Main content

Deportation and Brain Tumours
Jeremy discusses whether men who view child sex abuse images should go to prison, Irene Clennell's deportation, brain tumours and a dog that's been evicted from a London flat.
Last on
Tue 28 Feb 201712:00
BBC Radio 2
More episodes
![]()
On Jeremy Vine
Jeremy discusses paedophiles, Irene Clennell, brain tumours and pet-free flats.
![]()
Get in Touch With The Show
Phone, text or email us your views.
![]()
Should All Paedophiles go to Prison?
We ask whether it's time to only lock up high-risk paedophiles.
![]()
Grandmother Deported To Singapore
Irene Clennell, who lived in the UK for 27 years, has been deported to Singapore.
![]()
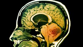
Brain Tumours
In today's medical, we look at brain tumours.
![]()
Pet-Free Flats
A couple have lost the fight to keep their pet dog in their million pound London flat.
Music Played
![]()
Dire Straits
Sultans Of Swing
- (Single).
- Vertigo.
- 5.
![]()
Stevie Wonder
Faith (feat. Ariana Grande)
- Sing O.S.T. (Various Artists).
- Island.
![]()
Hayseed Dixie
Buffalo Soldier
- Free Your Mind…and Your Grass Will Follow.
- Hayseed Dixie Records.
![]()
Maria Muldaur
Midnight At The Oasis
- Maria Muldaur.
- Reprise.
![]()
Men at Work
Down Under
- Fantastic 80's Disc 1 (Various Artis.
- Columbia.
![]()
ABBA
S.O.S.
- Abba Gold.
- Polydor.
- 010.
![]()
Ed Sheeran
How Would You Feel (Paean)
- ÷ Divide.
- Atlantic.
![]()
Everything but the Girl
Missing (Todd Terry Remix)
Remix Artist: Todd Terry.- Passion (Various Artists).
- Universal.
![]()
The Human League
Mirror Man
- Rip It Up (Various Artists).
- EMI.
![]()
Jack Savoretti
Only You
- (CD Single).
- BMG.
- 001.
![]()
The Lightning Seeds
Pure
- Lightning Seeds - Cloudcuckooland.
- Ghetto.
Broadcast
- Tue 28 Feb 201712:00BBC Radio 2





