पैर का अंगूठा हाथ के अंगूठे की जगह लगाया!

इमेज स्रोत, South Eastern Sydney Local Health District
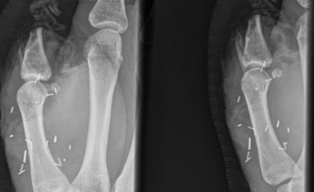
ऑस्ट्रेलिया के एक पशुपालक के पैर के अंगूठे को हाथ के अंगूठे की जगह पर ट्रांसप्लांट किया गया है.
20 साल के ज़ैक मिशेल जब खेत में काम कर रहे थे, तब एक बैल ने उनके अंगूठे को बुरी तरह कुचल दिया था.
मिशेल के मौजूदा ऑपरेशन से पहले दो बार डॉक्टरों ने उनके हाथ के कुचले हुए अंगूठे को ही फिर से जोड़ने की कोशिश की लेकिन वो कामयाब नहीं हो पाए.
पैर का अंगूठा हाथ में लगाने के लिए आठ घंटे का लंबा ऑपरेशन करना पड़ा.

इमेज स्रोत, South Eastern Sydney Local Health District
मिशेल ने बताया कि उनके साथ खेत में काम करने वाले दोस्तों ने इस घटना के बाद उनके अंगूठे को बचाने की बहुत कोशिश की.
उन्होंने बीबीसी को बताया, "दोस्तों ने अंगूठे को बर्फ के साथ कूलर में रखा." लेकिन अंगूठे को बचाने की उनकी कोशिश कामयाब नहीं हो सकी.
ऑपरेशन करने वाले प्लास्टिक सर्जन डॉक्टर सीन निकलीन ने कहा कि इसमें कोई अचरज नहीं कि इसमें इतना वक्त लगा.
वे कहते हैं, "यह थोड़ा अजीब आइडिया था क्योंकि मिशेल नहीं चाहते थे कि उनके शरीर का दूसरा भाग क्षतिग्रस्त हो. हालांकि चार उंगलियां होने से भी बहुत फ़र्क़ नहीं पड़ता लेकिन हाथ से आप बहुत सारे काम करने से वंचित हो जाते हैं."
(बीबीसी हिन्दी के एंड्रॉएड ऐप के लिए आप यहां क्लिक कर सकते हैं. आप हमें फ़ेसबुक और ट्विटर पर फ़ॉलो भी कर सकते हैं.)































