नपकाएको बन्दा वा मासु खानुहुन्छ? विचार गर्नुहोस् है!

तस्बिर स्रोत, Getty Images
भारतमा एक आठ वर्षीया बालिकाको मस्तिष्कमा टेपवर्म अर्थात् नाम्लेकीराका एक सयभन्दा बढी फुल भेटिए।
ती बालिकाले प्रत्येक दिन टाउको दुख्ने र बेलाबेला रिङ्गटा लाग्ने गुनासो गर्ने गर्थिन्। उनमा यो समस्या झन्डै छ महिना देखियो।
समस्याको कारण थाहा पाएपछि अभिभावकहरू पत्याउनै सकिरहेका थिएनन्।
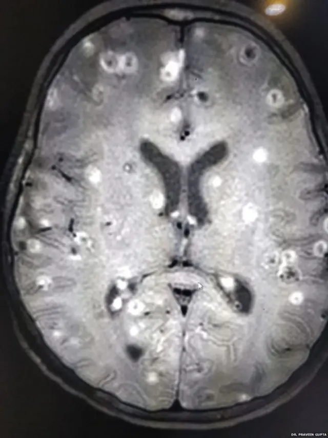
"बालिकाको मस्तिष्कमा नाम्ले किराका सयवटा भन्दा बढी फुलहरू थिए। ती साना-साना समूहमा थिए।"
उपचार
दिल्लीको गुडगाँवस्थित फोर्टिस अस्पतालको न्यूरोलोजी विभागका निर्देशक डा. प्रवीण गुप्ताको निगरानीमा बालिकाको उपचार भइरहेको छ।
डा. गुप्ताले भने, "हामीसँग आउनुअघि बालिकाको उपचार भइरहेको थियो। उसलाई निकै टाउको दुख्ने र सुन्निने समस्या थियो।"

तस्बिर स्रोत, DR. PRAVEEN GUPTA
सुन्निने समस्या कम गर्नका लागि दिने गरिएको स्टेरोइड्सका कारण बालिकाको तौल ४० किलोबाट बढेर ६० किलो पुग्यो।
तौल बढेपछि बालिकालाई झनै गाह्रो भयो। उनी पूर्ण रूपमा स्टेरोइड्समा निर्भर भइन्।
त्यसपछि अभिभावकले बालिकालाई डा. गुप्ताकहाँ लगे जहाँ बालिकाको सीटी स्क्यान गरियो।
औषधि
डा. गुप्ताले भने, "बालिकालाई मकहाँ ल्याइँदा उनी अचेत थिइन्। सीटी स्क्यान गर्दा उनको मस्तिष्कमा सेता धब्बा देखिए। ती धब्बा अरू केही नभएर नाम्लेका फुल थिए। र, फुलहरू एउटा वा दुइटा नभई सयभन्दा बढी थिए।"
उनलाई डा. गुप्ताकहाँ लग्ने बेलासम्म नाम्लेका फुलहरूले गर्दा ती बालिकाको मस्तिष्कले पूर्ण रूपमा काम गर्न सकिरहेको थिएन।
डा. गुप्ता भन्छन्, "सबैभन्दा पहिले हामीले औषधि दिएर बालिकाको मस्तिष्कको सन्तुलन ल्याउने काम गर्यौँ।"
हाल ती बालिकाको मस्तिष्कमा रहेका नाम्लेकिराका फुल नष्ट पार्ने औषधि दिइँदैछ। डा. गुप्ताका अनुसार नाम्लेका फुलमा लगातार वृद्धि भइरहन्छ।
डा. गुप्ताका अनुसार राम्रोसँग नपकाइएका र राम्ररी नपखालिएका तरकारी खाँदा नाम्ले नाम्लेको फुल पेटमा पुग्छ र त्यहाँबाट रगतमार्फत् शरीरका विभिन्न भागमा फैलिन्छ।
के हो नाम्ले?
नाम्ले एक प्रकारको परजीवी हो। पोषणका लागि यो अरू जीवमा निर्भर हुन्छ।
यसका पाँच हजारभन्दा बढी प्रजाति छन्। तिनीहरू एक मिलिमिटरदेखि १५ मिटरसम्म लामो हुन सक्छ।
यसको जीव खण्ड-खण्डमा बाँडिएको हुन्छ र फित्ताजस्तो देखिन्छ।
यसको शरीरमा बल्छी जस्तो संरचना हुन्छ जसका सहयोगमा यो आफूले आश्रय लिने जीवको अङ्गसँग टाँसिइरहन्छ।

