मायोसायटिस: समांथाला झालेला दुर्मिळ आजार काय आहे, त्याची लक्षणं काय असतात?

कधीकधी मला वाटायचं की आता मी एक पाऊलही पुढे जाऊ शकत नाही. कधीकधी आपण इथपर्यंत पोहोचलोय याचं मागे वळून पाहताना आश्चर्यही वाटायचं, असं तेलुगू अभिनेत्री समांथाने म्हटलं आहे.
आपल्या आगामी 'यशोदा' चित्रपटाच्या निमित्ताने समांथाने सुमा कनकला यांना मुलाखत दिली.
यावेळी समांथाने तिच्या आजारपणाबद्दलही मोकळेपणाने सांगितलं. आयुष्यातल्या कठीण टप्प्याबद्दल बोलताना तिचे डोळे भरून आले.
तिने म्हटलं, "काही दिवस चांगले असतात. काही वाईट असतात. कधीकधी हे सगळं हाताबाहेर चाललंय असं वाटतं. पण आता मागे फिरून पाहिल्यास, मी इथपर्यंत पोहोतले असंही वाटतं. मला लढावं लागेल आणि मी लढणार."
"तुमची ही लढाई आम्ही पाहत आहोत. ती खूप अवघड आहे. यामुळे आम्हाला तुमचं कौतुक वाटतं, असं मुलाखतकाराने म्हटलं.
त्यावर समांथाने म्हटलं की, मला माहिती आहे. पण अशी लढाई लढणारी मी एकटीच नाही. बरेच लोक अशा अनेक लढाया त्यांच्या आयुष्यात लढत आहेत. एवढंच मी म्हणेन."
आपल्या आजारपणाबद्दल ज्या बातम्या छापून आल्या, त्यावरही या मुलाखतीत समांथा बोलली.

फोटो स्रोत, Social media
"माझ्या आजारपणाबाबत मी अनेक बातम्या पाहिल्या. माझा आजार जीवघेणा आहे, वगैरे त्यामध्ये सांगितलं जात होतं. माझ्या जीवाला काहीच धोका नाही. मी काही मरणार नाही. मी त्या बातम्यांनाही जास्त महत्त्व देत नाही," असं समंथा म्हणाली.

अभिनेत्री समांथाने सोशल मीडिया प्लॅटफॉर्मवरून आपल्या आजारपणाबद्दल माहिती दिली.
काही महिन्यांपूर्वीच आपल्याला मायोसायटिस नावाच्या दुर्मिळ आजाराचं निदान झाल्याचं तिनं म्हटलं आहे.
"मला यातून पूर्णपणे बरं झाल्यानंतर तुम्हा सगळ्यांशी हे शेअर करायचं होतं. पण यातून पूर्ण बाहेर पडायला अपेक्षेपेक्षा जास्त वेळ लागतो आहे," असं म्हणत अभिनेत्री समांथाने झालेल्या आजाराबद्दल माहिती दिली.
समांथाने इन्स्टाग्राम आणि ट्विटरवर एक पोस्ट शेअर करत याविषयी माहिती दिली आहे.

