છીંક રોકવાથી માણસનો જીવ જઈ શકે?

ઇમેજ સ્રોત, Getty Images
શું તમે ક્યારેય વિચાર્યું છે કે છીંક રોકવાનો પ્રયાસ તમારા માટે જીવલેણ સાબિત થઈ શકે છે?
ડૉક્ટરોએ ચેતવણી આપી છે કે જ્યારે તમને છીંક આવે છે અને તમે તેને રોકવાનો પ્રયાસ કરવા માટે નાક તેમજ મોઢું બંધ કરી લો છો તો તેનાથી ગંભીર ઇજા પહોંચી શકે છે.
ઇંગ્લૅન્ડના લેસ્ટર શહેરમાં 34 વર્ષીય એક વ્યક્તિના ઇલાજ દરમિયાન જાણવા મળ્યું કે છીંક રોકવાના પ્રયાસના કારણે તેમના ગળાની કોશિકાઓ ફાટી ગઈ હતી.
સાઇન્સ જર્નલ બીએમજે કેસ રિપોર્ટમાં ડૉક્ટરોએ જણાવ્યું છે કે જ્યારે છીંક રોકવાનો પ્રયાસ કરવામાં આવે છે તો તેનાથી તમારા કાનને નુકસાન પહોંચી શકે છે. તેનાથી તમારા મગજની નસો પણ ફાટી શકે છે.
આ તકલીફથી પીડિત એવી 34 વર્ષીય વ્યક્તિએ જણાવ્યું કે જ્યારે તેમની સાથે એવું થયું તો તેમને લાગ્યું કે જાણે તેમના ગળામાં કંઈક ફાટી ગયું છે.
ત્યારબાદ તુરંત તેમને ગરદનમાં દુખાવાનો અનુભવ થયો. કંઈ પણ ગળવામાં મુશ્કેલી પડવા લાગી. પરિસ્થિતિ તો ત્યારે બગડી જ્યારે તેમને બોલવામાં પણ મુશ્કેલી પડી રહી હતી.
જ્યારે ડૉક્ટરોએ તપાસ કરી તો જાણવા મળ્યું કે તેમના ગળા પર સોજો હતો.

કઈ રીતે સાવચેતી રાખશો?

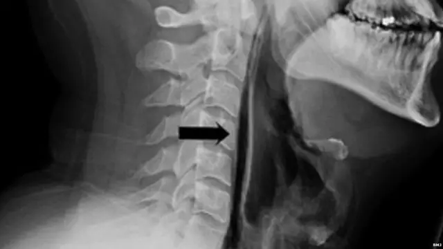
ઇમેજ સ્રોત, BMJ
એક્સ-રેમાં જાણવા મળ્યું કે છીંક રોકવાના કારણે દબાણ પડતાં શ્વાસનળીની કોશિકાઓ ફાટી ગઈ છે.
End of સૌથી વધારે વંચાયેલા સમાચાર
તબિયત સુધરી નહીં ત્યાં સુધી તે વ્યક્તિને નળી દ્વારા ભોજન આપવામાં આવ્યું હતું.
હૉસ્પિટલમાં એક અઠવાડીયું વિતાવ્યા બાદ અને સંપૂર્ણપણે સ્વસ્થ થયા બાદ તેમને ઘરે જવા દેવાયા હતા.
લેસ્ટર રૉયલ ઇન્ફર્મરી (જ્યાં વ્યક્તિનો ઇલાજ થયો)ના ENT (કાન, નાક અને ગળા)ના વિભાગના ડૉક્ટરે જણાવ્યું, "નાક અને મોઢું બંધ કરીને છીંક ખાવી ખતરનાક સાબિત થઈ શકે છે અને તેનાથી બચવું જોઈએ."
નિષ્ણાતોના કહેવા પ્રમાણે છીંકથી બીમારીઓ ફેલાય છે પરંતુ કોઈ પણ પ્રકારના નુકસાનથી બચવા માટે છીંક ખાવી જરૂરી છે.
જ્યારે ચારેબાજુ ફ્લૂ ફેલાયેલો હતો ત્યારે ઇંગ્લૅન્ડના પબ્લિક હેલ્થ તરફથી લોકોને પ્રોત્સાહિત કરાયા હતા કે ખાંસતા કે છીંક આવે તે સમયે બાળકો અને વયસ્કો દરેકે રૂમાલ કે કપડાંથી મોઢું ઢાંકી દેવું જોઈએ.
ત્યારબાદ વાપરેલા રૂમાલને કચરાપેટીમાં ફેંકી દો અને તમારા હાથને લિક્વિડ સોપથી ધોઈ નાખો જેથી જીવાણુઓ ફેલાય નહીં.

તમે બીબીસી ગુજરાતીને સોશિયલ મીડિયા પર અહીં ફૉલો કરી શકો છો

































