چھوٹے قد کے مسائل: ’کوئی لڑکی ڈیٹ پر نہیں جائے گی، بیوی نہیں مل پائے گی‘

،تصویر کا ذریعہDR S. ROBERT ROZBRUCH
قد کی اہمیت کا اندازہ اس بات سے ہوتا ہے کہ ہر سال دنیا بھر کے سینکڑوں افراد اپنے آپ کو کچھ انچ لمبا بنانے کے لیے ٹانگوں کو لمبا کرنے کی تکلیف دہ سرجری سے گزرتے ہیں۔ لیکن قد میں اضافے کا یہ پیچیدہ طریقہ کار خطرے سے خالی نہیں اور ماہرین صحت کہتے ہیں کہ کچھ لوگ تو اس کے بعد طویل مدتی مسائل سے دوچار ہوئے ہیں۔
سیم بیکر اپنے مڈل سکول میں سب سے دراز قد بچے تھے لیکن ہائی سکول کے اختتام تک ان کے ساتھی انھیں قد کے معاملے میں پیچھے چھوڑ گئے۔ وہ کہتے ہیں: 'جب میں کالج پہنچا تو میں نے دیکھا کہ میں بہت سے لڑکوں، حتی کہ بعض لڑکیوں سے بھی قد میں چھوٹا تھا۔ اس سے آپ کی زندگی پر یقیناً اثر پڑتا ہے۔ سچ تو یہ ہے کہ خواتین عام طور پر خود سے چھوٹے قد کے لڑکوں کے ساتھ ڈیٹ نہیں کرتیں۔ مشکل ترین بات یہ تھی کہ کبھی کبھی ایسا محسوس ہوتا کہ مجھے بیوی نہیں مل پائے گی۔'
سیم 30 سال کے ہو چکے ہیں اور نیویارک میں رہتے ہیں۔ انھیں اب بھی اپنے قد کے بڑھنے کی امید ہے حالانکہ وہ دل سے یہ جانتے ہیں کہ اب وہ قد بڑھنے کی عمر کو عبور کر چکے ہیں۔ وہ کہتے ہیں: 'ہمیشہ سے میرا یہ خیال رہا ہے کہ لمبا ہونا اور کامیاب ہونا آپس میں منسلک ہے۔ مجھے خود ہی اپنا حل نکالنا ہوگا۔'
یہ بھی پڑھیے
کیا میں پھر چل سکوں گا؟
سیم نے اپنے اعتبار سے قد میں اضافے کے لیے تحقیق کی لیکن وہ شو لفٹ (اونچی ایڑی کے جوتے) یا جسم کو کھینچنے والی مشقوں جیسی عارضی چیزوں سے مطمئن نہ ہو سکے۔ لیکن جب انھیں پاؤں کی لمبائی بڑھانے کا پتا چلا تو ان کی دلچسپی بڑھی۔ اپنی والدہ کے ساتھ بے لاگ گفتگو اور مختلف خطرات کو سمجھنے کے بعد انھوں نے طے کر لیا کہ ان کے مسئلے کا حلا آپریشن ٹیبل ہے۔ انھوں نے سنہ 2015 میں سرجری کروائی اور ان کا قد پانچ فٹ چار انچ سے بڑھ کر پانچ فٹ سات انچ ہو گيا۔
End of سب سے زیادہ پڑھی جانے والی
انھوں نے کہا: 'پہلی ہی مشاورت میں ڈاکٹر نے یہ واضح کر دیا کہ سرجری کتنی مشکل ہے۔ مجھے اس بارے میں تشویش تھی کہ میں ٹانگوں میں تین انچ کے اضافے کا کیا کروں گا۔ کیا میں اس کے بعد بھی چل پاؤں گا؟ کیا میں پھر سے اس قابل ہوسکوں گا کہ دوڑ سکوں؟

،تصویر کا ذریعہDR S. ROBERT ROZBRUCH
'آپریشن کے بعد ہفتہ میں تین یا چار بار کچھ گھنٹوں کے لیے جسمانی تھراپی ہوتی تھی۔ میں نے شاید چھ مہینوں تک ایسا کیا۔ یہ ایک بہت ہی عجیب تجربہ تھا۔ یہ ایک قسم کا خبط تھا۔۔۔ کہ اپنی دونوں ٹانگیں توڑوا کر دوبارہ چلنا سیکھو۔ یہ بظاہر ایک کاسمیٹک سرجری تھی لیکن میں نے اپنی ذہنی صحت کے لیے ذاتی طور پر بہت کچھ کیا۔'
ایک درجن سے زیادہ ممالک میں ٹانگوں کو لمبا کرنے کی سرجری دستیاب ہے۔ کچھ اپنے قد میں پانچ انچ (13 سینٹی میٹر) تک کا اضافہ کرسکتے ہیں۔ اور یہ پوچھنے پر کہ ہر سال کتنے افراد اس سے گزرتے ہیں، کلینک والے کہتے ہیں کہ اس کی مقبولیت میں اضافہ ہورہا ہے۔ بی بی سی نے دنیا بھر کے کلینکس سے بات کی ہے اور ان سب میں یہ آپریشن کروانے والوں کی تعداد مختلف ہے۔
