Covid-19: Yeni tarama tekniği, akciğerlerdeki hasarı 'gösterdi'

Kaynak, Getty Images
- Yazan, Pallab Ghosh
- Unvan, BBC Bilim Muhabiri
İngiltere'de geliştirilen yeni bir manyetik görüntüleme tekniği ile, Covid-19 teşhisi konan hastaların akciğerlerinde teşhisten üç ay sonra bile bazı anormallikler tespit edildi.
Oxford Üniversitesi'nde 10 hasta üzerinde yapılan araştırmada, yeni bir tarama tekniği kullanılarak, normal taramalarda tespit edilemeyen akciğer hasarlarına rastlandı.
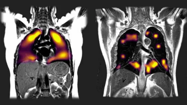
Bu yeni tarz EMAR'da (manyetik rezönans görüntüleme) ksenon (zenon) gazı kullanılarak akciğerdeki hasarın kapsamı tespit ediliyor.
Akciğer uzmanları, uzun vadeli hasarı ortaya koyan bir testin Covid hastaları için çok önemli olduğunu söylüyor.
Bu teknikte, sırasında hastadan ksenon gazını içine çekmesi isteniyor.
Araştırma ekibinin başındaki Prof. Fergus Gleeson, bu tekniği 19 ila 69 yaş arasındaki 10 hastada denedi.
Bunların sekizi, yoğun bakıma kaldırılmamış ve solunum cihazına bağlanmamış olmalarına rağmen, koronavirüse yakalanmalarının üzerinden üç ay geçtikten sonra bile nefes darlığı ve yorgunluktan şikayet ediyordu. Normal taramalarda akciğerlerinde herhangi bir soruna rastlanmamıştı.
Ksenon gazıyla yapılan taramalarda ise bu hastalarda akciğer hasarı belirtilerine rastlandı. Kana rahat oksijen akışı olmayan bölgeler tespit edildi.
Gleeson, taramalar sonucunda hastalarda ortaya çıkan hasar boyutunun beklediklerinden fazla olduğunu kaydetti.

Kaynak, OXFORD ÜNİVERSİTESİ
Prof. Gleeson, koronavirüse yakalanmış olduğu halde ciddi belirti göstermeyen ve hastaneye kaldırılmayan farklı yaş gruplarından 100 kişi ile denemeler yapmayı planlıyor.
Bu hastalarda akciğer hasarı meydana gelip gelmediğine ve böyle bir hasar oluşmuşsa bunun kalıcı mı olduğuna yoksa zamanla iyileşen bir özellik gösterip göstermediğine bakılacak.
60 yaş üzeri hastalarda ağır hastalık ve ölüm riski büyük ölçüde artıyor. Fakat denemelerde akciğer hasarının farklı yaş gruplarında ve hastanede tedaviye ihtiyaç duymayanlarda bile tespit edilmesi halinde "hedeflerin gözden geçirilmesi gerekecek".
Gleeson, ksenon gazıyla saptanan akciğer hasarının, koronavirüsün uzun vadeli etkisini ifade eden ve uzatmalı Covid olarak adlandırılan sorunun kaynağı olabileceğini söylüyor.
Tarama tekniği Sheffield Üniversitesi'nden Prof. James Wild'ın başkanlık ettiği bir ekip tarafından geliştirilmişti. Wild, bu tekniği Covid-19'dan kaynaklanan akciğer hasarını ve etkilerini gösterecek "biricik" yöntem olarak niteledi.
- Covid-19'u daha uzun süre geçirmeye kimler yatkın?
- Covid hastalığını atlatanlar ne kadar sürede iyileşiyor?
- İngiltere'de yapılan araştırma: Koronavirüs 4 farklı sendroma bağlı olarak vücutta kalabilir
- Sitokin Fırtınası: Koronavirüsle mücadelede bağışıklık sisteminin dosttan düşmana dönüştüğü an
- T hücreleri Covid-19'a karşı gizli bağışıklık mı sağlıyor?
- Koronavirüs diğer virüslerden neden farklı ve neden bu kadar öldürücü?
- Koronavirüs tedavisi: En başarılı ilaçlar ve yöntemler hangileri?








