ખતરનાક સાબિત થઈ શકે છે કોબીનું શાક અને પાલકની ભાજી

ઇમેજ સ્રોત, Getty Images
- લેેખક, ભૂમિકા રાય
- પદ, બીબીસી સંવાદદાતા
આઠ વર્ષની બાળકીના મગજમાં કૃમિનાં 100થી વધું ઈંડાં જોવાં મળ્યાં. દીકરી માથામાં દુખાવાની ફરિયાદ રોજ શા માટે કરતી હતી, તેને વારંવાર વાઈ કેમ આવતી હતી એ તેના માતા-પિતા સમજી શકતાં ન હતાં.
લગભગ છ મહિનાથી આવું ચાલતું હતું, પણ તેનું કારણ જાણવા મળ્યું ત્યારે તે માની શકાયું ન હતું.
"બાળકીના મગજમાં 100થી વધુ ટેપવર્મ એટલે કે કૃમિના ઈંડાં હતાં, જે નાનાં-નાનાં ક્લૉટના સ્વરૂપમાં જોવાં મળ્યાં હતાં."
આ બાળકીનો ઈલાજ દિલ્હી નજીકના ગુડગાંવ સ્થિત ફોર્ટિસ હોસ્પિટલમાં ન્યૂરોલોજી વિભાગના ડિરેક્ટર ડો. પ્રવીણ ગુપ્તાની દેખરેખમાં ચાલી રહ્યો છે.
ડૉ. પ્રવીણ ગુપ્તાએ કહ્યું હતું, "બાળકી માથામાં જોરદાર પીડાના ફરિયાદ કરતી હતી. તેને વાઈ આવતી હતી. અમારી પાસે આવ્યા પહેલાં બાળકીની મગજમાં સોજા અને વાઈની તકલીફ માટે સારવાર ચાલતી હતી."

