آنچه هر کس باید درباره تصویربرداریهای پزشکی بداند

منبع تصویر، Getty Images
- نویسنده, سمیه رستمیان
- شغل, پژوهشگر و روزنامهنگار علمی
تصویربرداریهای پزشکی، روشهای بازنمایی داخل بدن و نمایش عملکرد اندامها و بافتها است. هدف تصویربرداری پزشکی تشخیص و درمان بیماریها از طریق دیدن ساختارهای داخلی است. تصویربرداری پزشکی همچنین یک پایگاه داده از ساختار بافتها و اندامها (آماتومی) و عملکرد اعضای بدن (فیزیولوژی) برای شناسایی ناهنجاریهای احتمالی ایجاد میکند.
تاریخ تصویربرداری پزشکی با یک نام گره خورده است: ویلهلم کنراد رونتگن. فیزیکدان بزرگ آلمانی که در سال ۱۸۹۵ موفق به کشف اشعه ایکس شد، کشفی که جایزه نوبل فیزیک را در سال ۱۹۰۱ برای او به ارمغان آورد. وی در یادداشتهای خود نوشته بود که این اشعه از بدن رد میشود اما از استخوان و فلزات رد عبور نمیکند.
پس از آن دانشمندان روشهای گوناگون تصویربرداری را برای استفاده پزشکی ابداع کردند که اکنون برای تشخیص بیماری از آنها استفاده میشود.
در این نوشتار شیوههای رایج تصویربرداری پزشکی، کاربرد، عوارض و موارد احتیاط را به صورت مختصر به شما معرفی کنیم.
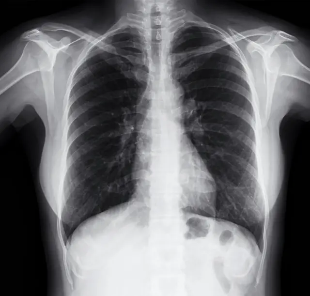
تصویربرداری با اشعه ایکس
این روش قدیمیترین و مرسومترین روش تصویربرداری پزشکی است که خود زیرشاخههای گوناگون دارد.
رادیو گرافی یا پرتونگاری

منبع تصویر، Getty Images
در این شیوه اشعه ایکس به بخش مورد نظر بدن بیمار تابانده شده و تصویر آن بر روی صفحات مخصوص ثبت میشود. این روش به علت دسترسی وسیع، سرعت و هزینه نسبتا پایین آن همچنان مرسومترین و پرکاربردترین روش تصویربرداری است.
از آنجایی که بدن انسان از مواد مختلف با تراکم متفاوت ساخته شده است، اشعه ایکس با گذر از لایههای کم تراکم بدن و توقف در لایههایی متراکم تصاویری را پدید میآورد که به تشخیص بیماریها کمک میکند؛ به عنوان مثال شکستگی استخوان، پوسیدگی دندان و عفونت ریه از جمله بیماریهایی هستند که برای تشخیص آنها از رادیوگرافی استفاده میشود.
سی تی اسکن

منبع تصویر، Getty Images
سی تی اسکن یا توموگرافی کامپیوتری روشی است که در آن اندامهای بدن را میتوان در سطح مقاطع مختلف دید، مثل اینکه تنه درخت را لایه لایه با اره ببرید و هر لایه را جدا بررسی کنید. هر لایه اطلاعاتی را در اختیار ما میگذارد که در مجموع ما را به شناخت بهتری از تنه درخت میرساند.
دستگاههای سی تی اسکن امروزی بسیار پیشرفته و پرقدرتند و قادرند با دقت کمتر از یک میلیمتر، تصویر برشهایی از بدن انسان را تهیه کنند. تقریبا از هر جایی از بدن انسان سی تی اسکن انجام میشود.
برای انجام سی تی اسکن یک پرتو نازک از اشعه ایکس به بدن بیمار تابانده میشود. اشعه از بدن بیمار عبور کرده و پس از رسیدن به آشکارساز به جریان الکتریکی تبدیل میشود. این فرایند هزاران بار از زوایای گوناگون تکرار میشود و اطلاعات به یک کامپیوتر ارسال میشود. این کامپیوتر اطلاعات را پردازش کرده و نتیجه را بصورت تصاویر متعددی از سطح مقطع عضو به نمایش میگذارد.
تصاویر سی تی اسکن از اندامهای بدن دقت بسیار بیشتری از تصاویر رادیوگرافی ساده دارد و با تصویربرداری از بدن بیمار از زوایای مختلف تشخیص بیماری را برای پزشکان راحتتر میکند.
ماموگرافی

