'खेल पर असर डाल सकते हैं फ़ुटबॉलरों के दांत'

दांत के डॉक्टरों का कहना है कि पेशेवर फ़ुलबॉलरों के दांतों की हालत इतनी बुरी है कि इसका असर मैदान पर उनके प्रदर्शन पर पड़ सकता है.
<link type="page"><caption> ब्रितानी पत्रिका स्पोर्ट्स मेडिसिन</caption><url href="http://bjsm.bmj.com/content/early/2015/10/01/bjsports-2015-094953.full" platform="highweb"/></link> में इंग्लैंड और वेल्स के 8 क्लब के खिलाड़ियों पर की गई स्टडी छपी है. स्टडी के अनुसार 10 में से 4 खिलाड़ियों को कैविटी थी.
लगातार मीठे खाद्य पदार्थ खाए जाने को इसका संभावित कारण बताया जा रहा है.
लंदन यूनिवर्सिटी के 'इंटरनेशनल सेंटर फॉर एविडेंस बेस्ड ओरल हेल्थ' के दांत के डॉक्टरों ने फ़ुटबॉल खिलाड़ियों के दांतों की स्थिति जांचने के लिए 187 खिलाड़ियों को चुना.

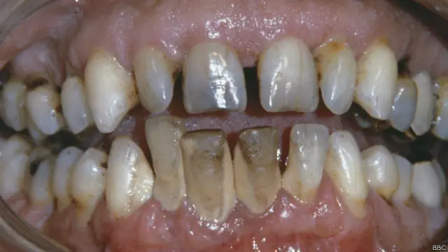
इमेज स्रोत, BBC
पाया गया कि इनमें से 53 प्रतिशत के दांतों में क्षरण है, 45 प्रतिशत के दांतो की हालत चिंताजनक है और 7 प्रतिशत फ़ुटबॉलरों की दांतों की समस्या का असर खेल पर पड़ रहा है.
जबकि इसी उम्र के दूसरे 30 फ़ीसदी आम नागरिकों की तुलना में 40 फ़ीसदी खिलाड़ियों के दांत सड़ गए थे.
शोधकर्ता प्रोफेसर आयन निड्लमैन ने बीबीसी को बताया, "कुछ फ़ुटबॉलरों के दांतों की हालत इतनी गंभीर है कि इससे उनका खेल या ट्रेनिंग प्रभावित हो रहा है.
दांतों की बीमारी के पीछे ट्रेनिंग के दौरान मीठे या एसिड पैदा करने वाले खाद्य पदार्थों को भी एक वजह माना जा रहा है.

इमेज स्रोत, Getty Images
इसके अलावा अभ्यास के दौरान मुंह में काफी मात्रा में हवा के जाने से लार से होने वाली सुरक्षा भी कमज़ोर पड़ रही है.
इसके पहले शोध में लंदन 2012 ओलंपिक गेम्स के दौरान एथलीटों में भी दांतों की हालत चिंताजनक पाई गई थी.
<bold>(बीबीसी हिन्दी के एंड्रॉएड ऐप के लिए यहां <link type="page"><caption> क्लिक</caption><url href="https://play.google.com/store/apps/details?id=uk.co.bbc.hindi" platform="highweb"/></link> करें. <link type="page"><caption> फ़ेसबुक</caption><url href="https://www.facebook.com/bbchindi" platform="highweb"/></link> और <link type="page"><caption> ट्विटर</caption><url href="https://twitter.com/BBCHindi" platform="highweb"/></link> पर भी फ़ॉलो कर सकते हैं.)</bold>












