छींक रोकना हो सकता है ख़तरनाक़: ब्रिटिश नागरिक के साथ हुए हादसे के बाद डॉक्टरों की चेतावनी

इमेज स्रोत, Mayank Makhija/NurPhoto via Getty Images
अपनी छींक रोकने की कोशिश में एक व्यक्ति के गले के अंदरुनी जख्म बन गए जिसके बाद डॉक्टरों ने छींक रोकने को लेकर चेतावनी दी है.
ब्रिटेन के डंडी में 30 साल के एक व्यक्ति को गले में भीषण दर्द के बाद नाइनवेल्स अस्पताल में भर्ती कराया गया है. उन्होंने छींक रोकने के लिए अपनी नाक और मुंह बंद कर लिया था.
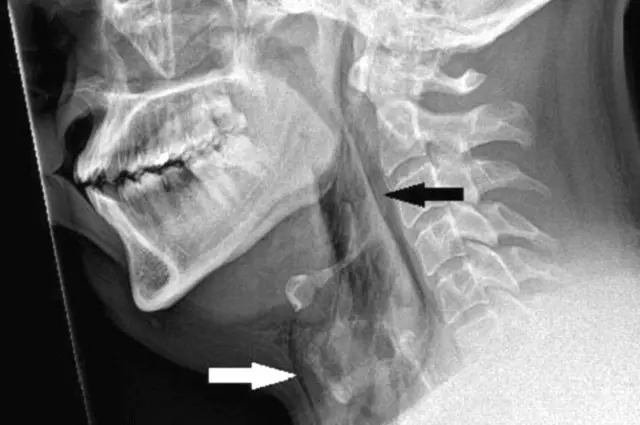
स्कैन में पता चला कि छींक रोकने के कारण उनकी श्वासनली में 2 मिलीमीटर तक का जख्म बन गया.
डंडी यूनिवर्सिटी के डॉक्टरों का कहना है कि छींक आते वक्त अगर व्यक्ति अपने मुंह और नाक को बंद कर दे तो इस कारण श्वासनली में ऊपर के हिस्से का दवाब 20 गुना तक बढ़ सकता है.
उनका कहना है कि इस कारण व्यक्ति के कान के परदे फट सकते हैं. ख़ून की नली में अप्रत्याशित तरीके से उभार आ सकता है जिसे एनियूरिस्म कहते हैं. सीने की हड्डियां टूट सकती हैं या कोई और गंभीर चोट आ सकती है.
इस मामले को मेडिकल विज्ञान से जुड़े बीएमजे जर्नल्स में बतौर एक केस दर्ज किया गया है.
डॉक्टरों का कहना है कि जब उन्होंने व्यक्ति की जांच की तब पाया कि उनके गले को छूने पर उससे कुछ चटखने जैसी आवाज़ें आ रही थीं और इस पर व्यक्ति का नियंत्रण नहीं था.
जिस वक्त छींक आई उस वक्त ये व्यक्ति (जिनका नाम ज़ाहिर नहीं किया गया है) कार चला रहे थे और उन्होंने सीटबेल्ट लगा रखी थी. डॉक्टरों के अनुसार व्यक्ति को पहले से ही एलर्जी और गले में खराश की समस्या थी.

'छींक करती है शरीर की सुरक्षा'
डॉक्टरों का कहना है कि व्यक्ति को सर्जरी की ज़रूरत नहीं पड़ी और उन्हें कुछ देर तक अस्पताल में निगरानी में रखा गया.
उन्हें कुछ दर्दनिवारक दवा देने के बाद उन्हें अस्पताल से डिस्चार्ज कर दिया गया है.
डॉक्टरों ने उन्हें सलाह दी है कि पर्याप्त आराम करें और वो दो सप्ताह तक किसी तरह का भारी काम न करें
पांच सप्ताह बाद डॉक्टरों ने उस वक्त राहत की सांस ली जब एक और स्कैन में देखा गया कि उनके गले का जख्म पूरी तरह ठीक हो गया है.

