ขยะพลาสติก : นักวิจัยศูนย์ฯ ทะเล จ.ตรัง พบไมโครพลาสติกในกระเพาะปลาทู

ที่มาของภาพ, ศูนย์ปฏิบัติการอุทยานแห่งชาติทางทะเล ที่ 3
- Author, สมิตานัน หยงสตาร์
- Role, ผู้สื่อข่าวพิเศษบีบีซีไทย
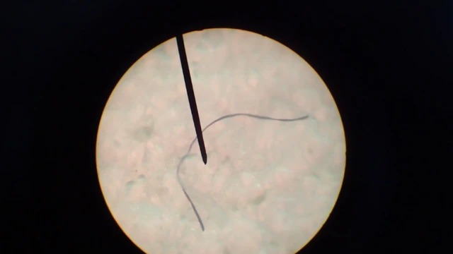
คนชอบทาน "แกงไตปลา" มีสะดุ้ง หลังเฟซบุ๊กศูนย์ปฏิบัติการอุทยานแห่งชาติทางทะเล ที่ 3 จ.ตรัง เปิดผลการศึกษาไมโครพลาสติกในกระเพาะปลาทู บริเวณเขตพื้นที่อุทยานแห่งชาติหาดเจ้าไหม พบไมโครพลาสติก ทั้งลักษณะที่เป็นเส้นใย แท่งสีดำ และกลิตเตอร์
ไมโครพลาสติกคืออนุภาคพลาสติกขนาดเล็กกว่า 5 มิลลิเมตร และถูกใช้ในผลิตภัณฑ์หลายประเภท นอกจากนี้ยังเกิดจากการย่อยสลายของพลาสติกชิ้นใหญ่ ทั้งจากการเสื่อมสภาพ สภาพอากาศ การผุพัง รวมถึงการฉีกขาด
"ปลาทู" เป็นปลาชนิดหนึ่งที่มีความสำคัญทางเศรษฐกิจใน จ.ตรัง เนื่องจากเป็นปลาที่หาง่าย ราคาไม่แพงเกินไป คนนิยมรับประทาน และทำอาหารได้หลากหลาย

ที่มาของภาพ, ศูนย์ปฏิบัติการอุทยานแห่งชาติทางทะเล ที่ 3
โดยเฉพาะกระเพาะปลาทูซึ่งเป็นส่วนสำคัญที่ใช้ทำ "พุงปลา" วัตถุดิบในการทำอาหารขึ้นชื่อของภาคใต้อย่างแกงไตปลา
นี่จึงเป็นเหตุผลเบื้องต้นให้ทีมนักวิจัย ศูนย์ปฏิบัติการอุทยานแห่งชาติทางทะเล ที่ 3 จ.ตรัง เลือกปลาชนิดนี้ในการเริ่มต้นการศึกษา
ปลาทู 1 ตัวพบไมโครพลาสติก 78 ชิ้น
"ปลาทูตัวอย่างที่เราใช้ 60 ตัว เราพบไมโครพลาสติกในกระเพาะปลาทุกตัว" เสาวลักษณ์ ขาวแสง ผู้ช่วยวิจัยศูนย์ปฏิบัติการอุทยานแห่งชาติทางทะเลที่ 3 จ.ตรัง เล่าให้บีบีซีไทยฟังถึงการศึกษาการปนเปื้อนในกระเพาะปลาทู ซึ่งมาจากการจับปลาของเรืออวนขนาดเล็ก ในพื้นที่หาดเจ้าไหม จ.ตรัง
"ผลของงานวิจัยชิ้นนี้พบว่า ปลาทูขนาดน้ำหนักเฉลี่ย 66.53 กรัม ความยาวมาตรฐานเฉลี่ย 17.46 เซนติเมตร มีไมโครพลาสติกในกระเพาะของปลาทูเฉลี่ย 78.04 ชิ้นต่อตัว ประกอบไปด้วยลักษณะที่เป็นเส้นใย แท่งสีดำ และกลิตเตอร์ ซึ่งลักษณะของไมโครพลาสติกที่พบมากที่สุด คือ ชิ้นสีดำ ด้วยค่าร้อยละ 33.96"