फोटो स्रोत, @SAMANTHAPRABHU2
या फोटोत समांथाने पलंगावर बसलेला स्वतःचा एक फोटो पोस्ट केलाय, ज्यात तिच्या मनगटावर IV ड्रिप जोडलेली दिसतेय. तिच्यासमोर एक माइक दिसतोय. यात तिचा चेहरा दिसला नसला तरी तिने तिच्या हातांनी हृदयाचे प्रतीक बनवले आहे.
समांथाने आपल्या पोस्टमध्ये काय म्हटलं?
यशोधाच्या ट्रेलरला तुम्ही दिलेला प्रतिसाद भारावून टाकणारा होता. तुम्ही जे भरभरून प्रेम करता आणि तुमचा सगळ्यांचा भक्कम पाठिंबा यामुळेच आयुष्यासमोर उभे ठाकणाऱ्या परिस्थितीला मी सामोरी जाऊ शकते.
काही महिन्यांपूर्वी मला मायोसायटिस नावाचा आजार झाल्याचं स्पष्ट झालं. मला यातून पूर्णपणे बरं झाल्यानंतर तुम्हा सगळ्यांशी हे शेअर करायचं होतं पण यातून पूर्ण बाहेर पडायला अपेक्षेपेक्षा जास्त वेळ लागतो आहे.
या लेखात सोशल मीडियावरील वेबसाईट्सवरचा मजकुराचा समावेश आहे. कुठलाही मजकूर अपलोड करण्यापूर्वी आम्ही तुमची परवानगी विचारतो. कारण संबंधित वेबसाईट कुकीज तसंच अन्य तंत्रज्ञान वापरतं. तुम्ही स्वीकारण्यापूर्वी सोशल मीडिया वेबसाईट्सची कुकीज तसंच गोपनीयतेसंदर्भातील धोरण वाचू शकता. हा मजकूर पाहण्यासाठी 'स्वीकारा आणि पुढे सुरू ठेवा'.
X पोस्ट समाप्त
आपण नेहमीच कणखर असण्याची आवश्यकता नसल्याचं यानिमित्ताने माझ्या लक्षात आलं आहे. एखाद्या प्रश्नासमोर, समस्येने हतबल होणं अगदी स्वाभाविक आहे हेही मला कळून चुकलं आहे. यात वावगं काहीच नाही. या आजारातून मी पूर्णपणे बरी होईन असं डॉक्टरांनी सांगितलं आहे. शारीरिकदृष्ट्या काही दिवस बरं वाटतं, मानसिकदृष्ट्या कधी उदास वाटतं.
कधीकधी हे सगळं हाताबाहेर चाललंय, आता सोसवत नाही असं वाटतं तेव्हाच ते वाटणं हलकेच निघून जातं. कदाचित बरं होण्याच्या दृष्टीने टाकलेले ते एक पाऊल असेल.
माझं तुम्हा सगळ्यांवर अतिशय प्रेम आहे.
हेही दिवस जातील...
मायोसायटिस काय आहे?
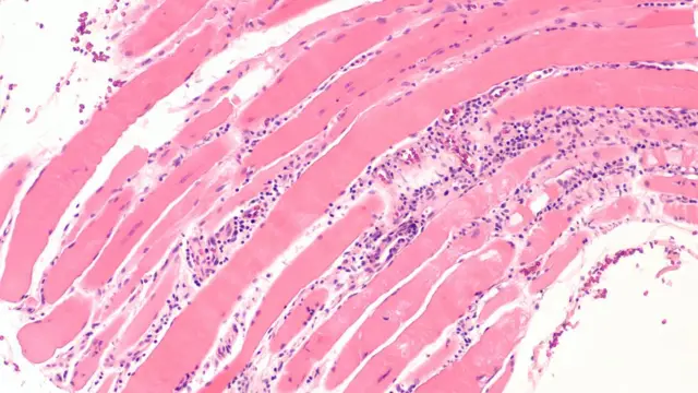
मायोसायटिस हा एक दुर्मिळ आजार आहे. यामध्ये स्नायूंना सूज येते. स्नायू दुखावल्यामुळे प्रचंड थकवाही येतो.
मायोसायटिसचे प्रकार आहेत. यातल्या काही प्रकारांमध्ये त्वचेवर रॅशही येते.

या आजाराचं निदान करणं हे कठीण आहे. याची लक्षणं कधीकधी चटकन दिसतात, तर कधीकधी ही लक्षणं दिसायला खूप वेळ लागतो. या आजाराचं निदान करणंही अवघड असतं.
स्नायूंमध्ये प्रचंड वेदना, गिळायला होणारा त्रास, श्वास घ्यायला होणारा त्रास अशी या आजाराची काही ढोबळं लक्षणं आहेत.

फोटो स्रोत, Getty Images
प्रचंड थकव्यामुळे माणूस चालताना पडू शकतो, चालल्यानतंर दमल्यासारखं वाटू शकतं. उभं राहणं देखील त्रासदायक होऊ शकतं.
प्रतिकारशक्ती सक्षम नसेल तर हा आजार होतो असं तज्ज्ञांचं निरीक्षण आहे.
निरोगी पेशींवर हा विषाणू आक्रमण करतो.