इमेज स्रोत, BMJ
बीएमजे में छपी रिपोर्ट के मुख्य लेखक डॉक्टर रासेड्स मिसिरोव्स ने बीबीसी को बताया कि छींक इंसानी शरीर का 'डिफेन्स मेकनिज़्म' यानी एक प्राकृतिक सुरक्षा प्रक्रिया है.
वो समझाते हैं कि इसके ज़रिए शरीर में आए इरिटेन्ट्स (परेशान करने वाले तत्व) को शरीर नाक से रास्ते बाहर निकालता है, इसलिए छींक को कभी रोका नहीं जाना चाहिए.
वो कहते हैं, "छींक के दौरान वायरस जैसे इरिटेन्ट्स भी थूक और म्यूकस के साथ नाक से बाहर निकल जाते हैं. ये हमारे आसपास के लोगों तक न पहुंचे इसके लिए हमें अपने हाथों या फिर कोहनी के भीतर के हिस्से से अपने नाक को ढक लेना चाहिए."

इमेज स्रोत, Getty Images
डॉक्टर रासेड्स मिसिरोव्स ने कहा कि कभी-कभी लोग अपनी छींक रोकने के लिए न तो अपनी नाक बंद करते हैं और न ही मुंह और दूसरे तरीके से छींक रोकते हैं.
वो कहते हैं, "निजी तौर पर मैं छींक रोकने के लिए मैं अपनी नाक बंद नहीं करता. मैं एक दूसरे तरीके का इस्तेमाल करता हूं. मैं अपना अंगूठा अपने नाक के नीचे ऊपरी होंठ पर रख कर कुछ सेकंड के लिए उस जगह को दबाता हूं. मेरे लिए ये तरीका काम करता है."
"इससे होता ये है कि नाक खुली छोड़ने के कारण अगर दम घुटने जैसी स्थिति बने तो छींक नाक के रास्ते निकल सके."
छींक रोकने के कारण अचानक श्वासनली में गंभीर चोट आ सकती है जिसे मेडिकल शब्दों में "स्पॉन्टेनियस ट्रेकियल परफोरेशन" कहा जाता है. हालांकि डॉक्टरों का कहना है कि इस तरह के मामले कम ही देखने में आते हैं लेकिन कभी कभी ये जानलेवा भी हो सकता है.
इस तरह का एक मामला ब्रिटेन में साल 2018 में सामने आया था जब लीसेस्टर में एक व्यक्ति के गले में छींक रोकने के कारण चोट आई थी.
इनका कहना था कि छींक रोकने के बाद उन्हें अचानक गले में बहुत तेज़ दर्द हुआ और उन्हें बात करने और निगलने में परेशानी होने लगी.
डॉक्टरों ने सात दिनों तक पाइप के ज़रिए उनके शरीर में खाना पहुंचाया ताकि उनके गले को ठीक होने के लिए ज़रूरी समय मिल सके.
इस लेख में Google YouTube से मिली सामग्री शामिल है. कुछ भी लोड होने से पहले हम आपकी इजाज़त मांगते हैं क्योंकि उनमें कुकीज़ और दूसरी तकनीकों का इस्तेमाल किया गया हो सकता है. आप स्वीकार करने से पहले Google YouTube cookie policy और को पढ़ना चाहेंगे. इस सामग्री को देखने के लिए 'अनुमति देंऔर जारी रखें' को चुनें.
पोस्ट YouTube समाप्त
छींक क्यों आती है?
शोध करने वाले डॉक्टरों का कहना है कि छींक केवल किटाणु, विषाणु या फिर पराग कणों के कारण नहीं आती. कभी-कभी सूरज की तेज़ किरणें और तेज़ धूप से भी व्यक्ति को छींक शुरू हो सकती है.
1000 से अधिक लोगों में किए गए शोध के बाद जर्मन शोधकर्ताओं ने कहा कि उन्हें तेज़ किरणों या फिर तेज़ धूप के कारण छींक आती है.
कुछ जानकार मानते हैं कि इसका कारण आनुवंशिक भी हो सकता है. कुछ लोग कहते हैं कि अधिक खाना खाने के बाद उन्हें छींक आती है.
व्यक्ति की छींक आठ मीटर यानी 26 फ़ीट तक पहुंच सकती है.
मैसेचुसेट्स इंस्टीट्यूट ऑफ़ टेक्नोलॉजी में लिडिया बोरोइबा के किए शोध से पता चला है कि छींक के वक्त नाक से जो कण निकलते हैं वो कई मिनट कर हवा में तैर सकते हैं.
(बीबीसी हिन्दी के एंड्रॉएड ऐप के लिए आप यहां क्लिक कर सकते हैं. आप हमें फ़ेसबुक, ट्विटर, इंस्टाग्राम और यूट्यूब पर फ़ॉलो भी कर सकते हैं.)















