Covid-19 tanpa simtom: Kerusakan pada paru-paru terhadap pasien virus corona tanpa gejala, yang diketahui sejauh ini

Sumber gambar, Getty Images
Pasien virus corona tanpa gejala atau yang disebut asimtomatik tetap dapat mengalami kerusakan organ tubuh, menurut satu penelitian di Amerika Serikat dan pengalaman seorang dokter di Inggris.
Para peneliti di Scripps Research di La Jolla, California, AS, yang menganalisa data publik menemukan bahwa 45% orang yang terkena Covid-19, tidak mengalami gejala yang biasa diakibatkan oleh virus corona, seperti batuk kering, demam dan tersengal-sengal.
Apa yang ditemukan juga dari pemindaian melalui CT scan - prosedur yang menggunakan sinar X, dengan hasil yang diolah dengan komputer - lebih dari setengah pasien asimtomatik memiliki gejala kerusakan paru-paru serius.
Tim peneliti mengatakan temuan itu merupakan bukti bahwa mereka yang tak mengalami gejala virus corona, memainkan peranan penting dalam menyebarkan virus dan menunjukkan perlunya tes dalam skala besar, serta melakukan pelacakan kontak yang merupakan faktor yang sangat penting.
Sementara John Kinnear, dekan Fakultas Kedokteran, Anglia Ruskin University, Inggris, menceritakan pengalamannya memeriksa pasien tanpa gejala dan terkejut melihat kerusakan paru-paru yang dialami pasien.
"Saat saya tiba dengan perlengkapan alat pelindung diri lengkap dan siap untuk melakukan sedasi kepada pasien sebelum menggunakan ventilator, saya kira saya tiba di tempat tidur yang salah," tulis Kinnear dalam kajiannya.
"Ia duduk dengan tenang, sambil berbicara dengan putrinya melalui telepon seluler dan terkejut dengan penampilan saya dengan APD. Saya mengira kolega saya terlalu berlebihan. Namun saya memeriksa kadar oksigen di darah untuk berjaga-jaga, lebih pada insting bukan karena khawatir."
"Dari penampilannya, saya perkirakan kondisi paru-paru normal (100%), namun ternyata hanya 75%, dan itu tingkatan yang biasanya membuat orang tidak sadar."
"Saya segera sadar bahwa banyak pasien yang dalam kondisi parah akibat Covid-19, tidak mengalami gangguan pernafasan sampai mereka kemudian tiba-tiba ambruk dan meninggal," tulisnya lagi.
Temuan tim di Amerika Serikat
Para peneliti di Scripps Research di La Jolla, California, mengkaji responden dari 16 grup yang berbeda, termasuk para narapidana, penumpang kapal pesiar, serta orang lanjut usia di panti jompo.
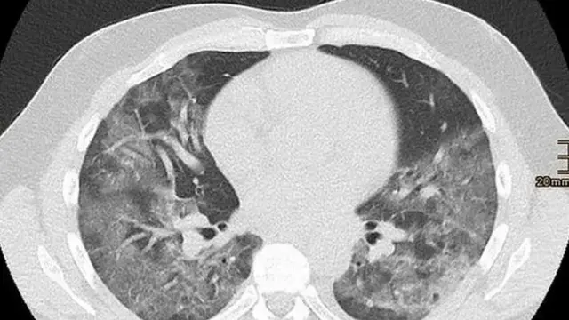
Data dari penumpang kapal pesiar, menunjukkan 54% dari 76 pasien tanpa gejala, memiliki kerusakan paru-paru yang ditunjukkan melalui CT scan.

Sumber gambar, Getty Images
Gambar paru-paru yang pekat menunjukkan organ ini penuh dengan cairan, bakteri atau sel kekebalan.
"Penyebaran virus tanpa diketahui ini membuat situasi semakin lebih sulit untuk dikendalikan," kata Dr Eric Topol, profesor kedokteran molekuler di Scripps Research.

Sumber gambar, Reuters
"Kajian kami mengangkat pentingnya pemeriksaan. Jelas bahwa dengan tingginya pasien tanpa gejala ini, kita perlu memasang jaring untuk tes seluas mungkin, bila tidak akan sulit meredam virus," kata Topol dalam studi yang diterbitkan di Annals of Internal Medicine.

