코로나19: 바이러스는 우리 생각보다 더 빨리 상륙했을 수도 있다

사진 출처, Getty Images
내가 코로나바이러스 항체 검사에서 양성 반응이 나온 것은 충격적인 경험이었다. 나는 2주 전에 최근 신종 코로나바이러스 감염증(코로나19) 증상을 겪은 적이 없다고 썼다. 지난 1월에 폐렴을 앓았지만 당시는 영국에서 최초의 코로나19 확진자가 발생하기 수주 전이었기 때문에 대수롭지 않게 여겼다고도 했다.
많은 독자들이 코로나19와 비슷한 증상을 겪었던 사례를 내게 공유하면서 더 탐사를 해보라고 촉구했다. 어떤 사람들은 심지어 지난해 11월에 그런 증상을 겪었다고 했다.
하지만 영국에서 코로나19가 처음으로 발생한 게 언제인지를 확증하는 게 가능할까? 그리고 그게 정말로 중요할까?
먼저 그간의 시간상 흐름을 따져보자.
중국은 2019년 12월 31일 처음으로 집단감염을 보고했으나 나중에 세계보건기구(WHO)에 이들 환자의 최초 증상 발현은 12월 8일까지 거슬러 올라간다고 말했다.
그러나 홍콩의 유력 일간지 사우스차이나모닝포스트(SCMP)가 입수한(BBC가 확인한 내용은 아니라는 걸 강조해야 하겠다) 미공개 정부 자료에 따르면 우한에서 발생한 최초 사례는 11월 17일까지 거슬러 올라갈 수 있다고 한다.
아직까지 '0번 환자', 다시 말해 신종 코로나바이러스에 처음으로 감염된 사람은 확인되지 않았다.
영국에서 최초로 환자가 보고된 것은 1월 31일, 두 명의 중국 국민이 요크에서 확진 판정을 받으면서였다.
이들은 외국에서 바이러스에 감염됐다. 영국 내에서 감염된 최초 케이스는 2월 28일 서레이에서 등록됐다.
그러나 이러한 공식 타임라인을 의심하는 사람들이 많다.
작가 캐서린 메이어는 자신의 남편인 음악인 앤디 길이 코로나19로 사망한 최초의 영국인일 수 있다고 생각한다.

사진 출처, Getty Images
앤디는 2019년 11월 23일 중국 공연에서 돌아와 같은해 12월 코로나19와 여러 가지로 유사한 증상을 보이며 중태에 빠졌다. 그는 지난 2월 1일 병원에서 숨졌다. 의사들은 이것이 말로만 듣던 신종 바이러스일 수 있다고 생각했지만 타임라인이 확연해 보이지 않았다.
그때 코로나19가 이미 12월부터 유럽에서 퍼지고 있었을 수 있다는 보도가 나왔다. 파리 인근의 한 병원이 폐렴 환자의 옛날 검체를 다시 검사했는데 코로나19 양성 반응이 나온 것이었다.
캐서린은 앤디를 진찰했던 의사에게 메시지를 보냈고, 그 또한 그것이 코로나19였을 수 있다는 데 동의했다. 하지만 이를 어떻게 입증할 것인가? 캐서린은 직접 탐사를 시작했고 남편의 투어 매니저 또한 호흡기 감염으로 중태에 빠졌다는 걸 발견했다. 캐서린의 양아버지도 지난해 12월 22일 숨졌다.
"이건 개인적인 차원에서 제게 수많은 종류의 의문을 제기해요." 캐서린은 말한다.
"핵심은 이게 코로나19였을 수 있느냐는 겁니다." 리버풀대학교의 영국 신종감염병연구소 소장 탐 솔로먼은 말한다. "한 마디로 말하자면 그랬을 수 있습니다. 우린 이제 코로나19가 더 이전부터 영국에 있었다는 걸 압니다. 새로운 바이러스는 언제나 우리가 발견하기 전부터 우리 주변에 존재하죠."

