தும்மலை அடக்கினால் என்ன ஆபத்து? மருத்துவர்கள் எச்சரிப்பது ஏன்?

பட மூலாதாரம், MAYANK MAKHIJA/NURPHOTO VIA GETTY IMAGES
பிரிட்டனில் ஒருவர் தும்மல் ஏற்பட்டபோது அதனை அடக்கியதால், அவருடைய தொண்டையில் உள்காயங்கள் ஏற்பட்டுள்ளது. தும்மலை அடக்குவது இத்தகைய விளைவுகளை ஏற்படுத்தும் என மருத்துவர்கள் எச்சரித்துள்ளனர்.
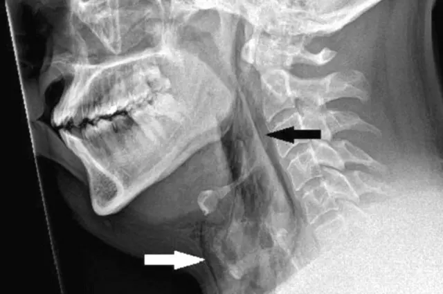
பிரிட்டனில் உள்ள டண்டீ நகரில் 30 வயதுடைய நபர் ஒருவர் கடுமையான கழுத்து வலியால் அவதிப்பட்டு நைன்வெல்ஸ் மருத்துவமனையில் அனுமதிக்கப்பட்டார். அவர் தனக்கு தும்மல் ஏற்பட்டபோது அதனை அடக்குவதற்காக, மூக்கையும் வாயையும் தன் கைகளால் மூடியுள்ளார்.
அவ்வாறு தும்மலை அடக்கியதால் அவரது மூச்சுக்குழாயில் 2 மி.மீ. வரை காயம் ஏற்பட்டிருப்பது ஸ்கேன் மூலம் தெரியவந்தது.
ஒருவர் தும்மும்போது வாய் மற்றும் மூக்கை மூடினால் மூச்சுக்குழாயின் மேல் பகுதியில் அழுத்தம் 20 மடங்கு அதிகரிக்கும் என, டண்டீ பல்கலைக்கழக மருத்துவர்கள் கூறுகின்றனர்.
ரத்தக்குழாயில் வீக்கம்
இதன் காரணமாக ஒரு நபரின் செவிப்பறை கிழியும் அபாயம் உள்ளதாக மருத்துவர்கள் கூறுகின்றனர். மேலும், ரத்தக்குழாயில் எதிர்பாராத வீக்கமும் ஏற்படலாம். இது, அனீரிசம் (aneurysm) என்று அழைக்கப்படுகிறது. மார்பு எலும்புகள் உடையலாம் அல்லது வேறு சில கடுமையான காயங்கள் ஏற்படலாம் என்றும் மருத்துவர்கள் எச்சரிக்கின்றனர்.
இதனால் பாதிக்கப்பட்ட நபரை பரிசோதிக்கையில், அவருடைய தொண்டையிலிருந்து ‘கரகர’வென சத்தம் வருவதையும் அதனை அந்நபரால் கட்டுப்படுத்த முடியவில்லை என்றும் மருத்துவர்கள் கூறுகின்றனர்.
தும்மல் வந்த நேரத்தில், அந்நபர் சீட் பெல்ட் அணிந்தபடி காரை ஓட்டிக் கொண்டிருந்திருக்கிறார். மருத்துவர்களின் கூற்றுப்படி, அந்நபர் ஏற்கனவே ஒவ்வாமை மற்றும் தொண்டை புண் ஆகியவற்றால் பாதிக்கப்பட்டிருந்தார்.

பட மூலாதாரம், BMJ
'தும்மல் உடலைக் காக்கும்'
அந்நபருக்கு அறுவை சிகிச்சை எதுவும் தேவைப்படவில்லை எனவும் மருத்துவமனையில் சிறிது நேரம் அவர் கண்காணிப்பில் வைக்கப்பட்டிருந்ததாகவும் மருத்துவர்கள் தெரிவித்துள்ளனர்.
அவருக்கு சில வலி நிவாரணிகள் கொடுக்கப்பட்டு, மருத்துவமனையில் இருந்து டிஸ்சார்ஜ் செய்யப்பட்டார்.
அவர் போதிய ஓய்வு எடுக்க வேண்டும் என்றும், இரண்டு வாரங்களுக்கு அதிக வேலைகளை செய்ய வேண்டாம் என்றும் மருத்துவர்கள் அறிவுறுத்தியிருந்தனர்.
ஐந்து வாரங்களுக்குப் பிறகு, மற்றொரு ஸ்கேன் பரிசோதனையில் அவரது கழுத்தில் இருந்த காயம் முற்றிலும் குணமானது தெரியவந்தபோது மருத்துவர்கள் நிம்மதிப் பெருமூச்சு விட்டனர்.
இதுதொடர்பாக பி.எம்.ஜே. எனப்படும் மருத்துவ ஆய்விதழில் அறிக்கை வெளியானது. அதன் ஆசிரியர் டாக்டர். ராஸ்டெஸ் மிசிரோவ்ஸ் பிபிசியிடம் கூறுகையில், “தும்மல் மனித உடலின் ஒரு 'பாதுகாப்பு செயல்முறை' என்று கூறினார். அதாவது, தும்மல் இயற்கையான பாதுகாப்பு செயல்முறை.