امریکہ، جرمنی اور جنوبی کوریا کے اہم مراکز میں ایک سال میں 100 سے 200 بار اس طرح کی سرجری ہوتی ہے، سپین، انڈیا، ترکی اور اٹلی جیسے کئی دوسرے ممالک میں ایک سال میں 20 سے 40 لوگ سرجری کراتے ہیں۔ برطانیہ میں یہ تعداد قدرے کم ہے۔ وہاں ایک سال میں 15 مرتبہ ایسی سرجری ہوتی ہے۔ بی بی سی نے تقریباً ہر کلینک میں سال بہ سال اضافہ دیکھا ہے۔
برطانیہ میں یہ چند پرائیوٹ کلینکس میں دستیاب ہے جس کی کیئر کوالٹی کمیشن نگرانی کرتی ہے۔ یہاں سرجری کے اخراجات 50 ہزار پاؤنڈ تک آتے ہیں جبکہ امریکہ میں یہ 75 ہزار ڈالر سے دو لاکھ 80 ہزار ڈالر تک میں کی جاتی ہے۔
سرجری لمبا، مہنگا اور تکلیف دہ عمل ہے۔ اس تکنیک کی ابتدا ایک سویت ڈاکٹر گیورل الیزاروف نے کی تھی۔ وہ دوسری جنگ عظیم سے واپس آنے والے زخمی فوجیوں کا علاج کر رہے تھے۔ اب جب کہ پچھلے 70 سالوں میں اس سرجری میں بہت ترقی ہوئی ہے تاہم اس کے بعض بنیادی اصول وہی پرانے ہیں۔
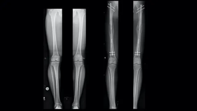
ٹانگوں کی ہڈیوں میں ایک سوراخ کیا جاتا ہے جسے پھر دو حصوں میں توڑا جاتا ہے۔ ایک دھات کا راڈ اس میں سرجیکل طور پر ڈالا جاتا ہے اور متعدد پیچوں کے ذریعہ اسے کس دیا جاتا ہے۔ پھر اس راڈ کو روزانہ آہستہ آہستہ ایک ملی میٹر تک بڑھایا جاتا ہے اور اس وقت تک بڑھایا جاتا ہے جب تک کہ سرجری کروانے والا مطلوبہ اونچائی نہ حاصل کر لے اور پھر ان کی ہڈیاں ایک ساتھ مل کر ٹھیک ہوجائیں۔
اس کے بعد مریض کو نقل و حرکت کرنے میں کئی ماہ لگ جاتے ہیں۔ یہ عمل پیچیدگیوں کے خطرے سے پُر ہے جس میں اعصاب کی چوٹ اور خون کے جمنے سے لے کر ہڈیوں کے ایک دوسرے کے ساتھ نہ ملنے کا خطرہ ہے۔
میرے پاؤں میں تین انچ کا فاصلہ تھا
بارنی اس پورے عمل کو بخوبی سمجھتے ہیں۔ انھوں نے سنہ 2015 میں اٹلی میں تین انچ اونچائی حاصل کرنے کے لیے سرجری کرائی تھی اور ان کا قد 5 فٹ 6 انچ (167 سینٹی میٹر) سے 5 فٹ 9 انچ (175 سینٹی میٹر) ہو گيا تھا۔ انھیں جب یہ تشخیص ہوئی کہ ان کے پاؤں کو سیدھا کیے جانے کی ضرورت ہے تو انھوں نے سوچا کہ اسی کے ساتھ وہ پاؤں کی لمبائی میں اضافہ بھی کروالیں۔
انھیں یقین دلایا گیا کہ دونوں عمل کو ایک ساتھ کیا جاسکتا ہے اور اس کی بازیابی کے وقت پر اثر نہیں پڑے گا۔ لیکن وہ اس وقت سے ہی اس کے نتائج سے نمٹ رہے ہیں۔ وہ کہتے ہیں: 'اگر میں 16 سال کا ہوتا تو شاید یہ مسئلہ نہ ہوتا۔ لیکن جب یہ آپریشن ہوا تو میں 46 سال کا تھا۔ میری ٹانگیں کھنچی جارہی تھیں، لیکن میری ہڈیاں کبھی پر نہیں ہو سکیں۔ میرے پاؤں میں تین انچ کا فاصلہ تھا۔۔۔ یعنی ہڈیوں کی دو ڈنڈیا جس کو دھات کی ایک راڈ جوڑ رہی تھی۔'