ที่มาของภาพ, ศูนย์ปฏิบัติการอุทยานแห่งชาติทางทะเล ที่ 3
โดยงานชิ้นนี้ยังไม่ได้มีการศึกษาต่อในส่วนของเนื้อปลาทู แต่ทางศูนย์กำลังจะขยายผลศึกษาตะกอนทรายชายหาดบริเวณหาดเจ้าไหม ว่ามีลักษณะเป็นอย่างไรต่อไป ทั้งขยายไปยังสัตว์เศรษฐกิจในพื้นที่ชนิดอื่น เช่น หอยชักตีน และ หอยตะเภา
"เราตั้งใจทำให้รู้ว่าขยะขนาดเล็กเข้าใกล้ชีวิตประจำวันของเราแล้วนะ อยากให้คนตระหนักถึงการทิ้งขยะ การกำจัดขยะ การใช้พลาสติก"
ก่อนหน้านี้บริเวณหาดเจ้าไหม เจ้าหน้าที่ได้เก็บสถิติของปริมาณขยะที่เกยขึ้นมาบริเวณหน้าหาดเป็นประจำทุกวันในพื้นที่ 1,200 ตารางเมตร ซึ่งอันดับหนึ่งที่พบคือ "แก้วพลาสติก" ยิ่งช่วงฤดูมรสุมแล้วไม่เพียงขยะจากประเทศไทยเท่านั้น ยังพบขยะที่มีฉลากสิ้นค้าของประเทศอินโดนีเซีย ศรีลังกา และมาเลเซียอีกด้วย
90% ของสัตว์ทะเลมีไมโครพลาสติก
รศ.ดร. สุชนา ชวนิชย์ อาจารย์ประจำภาควิชาวิทยาศาสตร์ทางทะเล คณะวิทยาศาสตร์ จุฬาฯ ให้ข้อมูลกับบีบีซีไทยเกี่ยวกับงานวิจัยเรื่องการพบไมโครพลาสติกในสัตว์ทะเล โดยงานวิจัยชิ้นแรกคือการพบไมโครพลาสติกในหอย ซึ่งตีพิมพ์ในวารสาร Marine Pollution Bulletin ในปี 2017
"ไมโครพลาสติกสะสมในสัตว์หลายชนิด ทั้งกุ้ง หอย แม้แต่ปะการังเองก็ยังพบ มากกว่า 90 เปอร์เซ็นต์ของสัตว์ที่เราเจอ มีการสะสมของไมโครพลาสติก"

ที่มาของภาพ, ศูนย์ปฏิบัติการอุทยานแห่งชาติทางทะเล ที่ 3
"ผลกระทบถ้าเกิดสะสมในกระเพาะ ส่วนหนึ่งก็จะถูกขับถ่ายออกมา อีกส่วนจะฝังเข้าไป มันก็จะทำให้เกิดเป็นแผลได้ และอาจก่อเกิดพวกโรคมะเร็งต่าง ๆ ได้ ด้วยไมโครพลาสติกมีขนาดที่เล็ก ขนาดเท่ากับเชื้อแบคทีเรียหรือเชื้อไวรัส"
ปัจจุบันยังไม่มีงานวิจัยยืนยันว่า สัตว์ทะเลที่ปนเปื้อนไมโครพลาสติกจะส่งผลต่อมนุษย์ แต่ก็อยู่ในขั้นตอนการศึกษา คาดว่าอย่างน้อย 5-10 ปี เพราะมนุษย์เป็นสัตว์ใหญ่ ก่อนที่จะเห็นผลใช้เวลาช้ากว่าการทดลองในสัตว์เล็ก
แต่ก็ใช่ว่าจะไม่น่ากังวล ดร.สุชนาเผยว่า มีการคาดการณ์ถึงผลที่อาจเกิดขึ้นต่อมนุษย์เอาไว้ 3 ทาง คือ
- หากได้รับประทานสิ่งที่ปนเปื้อนไมโครพลาสติกเข้าไปปริมาณมากอย่างสม่ำเสมอ อาจทำให้เป็นโรคภูมิแพ้ได้ง่ายขึ้น
- อาจก่อให้เกิดมะเร็งในกระเพาะอาหาร
- ส่งผลต่อระบบไหลเวียนโลหิต ด้วยขนาดที่เล็กเท่าแบคทีเรียหรือไวรัส ก็อาจสามารถเข้าไปในเส้นเลือดได้ ร้ายแรงที่สุดอาจส่งผลต่อการเปลี่ยนแปลงทางพันธุกรรม
"ยังเป็นเพียงการคาดการณ์ในวงการวิทยาศาสตร์ ยังไม่ได้ข้อสรุป จึงไม่ควรตื่นตระหนก แต่ควรตระหนักและตื่นตัว เพราะขยะลงไปในทะเลมันเยอะเหลือเกิน แล้วสุดท้ายผลกระทบก็จะย้อนกลับมาหาเรา" ดร.สุชนา กล่าวทิ้งท้าย

