பாதி சமைத்த உணவை உண்டால் மூளையில் புழுக்கள் வருமா?
- எழுதியவர், பூமிகா ராய்
- பதவி, பிபிசி செய்தியாளர்
- வாசிக்கும் நேரம்: 4 நிமிடங்கள்
ஓர் எட்டு வயது சிறுமியின் மூளையில் நூற்றுக்கும் அதிகமான முட்டைகள் இருந்தன. அடிக்கடி தலைவலி வருவதாக மகள் சொல்வதற்கு காரணம் என்ன என்பது அவரது பெற்றோருக்கு புரியவில்லை.

சுமார் ஆறு மாதங்களாக தொடரும் தலைவலிக்கு தீர்வு எதுவும் கிடைக்கவில்லை.
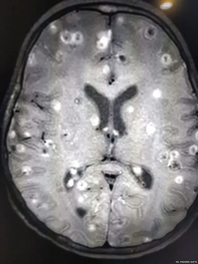
"சிறுமியின் மூளைக்குள் 100க்கும் மேற்பட்ட நாடாப்புழுக்களின் முட்டைகள் இருந்தன. அவை சிறு சிறு கட்டிகளைப்போல் காணப்பட்டன," என்று கூறுகிறார் மருத்துவர் பிரவீண் குப்தா.
டெல்லிக்கு அருகில் குருகிராமில் பிரபலமான ஒரு மருத்துவமனையில் நரம்பியல் துறை தலைவர் மருத்துவர் பிரவீண் குப்தாவின் கண்காணிப்பில் சிறுமிக்கு சிகிச்சை நடைபெறுகிறது.
"எங்களிடம் வருவதற்கு முன்னரே சிறுமி வேறு பல மருத்துவர்களிடம் சிகிச்சை பெற்றிருக்கிறார். அடிக்கடி ஏற்படும் கடுமையான தலைவலி மற்றும் வலிப்பு நோய்க்காகவும் அவர் சிகிச்சை பெற்றுவந்தார்."

பட மூலாதாரம், DR PRAVEEN GUPTA
மூளையில் ஏற்பட்ட வீக்கத்தை குறைப்பதற்காக ஸ்டீராய்டு மருந்துகள் கொடுக்கப்பட்டன. இதன் பக்கவிளைவாக, எட்டு வயது சிறுமியின் எடை 40 கிலோவில் இருந்து 60 கிலோவாக அதிகரித்துவிட்டது.
உடல் எடை அதிகரிக்க அதிகரிக்க, பிரச்சனைகளும் அதிகரித்தன. நடப்பதில் பிரச்சனை, மூச்சு விடுவதில் சிக்கல் என வேறு பல பிரச்சனைகளும் உருவானதோடு, முழுமையாக மருந்துகளையே சார்ந்திருக்க வேண்டிய நிலைமையும் உருவானது.
இந்தக் கட்டுரையில் Google YouTube வழங்கிய தகவல்கள் இடம் பெற்றுள்ளன. குக்கி மற்றும் பிற தொழில்நுட்பங்கள் பயன்படுத்தப்படக்கூடும் என்பதால் எந்த ஒரு பதிவேற்றத்துக்கும் முன்னதாக உங்கள் அனுமதியைக் கோருகிறோம். அதை ஏற்றுக்கொள்வதற்கு முன்பாக, நீங்கள் Google YouTube குக்கி கொள்கை மற்றும் தனியுரிமைக் கொள்கையை அறிந்துகொள்ள விரும்பலாம். இந்த தகவலைப் படிக்க, `ஏற்றுக்கொண்டு தொடரவும்' என்பதைத் தேர்வு செய்யவும்.
YouTube பதிவின் முடிவு
சிகிச்சைக்காக தன்னிடம் அழைத்து வரப்பட்ட சிறுமிக்கு சி.டி ஸ்கேன் எடுத்துப் பார்த்த குப்தா, அவர் நியூரோசிஸ்டிசிரோசிஸ் (Neurocysticercosis) என்ற நோயால் பாதிக்கப்பட்டிருப்பதை கண்டறிந்தார்.
"மருத்துவமனைக்கு கொண்டுவரப்பட்டபோது சிறுமி மயக்கநிலையில் இருந்தார். அவரது மூளையில் நூற்றுக்கணக்கான வெண்ணிற புள்ளிகள் இருப்பதை சி.டி ஸ்கேன் காட்டியது. அவை என்ன தெரியுமா? நாடாப்புழுவின் முட்டைகள்."
டாக்டர் குப்தாவிடம் வரும்போது,சிறுமிக்கு ரத்த அழுத்தமும் அதிகமாக இருந்தது. நாடாப்புழுக்கள் கொடுத்த அழுத்தம் மூளையை பாதித்து, மூளையின் செயல்பாட்டை நிறுத்திவிட்டது.

