

Сурат манбаси, BBC News
Буларнинг бари оиламизда юқори холестерин, қон босими ва диабетга мойилликни орттирган.
Жанубий Осиёлик сифатида генларимда юрак касаллигига мойиллик бор, шунинг учун натижа кўтаринки бўлишига унча ишонмадим.
Аммо фан учун уни бир синаб кўришга аҳд қилдим.
Юрак соғлиғини баҳолашнинг йўллари кўп, сканерлаш, электрокардиограмма ва қон босими, аммо булар ҳозирги аҳволни кўрсатади, аслида эса у кундан кунга, ойдан ойга ўзгариб туради.
СА таҳлили алкоголли ичимликлар, чекиш, носоғлом овқатланиш ва жисмоний ҳаракат сустлиги сабабли ҳаёт давомида йиғилган нуқсонларни кўрсатди, дейди проф. О'Реган.
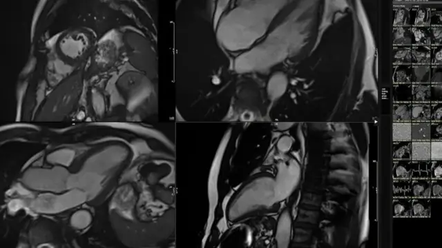
Жараёнда жисмоний машғулотдан сўнг юракни МРТ қилиш ҳам бор эди.
Юракнинг эрта қариши белгилари шу қадар сезилмас бўладики, уста кардиологлар ҳам уларни эътибордан четда қолдириши мумкин, аммо СА ундай эмас, чунки унинг хотирасига юраги ҳолати турлича бўлган 40 000 нафар одамнинг юрак тасвирлари жойланган.
Тизим менинг МРТ тасвиримда олинган 3D даги юзлаб тафсилотларни таҳлил қилди ва уларни соғлом ҳаёт кечирган ва турли ёшдаги 5000 нафар одамнинг юрак тасвирлари билан қиёслади.
Яхшироқ овқатланиш

Сурат манбаси, BBC News
СА менинг юрагим ёшини 63 деб чиқарди, туғилган ёшимдан бироз каттароқ, аммо қўрққанимчалик катта эмас.
Проф. О'Регандан булар кейинги йилларда турмуш тарзимга киритган ўзгартиришларим, дейлик, мунтазам жисмоний машқлар, яхшироқ таом болалигим ва ўрта ёшимдаги носоғлом овқатларим зарарини камайтирмадимикан деб сўрайман.
У менга айни мана шу масала кейинги тадқиқоти мавзуси бўлганини айтди. Бу тадқиқот ҳисоботи Nature Communications журналида эълон қилинган.
Юракнинг эрта қариши генлар сабаблими ва туғилганингиздаёқ шунга маҳкум бўлганмисиз ёки бу турмуш тарзи билан боғлиқми, буни билмаймиз", дейди проф. О'Реган.
"Қариш суръатини ўзгартирса бўладими ёки ортга қайтариш мумкинми, тўғри даволаш билан оламлар юрагини ёшартириб бўладими, бунисини ҳам билмаймиз."
Ёшартириш
Дастлабки таҳлил шуни кўрсатдики, мушаклар эластиклиги ва ёш ўтишида пайдо бўладиган ажинлар билан боғлиқ генлар муҳим омил ҳисобланади.
Иммун тизими билан боғлиқ бўлган бошқа генлар тўплами ҳам роль ўйнайди. Иммунитет ҳужайралари касалликларга қарши курашади ва ўлик тўқималардан тозалайди, лекин агар иммун ҳужайралар ҳаддан ташқари фаол бўлса, жуда тез тозалаши ва яллиғланишни келтириб чиқариши, тўқималарга зарар етказиши мумкин.
Юрак орқали электр сигналларини узатишда иштирок этадиган учинчи тўплам генлар ҳам омил бўлиши мумкин. Агар улар баъзи жойларда бузилган бўлса, юрак уриши бетартиб бўлиши мумкин.
Профессор О'Реганнинг айтишича, юракнинг эрта қаришида генетик омилни тушунсак, ушбу механизмларни нишонга оладиган ва одамларга узоқ ва соғлом ҳаёт кечиришга ёрдам берадиган даволаш усулларини ишлаб чиқиш мумкин бўларди.
https://t.me/bbcuzbek
BBC.COM/UZBEK
Telegramda bog'lanish raqami +44 7858860002































