BBCUrdu.com
  • تکنيکي مدد
پاکستان
انڈیا
آس پاس
کھیل
نیٹ سائنس
فن فنکار
ویڈیو، تصاویر
آپ کی آواز
قلم اور کالم
منظرنامہ
ریڈیو
پروگرام
فریکوئنسی
ہمارے پارٹنر
ہندی
فارسی
پشتو
عربی
بنگالی
انگریزی ۔ جنوبی ایشیا
دیگر زبانیں
وقتِ اشاعت: Friday, 12 March, 2004, 17:28 GMT 22:28 PST
یہ صفحہ دوست کو ای میل کیجیئےپرِنٹ کریں
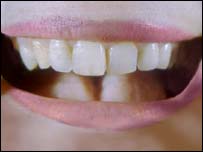
کوک کرے دانت خراب
خراب دانت
کوک بنی دانت جھڑنے کی وجہ
تحقیق کے مطابق نوجوانوں میں دانتوں کی خرابی اور دانت جھڑنےکی اہم وجہ مختلف تیز جھاگ والی مشروبات یا کوک کا استعمال ہے۔

برٹش ڈینٹل جرنل کی ایک تحقیق کے مطابق دانتوں کے کیڑا لگنے کی بڑی وجہ کوک جیسی مشروبات ہیں۔ اس طرح دانت گرنے کا خطرہ بارہ برس کے بچوں میں انسٹھ فیصد ہے اور چودہ برس کے بچوں میں یہی خطرہ دو سو بیس فیصد تک پہنچ جاتا ہے۔

ایسے نوجوان جو کوک یا تیز جھاگ والی مشروبات کے چار گلاس روزانہ کے حساب سے پی رہے ہیں ان میں دانتوں کے خراب ہونے یا جھڑنے کا خطرہ دو سو باون فیصد تک بڑھ سکتا ہے اور یہی خطرہ چودہ برس کے بچوں پانچ سو تیرہ فیصد تک ہو سکتا ہے۔

ایک ہزار بچوں پر کیے گئے سروے کے مطابق بارہ برس کے بچوں کی ایک تہائی تعداد تیزجھاگ والی مشروبات یا کوک پینے پر آمادہ نظر آتی ہے جبکہ چودہ برس کے بچوں میں یہی رجحان بانوے فیصد سے بھی تجاوز کر گیا ہے۔ اور دونوں عمروں کے بچوں میں سے چالیس فیصد تقریباً روزانہ تین یا تین سے زائد گلاس کوک پینے کی عادت پر مجبور ہیں۔

برٹش ڈینٹل ایسوسی ایشن کی پروفیسر لز کے کا کہنا ہے کہ دانتوں کا جھڑنا برطانوی بچوں میں ایک بڑا مرض بنتا جا رہا ہے۔ لیکن کئی والدین اس حقیقت سے آگاہ ہی نہیں کہ دانتوں کو کیڑا لگنے اور جھڑنے میں کیا فرق ہوتا ہے۔

اس صورتحال پر برٹش سافٹ ڈرنکس ایسوسی ایشن کے ترجمان کا کہنا ہے کہ کوک کی صنعت سے وابستہ لوگوں کو اندازہ ہے کے کوک یا اسی طرح کی تیز جھاگ والی مشروبات دانتوں کے جھڑنے کا بڑا سبب بن رہی ہیں۔

برطانوی سافٹ ڈرنکس ایسوسی ایشن کا کہنا ہے کہ جو لوگ کوک یا اس جیسی دوسری مشروبات پیتے ہیں انہیں چاہیے کے وہ دن میں دو بار فلورائیڈ والے ٹٹتھ پیسٹ سے دانت صاف کیا کریں۔ ساتھ ہی یہ بھی کہنا ہے کہ دودھ پینے والے بچوں کو بوتلوں میں کوک یا پھلوں کا شربت دینے سے بھی پرہیز کیا جانا چاہیے۔

اسی بارے میں
تازہ ترین خبریں
یہ صفحہ دوست کو ای میل کیجیئےپرِنٹ کریں
واپس اوپر
Copyright BBC
نیٹ سائنسکھیلآس پاسانڈیاپاکستانصفحہِ اول
منظرنامہقلم اور کالمآپ کی آوازویڈیو، تصاویر
BBC Languages >> | BBC World Service >> | BBC Weather >> | BBC Sport >> | BBC News >>
پرائیویسیہمارے بارے میںہمیں لکھیئےتکنیکی مدد