பட மூலாதாரம், DR PRAVEEN GUPTA
"முதலில் மருந்துகள் கொடுத்து மூளையின் அழுத்தத்தை குறைத்தோம். (மூளைக்குள் வெளிப்புற பொருட்கள் ஏதாவது வந்தால் அது மூளையின் உட்புற சமநிலையை குறைக்கிறது). பின்னர், மூளையில் கட்டிகளைப்போல் இருந்த முட்டைகளை கொல்ல மருந்து கொடுத்தோம். இது நிலைமையை மோசமாக்கும் அபாயமும் இருந்தது. ஏனெனில் இந்த சமயத்தில் மூளைக்கு அழுத்தம் அதிகரிக்கும் வாய்ப்புகள் அதிகம்."
மூளையில் உள்ள நாடாப்புழுவின் முட்டைகளை கொல்லும் மருந்து சிறுமிக்கு கொடுக்கப்பட்டாலும், அவை இன்னும் முற்றிலுமாக அழியவில்லை. அவை கொஞ்சம் கொஞ்சமாகத்தான் அழியும்.
மூளையில் இந்த முட்டைகளின் எண்ணிக்கை தொடந்து அதிகரித்துக் கொண்டேயிருக்கும். இது வலிப்பு வருவதற்கும் முக்கிய காரணமாகிறது என்கிறார் டாக்டர் குப்தா.

மூளைக்குள் முட்டைகள் சென்றது எவ்வாறு?
அரைகுறையாக சமைக்கப்பட்ட உணவை உண்பது, அசுத்தம், சுகாதார பராமரிப்பு குறைவு போன்ற பல காரணங்களால் நாடாப்புழுக்கள் வயிற்றுக்குள் செல்கின்றன. அங்கிருந்து ரத்த ஓட்டத்தில் கலந்து உடலின் பல்வேறு பாகங்களுக்கும் செல்கின்றன.
"வலிப்பு நோய் ஏற்படுவதற்கு முக்கியமான காரணங்களில் நாடாப்புழுக்களும் ஒன்று. இந்தியா போன்ற நாடுகளில் மனிதர்களின் உடலில் நாடாப்புழுக்கள் இருப்பது இயல்பானது.
இந்தியாவில் கிட்டத்தட்ட 12 லட்சம் மக்களுக்கு நியூரோசிஸ்டிசிரோசிஸ் (Neurocysticercosis) பாதிப்பு ஏற்பட்டுள்ளது. இது நரம்பு சம்பந்தப்பட்ட நோய்களும், வலிப்பு நோய் ஏற்படுவதற்கான காரணங்களில் பிரதானமானது என்பதும் குறிப்பிடத்தக்கது.
நாடாப்புழு என்றால் என்ன?
நாடாப்புழு என்பது ஒரு வகை ஒட்டுண்ணியாகும். ஊட்டச்சத்துக்காக மற்றவர்களை சார்ந்து இருக்கும் உயிரினமான இது, உணவை கிரகிப்பதற்காக நமது உடலுக்குள்ளேயே இருக்கிறது.