பட மூலாதாரம், GETTY IMAGES
தும்மல் நல்லது - ஏன்?
இதன் மூலம் எரிச்சலூட்டும் எதுவும் மூக்கு வழியாக உடலுக்குள் நுழைவதை தும்மல் தடுக்கிறது எனவும் இதனால், தும்முவதை ஒருபோதும் நிறுத்தக்கூடாது என்றும் அவர் விளக்குகிறார்.
"தும்மலின் போது, எச்சில் மற்றும் சளியுடன் சேர்ந்து வைரஸ்கள் போன்ற எரிச்சலூட்டும் தொற்றுகள் மூக்கிலிருந்து வெளியேறும். இந்த வைரஸ்கள் நம்மைச் சுற்றியுள்ளவர்களுக்கு பரவுவதைத் தடுக்க நம் கைகளால் அல்லது முழங்கையின் உள் பகுதியைக் கொண்டு மூக்கை மூட வேண்டும்” என்கிறார் அவர்.
சில சமயங்களில் மூக்கையோ அல்லது வாயையோ மூடிக்கொண்டு தங்கள் தும்மலைத் தடுக்க மாட்டார்கள் என்றும் வேறு வழிகளில் தும்முவதை தடுப்பார்கள் என்றும் அவர் கூறுகிறார்.
"நான் தும்முவதை நிறுத்த மூக்கை மூடுவதில்லை. நான் வேறு முறையைப் கையாளுகிறேன். நான் என் கட்டை விரலை என் மூக்கின் கீழ் மேல் உதட்டில் வைத்து அந்த இடத்தை சில நொடிகள் அழுத்துகிறேன். இந்த முறை எனக்கு வேலை செய்கிறது." என்கிறார் அவர்.
தும்மலை நிறுத்துவது திடீரென மூச்சுக்குழாயில் கடுமையான காயத்தை ஏற்படுத்தும், இது மருத்துவ ரீதியாக "தன்னிச்சையான மூச்சுக்குழாய் துளையிடல்" ( "spontaneous tracheal perforation" ) என கூறப்படுகிறது. இதுபோன்ற சம்பவங்கள் அரிதாகவே காணப்படுகின்றன என்று மருத்துவர்கள் கூறினாலும், சில சமயங்களில் அது ஆபத்தானது.

பட மூலாதாரம், GETTY IMAGES
தொண்டையில் காயம்
இத்தகைய சம்பவம் 2018 ஆம் ஆண்டில் பிரிட்டனில் நடந்தது. லெய்செஸ்டரில் ஒரு நபர் தும்முவதை அடக்கியதால் அவரது தொண்டையில் காயம் ஏற்பட்டது.
தும்மலை அடக்கியதால், திடீரென தொண்டையில் கடுமையான வலி ஏற்பட்டதாகவும், பேசுவதற்கும் உணவுப்பொருட்களை விழுங்குவதற்கும் சிரமம் ஏற்பட்டதாக அவர் தெரிவித்துள்ளார்.
இதனால், ஏழு நாட்களுக்குக் குழாய் மூலம் அவருக்கு மருத்துவர்கள் உணவளித்தனர்.
தும்மல் வருவது ஏன்?
கிருமிகள், வைரஸ்கள் அல்லது மகரந்தத் துகள்களால் மட்டும் தும்மல் ஏற்படுவதில்லை என்று மருத்துவர்கள் கூறுகிறார்கள். சில நேரங்களில் சூரியனின் வலுவான கதிர்கள் கூட தும்மலை ஏற்படுத்தலாம்.
1,000-க்கும் மேற்பட்டவர்களிடம் நடத்தப்பட்ட ஆராய்ச்சியில், வலுவான கதிர்கள் அல்லது வலுவான சூரிய ஒளி காரணமாக அவர்கள் தும்முகிறார்கள் என்று ஜெர்மன் ஆராய்ச்சியாளர்கள் தெரிவித்தனர்.
சில நிபுணர்கள் இதற்குக் காரணம் மரபாகவும் இருக்கலாம் என்று நம்புகிறார்கள். சிலர் அதிகமாக உணவு உண்ட பிறகு தும்மல் வருவதாகச் சொல்கிறார்கள்.
ஒரு நபரின் தும்மல் எட்டு மீட்டர் அதாவது 26 அடி வரை எட்டும்.
மாசசூசெட்ஸ் இன்ஸ்டிட்யூட் ஆஃப் டெக்னாலஜியில் லிடியா போரோய்பா நடத்திய ஆய்வில், தும்மும்போது மூக்கிலிருந்து வெளியேறும் துகள்கள் பல நிமிடங்களுக்கு காற்றில் மிதக்கும் என்று தெரியவந்துள்ளது.
(சமூக ஊடகங்களில் பிபிசி தமிழ் ஃபேஸ்புக், இன்ஸ்டாகிராம், எக்ஸ் (டிவிட்டர்) மற்றும் யூட்யூப் பக்கங்கள் மூலம் எங்களுடன் இணைந்திருங்கள்.)
