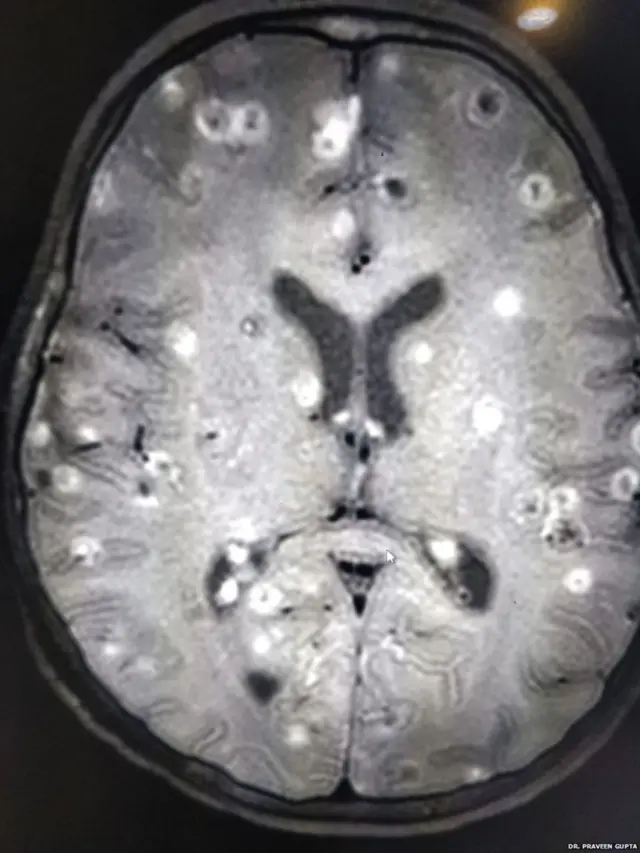
આવાં હતાં કૃમિનાં ઈંડા

ઇમેજ સ્રોત, DR. PRAVEEN GUPTA
મગજમાંના સોજાને ઉતારવા માટે બાળકીને સ્ટેરોઈડ્ઝ આપવામાં આવતું હતું. પરિણામે આઠ વર્ષની બાળકીનું વજન 40 કિલોથી વધીને 60 કિલો થઈ ગયું હતું.
વજન વધવાની સાથે તકલીફ વધી. હલનચલન ઉપરાંત બાળકીને શ્વાસ લેવામાં પણ તકલીફ થવા લાગી હતી. બાળકી સંપૂર્ણપણે સ્ટેરોઈડ્ઝ પર નિર્ભર થઈ ગઈ હતી.
એ બાળકીને ડૉ. પ્રવીણ ગુપ્તા પાસે લાવવામાં આવી ત્યારે તેનું સિટી સ્કેન કરવામાં આવ્યું હતું. તેમાં જાણવા મળ્યું હતું કે બાળકી ન્યૂરોસિસ્ટિસેરસોસિસથી પીડાઈ રહી છે.
End of સૌથી વધારે વંચાયેલા સમાચાર
ડૉ. પ્રવીણ ગુપ્તાએ કહ્યું હતું, "બાળકીને હોસ્પિટલે લાવવામાં આવી ત્યારે એ બેભાન હાલતમાં હતી. સિટી સ્કેનમાં તેના દિમાગમાં સફેદ ડાધ જોવા મળ્યાં હતાં.”
"એ ડાઘ બીજું કંઈ નહીં, કૃમિનાં ઈંડા હતાં અને પણ એક-બે નહીં, 100થી વધું હતાં."
બાળકીને ડૉ. પ્રવીણ ગુપ્તા પાસે લાવવામાં આવી ત્યારે તેના દિમાગ પરનું પ્રેશર ઘણું વધી ચૂક્યું હતું. ઈંડાંનું દિમાગ પર એટલું દબાણ હતું કે બાળકીનું મગજ કામ કરતું બંધ થઈ ગયું હતું.
દિમાગમાં બહારની કોઈ ચીજ જાય તો તેનાથી તેનું આંતરિક સંતુલન બગડી જતું હોય છે.
ડૉ. પ્રવીણ ગુપ્તાએ કહ્યું, "સૌપ્રથમ તો દવાઓથી બાળકીના દિમાગ પરનું દબાણ ઘટાડ્યું હતું. પછી તેને ઈંડા મારવાની દવા આપવામાં આવી હતી.
"એ ઘણું ખતરનાક પણ હોય છે, કારણ કે એ પ્રક્રિયા દરમ્યાન દિમાગનું દબાણ વધી પણ શકે છે."
બાળકીને પહેલો ડોઝ આપવામાં આવ્યો હતો, પણ બધાં ઈંડાનો ખાતમો થયો ન હતો.
ડૉ. ગુપ્તાના જણાવ્યા મુજબ, બાળકીના દિમાગમાં ઈંડાંની સંખ્યા સતત વધી રહી હતી. એ ઈંડા સોજા અને વાઈનું કારણ બનતાં હતાં.

દિમાગ સુધી કઈ રીતે પહોંચ્યાં ઈંડા?

ઇમેજ સ્રોત, DR. PRAVEEN GUPTA
અરધોપરધો રાંધેલો કોઈપણ ખોરાક ખાવાથી, સ્વચ્છતા નહીં રાખવાથી કૃમિ પેટમાં પહોંચી જતાં હોય છે. એ પછી લોહીના પ્રવાહ મારફત શરીરના અલગ-અલગ હિસ્સામાં પહોંચતાં હોય છે.
ડૉ. પ્રવીણ ગુપ્તાએ કહ્યું હતું, "ભારતમાં વાઈની બીમારી એક મોટી મુશ્કેલી છે અને તેનું એક મુખ્ય કારણ કૃમિ હોય છે.”
"ભારતમાં ટેપવર્મનો ચેપ બહુ સામાન્ય બાબત છે. અંદાજે બાર લાખ લોકો ન્યૂરોસિસ્ટિસેરસોસિસથી પીડાઈ રહ્યા છે અને તે વાઈ આવવાનું એક મુખ્ય કારણ છે."

શું હોય છે ટેપવર્મ?

ઇમેજ સ્રોત, DR. PRAVEEN GUPTA
ટેપવર્મ એક પ્રકારનાં પરોપજીવી જંતું છે. તે પોતાના પોષણ માટે અન્યો પર આશ્રિત રહે છે. તેથી કૃમિ શરીરમાં જોવા મળે છે, જ્યાં તેને ખાવાનું મળી રહે છે. કૃમિને કરોડરજ્જુ નથી હોતી.
ટેપવર્મની 5 હજારથી વધુ પ્રજાતિ જોવા મળે છે. તેની લંબાઈ એક મિલીમીટરથી માંડીને 15 મીટર સુધીની હોઈ શકે છે.
ઘણી વખત બધાં કૃમિનો આશ્રય એક હોય છે અને ઘણી વાર એકથી વધુ. કૃમિનું શરીર ટુકડાઓમાં વહેંચાયેલું હોય છે.
તેમનાં શરીરમાં હુક જેવી સંરચના હોય છે, જેનાથી તે તેમના આશ્રયદાતાના અંગને ચોંટી રહેતાં હોય છે.
શરીર પરનાં ક્યૂટિકિલની મદદથી ટેપવર્મ તેમનો ખોરાક પ્રાપ્ત કરતાં હોય છે. ટેપવર્મ પચેલું ભોજન જ લેતાં હોય છે, કારણ કે તેમનામાં પાચનતંત્ર હોતું નથી.

કઈ રીતે થાય છે ટેપવર્મનો ફેલાવો?