பட மூலாதாரம், DR. PRAVEEN GUPTA
5000க்கும் அதிகமான வகை நாடாப்புழுக்கள் இருப்பதாக கண்டறியப்பட்டுள்ளது. ஒரு மில்லி மீட்டர் முதல் 15 மீட்டர் நீளம் வரை பல்வேறு அளவுகளில் இவை காணப்படுகின்றன.
நாடாப்புழுக்கள் உடலின் உட்புற பாகங்களுக்குள் சென்று ஒட்டிக் கொள்கின்றன. தனது உடலின் புறத்தோல் மூலம் உணவை எடுத்துக்கொள்கிறது. இவை நமது உடலில் உள்ள செரிக்கப்பட்ட உணவுகளையே எடுத்துக் கொள்கின்றன. ஏனெனில் நாடாபுழுக்களுக்கு செரிமாண உறுப்புகளோ செரிமானப் பாதையோ கிடையாது.


நாடாப்புழுக்களின் பரவுவது எப்படி?
நாடாப் புழுக்கள் தட்டையாகவும், பார்ப்பதற்கு ரிப்பனைப் போலவும் இருக்கும். பாக்டீரியாவின் முட்டை உடலில் நுழைந்ததும், குடலை தனது இருப்பிடமாக மாற்றிக் கொள்கிறது. அது எப்போதும் குடலிலேயே இருக்கும் என்று சொல்லமுடியாது, ரத்தத்துடன் இணைந்து பயணித்து உடலின் பிற பகுதிகளுக்கு செல்கிறது.
கல்லீரலுக்குள் சென்று அங்கே கட்டியாக மாறுகிறது, அதில் சீழ் உருவாகிறது. பல நேரங்களில் அவை கண்களுக்கும், மூளைக்கும் சென்றுவிடுகின்றன.

பட மூலாதாரம், Getty Images
ஆசியாவுடன் ஒப்பிடும்போது, நாடாப்புழுக்களின் பாதிப்பு ஐரோப்பிய நாடுகளில் குறைவாகவே உள்ளது. உடலில் நாடாப்புழுக்கள் இருந்தால் அதன் அறிகுறிகள் வெளிப்படையாக தெரியவேண்டும் என்ற அவசியமில்லை.
அதேபோல், நாடாப்புழுக்களால் பெரிய அளவிலான பாதிப்பும் ஏற்படுவதில்லை. ஆனால் உடலின் மிக முக்கியமான உறுப்புகளுக்கு அவை சென்றுவிட்டால் ஆபத்தை ஏற்படுத்துகிறது.
ஆனால் நாடாப்புழுவின் பாதிப்புக்கு சிகிச்சை செய்வது எளிதானதே. நாடாப்புழுக்கள் உயிருக்கு ஆபத்தை ஏற்படுத்தாவிட்டாலும், அவற்றை அலட்சியம் செய்வது மிகவும் ஆபத்தானது என்கிறார் டெல்லியில் உள்ள சர் கங்காராம் மருத்துவமனையில் பணிபுரியும் இரைப்பை நோய் மருத்துவர் டாக்டர் நரேஷ் பன்சல்.
அவரது கருத்துப்படி, உலகம் முழுவதிலும் உள்ள மக்களை நாடாப்புழுக்கள் பாதித்தாலும், இது சுகாதாரத்துடன் தொடர்புடையது என்பதால், இந்த தொற்று இந்தியாவில் சற்று அதிகமாகவே காணப்படுகிறது.