तस्बिर स्रोत, Getty Images
शरीरको सतहमा हुने 'क्युटिकल'बाट उसले आफूलाई चाहिने खाद्यपदार्थ सोसेर लिन्छ।
आफ्नो शरीरभित्र पाचन प्रक्रिया नहुने भएकोले यसले पचाइसकेको खाद्यपदार्थ मात्रै सोस्ने गर्छ।
कसरी फैलिन्छ?
नाम्ले चेप्टो, रिबन जस्तो हुन्छ। शरीरमा प्रवेश गरेपछि यो जुका आन्द्रामा बस्न थाल्छन्।
तर सधैँ त्यहीँ नबसेर रगतको माध्यमबाट शरीरका अरू अङ्गमा पनि पुग्छ। कहिलेकाहीँ आँखा र मस्तिष्कमा पनि पुग्छ।
एशियाको तुलनामा युरोपेली देशहरूमा यसको खतरा कम हुन्छ। एनएचएसका अनुसार शरीरभित्र नाम्ले हुँदैमा कुनै लक्षण देखिन्छ भन्ने छैन।
तर शरीरका संवेदनशील अङ्गमा पुगेपछि खतरा हुन्छ। तर यसको उपचार धेरै कठिन हुँदैन।
दिल्लीस्थित गङ्गाराम अस्पतालका पेट रोग विशेषज्ञ डा. नरेल बंसलका अनुसार नाम्ले जुका प्राणघातक नभए पनि बेवास्ता गरिए खतरनाक हुनसक्छ।
कारण
सुङ्गुर अवथा गाईको अधकल्चो मासु र पूरै नपाकेको माछा खाँदा मानिसको शरीरभित्र नाम्ले पुग्नसक्छ।
खासमा यी जीवमा नाम्लेको लार्भा हुन्छ। यस्तो अवस्थामा राम्रोसँग नपकाएर खाएमा शरीरभित्र नाम्ले पुग्नसक्छ।
- दूषित पानी पिउनाले
- काँचो वा अधकल्चो बन्दागोभी र पालुङ्गो खानाले
- पानी वा माटोमा उम्रने तरकारी राम्रोसँग नपखालेर खानाले
लक्षण
- सामान्यतया स्पष्ट लक्षण देखिँदैन। तर शरीरभित्र नाम्ले जुका भएपछि दिसामा देखिनसक्छ।
- त्यसबाहेक पेट देख्ने, बान्ता हुने, कमजोरी र झाडापखालाको समस्या देखिनसक्छ।
- शरीरमा नाम्लेको सङ्ख्या बढी भएका रिङ्गटा लाग्ने, छाला पहेँलो हुने, हेर्न गाह्रो हुने लगायत समस्या पनि देखिनसक्छ।
बच्ने उपाय
शरीरमा नाम्ले परेपछि औषधिले ठिक हुनसक्छ। तर केही सावधानी अपनाउँदा सङ्क्रमणबाट बच्न सकिन्छः
- राम्ररी नपकाएको कुनै प्रकारको मासु नखाने
- राम्ररी नपखालेका फलफूल तथा सागसब्जी नखाने
- खाना खानुअघि साबुनपानीले हात धुने र शौचपछि राम्रोसँग नङ पनि सफा गर्ने
- सधैँ सफा पानी पिउने
डा. बंसल भन्छन् नाम्ले प्राणघातक नभए पनि त्यसलाई गम्भीरतापूर्वक लिनुपर्छ।
शरीरको जुनसुकै भागमा पुग्नसक्ने भएकोले शरीरको त्यो हिस्सामा पक्षघात पनि हुनसक्छ।





