منبع تصویر، Getty Images
این روشهای پرتونگاری متخصص تصویر برداری از پستان است است برای غربالگری و تشخیص بیماریهایی مثل سرطان پستان. در این روش معمولا از اشعههای کمانرژی استفاده میشود.
در بسیاری از کشورهای جهان به زنان توصیه میشود که از حدود چهل سالگی هر چند سال یکبار با ماموگرافی، احتمال تشخیص زودهنگام سرطان پستان را افزایش دهند. با این حال درباره فواید و مضرات غربالگری (آزمایش برای تشخیص زودرس) سرطان پستان بحثهایی وجود دارد. بسیاری معتقدند که انجام آن حتی در زنانی که هیچ علائمی از سرطان پستان ندارند مفید است، برخی دیگر اما بر این باورند که این تست نه تنها از میزان تعداد مبتلایان به سرطان پستان نمیکاهد بلکه باعث استرس شده و تشخیص اشتباه را بیشتر میکند. علاوه بر این، قرار گرفتن در معرض اشعه ایکس میتواند سلامت زنان را به خطر اندازد. در سنین زیر چهل سال سونوگرافی روش ارجح برای بررسی پستان است.

دستورالعمل ماموگرافی در ایران
- زنان از چهل سالگی برای ماموگرافی ارجاع شوند. در این سن یک ماموگرافی پایه انجام و در صورت نبود مشکل، هر دو سال یک بار تکرار میشود. در صورت وجود خطر، ماموگرافی باید هر سال تکرار شود.
- در صورت ابتلای یکی از نزدیکان درجه یک خانواده به سرطان پستان، توصیه میشود ماموگرافی پنج سال زودترانجام شود بخصوص وقتی که ابتلا نزدیکان پیش از چهل سالگی باشد.
- پس از ۶۹ سالگی نیاز به ماموگرافی برای غربالگری نیست.
- ماموگرافی در سنین ۵۰ تا ۶۰ سال سبب کاهش واضح مرگ و میر زنان بدلیل سرطان پستان میشود بنابراین پیگیر این گروه سنی اهمیت ویژهای دارد.

مضرات تشخیص با اشعه ایکس
اشعه ایکس تشخیص و درمان بسیاری از بیماریها را برای پزشکان آسان کرده و سبب بهبود کیفیت زندگی بیماران شده است، اما این روش تشخیصی عوارض جانبی نیز دارد. قرار گرفتن در برابر اشعه ایکس میتواند سبب جهش ژنتیکی شده و به سلولها آسیب برساند. جهشهای ژنتیکی بسته به اینکه در چه سلول و با چه وسعتی رخ دهند اثرات متفاوتی بر سلامت افراد میگذارند. با اینکه سیستم ژنتیکی بدن به نحوی طراحی شده که تا حد ممکن جهشهای ژنتیکی را که در طول زندگی به دلایل گوناگون رخ میدهد، اصلاح کند اما گاهی ممکن است سبب بیماریهایی چون سرطان شود. وقوع جهش ژنتیکی در سلولهای تولیدمثل پیش از تشکیل نطفه، میتواند باعث بیماریهای مادرزادی شده و حتی سلامت را چند دهه بعد در زمان بزرگسالی به خطر بیندازد. جنین مادران باردار و کودکان بیشتر از بزرگسالان در مقابل پرتو ایکس آسیبپذیر هستند، به همین علت عکس برداری با این پرتوها برای زنان باردار اکیدا ممنوع است. البته باید در نظر داشت که میزان انرژی این اشعه در کمترین حد ممکن نگه داشته میشود تا از خطرات احتمالی بکاهد، به همین علت هم مزایای استفاده از اشعه ایکس برای تشخیص و درمان بیماریها بسیار بالاتر از خطرات احتمالی آن است.
سونوگرافی

