 | | | که چېرې دخولې او غاښونوپاکوالي ته پاملرنه ونشي، تانسلونه مکروبي کيږي. |
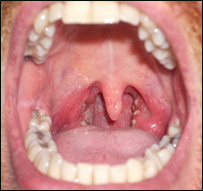
تانسلونه (هډي)، چې عام وګړي يې په ستوني کې اضافي غوښې بولي، په بدن کې دمکروب پروړاندې دفاعي دنده پرمخ بيايي، چې له دې امله ډېری وخت پخپله مکروبي کيږي. روغتيايي کارپوهان دتانسلونومکروبي کېدل نه يواځې ساري بلکې يوه ارثي ناروغي هم ګڼي. دستوني، غوږ او پزي متخصص ډاکتر صديق الله رښتين دنورو ترڅنګ د خولې او غاښونو پاکوالي ته نه پاملرنه هم ددې ناروغۍ لامل وګاڼه. هغه کسان، چې تانسلونه يې مکروبي شوي وي، دسختې تبې او ځان دردۍ ترڅنګ يې د ستوني لاندنۍ برخه کې پړسوب هم ليدل کيږي.  | | | دتانسلونومکروبي کېدل نه يواځې ساري بلکې يوه ارثي ناروغي هم ګڼي. |
که ددې ناروغۍ په درملنه کې بې پروايي وشي،مکروب يې په وينه کې ګډ او دروماتيزم او نورو ناروغيو دپيداکېدولامل هم کيږي. ددې ناروغۍ څخه دمخنيوي په موخه روغتيايي کارپوهان دخولې دپاک ساتلوترڅنګ له ډېروغوړو، خوږواو مرچوخوړلوډډه کول ګټوربولي. |