Краткая история попыток залезть под черепную коробку

Автор фото, SPL
- Автор, Мелисса Хогенбум
- Место работы, BBC Earth
В историю изучения человеческого мозга вписано немало любопытных страниц - от псевдонауки френологии до вклада группы "Битлз" в развитие компьютерной томографии. Что же происходит в наших головах? Благодаря таким новым технологиям, как компьютерная томография, мы можем ответить на этот вопрос, считает корреспондент <link type="page"><caption> BBC Future.</caption><url href="http://www.bbc.com/future" platform="highweb"/></link>
Но так было не всегда. За прошедшие столетия человечество пыталось понять принципы работы "серого вещества" и другими способами.
Чтобы больше узнать об этом, я побеседовала со специалистами лондонского Музея науки, которые рассказали мне о предметах и технологиях, в разное время использовавшихся для изучения человеческого мозга.
<italic><link type="page"><caption> (Другие статьи сайта BBC Future на русском языке)</caption><url href="http://www.bbc.co.uk/russian/topics/vert_fut" platform="highweb"/></link></italic>
Я также пообщалась с учеными, специализирующимися на сканировании головного мозга, поведавшими о перспективах развития нейронаук.
"Шишковедение"
Моя экскурсия в Музей науки началась со знакомства с хранящейся в нем коллекцией керамических голов разных размеров и форм.
Хранитель музея Кэти Дэйбин объяснила мне, что подобные экспонаты изготавливали приверженцы френологии, которую в свое время называли наукой о разуме.
Френология зародилась в Европе в конце XVIII в. - ее адепты полагали, что форма черепа дает представление о личности и психических особенностях его владельца.

Автор фото, SPL
Считалось, что френологи способны получить представление о психике человека путем измерения и изучения "шишек" - неровностей на внешней поверхности его черепа.
"На основании внешнего строения черепа делалось заключение об умственном состоянии человека", - говорит Дэйбин.
Владельцу коллекции Уильяму Бэлли пришлось немало потрудиться, чтобы ее собрать.
Некоторые экспонаты были получены им от людей, интересовавшихся собственными "френологическими особенностями", другие же представляют собой копии с гипсовых слепков черепов покойных, к которым у него был широкий доступ.
Говорят, Бэлли хвастался, что в свое время снял слепки с черепов 600 преступников, включая воров и убийц.
К 1840 гг., всего через полвека после появления френологии, ее развенчали как лженауку. Шишковедение, как начали презрительно называть френологию, вышло из моды, говорит Дэйбин.
Ученые же сконцентрировались на изучении историй болезни реальных пациентов с нарушенными мозговыми функциями.

Автор фото, SPL
Такие исследователи, как французский хирург Поль Брока, начали подозревать, что разные отделы головного мозга отвечают за разные функции.
Брока пришел к заключению, что нарушение речи у некоторых из его пациентов связано с нарушением работы определенных зон мозга.
Хотя френология и оказалась дискредитированной, мысль о том, что некоторые особенности поведения человека связаны с работой определенных участков мозга, получила дальнейшее развитие.
Впрочем, сама по себе эта гипотеза не давала ученым возможность изучить мозг в процессе активной умственной деятельности.
Роль "Битлз" в современной науке
Лишь в 1920 гг. им стала доступна электроэнцефалография (ЭЭГ) - технология считывания электрических сигналов мозговой активности.
Поначалу ЭЭГ применяли в довольно необычных целях - например, чтобы посмотреть, насколько подходят друг другу обрученные, или для изучения мозга преступника.
Однако эту технику стали использовать и с целью исследования мозговой активности пациентов с некоторыми заболеваниями (например, с эпилепсией), чтобы понять, что происходит с мозгом во время припадков.

