क्या छींक रोकने से जान जा सकती है?

इमेज स्रोत, Getty Images
क्या आपने कभी सोचा है छींक रोकने की कोशिश आपके लिए जानलेवा साबित हो सकती है.
डॉक्टरों ने चेतावनी दी है कि जब आपको छींक आए और आप इसे रोकने के लिए अगर नाक और मुंह बंद कर लेते हैं तो इससे गंभीर चोट आ सकती है.
इंग्लैंड के लेस्टर शहर में 34 वर्षीय एक व्यक्ति के इलाज के दौरान ये पता चला कि छींक रोकने की कोशिश के कारण उसके गले की कोशिकाएं फट गई थीं.
साइंस जर्नल बीएमजे केस रिपोर्ट में डॉक्टरों ने बताया है कि जब छींक रोकने की कोशिश करते हैं तो इससे आपके कान को नुक़सान पहुंच सकता है, यहां तक कि दिमाग की नसें फट भी सकती हैं.
34 वर्षीय पीड़ित ने बताया कि जब उसके साथ ऐसा हुआ तो उसे लगा कि जैसे उसके गर्दन में कुछ फट गया है.
इसके तुरंत बाद उनके गर्दन में तेज दर्द महसूस हुआ, कुछ निगलने में परेशानी आने लगी और यहां तक बोलना में भी मुश्किल हो रही थी. जब डॉक्टरों ने उन्हें चेक किया तो पता चला कि गले के आसपास गर्दन पर सूजन थी.

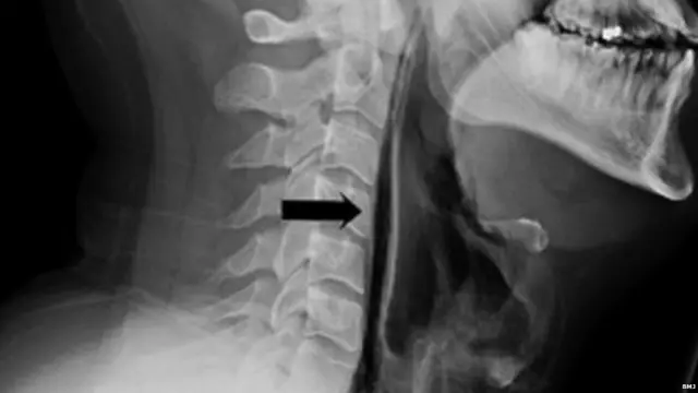
इमेज स्रोत, BMJ
क्षति से बचने के लिए...
एक्स-रे में पता चला कि छींक रोकने की कोशिश के चक्कर में दबाव से श्वासनली की कोशिकाएं फट गई हैं.
गले के सही होने तक उस व्यक्ति को एक हफ़्ते तक एक ट्यूब की मदद से खाना खाना पड़ा. अस्पताल में एक हफ़्ता बिताने के बाद और पूरी तरह ठीक होने के बाद उस व्यक्ति को घर भेज दिया गया.
लेस्टर रॉयल इन्फर्मरी (जहां व्यक्ति का इलाज किया गया था) के ईएनटी (कान, नाक और गला) डिपार्टमेंट के डॉक्टर ने बताया, "नाक और मुंह बंद करके छींकना ख़तरनाक़ हो सकता है और इससे बचना चाहिए."
विशेषज्ञों ने बताया कि छींकने से बीमारियां फैलती है लेकिन किसी तरह की क्षति से बचने के लिए इन्हें बाहर निकाल देना ही अच्छा है.
जब चारों तरफ फ़्लू फैला हुआ था तब पब्लिक हेल्थ इंग्लैंड की तरफ से लोगों को प्रोत्साहित किया गया था कि खांसते या छींकते समय बच्चों और बड़े सबको रूमाल या कपड़े से मुंह ढंकना चाहिए.
इसके बाद इस्तेमाल किए गए रुमाल को कूड़ेदान में फेंक दें. और अपने हाथों को धो लें ताकि कीटाणु न फैले.
(बीबीसी हिन्दी के एंड्रॉएड ऐप के लिए आप यहां क्लिक कर सकते हैं. आप हमें फ़ेसबुक और ट्विटर पर फ़ॉलो भी कर सकते हैं.)












