อะมีบากินสมองระบาดหนักในรัฐเกรละ อินเดียต่อสู้กับโรคที่หายากนี้อย่างไร

ที่มาของภาพ, Vivek R Nair
- Author, ซูติก บิสวาส
- Role, ผู้สื่อข่าว บีบีซีนิวส์ ประจำอินเดีย
- เวลาอ่าน: 2 นาที
ในคืนก่อนเทศกาลโอนัม ซึ่งเป็นเทศกาลรื่นเริงที่สุดในรัฐเกรละของอินเดีย โสภานา วัย 45 ปี นอนตัวสั่นเทิ้มอยู่ที่ด้านหลังรถพยาบาล และหมดสติในขณะที่ครอบครัวของเธอกำลังนำตัวส่งโรงพยาบาลวิทยาลัยแพทย์แห่งหนึ่ง
เพียงไม่กี่วันก่อนหน้านี้ หญิงวรรณะดาลิต (เดิมคือ วรรณะจัณฑาล) ซึ่งหาเลี้ยงชีพด้วยการบรรจุน้ำผลไม้ในหมู่บ้านแห่งหนึ่งในเขตมาลัปปุรัม บ่นว่าไม่มีอะไรน่าตกใจไปกว่าอาการวิงเวียนศีรษะและความดันโลหิตสูง แพทย์จึงสั่งยาให้เธอนำกลับบ้าน แต่อาการของเธอกลับแย่ลงอย่างรวดเร็ว ความวิตกกังวลเปลี่ยนเป็นไข้ ไข้เปลี่ยนเป็นอาการหนาวสั่นอย่างรุนแรง และในวันที่ 5 ก.ย. ซึ่งเป็นวันสำคัญของเทศกาล โสภานาก็จากไป
เชื้อที่เป็นต้นเหตุคือเชื้ออะมีบากินสมอง (Naegleria fowleri) ทำให้เกิดโรคติดเชื้อที่มักติดต่อผ่านทางจมูกในน้ำจืด และพบได้ยากมากจนแพทย์ส่วนใหญ่ไม่เคยพบผู้ป่วยเลยตลอดอาชีพการงานของพวกเขา "เราไม่สามารถหยุดยั้งมันได้ เราเพิ่งรู้เกี่ยวกับโรคนี้หลังจากโสภานาเสียชีวิต" อจิธา คาธีราดาธ ลูกพี่ลูกน้องของเหยื่อและนักสังคมสงเคราะห์ชื่อดังกล่าว
ในรัฐเกรละ มีผู้ป่วยได้รับการวินิจฉัยว่าเป็นโรคอะมีบากินสมองมากกว่า 70 รายในปีนี้ และมีผู้เสียชีวิตแล้ว 19 ราย ผู้ป่วยมีตั้งแต่เด็กอายุ 3 เดือน ไปจนถึงชายอายุ 92 ปี
โดยปกติแล้ว แบคทีเรียชนิดนี้จะอยู่ในแหล่งน้ำจืดที่มีอุณหภูมิค่อนข้างสูง หรืออุ่น ๆ ทำให้เกิดการติดเชื้อในสมองที่เกือบถึงแก่ชีวิต ซึ่งเรียกว่าโรคเยื่อหุ้มสมองอักเสบจากอะมีบาชนิดปฐมภูมิ (Primary Amoebic Meningoencephalitis - PAM) เชื้อจะเข้าสู่สมองผ่านทางจมูกขณะว่ายน้ำ และทำลายเนื้อเยื่อสมองอย่างรวดเร็ว
รัฐเกรละเริ่มตรวจพบผู้ป่วยโรคนี้ในปี 2016 เพียงปีละ 1-2 ราย กระทั่งเมื่อไม่นานมานี้ เกือบทั้งหมดเสียชีวิก งานศึกษาใหม่ พบว่า มีรายงานผู้ป่วยเพียง 488 รายทั่วโลกนับตั้งแต่ปี 1968 ส่วนใหญ่อยู่ในสหรัฐอเมริกา ปากีสถาน และออสเตรเลีย และ 95% ของผู้ติดเชื้อเสียชีวิตจากโรคนี้

ที่มาของภาพ, Universal Images Group via Getty Images
แต่ในรัฐเกรละ อัตราการรอดชีวิตดูเหมือนจะดีขึ้น ปีที่แล้วมีผู้ป่วย 39 ราย อัตราการเสียชีวิต 23% และปีนี้มีรายงานผู้ป่วยเกือบ 70 ราย อัตราการเสียชีวิตอยู่ประมาณ 24.5% แพทย์กล่าวว่าจำนวนผู้ป่วยที่เพิ่มขึ้นสะท้อนให้เห็นถึงการตรวจพบโรคที่ดีขึ้น ซึ่งต้องขอบคุณห้องปฏิบัติการที่ทันสมัย