Автор фото, SPL
Самые первые электроэнцефалографы предполагали довольно инвазивную с точки зрения пациента процедуру. Во время экскурсии по обширным запасникам Музея науки Дэйбин показала мне один из таких древних аппаратов.
Электроэнцефалографы прошлого использовались как для считывания мозговых сигналов, так и для стимулирования мозговой активности.
Но только лишь при помощи электрических сигналов ученые все равно не могли получить полную картину мозговой деятельности. Требовалось что-то новое.
В 1960-х гг. Годфри Хаунсфилд, работавший инженером в британской компании EMI, разработал технологию сканирования человеческого тела - в том числе и мозга - при помощи рентгеновских лучей. Эта технология более известна как компьютерная томография.
Поначалу у EMI не было достаточного бюджета для внедрения нового изобретения, но затем звукозаписывающее подразделение компании, расположенное на лондонской Эбби Роуд, подписало контракт с группой "Битлз".

Автор фото, SPL
EMI заработала на этом сотрудничестве миллионы, которые и позволили компании выпустить компьютерный томограф на рынок в начале 1970-х. (Впрочем, кое-кто полагает, что контракт с "Битлз" все-таки внес гораздо меньшую лепту в развитие данной технологии, чем обычные британские налогоплательщики.)
В Музее науки хранится один из самых первых в мире компьютерных томографов - и это очень большой аппарат (см. видео <link type="page"><caption> в статье на сайте BBC Future</caption><url href="http://www.bbc.com/future/story/20151028-a-brief-history-of-our-desire-to-peer-into-the-brain" platform="highweb"/></link>).
Что там светится?
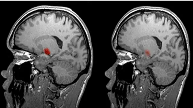
Новейшая на сегодняшний день технология сканирования головного мозга известна как функциональная магнитно-резонансная томография (фМРТ).
Я встретилась с нейробиологом Джо Девлином в Университетском колледже Лондона, где он на практике показал мне работу такого томографа.
Благодаря этой новейшей технологии нейробиологи могут следить за изменениями насыщенности мозга кислородом.

Автор фото, SPL
Области мозга, занятые решением определенных задач - например, лингвистических - расходуют больше энергии, поэтому и циркуляция крови в них будет повышенной. Томограф как раз и отслеживает приток крови к определенным участкам мозга.
"На экране можно видеть, что участки мозга, отвечающие за выполнение текущего задания, интенсивно светятся", - говорит Девлин.
Так, при необходимости подбирать слова при разговоре активируются одни области мозга, а при простом счете - монотонной задаче, характеризующейся низкой мыслительной активностью - другие.
Хотя данная технология и дает ученым представление о том, какие области мозга задействованы в выполнении той или иной задачи, томограф, разумеется, не способен читать человеческие мысли.
Тем не менее, эти аппараты революционизировали изучение головного мозга. "Раньше мы имели дело с пациентами, перенесшими мозговые травмы - мы могли определить область повреждения и скореллировать эту информацию с наблюдениями за тем, как изменилось поведение больного", - говорит Девлин.

Автор фото, SPL
Теперь магнитно-резонансная томография дает исследователям возможность заглянуть внутрь здорового мозга и понаблюдать за тем, каким образом задействуются разные его отделы и как они взаимосвязаны друг с другом.
Так какое же понимание процессов в человеческом мозге принесет нам будущее?
И ЭЭГ, и компьютерная томография до сих пор применяются параллельно друг другу и останутся в эксплуатации в обозримом будущем. Во многих больницах используются компьютерные томографы, а к электроэнцефалографам прибегают в исследовательских целях.
Так, ученые изучают возможность применения неинвазивных способов электрической стимуляции мозга для смягчения симптомов болезни Паркинсона или депрессии.
Не будут ли последующие поколения относиться к нашим попыткам разгадать загадки мозговой деятельности так же снисходительно, как мы относимся к френологии?
Пусть так. Ясно одно - человечество никогда не оставит попыток раскрыть секреты серого вещества, скрытого под толщей черепной коробки.
<italic>Прочитать <link type="page"><caption> оригинал этой статьи</caption><url href="http://www.bbc.com/future/story/20151028-a-brief-history-of-our-desire-to-peer-into-the-brain" platform="highweb"/></link> на английском языке можно на сайте <link type="page"><caption> BBC Future</caption><url href="http://www.bbc.com/future" platform="highweb"/></link>.</italic>





