Sumber gambar, Getty Images
Pengalaman John Kinnear dengan dua pasien
John Kinnear dari Anglia Ruskin University menceritakan analisanya melalui The Conversation terkait pemeriksaan pasien.
Dua pasien mengajarkan saya tentang infeksi Covid-19 dan menantang pengetahuan saya terkait radang paru-paru, tulisnya.
"Pasien pertama yang terinfeksi Covid-19 yang datang ke rumah sakit saya mungkin seperti pasien-pasien di rumah sakit lain saat itu. Ia adalah pria lanjut usia yang mengalami radang paru-paru, namun belum dites dan diperkirakan terinfeksi. Tim pakar memeriksanya dan memberikan oksigen kadar tinggi serta dimasukkan ke bangsal khusus. Ia meninggal pada malam itu."
"Pasien kedua adalah perempuan tengah baya yang dirujuk ke perawatan intensif untuk mendapatkan perawatan melalui ventilator. Kematian pasien pertama membuat saya cemas, dan saya bergerak untuk memeriksanya. Saat menuju bangsal, saya membayangkan, pasien sulit bernafas, sulit berbicara."
"Ia duduk dengan tenang, sambil berbicara dengan putrinya melalui telepon seluler dan terkejut dengan penampilan saya dengan APD lengkap. Saya mengira kolega saya terlalu berlebihan. Namun saya tetap memeriksa kadar oksigen di darah untuk berjaga-jaga, lebih pada insting bukan karena khawatir."
"Dari penampilannya, saya perkirakan kondisi paru-paru normal (100%), namun ternyata hanya 75%, dan itu kondisi yang biasanya membuat orang tidak sadar."
Kerusakan paru-paru yang tak disadari
"Penjelasan ilmiah soal pelajaran awal yang saya dapat ini muncul dari studi di Wuhan, China, yang menggambarkan perubahan patologi paru-paru melalui CT scan dari pasien yang sama sekali tidak menunjukkan gejala."
Asimtomatik bukan hal baru pada penyakit infeksi lain seperti MRSA, namun mencolok pada kasus Sars-CoV-2, virus yang menyebabkan Covid-19, dan bahwa juga dapat menyebabkan kerusakan organ, tulis Kinnear.
Yang masih menjadi misteri adalah, walaupun terjadi perubahan pada organ tubuh, pasien tidak menunjukkan gejala pneumonia atau radang paru seperti nafas tersengal-sengal.
Sekitar 25% pasien dalam studi itu mengalami demam, batuk dan sesak napas, namun banyak yang tidak mengalami gejala.
Studi itu menekankan, tidak ada gejala bukan berarti pasien tidak terancam bahaya.
Pasien tanpa gejala berisiko menginfeksi individu lain dan publik.
Nasihat yang diberikan kepada pasien tanpa gejala adalah tetap tinggal di rumah.
Risiko terberat dari mereka adalah bisa meninggal mendadak atau masuk rumah sakit pada saat kondisi sudah terlambat.
"Hal ini merupakan mimpi buruk bagi kesehatan masyarakat. Sebanyak 40-45% orang yang terinfeksi SARS-CoV2 tidak mengalami gejala, dengan tingkat penularan yang sama tingginya dengan mereka yang sakit."
"Ini adalah penularan yang tak tampak yang akan terus terjadi sampai 14 hari dan ini jelas mengangkat pertanyaan tentang keefektifan strategi melakukan tes atau penggunaan mesin pemindai seperti pengukur suhu," tulis Kinnear lagi.

GEJALA dan PENANGANAN: Covid-19: Demam dan batuk kering terus menerus
PETA dan INFOGRAFIS: Gambaran pasien yang terinfeksi, meninggal dan sembuh di Indonesia dan dunia


Artikel ini memuat konten yang disediakan Google YouTube. Kami meminta izin Anda sebelum ada yang dimunculkan mengingat situs itu mungkin menggunakan cookies dan teknologi lain. Anda dapat membaca Google YouTube kebijakan cookie dan kebijakan privasi sebelum menerima. Untuk melihat konten ini, pilihlah 'terima dan lanjutkan'.
Lompati YouTube pesan, 1
Artikel ini memuat konten yang disediakan Google YouTube. Kami meminta izin Anda sebelum ada yang dimunculkan mengingat situs itu mungkin menggunakan cookies dan teknologi lain. Anda dapat membaca Google YouTube kebijakan cookie dan kebijakan privasi sebelum menerima. Untuk melihat konten ini, pilihlah 'terima dan lanjutkan'.
Lompati YouTube pesan, 2
Artikel ini memuat konten yang disediakan Google YouTube. Kami meminta izin Anda sebelum ada yang dimunculkan mengingat situs itu mungkin menggunakan cookies dan teknologi lain. Anda dapat membaca Google YouTube kebijakan cookie dan kebijakan privasi sebelum menerima. Untuk melihat konten ini, pilihlah 'terima dan lanjutkan'.
Lompati YouTube pesan, 3

























