கட்டுப்படாத காசநோய்க்கு மரபணு மூலக்கூற்று சிகிச்சை
மருந்துக்கு கட்டுப்படாத தீவிர காசநோயை கண்டுபிடித்து சிகிச்சையளிக்கும் முறையில் பிரிட்டன் விஞ்ஞானிகள் மிகப்பெரிய கண்டுபிடிப்பு ஒன்றை நிகழ்த்தியிருக்கிறார்கள்.
உலகிலேயே முதல்முறையாக மரபணு மூலக்கூற்று கட்டமைப்பை பயன்படுத்தி காசநோயை துல்லியமாகவும் விரைந்தும் கண்டுபிடிக்க இவர்கள் வழி செய்திருக்கிறார்கள்.
இதன் மூலம் சரியான சிகிச்சைக்காக மாதக்கணக்கில் காத்திருக்கவேண்டிய நிலைமையை மாற்றி ஒரே வாரத்தில் சரியான மருந்தை கண்டறிய வழி செய்திருக்கிறார்கள்.
நூறு ஆண்டுகளுக்கு முன் காசநோயிலிருந்து மீள நல்ல ஓய்வும் சுத்தமான காற்றும் சிகிச்சையாக அளிக்கப்பட்டன. தொழில்நுட்ப வளர்ச்சியால் அதில் ஏராள முன்னேற்றங்கள் ஏற்பட்டுள்ளன.
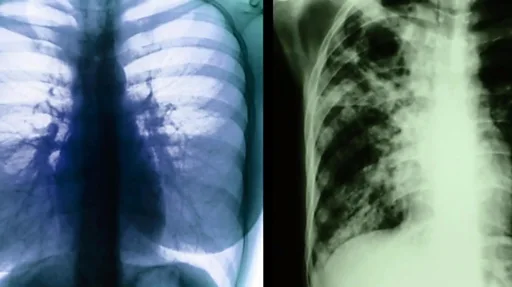
எக்ஸ்ரேவைக்கொண்டு காசநோயை கண்டறிய முடிந்ததன் விளைவாக ஆயிரத்து தொள்ளாயிரத்து எழுபதுகளில் பிரிட்டனில் காசநோய் பாதிப்பு பெருமளவு சரிந்தது.

ஆனால் சமீப ஆண்டுகளில் மருந்துக்கு கட்டுப்பட மறுக்கும் காசநோயால் கவலை அதிகரித்துள்ளது.
தற்போது ஆக்ஸ்போர்டிலும் பிர்மிங்க்ஹாமிலும் உள்ள இளம் தலைமுறை விஞ்ஞானிகள் புதிய கண்டுபிடிப்பு மூலம் அதற்கு தீர்வுகாண முயன்றுள்ளனர்.
உலகிலேயே முதல்முறையாக மரபணு மூலக்கூற்று கட்டமைப்பை பயன்படுத்தி காசநோயை துல்லியமாகவும் விரைந்தும் கண்டுபிடிக்க இவர்கள் வழி செய்திருக்கிறார்கள்.
மேற்கு ஐரோப்பாவிற்குள் பிரிட்டனில் தான் காசநோய் பாதிப்பு அதிகம். பிரிட்டனுக்குள் பிர்மிங்காம் நகரமே மோசமாக பாதிக்கப்பட்ட இடம்.

பிர்மிங்காமில் எண்பது ஆண்டுகளாக செயற்படும் காசநோய் சிறப்பு மருத்துவமனையில் அளிக்கப்படும் சிகிச்சைமுறைகளில் இந்த கண்டுபிடிப்பு மிகப்பெரிய மாற்றத்தை ஏற்படுத்தியுள்ளது.
புதிய கண்டுபிடிப்பு காரணமாக, மருந்துக்கு கட்டுப்பட மறுக்கும் காசநோயாளர்கள் மாதக்கணக்கில் மருத்துவமனையில் தங்கி சிகிச்சைபெறுவதற்கு பதில், இனிமேல் ஒரே ஒரு வாரகாலம் மருத்துவமனைக்குள் சிகிச்சை பெற்று வீடு திரும்ப வழி பிறந்திருக்கிறது. வீட்டிலிருந்தபடியே அவர்கள் சிகிச்சையை தொடரமுடியும்.

