பட மூலாதாரம், Getty Images
நாடாப்புழு உருவாவதன் காரணங்கள்
முழுமையாக வேக வைக்கப்படாத உணவு உட்கொள்வதாலும், பன்றி, மாட்டிறைச்சி, மீன் போன்றவற்றை சமைக்காமல் சாப்பிடுவதால் நாடாப்புழு உடலில் உருவாகும். இந்த உணவுகளில் லார்வாக்கள் இருப்பதுதான் காரணம். எனவே உணவு ஒழுங்காக சமைக்கப்படாவிட்டால், உடலில் நாடாப்புழுக்கள் உருவாகும் அபாயம் உள்ளது.
- அசுத்தமான குடிநீரை பருகுவது
- முட்டைகோஸ், கீரைகளை சரியாக வேக வைக்காவிட்டால் அவற்றின் மூலமாக நாடாப்புழுக்கள் உடலில் குடியேறும்.
- எனவே, அசுத்தமான தண்ணீரில் வளரும் காய்களையோ அல்லது மண்ணிற்கு அருகில் முளைக்கும் காய்கறிகளை நன்றாக கழுவி உண்ண வேண்டும் என்று அறிவுறுத்தப்படுகிறது.


நாடாப்புழு தொற்றின் அறிகுறிகள்
பொதுவாக, நாடாப்புழு உடலில் இருப்பதை கண்டறிய துல்லியமான அறிகுறிகள் என்று எதையும் கூறிவிடமுடியாது. ஆனால் குடலில் உணவு செரிமானம் ஆன பிறகு உருவாகும் கழிவுகள் மலமாக வெளியேறும்போது அதில் நாடாப்புழுக்களும் ஓரளவு வெளியேறும். அதிலிருந்து அவற்றின் இருப்பை அறியலாம்.

பட மூலாதாரம், Getty Images
இதைத்தவிர, வயிற்றுவலி, வயிற்றுப்போக்கு, பலவீனம், வாந்தி, அடிக்கடி பசி எடுப்பது போன்றவற்றால் நாடாப்புழுக்களின் இருப்பை அறிந்துக் கொள்ளலாம்.
உடலில் உள்ள நாடாப்புழுக்கள், அவற்றின் முட்டைகளின் எண்ணிக்கை மிகவும் அதிகமாக இருந்தால், தலைவலி, தோல் வெளுத்துப்போவது, இருமல், மூச்சுத்திணறல், பார்வைக்கோளாறு போன்ற பல பிரச்சனைகள் ஏற்படும்.

நாடாப்புழுக்கள் ஏற்படாமல் தவிர்ப்பது எப்படி?
நாடாப்புழுக்கள் உடலில் இருப்பது தெரிந்தால், மருந்துகளின் உதவியால் அதனை சரிசெய்யலாம். ஆனால் சில முன்னெச்சரிக்கை நடவடிக்கைகளை மேற்கொண்டால், நாடாப்புழு நம்மை தொற்றாமல் பாதுகாப்பாக இருக்கலாம்.
- எந்தவிதமான இறைச்சியாக இருந்தாலும் அதை நன்றாக வேகவைத்து உண்ணவேண்டும்.
- பழங்களை உண்பதற்கு முன்பதற்கு நன்றாக கழுவவேண்டும்.
- சாப்பிடுவதற்கு முன்னதாக கைகளை நன்றாக கழுவவும். கழிவறைக்கு சென்று வந்த பிறகு கைகளையும், நகங்களையும் நன்றாக கழுவவும். நகங்களில் பாக்டீரியாக்கள் தங்கியிருக்கலாம்.
- சுத்தமான நீரையே குடிக்கவும்
- கால்நடைகளுடன் நேரடி தொடர்பை தவிர்க்கவும் அல்லது சிறப்பான பாதுகாப்பு நடவடிக்கைகளை மேற்கொள்ளவும்.
நாடாப்புழுக்கள் உயிருக்கு அச்சுறுத்தல் ஏற்படுத்தாது என்றாலும், அதை அலட்சியம் செய்யக்கூடாது. இது உடலின் எந்தப் பகுதிக்கும் செல்லலாம், உடல் உறுப்புகளை முடக்கிவிடலாம் என்று சொல்கிறார் டாக்டர் பன்சல்.
(28 ஜூலை 2018 பிபிசி தமிழில் வெளியான கட்டுரையின் மறுபகிர்வு இது)
பிற செய்திகள்:
சமூக ஊடகங்களில் பிபிசி தமிழ்:


































