Kun san illar rufe hanci da baki yayin atishawa?

Asalin hoton, Getty Images
Likitoci sun yi gargadin cewa rufe hanci da baki yayin atishawa kan iya haifar wa mutum da matsala makogwaro.
Likitoci a Leicester sun yi wa wani dan shekara 34 magani, wanda makogwaronsa ya fashe a lokacin da yake kokarin tsayar da atishawa mai karfi da yake yi.
Har ila yau kuma a wani rahoton BMJ da aka fitar, an yi gargadin cewa dakatar da atishawar kan iya haddasa matsala a kunne ko ma ya shafi lafiyar kwakwalwa.
Mutumin ya ce kawai wani abu ya ji mai karfi a wuyansa a lokacin da abin ya faru, sannan kuma nan take ya ji makogwaransa ya fara ciwo, yana kuma shan wahala idan zai ci abinci ko zai yi magana.
A lokacin da likitoci suka gama duba shi, sai suka gano wani rauni a makogwaro da wuyansa.

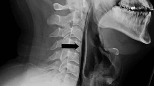
Asalin hoton, BMJ
Wannan hoton da aka dauka ya nuna yadda iska ta yi tsalle daga makogwaronsa ta shiga cikin fata.
Sai da aka yi mako daya ana ba mutumin abinci ta hanyar amfani da wani sirinji, don ya samu waraka.
Bayan ya shafe mako guda a asibitin ne aka sallame shi ya koma gida.
Likitoci a bangaren kunne, da hanci, da makogwaro a asibitin Royal Infirmary da ke Leicester, inda aka yi wa mutumin magani, sun bayyana cewa," Atishawa ta hanyar rufe hanci da baki babbar matsala ce kuma mutane su guji yin hakan".
"Atishawa na iya yada cututtuka, kodayake abu ne mai kyau "a fitar da ita", ya kamata ka tabbatar ka yi amfani da takarda." In ji kwararrrun.
Ma'aikatan lafiya a Ingila sun ce, "Ya kamata mu nunawa yara da manya su dinga rufe bakinsu da hancinsu da takarda yayin da suke tari da atishawa, sannan kuma su jefar da takardar su kuma wanke hannunsu don hana yaduwar cututtuka."