منبع تصویر، Getty Images
مبنای این روش تشخیص پزشکی امواج فراصوت است. امواج فراصوت در اواخر قرن ۱۹ میلادی کشف و در دو جنگ جهانی در صنایع نظامی استفاده شدند. استفاده از این امواج از حدود ۸۰ سال پیش آغاز شد و نقش بزرگی در علم پزشکی بر عهده گرفت. این امواج از اشعه ایکس بیخطرتر هستند، اما هزینه آن بیشتر است.
امواج سونوگرافی از جنس صوت هستند؛ صداهایی با فرکانس بالا که گوش انسان قادر به شنیدن آن نیست. این امواج در برخورد به مانع بر میگردند، مثل بازتاب صدا در کوه یا رادار. این رفت و برگشت امواج صوتی بر حسب فاصلهای که طی میکنند، به صورت تصویر ثبت میشود.
سونوگرافی درد ندارد و معمولا برای بیمار ناراحتی ایجاد نمیکند . موارد استفاده از امواج فراصوتی در معاینه تومورها، اندامهای داخلی مثل کبد و پانکراس و کلیه، برخی اندامهای جنسی، پستانها، مفاصل و جریان خون است. به علت کمخطر بودن این روش از آن برای معاینه جنین استفاده میشود.
این روش محدودیتهایی نیز دارد؛ امواج فراصوت از استخوان و گاز رد نمیشوند به همین علت اندامهایی که در آنها گاز جمع میشود یا با استخوان پوشیده میشوند، مثل مغز و ریه و روده با این روش قابل بررسی نیستند.
تاکنون ضرر خاصی در استفاده از این روش گزارش نشده است. با این حال برخی متخصصان به علت خطرات احتمالی که هنوز برای ما ناشناختهاند، توصیه میکنند که استفاده از آن در معاینه جنین مادران باردار به حداقل برسد.
تصویرسازی رزنانس مغناطیسی یا امآرآی

منبع تصویر، Getty Images
این روش تصویربرداری پزشکی که در دهههای اخیر بسیار فراگیر شده است. در این روش از یک میدان مغناطیسی و امواج رادیویی (الکترومغناطیسی)برای ایجاد تصاویر واضح از سطح مقطع بدن استفاده میشود. این روش در نیمه قرن بیستم ابداع شد، اما از بکارگیری آن در علم پزشکی تنها حدود دو دهه میگذرد.
در این روش، فرد با تخت متحرک به یک محفظه لوله مانند منتقل شده و در معرض یک میدان مغناطیسی بسیار قوی قرار میگیرد. میدان مغناطیسی در نهایت امواج رادیویی تولید میکند که به کامپیوتر ارسال میشوند. کامپیوتر این امواج را بسرعت تحلیل شده و از تصویر به دست آمده برای تشخیص بیماری استفاده میشود.
این روش دقیقترین راه برای مطالعه ساختار و عملکرد بدن بیمار است.
مضرات روش تشخیصی امآرآی
تاکنون ضرر خاصی در استفاده از این روش گزارش نشده است و استفاده از آن برای افراد در سنین متفاوت بیخطر است. این روش تصویربرداری در مقایسه با سی تی اسکن بیضررتر است چرا که امواج یونیزه کننده که به سلولها آسیب میزنند در آن نقشی ندارند. اما از آنجا که دستگاه ام آر آی فلزات را به خود جذب میکند، انجام آن در بیمارانی که در بدن خود اجسام فلزی دارند -مثل پلاتین- دشوار است و در چنین مواردی باید با دقت بسیار تصمیم گرفته شود.. همچنین بیمار باید هنگام تصویربرداری کاملا بیحرکت باشد چرا که کوچکترین حرکتی تصاویر را مخدوش و تشخیص را مختل میکند. قرار گرفتن در تونل این دستگاه برای بیماران بسیار چاق یا افرادی که دچار هراس از مکانهای بسته هستند، مشکل است. دستگاه ام آر ای همچنین صداهای بلندی ایجاد میکند که برای بسیاری آزاردهنده است.