"แม้จำนวนผู้ติดเชื้อเพิ่มขึ้น แต่จำนวนผู้เสียชีวิตกลับลดลง การตรวจคัดกรองอย่างเข้มข้นและการวินิจฉัยตั้งแต่เนิ่น ๆ ช่วยให้อัตราการรอดชีวิตดีขึ้น ซึ่งเป็นกลยุทธ์เฉพาะของรัฐเกรละ" อรวินด์ เรกุกุมาร หัวหน้าแผนกโรคติดเชื้อประจำวิทยาลัยแพทยศาสตร์และโรงพยาบาลในเมืองติรุวนันตปุรัม เมืองหลวงของรัฐ กล่าว การตรวจพบเชื้อแต่เนิ่น ๆ ช่วยให้สามารถรักษาผู้ป่วยได้อย่างตรงจุด การให้ยาผสมระหว่างยาต้านจุลชีพและสเตียรอยด์ที่ออกฤทธิ์กับอะมีบาสามารถช่วยชีวิตผู้ป่วยได้
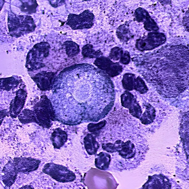
นักวิทยาศาสตร์จำแนกแยกแยะอะมีบาที่ชอบอยู่อย่างอิสระประมาณ 400 ชนิด แต่มีเพียง 6 ชนิดเท่านั้นที่ก่อให้เกิดโรคในมนุษย์ รวมถึงอะมีบากินสมอง (Naegleria fowleri) และอะแคนทาโมอีบา (Acanthamoeba) ซึ่งทั้ง 2 ชนิดสามารถติดเชื้อในสมองได้
เจ้าหน้าที่กล่าวว่า ในรัฐเกรละ ขณะนี้ห้องปฏิบัติการสาธารณสุขสามารถตรวจหาเชื้อก่อโรคหลัก 5 ชนิดได้แล้ว
การที่รัฐทางใต้ของอินเดียพึ่งพาน้ำบาดาลและแหล่งน้ำธรรมชาติอย่างมากทำให้มีความเสี่ยงเป็นพิเศษ โดยเฉพาะอย่างยิ่งเมื่อบ่อน้ำหลายแห่งกำลังปนเปื้อน เช่น เมื่อปีที่แล้ว มีรายงานผู้ติดเชื้อกลุ่มเล็ก ๆ ที่เกี่ยวข้องกับชายหนุ่มที่สูบกัญชาต้มผสมกับน้ำในหนองน้ำ ซึ่งเป็นพฤติกรรมเสี่ยงที่แสดงให้เห็นว่าน้ำที่ปนเปื้อนกลายเป็นบ่อเกิดของการติดเชื้อได้อย่างไร
รัฐเกรละมีบ่อน้ำเกือบ 5.5 ล้านบ่อ และบึงราว 55,000 แห่ง และผู้คนหลายล้านคนใช้น้ำจากบ่อน้ำเพียงอย่างเดียวในแต่ละวัน ความแพร่หลายเช่นนี้ทำให้ไม่สามารถพิจารณาบ่อน้ำหรือหนองน้ำเป็นเพียง "ปัจจัยเสี่ยง" เพียงอย่างเดียวได้ เพราะบ่อน้ำหรือหนองน้ำเป็นกระดูกสันหลังของชีวิตในรัฐ
"การติดเชื้อบางอย่างเกิดขึ้นกับคนที่อาบน้ำในบึง บางอย่างเกิดขึ้นจากสระว่ายน้ำ และแม้กระทั่งจากการล้างจมูกด้วยน้ำ ซึ่งเป็นพิธีกรรมทางศาสนา ไม่ว่าจะในหนองน้ำที่ปนเปื้อนหรือบ่อน้ำ ความเสี่ยงก็มีอยู่จริง" อนิช ทีเอส นักระบาดวิทยาชั้นนำ กล่าว

ที่มาของภาพ, Nebula NP
ดังนั้นเจ้าหน้าที่สาธารณสุขจึงพยายามตอบสนองในระดับขนาดใหญ่ อย่างเช่น ในแคมเปญเดียวเมื่อปลายเดือน ส.ค. บ่อน้ำ 2.7 ล้านบ่อได้รับการเติมคลอรีนเพื่อฆ่าเชื้อ
รัฐบาลท้องถิ่นได้ติดป้ายเตือนรอบหนองบึงไม่ให้อาบน้ำหรือว่ายน้ำ และประกาศใช้พระราชบัญญัติสาธารณสุขเพื่อบังคับใช้การเติมคลอรีนในสระว่ายน้ำและถังเก็บน้ำอย่างสม่ำเสมอ แต่ถึงแม้จะมีมาตรการดังกล่าวแล้ว บ่อน้ำก็ไม่สามารถเติมคลอรีนได้จริง เพราะปลาจะตาย และการควบคุมดูแลแหล่งน้ำทุกหมู่บ้านในรัฐที่มีประชากรมากกว่า 30 ล้านคนนั้นไม่มีประสิทธิภาพ