بارنی کو ابھی تک وہ جسمانی تکلیف یاد ہے جو انھوں نے لمبائی کے عمل کے دوران برداشت کی تھی۔ وہ کہتے ہیں: 'یہ ایسا ہی ہے جیسے آپ کی ٹانگوں کے ہر اعصاب کو کھینچا جارہا ہو۔ ایسی وقت بھی آتا ہے جب آپ درد سر سے کہیں بھی نہیں بھاگ سکتے۔ یہ انتہائی اذیت ناک ہے۔'

بارنی کی ہڈیوں کے درمیان خطرناک فرق کے باوجود درمیان میں وزن اٹھانے والی راڈ نے ان کی ہڈیوں کو ایک ساتھ تھام رکھا ہے اور اس کی وجہ سے وہ چل پھر سکتے ہیں۔ لیکن صورتحال کی سنگینی واضح ہے۔ وہ کہتے ہیں کہ 'ایک بار تو یہ احساس ہونے لگا کہ میں پھنس گیا ہوں۔ میں بالکل پھنس گیا ہوں۔ لیکن میں خوش قسمت تھا، میرا کنبہ اور میرے مالک حیرت انگیز تھے۔ آپ کو سپورٹ نیٹ ورک کی ضرورت ہوتی ہے۔ جب چیزیں غلط ہوجاتی ہیں تو پھر تباہ کن طور پر غلط ہوجاتی ہے۔'
اعضا کی لمبائی میں اضافے کی کاسمیٹک سرجری صرف نجی کلینکوں تک ہی محدود ہے اور اسی طرح ایسے مریضوں کی تعداد کے بہت کم ٹھوس اعداد و شمار ہیں جو پیچیدگیوں سے گزرے ہیں۔ لیکن برطانوی آرتھوپیڈک ایسوسی ایشن کے پروفیسر ہمیش سمپسن نے اس سے منسلک خطرات کا ذکر کیا ہے۔
'گذشتہ دو دہائیوں کے دوران تکنیک اور ٹیکنالوجی میں کافی حد تک بہتری آئی ہے جس سے یہ ایک محفوظ عمل بن گیا ہے۔ تاہم ہڈیوں میں اضافے کے نتیجے میں اعضا، اعصاب، خون کی رگوں اور جلد میں بھی اضافہ کرنا پڑتا ہے اور یہ انتہائی پیچیدہ عمل ہے جس میں پیچیدگیوں کے خدشات بڑھ جاتے ہیں۔'
برطانیہ میں ایک کنسلٹینٹ آرتھوپیڈک سرجن ڈاکٹر ڈیوڈ گڈیر نے کہا کہ کچھ لوگ جو قد میں اضافے کے لیے پاؤں کی لمبائی کی سرجری کے خواہاں ہیں ان میں جسم کے بدشکل ہونے کا احساس جیسے 'نفسیاتی مسائل ہیں۔' ان کا کہنا ہے کہ چونکہ زیادہ سے زیادہ لوگ اب اس طریقہ کار کا انتخاب کرتے ہیں اس وجہ سے ایک تشویش لاحق ہے کہ مریضوں کی بہبود سے زیادہ پیسوں کو ترجیح دی جائے گی۔
وہ خبردار کرتے ہیں کہ 'جب بات تجربہ کار سرجن کے مقابلے میں سستی سرجری کی ہو گی تو لوگوں کو اس سے منسلک پیچیدگیوں کو مکمل طور پر نہیں بتایا جائے گا۔ ایسے میں یہ ہوگا کہ آپ سرجری تو کہیں سے کروا لیں گے اور پھر جب آپ برطانیہ آئيں گے اور پیچیدگیاں بڑھ جائيں گی تو آپ این ایچ ایس میں آئیں گے جہاں ہمیں چیزوں کو ٹھیک کرنا ہوگا۔'
جس دن ہماری بارنی سے ملاقات ہوئی، اس دن وہ سرجری کے پانچ سال بعد اپنے جسم سے آخری دھات کی چھڑی ہٹوا رہے تھے۔
تکلیف، لاگت اور بحالی کے کئی سالوں کے باوجود انھیں پچتاوا نہیں ہے۔ وہ کہتے ہیں کہ 'میں یہی کہوں گا کہ جو کچھ ہوا اس پر دھول ڈال دو۔'
'تاسف مضحکہ خیز چیز ہے۔ بہت سارے لوگ ہیں جن کی سرجری کامیاب رہی، آپ ان سے دوبارہ کبھی شکایت نہیں سنیں گے۔۔۔ وہ خاموشی سے اپنی زندگی میں رچ بس جائيں گے۔‘
وہ کہتے ہیں ’مجھے ابھی صحت یاب ہونے کے لیے بہت طویل سفر طے کرنا ہے لیکن مجھے لگتا ہے کہ آپریشن میرے لیے صحیح تھا۔ اس کی وجہ سے مجھے اپنی زندگی کو از سر نو تعمیر کرنے کا موقع ملا ہے۔ اور مجھے اس تعصب سے آزادی ملی جو چھوٹے قد والے افراد محسوس کرتے ہیں۔‘



























