Pencuri kalung emas di India dipaksa makan pisang

Sumber gambar, bbc
Di India, seorang pencuri yang menelan kalung emas dipaksa makan pisang dan cairan khusus, dengan harapan dia akan mengeluarkannya saat buang air besar.
Anil Yadav ditangkap hari Senin (27/04) setelah dikejar polisi dan masyarakat ketika dia merampas kalung senilai 63.000 rupees atau Rp12,8 juta dari seorang wanita.
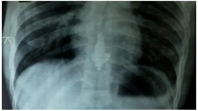
Dia diberikan makanan khusus setelah pemindaian sinar X tubuhnya menunjukkan kalung berada di dalam tubuhnya.
Kalung yang memiliki liontin besar tersebut sekarang sudah mencapai lambungnya.
Yadav, 30 tahun, merenggut kalung seberat 25 gram dari seorang wanita berumur 52 tahun saat dia berjalan pulang di daerah Sion, Mumbai, kata petugas polisi Rahul Pawar kepada BBC.
"Setelah wanita itu berteriak meminta tolong, patroli polisi kami dan anggota masyarakat mengejar dan menangkapnya," kata Pawar.
"Kami menggeledahnya dengan seksama di kantor polisi tetapi tidak menemukan kalung. Kemudian orang-orang yang menangkapnya mengatakan kepada kami bahwa mereka melihatnya menelan sesuatu," katanya.



