हेल्थ लाइन या वेबसाइटवरील माहितीनुसार अमेरिकेत 50 ते 75 हजार लोकांना मायोसायटिसचा त्रास आहे. दरवर्षी मायोसायटिसचे 1,600-3,200 नवीन रुग्ण आढळून येतात.

हा आजार केवळ मोठ्या माणसांनाच नाही, तर लहान मुलांनाही होतो. पुरुषांच्या तुलनेत महिलांना हा आजार अधिक होतो.
मायोसायटिसचे प्रकार
या आजाराचे पाच प्रकार आहेत.
1. डर्माटोमायोसायटिस
2. इन्क्लुजन बॉडी मायोसायटिस (Inclusion-body myositis)
3. जुव्हेनाइल मायोसायटिस (Juvenile myositis)
4. पॉलिमायोसायटिस
5. टॉक्सिक मायोसायटिस
डर्माटोमायोसायटिस झालेल्या व्यक्तीच्या स्नायूंमध्ये वेदना होतात. त्वचेवर पुरळ येतात. ते चटकन ओळखता येतात. जांभळट-लाल रंगाचे पुरळ शरीरावर येतात.

फोटो स्रोत, Getty Images
चेहरा, छाती, गळा, पाठ आणि पापण्यांच्या वर पुरळ येतात.
कोरडी त्वचा, एकदा बसल्यानंतर उठताना त्रास होणं, मान-पाठ-खांद्याच्या स्नायूंमध्ये कमकुवतपणा जाणवणं, थकवा, सांध्यांमध्ये सूज, गिळताना होणारा त्रास, वजन कमी होणं, हृदयाच्या ठोक्यात अनियमितता अशी लक्षणं डर्माटोमायोसायटिसमध्ये दिसून येतात.
इन्क्लुजन बॉडी मायोसायटिस (Inclusion-body myositis)
हा महिलांच्या तुलनेत पुरुषांना अधिक होतो. 50 वर्षांपेक्षा अधिक वयाच्या पुरुषांना हा आजार होतो.

याची सुरुवात मनगट, बोटं आणि मांड्यांचे स्नायू कमकुवत होण्यापासून होते. शरीराच्या एकाच बाजूवर याचा जास्त परिणाम दिसून येतो. मायोसिटिसचा हा प्रकार आनुवंशिक असल्याचंही मानलं जातं.

फोटो स्रोत, Getty Images
लक्षणं- चालायला त्रास होणं, तोल जाणं, पडणे, उठता-बसताना होणारा त्रास, स्नायूंमध्ये वेदना
जुव्हेनाइल मायोसायटिस (Juvenile myositis)
याच्या नावावरून लक्षात येतं की, हा आजार 18 वर्षांपेक्षा कमी वयाच्या व्यक्तींना अधिक होतो. मुलांच्या तुलनेत मुलींना हा आजार होण्याचं प्रमाण दुपटीनं अधिक आहे.
स्नायूंमधला कमकुवतपणा आणि त्वचेवर येणारे पुरळ ही याची प्रमुख लक्षणं. त्याबरोबरच थकवा, डोळ्यांत जांभळट रंगाचे ठिपके, मूड स्विंग, पोटदुखी, जिने चढताना त्रास होणं, हालचालींवर मर्यादा अशीही लक्षणं यामध्ये दिसून येतात.
पॉलिमायोसायटिस
मायोसायटिसच्या या प्रकाराचा त्रास होणाऱ्या व्यक्तींना अगदी छोट्या-छोट्या कामांचाही कंटाळा येतो. स्नायूंमध्ये प्रचंड वेदना होता. या व्यक्तींची प्रतिकारशक्ती कमी झाल्यामुळे होणारे इतर आजारही होतात.