ઇમેજ સ્રોત, Getty Images
ટેપવર્મ સપાટ અને રિબન જેવી સંરચના ધરાવતાં હોય છે. કૃમિનું ઈંડુ માનવશરીરમાં પ્રવેશી જાય પછી આંતરડામાં પોતાનું ઘર બનાવતું હોય છે.
જોકે, એ આખી જિંદગી આંતરડામાં જ રહે એ જરૂરી નથી. રક્તના પ્રવાહની સાથે એ શરીરના બીજા હિસ્સાઓમાં પણ પહોંચતાં હોય છે.
લીવરમાં પહોંચીને ટેપવર્મ સિસ્ટ બનાવી લેતાં હોય છે. તેનાથી રસી થાય છે. ઘણીવાર એ આંખોમાં અને દિમાગમાં પણ આવી જાય છે.
બ્રિટનની નેશનલ હેલ્થ સર્વિસીસના જણાવ્યા મુજબ, કોઈના શરીરમાં ટેપવર્મ હોય તો તેનાં કેટલાંક લક્ષણ જોવા મળે એ જરૂરી નથી.
ઘણીવાર ટેપવર્મ શરીરનાં અત્યંત સંવેદનશીલ અંગોમાં પહોંચી જતાં હોય છે, જે જોખમી બની શકે છે.
જોકે, ટેપવર્મની સમસ્યાનો ઈલાજ આસાન છે.
દિલ્હીસ્થિત સર ગંગારામ હોસ્પિટલના ગૅસ્ટ્રો-ઍન્ટેરોલૉજિસ્ટ ડૉ. નરેશ બંસલના જણાવ્યા અનુસાર, ટેપવર્મ ભલે જીવલેણ ન હોય, પણ તેને નજરઅંદાજ કરવાનું ખતરનાક સાબિત થઈ શકે છે.
એશિયાની સરખામણીએ યુરોપના દેશોમાં ટેપવર્મનું જોખમ ઓછું છે.
ડૉ. નરેશ બંસલ માને છે કે ટેપવર્મ અને એ સંબંધી સમસ્યાઓ આમ તો આખી દુનિયામાં જોવા મળે છે, પણ ભારતમાં ટેપવર્મના સંક્રમણ સંબંધી કિસ્સાઓ વધુ જોવા મળે છે.

ટેપવર્મ થવાનું કારણ શું?

ઇમેજ સ્રોત, Getty Images
અરધુંપરધું રાંધેલું પોર્ક કે બીફ કે માછલી ખાવાથી ટેપવર્મ થઈ શકે છે. વાસ્તવમાં આ જીવોમાં ટેપવર્મના લાર્વા હોય છે. તેને યોગ્ય રીતે રાંધવામાં ન આવે તો ટેપવર્મ શરીરમાં પહોંચી જાય છે.
એ ઉપરાંત યોગ્ય રીતે રાંધવામાં ન આવેલી કોબી, પાલકના સેવનથી પણ ટેપવર્મ તમારા શરીરમાં પહોંચી શકે છે.
ગંદા પાણીમાં કે માટીમાં પાકતાં શાકભાજીને બરાબર ધોઈને જ આરોગવાની સલાહ આપવામાં આવે છે તેનું કારણ આ છે.
દૂષિત પાણી પીવાથી પણ ટેપવર્મ તમારા શરીરમાં જઈ શકે છે.

ટેપવર્મના સંક્રમણના લક્ષણ
સામાન્ય રીતે તેનાં કોઈ સ્પષ્ટ લક્ષણ જોવાં મળતાં નથી, પણ ટેપવર્મ શરીરમાં હોય તો શૌચમાં તેની ખબર પડી જાય છે.
એ ઉપરાંત પેટમાં દુખાવો, અતિસાર, નબળાઈ, ઊલટી અને અનિયમિત ભૂખ તેનાં મુખ્ય લક્ષણ છે.
શરીરમાં ટેપવર્મ કે તેનાં ઈંડાની સંખ્યા વધારે પડતી હોય તો ચક્કર આવવા, ચામડી ફિક્કી થઈ જવી, ખાંસી, શ્વાસ લેવામાં તકલીફ અને જોવામાં તકલીફ જેવી સમસ્યા સર્જાઈ શકે છે.

ટેપવર્મથી બચવાના ઉપાય
ટેપવર્મ એકવાર શરીરમાં પહોંચી જાય તો માત્ર દવા વડે જ તેનાથી છૂટકારો મેળવી શકાય છે.
ટેપવર્મ સંબંધી તકલીફનો ભોગ બનવા માટે આટલી તકેદારી જરૂરી છે.
- કોઈ પણ માંસને સારી રીતે રાંધ્યા વિના ખાવું નહીં.
- ફળો-શાકભાજીને રાંધતાં પહેલાં સારી રીતે ધોવાં.
- ભોજન આરોગતાં પહેલાં હાથ જરૂર ધોવા. શૌચ પછી હાથ અને હાથના નખની સફાઈ ચોકસાઈપૂર્વક કરવી.
- હંમેશા સાફ પાણી જ પીવું.
- પશુઓના સીધા સંપર્કમાં આવવાથી બચવું અથવા એ વખતે સાવધ રહેવું.
ડૉ. નરેશ બંસલ માને છે કે ટેપવર્મ જીવલેણ નથી એવું માનીને તેના પ્રત્યે બેદરકારી રાખવી નહીં.
એ શરીરના કોઈ પણ અંગમાં જઈ શકે છે અને એ કારણે શરીરનો સંબંધિત હિસ્સો લકવાનો ભોગ બની શકે છે.
તમે અમને ફેસબુક, ઇન્સ્ટાગ્રામ, યુટ્યૂબ અને ટ્વિટર પર ફોલો કરી શકો છો





