많은 독자들이 직접 탐사를 하고 있었다. 블랙풀에서 데브라 스콧은 자신이 지난해 11월 남편의 동창회에서 코로나19에 걸렸다고 생각한다. 동창회에서는 많은 사람들이 끌어안고 악수를 했다고 한다.
그의 증상 중에는 몇 주간 계속된 극심한 기침도 있었다. "점차 나아지고 있다고 생각했지만 갑자기 더 악화되는 일이 계속됐어요."
그는 자신이 코로나19에 걸렸다고 확신해 항체 검사를 위해 혈액 샘플을 연구소에 보냈고 양성 판정을 받았다. 그는 면역력이 어느 정도 생겼기를 바라고 있다. 당뇨가 있기 때문이다. "검사를 받기 전까지는 정말 패닉 상태였어요. 중환자실에 들어가고 싶지 않았거든요."

사진 출처, Debra Scott
위트비의 트리샤 캠은 스코틀랜드 호수에서 휴가를 보낸 후 지난 1월 말 몸이 아팠다. 그는 자신이 당시 코로나19를 앓았다고 생각한다. 맛에 대한 감각을 잃어버렸고 레스토랑에서 음식을 계속 돌려보냈기 때문이다. "정말 실망했죠. 거기 음식을 좋아했는데요."
그러나 보다 회의적인 이들도 있다. 데이비드 브라운은 은퇴한 분자 바이러스학자로 20년 동안 코로나바이러스를 연구했다.
그의 부인은 작년 크리스마스가 지나고 폐렴에 걸렸다. 극심한 기침과 미각과 후각의 상실이 있었다.
그는 자신의 부인을 비롯한 많은 사람들이 다른 코로나바이러스 종류인 OC43에 걸렸던 것이라고 생각한다. OC43 또한 호흡기 질환을 일으킬 수 있다.
"OC43에 걸리면 증세가 매우 독해요. 다른 코로나바이러스처럼 일생 내내 여러 차례 감염이 될 수 있습니다. 미리 알 수도 없고 다시 검사하는 것도 불가능해요."
영국 보건부는 코로나19의 유행 정도를 파악하기 위한 모니터링을 하고 있다. 여기에는 영국 전역의 헌혈자들의 검체를 분석하는 것도 포함된다.
보건부는 지난 3월 23일주 런던의 헌혈자 검체 중 1.5%에서 항체가 발견했다고 밝혔다.
항체가 발견되기까지는 최소 2주가 걸리기 때문에 이는 항체가 발견된 헌혈자들이 적어도 3월 초에 감염됐다는 것을 의미한다.
이는 영국에서 최초로 코로나19의 사람 간 전염이 확인된 때보다 불과 1주일 밖에 지나지 않은 시점이다. 헌혈자들이 헌혈하기 전 2주 정도를 기다려서 증상이 없는지를 확인하라는 지침을 받는 것을 고려해보면 이들이 실제 감염된 시점은 그보다 앞섰을 수 있다. 혹은 무증상 감염으로 자신이 코로나19에 걸렸다는 걸 전혀 몰랐을 수도 있다.
안타깝게도 지난 1월이나 2월의 헌혈자에 대한 검사 계획은 없다. 이를 검사한다면 영국에서 코로나19가 언제부터 시작됐는지를 보다 자세히 알 수 있을 텐데 말이다.

