تشخیص زود هنگام پارکینسون با پروتئین چسبناک

منبع تصویر، Getty
محققان دانشگاه ادینبورو در اسکاتلند روشی را برای تشخیص زودهنگام پارکینسون پیشنهاد کردهاند که ممکن است تحول "بسیار امیدوارکنندهای" در تشخیص این بیماری و نوعی دمانس به نام دمانس لوی ایجاد کند.
این تحقیق بر روی تعداد کمی بیمار، ۳۸ نفر، انجام شده اما پژوهشگران میگویند دقت تست بسیار زیاد بوده است.
پارکینسون بیماری پیشروندهای است که باعث از بین رفتن سلولهای عصبی شده، نه دلیل آن به درستی مشخص است، نه درمان قطعی دارد نه تست تشخیصی.
در بیماری پارکینسون و دمانس لوی، برخی پروتئینها به یکدیگر چسبیده و تودههایی را تشکیل میدهند که مانع از کارکرد طبیعی سلولهای عصبی و باعث مرگ زودرس آنها میشوند.
به این توده پروتئینی توده (جسم) لوی میگویند که پروتئین اصلی تشکیل دهنده آن آلفا-سینوکلئین نام دارد اما ممکن است برخی پروتئینهای دیگر هم در شکلگیری آن نقش داشته باشند.

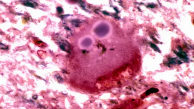
منبع تصویر، SPL
در بررسی میکروسکوپی بافت مغز مبتلایان به پارکینسون و دمانس لوی، این تودههای لوی دیده میشوند که در واقع تشخیص بیماری را قطعی میکنند.
در این تحقیق محققان دانشگاه ادینبورو سعی کردند تجمع و به هم چسبیدن پروتئین آلفا-سینوکلئین را در مایع مغزی نخاعی بررسی کنند و ببینند آیا میتوان آن را به عنوان نشانهای تشخیصی به کار گرفت یا نه.
برای ردیابی این پروتئین در مایع مغزی نخاعی آنها از روشی (RT-QuIC) استفاده کردند که پیش از این برای تشخیص بیماری کروتزفلد یاکوب (جنون گاوی) استفاده شده بود.

منبع تصویر، Thinkstock
آنها در این روش تغییراتی دادند و با کمک آن مایع مغزی نخاعی ۳۸ نفر را بررسی کردند. این روش بیماری ۱۹ نفر از بیست نفر مبتلا به پارکینسون را به درستی تشخیص داد و در سه نفر دیگر هم که به پارکینسون مبتلا نبودند نشان داد که در معرض خطر ابتلا قرار دارند. این تست سلامت ۱۵ نفر دیگر را هم که به پارکینسون مبتلا نبودند نشان داد.
بنابر این تاز زمانی که بیماری از روی علائم، شرح حال و برخی تست های بدنی و ذهنی تشخیص داده شود زمان زیادی طول می کشد.
دکتر آلیسون گرین از دانشگاه ادینبورو میگوید این تست تشخیصی برای انواع دیگر دمانس از جمله آلزایمر مناسب نیست اما "ما امیدوارم با بهبود این روش بتوانیم پارکینسون را بهتر تشخیص دهیم."
دکتر بکی پورت از انجمن پارکینسون بریتانیا میگوید برای اینکه ببینیم آیا این تست همچنان به درستی بیماری را تشخیص میدهد باید تحقیقات وسیعتری انجام شود اما این تحقیق "بسیار امیدوارکننده" است چون به "یک تست ساده و دقیق برای تشخیص پارکینسون نیاز فوری وجود دارد."











