Defenders: Busting the Bad GuysSeries 6Episodes Episode guide
- All
- Available now (0)
- Next on (0)
Back up to: Defenders: Busting the Bad Guys
![]()
Holiday Hell
10/10The holiday scam raking in millions, leaving families stranded in the sun.
![]()
River of Sewage
9/10Shocking river pollution – but is Britain’s biggest water company to blame?
![]()
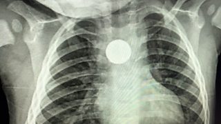
Deadly Toy Stories
8/10Buyers beware! The lethal danger of button batteries in toys.
![]()
Child Vaping Crisis
7/10Exposing the shops selling illegal vapes to schoolchildren.
![]()
Death on the Railway
6/10A young boy is electrocuted on a train track. But who is to blame?
![]()
Asbestos Dump
5/10Dangerous asbestos is found dumped in a storage container. But who put it there?
![]()
Forever Home Heartbreak
4/10A young couple are devastated when a cowboy builder ruins their home.
![]()
Driving Test Cheats
3/10The Defenders catch a man helping people cheat their driving test.
![]()
Danger in the Skies
2/10Can the Defenders find a rogue drone pilot who nearly caused a mid-air collision?
![]()
Falling off the Back of a Lorry
1/10A couple have a lucky escape when paving slabs fall off the back of a lorry.