ที่มาของภาพ, ศูนย์ปฏิบัติการอุทยานแห่งชาติทางทะเล ที่ 3
ไมโครพลาสติกในอุจจาระคน
ก่อนหน้านี้บีบีซีรายงานว่า นักวิจัยจากมหาวิทยาลัยการแพทย์แห่งกรุงเวียนนา (Medical University of Vienna) และสำนักสิ่งแวดล้อมของออสเตรีย (Environment Agency Austria) ได้พบไมโครพลาสติกในอุจจาระคน
โดยการศึกษานำร่องนี้เป็นการสังเกตการณ์ผู้เข้าร่วมการศึกษา 8 คนจากหลายประเทศ วิธีการศึกษาคือให้ผู้เข้าร่วมการศึกษาทั้ง 8 จดบันทึกการรับประทานอาหารในแต่ละวันเป็นเวลา 1 สัปดาห์ก่อนที่จะมีการเก็บตัวอย่างอุจจาระ
จากการจดบันทึกพบว่า ผู้เข้าร่วมการศึกษาทุกคนมีการสัมผัสกับพลาสติก ด้วยการบริโภคอาหารที่ห่อด้วยพลาสติก หรือดื่มน้ำจากขวดพลาสติก ไม่มีใครเป็นมังสวิรัติ และในจำนวนผู้เข้าร่วมการศึกษา 6 คน บริโภคปลาทะเล

ที่มาของภาพ, Getty Images
ภายหลังการวิเคราะห์ตัวอย่างอุจจาระ มีผลทดสอบเป็นบวกต่อการทดสอบหาไมโครพลาสติก และพบพลาสติกที่แตกต่างกันสูงสุด 9 ชนิด มีขนาดตั้งแต่ 50-500 ไมครอน
ดร. ฟิลิปป์ ชอวาบึล ผู้นำการวิจัย กล่าวว่า "นี่เป็นครั้งแรกที่มีการศึกษาในลักษณะนี้ และยืนยันถึงสิ่งที่เราตั้งข้อสงสัยมานานว่า พลาสติกเข้าไปถึงลำไส้ของมนุษย์ สิ่งที่น่ากังวลอย่างหนึ่งคือ มันจะส่งผลต่อเราอย่างไร โดยเฉพาะผู้ป่วยด้วยโรคทางเดินอาหาร"
"ขณะที่การศึกษาในสัตว์พบว่า พลาสติกกระจุกตัวอยู่มากที่สุดในลำไส้ อนุภาคพลาสติกที่เล็กที่สุดสามารถเข้าสู่กระแสเลือด ระบบน้ำเหลือง และแม้แต่เข้าไปในตับได้ด้วย ตอนนี้เรามีหลักฐานเป็นครั้งแรกว่า มีไมโครพลาสติกอยู่ในมนุษย์ เราจำเป็นต้องวิจัยต่อไปเพื่อทำความเข้าใจผลกระทบต่อสุขภาพของมนุษย์"




