स्नायूंमधील वेदनेसोबतच दीर्घकाळ राहणारा कोरडा खोकला, हातावरील त्वचा ताणली जाणं, श्वास घ्यायला त्रास होणं, ताप, वजन कमी होणं अशी लक्षणं दिसतात.
टॉक्सिक मायोसायटिस
हा आजार काही विशिष्ट प्रकारच्या औषधांमुळे होतो, यामध्ये बेकायदेशीरपणे विकल्या जाणाऱ्या औषधांचाही समावेश आहे.
कोलेस्टेरॉल कमी करण्यासाठी घेतली जाणारी औषधं हे टॉक्सिक मायोसिटिसचं प्रमुख कारण आहे.
अर्थात, हा मायोसिटिसचा अत्यंत दुर्मिळ प्रकार आहे.
त्याची लक्षणं ही मायोसायटिसच्या इतर प्रकारांप्रमाणेच आहेत.
कारणं
मायोसायटिस का होतो, याच्या नेमक्या कारणांबद्दल तज्ज्ञांमध्ये मतभेद आहेत. पण ट्रॉमा किंवा संसर्गामुळे हा आजार होऊ शकतो.
प्रतिकारशक्ती सक्षम नसेल तर हा आजार होतो असं तज्ज्ञांचं निरीक्षण आहे. निरोगी पेशींवर हा विषाणू आक्रमण करतो.
ऱ्हुमॅटोईड आर्थारायटिस, सर्दी-फ्लूचे विषाणू, एचआयव्ही, औषधांचे साइड इफेक्ट्स यांसारखी अनेक कारणं या आजाराला कारणीभूत ठरू शकतात.
निदान कसं करायचं?
हा अतिशय दुर्मिळ आजार असल्याने त्याचं निदान करणं कठीण असतात.

फोटो स्रोत, SAMANTHARUTHPRABHUOFFL/INSTA
दुखावलेल्या स्नायूंसाठी रक्ताची तपासणी, शरीरात किती प्रमाणात आलेली सूज याची चाचणी तसंच शरीरात किती अँटीबॉडीज आहेत याची चाचणी करून मायोसायटिसचं निदान करता येऊ शकतं. त्यासाठी इलेक्ट्रोमायोग्राफी, मसल बायोप्सी, जेनेटिक टेस्टिंग अशा चाचण्या उपलब्ध आहेत.
यावर कोणते उपचार आहेत?
हेल्थलाइन वेबसाइटनुसार प्रत्येक व्यक्तीच्या लक्षणानुसार उपचार पद्धतीत बदल होतो.
अनेकदा आजाराच्या पहिल्याच टप्प्यावर तो नियंत्रणात आणण्यासाठी गोळ्या किंवा इंजेक्शनच्या माध्यमातून स्टेरॉईड्सचे हाय डोस दिले जातात.
त्याचबरोबर शरीरात अतिरिक्त वाढलेली प्रतिकारशक्ती कमी करण्यासाठी इम्युनो सप्रेसन्ट्स (immuno suppressants) वापरले जातात.
मात्र, स्टेरॉईड्सच्या अधिक मात्रेचे शरीरावर दुष्परिणाम होऊ शकतात. त्यामुळे जोडीला काही सप्लिमेंट्सही दिले जातात.
या जोडीला व्यायाम, स्ट्रेचिंग, योगामुळेही स्नायूंना बळकटी मिळू शकते, ते अधिक सक्रीय राहू शकतात.
हे वाचलंत का?
या लेखात सोशल मीडियावरील वेबसाईट्सवरचा मजकुराचा समावेश आहे. कुठलाही मजकूर अपलोड करण्यापूर्वी आम्ही तुमची परवानगी विचारतो. कारण संबंधित वेबसाईट कुकीज तसंच अन्य तंत्रज्ञान वापरतं. तुम्ही स्वीकारण्यापूर्वी सोशल मीडिया वेबसाईट्सची कुकीज तसंच गोपनीयतेसंदर्भातील धोरण वाचू शकता. हा मजकूर पाहण्यासाठी 'स्वीकारा आणि पुढे सुरू ठेवा'.
YouTube पोस्ट समाप्त
(बीबीसी न्यूज मराठीचे सर्व अपडेट्स मिळवण्यासाठी आम्हाला YouTube, Facebook, Instagram आणि Twitter वर नक्की फॉलो करा.
बीबीसी न्यूज मराठीच्या सगळ्या बातम्या तुम्ही Jio TV app वर पाहू शकता.
'सोपी गोष्ट' आणि '3 गोष्टी' हे मराठीतले बातम्यांचे पहिले पॉडकास्ट्स तुम्ही Gaana, Spotify, JioSaavn आणि Apple Podcasts इथे ऐकू शकता.)