사진 출처, Getty Images
전혀 다른 분야의 연구에서 실마리를 잡을 수도 있다.
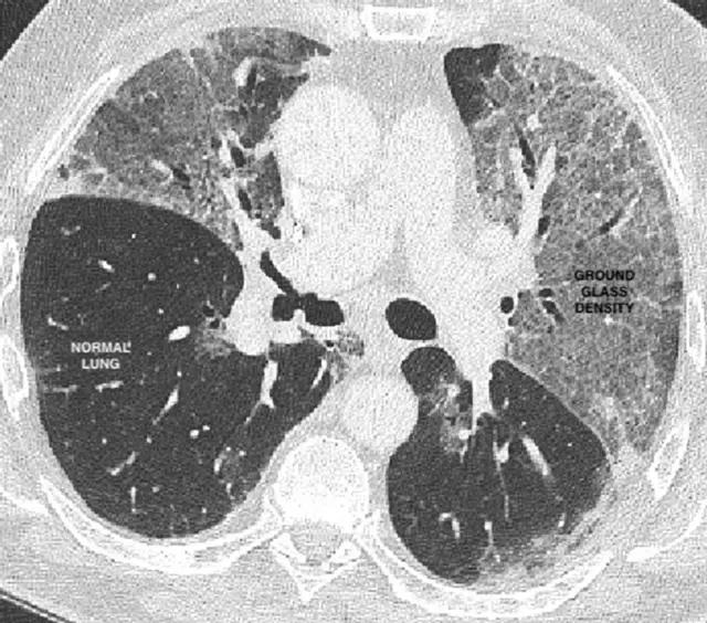
폐암의 초기 증세를 찾기 위해 대량의 흉부 CT 검사 결과를 분석하는 연구가 바로 그것이다. 이 실험은 지난해 11월부터 지난 3월 23일 봉쇄령이 내려지기까지 런던에서 남녀 6500명의 흉부 CT 검사를 통해 실시했다.
유니버시티칼리지런던병원의 방사선과 전문의 조셉 제이컵은 이 검사 결과를 인공지능으로 분석해 코로나19 증상을 찾아낼 계획이다.
건강한 폐는 대부분 공기로 가득 차 있기 때문에 CT 촬영에서 검은색으로 나온다. 그러나 코로나19에 걸린 경우 화장실의 불투명한 유리창과 비슷한 '유리 가루' 형태를 보인다.

사진 출처, UCL
여기에는 한 가지 분명한 문제가 있다. 다른 호흡기 질환도 이런 형태를 일으킬 수 있다. 때문에 폐 손상이 코로나19 때문인지, 겨울 독감 때문인지를 분별하기 어려울 수도 있다.
제이컵스 전문의는 내게 이렇게 말했다. "환자의 혈액이나 조직 검체를 가지고 있지 않기 때문에 코로나19인지 아닌지를 확정할 수는 없을 겁니다. 하지만 1월에서 3월로 갈수록 겨울 독감의 발생은 줄어들게 돼 있죠."
노팅엄대학교의 연구진은 1월까지 거슬러 올라가는 폐 질환 환자들의 검체를 분석하고 있다.
분자 바이러스학 교수 조너선 볼은 말한다. "우리가 코로나19를 확인할 수 있었던 가장 이른 시점은 2월의 셋째주입니다."
"제가 자주 듣는 이야기는 '분명 제 증상이 코로나19 증상이랑 부합하니까 제가 11월, 12월 또는 1월에 코로나19에 걸렸던 게 틀림없어요'인데, 이는 검체에서 우리가 발견한 것과는 다릅니다."
만일 코로나19가 우리가 생각했던 것보다 훨씬 더 일찍 영국에 있었다면 코로나19가 얼마나 빨리 번지는지, 그리고 봉쇄 조치를 내리는데 최적의 시기가 언제인지에 대한 우리의 생각을 바꿔놓을 것이다.
전염병은 처음에 작은 규모로 퍼지지만, 사회적 거리두기를 하지 않을 경우 환자는 매 2~3일마다 두 배씩 늘 수 있다.
전염병의 시작 일자를 잘못 알면 특정 시점에 얼마나 많은 사람들이 감염됐는지에 대한 추산치가 매우 부정확해진다.
엄격한 사회적 거리두기를 실시한 나라나 효과적인 검사 및 격리 조치를 조기에 실시한 나라는 다른 나라에 비해 사망자가 훨씬 적었다.
항체 검사가 보다 보편적으로 가능해지면서 영국 국민보건서비스(NHS) 직원들과 일반인들도 자신이 과거에 코로나19에 걸렸는지를 검사하는 게 가능하다.
그러나 검사 결과가 '언제' 코로나19에 감염됐는지를 알려주진 않는다. 그러므로 당신이 올해 초 앓았던 극심한 기침이나 고열, 미각과 후각의 상실은 정말로 코로나19였을 수도 있지만, 당시의 검체가 남아있어 재분석을 할 수 없다면 아마도 영원히 진실을 알 수 없을 것이다.













