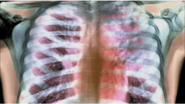
दोबारा क्यों जकड़ती है टीबी?

शोध में पता चला है कि क्षय रोग के जीवाणु इलाज के दौरान बचाव के लिए अस्थि मज्जा की मूल कोशिकाओं में छुप जाते हैं और बाद में फिर से प्रकट होते हैं, और यही वजह है कि लोगों में इलाज के बाद भी टीबी की शिकायतें दोबारा बड़े पैमाने पर पाई जाने लगी हैं.
विश्व में साल भर में टीबी के रोग से 19 लाख लोगों की मौत होती है.
विज्ञान की पत्रिका 'साइंस ट्रांसलेशनल मेडिसिन' में छपे अध्ययन के मुताबिक़ शरीर के भीतर मौजूद फिर से पनपने की प्रक्रिया जीवाणु को सक्रिय होने में मदद करती है.
हाल के दिनों में टीबी के मरीज़ ठीक होने के बाद फिर से बीमारी से ग्रसित हो गए हैं, और दोबारा उनके इलाज में बहुत दिक्क़ते आती हैं क्योंकि उनपर कई तरह के एंटीबॉयटिक का असर ही ख़त्म हो जाता है.
मूल सिद्धांत
शोध के मूल सिद्धांत का आभास भारतीय वैज्ञानिक बिकुल दास को 15 साल पहले हुआ था.
समाचार एजेंसी प्रेस एसोशिएसन ने बिकुल दास के हवाले से कहा है, "हमें कुछ रोगियों की अस्थि मज्जाओं (बोन मैरो) की बायप्सी में क्षय रोग के जीवाणु देखने को मिले. इन रोगियों के टेस्ट कुछ दूसरे रोग के संबंध में करवाए गए थे."
उन्होंने कहा, "ये खोज अनपेक्षित था लेकिन मुझे ख़्याल आया कि हो सकता है कि जीवाणु मूल कोशिकाओं में छुप जाते हों."
शोध के लिए अमरीका के स्टैंडफोर्ड यूनिवर्सिटी की टीम ने अरूणाचल प्रदेश के इदु-मिशमिश आदिवासियों के बीच रोग को लेकर काम किया, जिसने रिसर्च के मूल सिद्धांत को स्थापित करने में सहायता की.
हालांकि टीबी का इलाज पिछले 50 साल पहले खोज लिया गया था, दुनियां भर में हर साल 22 लाख लोगों को ये रोग होता है जिनमें से 19 लाख लोग मौत की नींद सो जाते हैं.