ขณะนี้เจ้าหน้าที่กำลังเน้นย้ำให้ตระหนักรู้เกี่ยวกับข้อห้ามดังกล่าว โดยแนะนำให้ครัวเรือนทำความสะอาดถังเก็บน้ำและสระว่ายน้ำ ใช้น้ำอุ่นสะอาดในการล้างจมูก ป้องกันไม่ให้เด็กเข้าใกล้สปริงเกอร์รดน้ำต้นไม้ในสวน และหลีกเลี่ยงบ่อน้ำที่ไม่ปลอดภัย ขอแนะนำให้นักว่ายน้ำปกป้องจมูกโดยให้ศีรษะอยู่เหนือน้ำ ใช้จุกอุดจมูก และหลีกเลี่ยงการกวนตะกอนในน้ำจืดที่นิ่งหรือไม่ได้ผ่านการบำบัด
อย่างไรก็ตาม การสร้างสมดุลระหว่างการให้ความรู้แก่สาธารณชนเกี่ยวกับความเสี่ยงที่แท้จริงจากการใช้น้ำจืดที่ไม่ได้รับการบำบัด กับการหลีกเลี่ยงความกลัวที่อาจรบกวนชีวิตประจำวันนั้นเป็นเรื่องท้าทาย หลายคนกล่าวว่าแม้จะมีการออกแนวปฏิบัติมานานกว่า 1 ปีแล้ว แต่การบังคับใช้กฎหมายยังคงไม่ครอบคลุม
"นี่เป็นปัญหาที่ยาก ในบางพื้นที่ [บ่อน้ำพุร้อน] มีป้ายเตือนถึงความเป็นไปได้ที่จะมีอะมีบาอยู่ในแหล่งน้ำ ซึ่งในทางปฏิบัติแล้วไม่สามารถทำได้จริงในเกือบทุกสถานการณ์ เนื่องจากอะมีบาอาจพบได้ในแหล่งน้ำที่ไม่ได้รับการบำบัด [ทะเลสาบ บ่อน้ำ สระน้ำ]" เดนนิส ไคล์ ศาสตราจารย์ด้านโรคติดเชื้อและชีววิทยาเซลล์ มหาวิทยาลัยจอร์เจีย กล่าวกับบีบีซี
"ในสภาพแวดล้อมที่มีการควบคุมมากขึ้น การตรวจสอบปริมาณคลอรีนที่เหมาะสมอย่างสม่ำเสมอสามารถช่วยลดโอกาสการติดเชื้อได้อย่างมาก ซึ่งรวมถึงสระว่ายน้ำ สระน้ำเล่นน้ำ และกิจกรรมนันทนาการทางน้ำอื่น ๆ ที่มนุษย์สร้างขึ้น" เขากล่าว

ที่มาของภาพ, Abhishek Chinnappa/Getty Images
นักวิทยาศาสตร์เตือนว่าการเปลี่ยนแปลงสภาพภูมิอากาศกำลังทำให้ความเสี่ยงทวีความรุนแรงขึ้น น้ำที่อุ่นขึ้น ฤดูร้อนที่ยาวนานขึ้น และอุณหภูมิที่สูงขึ้น ก่อให้เกิดสภาวะที่เหมาะสมต่ออะมีบา "แม้อุณหภูมิจะสูงขึ้นเพียง 1 องศาเซลเซียส ก็อาจกระตุ้นให้อะมีบาแพร่กระจายในเขตร้อนของรัฐเกรละได้ และมลพิษทางน้ำก็ยิ่งทำให้อะมีบาแพร่กระจายมากขึ้น โดยเป็นอาหารของแบคทีเรียที่อะมีบากินเข้าไป" ศาสตราจารย์อนิชกล่าว
ดร. ไคล์ยังกล่าวเสริมถึงข้อควรระวัง โดยตั้งข้อสังเกตว่า บางกรณีในอดีตอาจไม่ได้รับรู้ว่าเคยเกิดขึ้น เนื่องจากไม่สามารถระบุอะมีบาได้ว่าเป็นสาเหตุ
ความไม่แน่นอนดังกล่าวอาจทำให้การรักษายากยิ่งขึ้นไปอีก ยาผสมในปัจจุบัน "ไม่ได้ผลดีที่สุด" ดร.ไคล์ อธิบาย พร้อมเสริมว่า ในผู้รอดชีวิตที่หาได้ยากยิ่ง การรักษาแบบเดิมจะกลายเป็นมาตรฐาน "เราขาดข้อมูลเพียงพอที่จะระบุว่า ยาเหล่านี้มีประโยชน์หรือจำเป็นจริงหรือไม่"
รัฐเกรละอาจสามารถรักษาผู้ป่วยและช่วยชีวิตคนได้มากขึ้น แต่บทเรียนนี้กลับกว้างไกลเกินขอบเขต การเปลี่ยนแปลงสภาพภูมิอากาศอาจกำลังพลิกโฉมแผนที่โรค และแม้แต่เชื้อโรคที่หายากที่สุดก็อาจอยู่ได้ไม่นาน





























