کبوتر چاهی هم میتواند 'پاتولوژیست شود'

منبع تصویر، Thinkstock
متخصصان آسیبشناسی (پاتولوژی) و رادیولوژی سالها آموزش میبینند تا مهارت لازم را برای تشخیص سرطان به دست آورند اما مطابق یک تحقیق علمی، کبوترها پس از دو هفته آموزش توانسته اند چنین قابلیتهایی را نشان دهند.
سیستم بینایی کبوترها به انسان شباهت دارد و مغز آنها با اینکه بزرگتر از نوک انگشت نیست، قابلیت هایی باورنکردنی دارد.
پروفسور آرتور واسرمن، استاد دانشگاه آیووا و یکی از نویسندگان این<link type="page"><caption> تحقیق</caption><url href="http://journals.plos.org/plosone/article?id=10.1371/journal.pone.0141357" platform="highweb"/></link>، میگوید: "آنها میتوانند افراد و حالتهای چهره آنها، حروف الفبا، کپسولهای دارویی خراب و حتی نقاشیهای مونه یا پیکاسو را تشخیص دهند."
"حافظه بصری آنها هم بسیار تحسین برانگیز است، ثابت شده که آنها میتوانند بیش از ۱۸۰۰ تصویر را به خاطر بسپارند."
همین ویژگیها بود که محققان را به فکر انداخت کبوترهای چاهی را در معرض امتحانات پزشکی قرار دهند.
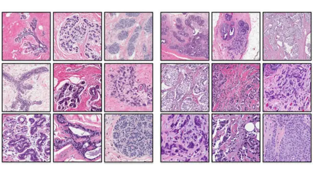
ابتدا تصاویر میکروسکوپی بافت سرطانی و سالم پستان را به آنها نشان دادند و هر بار که تشخیص درست بود، خوراکی جایزه گرفتند.
پس از دو هفته آموزش، دقت تشخیص کبوترها به ۸۵ درصد رسید. چون کبوترها توانستند بافت سالم را از سرطانی حتی در تصاویری که پیش از آن ندیده بودند به درستی تشخیص دهند.

منبع تصویر، Univ.Iowa.Wassermann
در زمینه این رفتار، احتمال رفتار طوطیوار و کوروکورانه منتفی بود چون آنها تصاویری را که قبلا ندیده بودند با استفاده از تعمیم آنچه یاد گرفته بودند، بهخوبی تشخیص میدادند.
آنها حتی با دیدن تصاویری با درجات مختلف درشتنمایی و رنگهای گوناگون و حتی در تصاویر سیاه و سفید، باز هم بافت سالم را از سرطانی بهدرستی تشخیص میدادند.
پژوهشگران در بخشی دیگر از تحقیق خود، تشخیص گروهی کبوترها را هم بررسی کردند؛ وقتی تشخیص چهار کبوتر را در هر مورد در نظر گرفتند، دقت این تشخیص جمعی به ۹۹ درصد رسید.
پس از درس آسیب شناسی عملی و تشخیص بافت میکروسکوپی، نوبت به درس رادیولوژی و تشخیص ماموگرافی رسید.
در این بخش، کبوترها باید رسوبات بسیار کوچک کلسیم را در بافت پستان تشخیص میدادند. این رسوبات، میتوانند نشانه تغییرات بافتی پیش از سرطان باشند.
کبوترها در این مورد هم تواناییهای تشخیصی خود را ثابت کردند.

منبع تصویر، Levenson et al. PLOS One
اما وقتی از کبوترها خواسته شد تا تودههای مستعد سرطان را از تودههای مشکوک تفکیک کنند- کاری که برای انسان هم دشوار است- موفقیتی نداشتند.
با این حال محققان معتقدند موفقیت یا عدم موفقیت کبوترها در تشخیص بافت میکروسکوپی یا تصاویر طبی، کمک میکند تا بفهمیم انسان چگونه می تواند این تصاویر را درک کند.
آگاهی از این موضوع ممکن است هم در آموزش پزشکی و هم در چگونگی تجزیه و تحلیل روشهای تشخیص مفید باشد.
پیش از این، توانایی سگها در استشمام بوی سرطان های مختلف و توانایی موش خرمای بزرگ کیسه دار آفریقایی در تشخیص سل ثابت شده بود.
اما پژوهشگران تحقیق اخیر میگویند هنوز چنین نقشی را برای کبوترها در نظر ندارند.
البته آنها معتقدند کبوترها میتوانند به محققان و مهندسان کمک کنند دستگاههایی بسازند که سرطان را از روی تصاویر میکروسکوپی بافت ها یا بر مبنای روشهای تصویر برداری تشخیص دهند.
این دستگاها را می توان هم برای آموزش پزشکان به کار گرفت و هم برای بالا بردن دقت تشخیص آنها مورد استفاده قرار داد.
تشخیصهای پاتولوژی یا رادیولوژی چون به آموزش بسیار طولانی نیاز دارند تشخیصهای گرانی هستند. با این حال، شاید کبوترها در آینده روش های تشخیص ارزانتری را در اختیار بیماران بگذارند.











