สมองที่เหลือแค่ครึ่งซีก ทำงานเชื่อมโยงกันได้แข็งแกร่งยิ่งกว่าสมองปกติ

ที่มาของภาพ, CALTECH
สมองที่สมบูรณ์ของคนเราประกอบไปด้วยซีกซ้ายและซีกขวา แต่หากซีกใดซีกหนึ่งเสียหายไปทั้งแถบ ก็น่าจะทำให้การใช้ความคิด ความทรงจำ และการควบคุมส่วนต่าง ๆ ของร่างกายขาดตกบกพร่องอย่างรุนแรง
แต่อย่างไรก็ตาม ผลการศึกษาล่าสุดกลับพบความมหัศจรรย์ของสมองมนุษย์ที่พิสูจน์แล้วว่า แม้เนื้อสมองจะเหลืออยู่เพียงครึ่งเดียว แต่มันสามารถจะปรับตัวให้ทำงานเชื่อมโยงกันได้อย่างแข็งแกร่งขึ้น เพื่อชดเชยส่วนที่ขาดหายไป และดูเหมือนว่าจะทำงานได้อย่างแข็งขัน ยิ่งกว่าสมองที่เป็นปกติของคนทั่วไปด้วยซ้ำ
ทีมนักประสาทวิทยาศาสตร์ จากสถาบันเทคโนโลยีแห่งแคลิฟอร์เนียของสหรัฐฯ หรือแคลเท็ก (Caltech) ตีพิมพ์รายงานวิจัยเรื่องนี้ลงในวารสาร Cell Reports โดยระบุว่าพวกเขาสังเกตเห็นคนไข้โรคลมชักชนิดรุนแรง ซึ่งเข้ารับการรักษาด้วยการผ่าตัดเอาเนื้อสมองออกไปซีกหนึ่ง (Hemispherectomy) สามารถฟื้นตัวได้เองทั้งในด้านการคิด พูด รับรู้ และเคลื่อนไหวร่างกายได้ดีเกินคาด เมื่อเวลาผ่านไประยะหนึ่ง
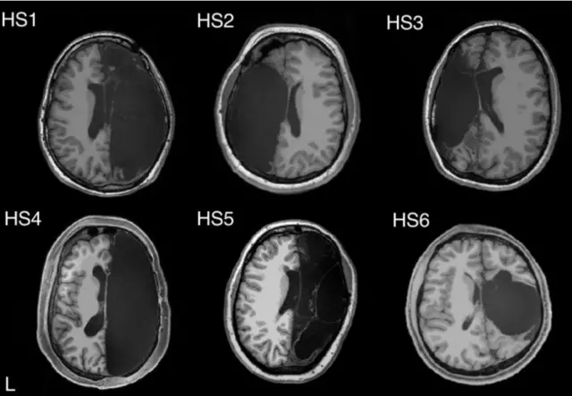
ทีมผู้วิจัยสันนิษฐานว่า การปรับตัวของสมองส่วนที่เหลืออยู่ของคนไข้เหล่านี้ น่าจะมีความเกี่ยวข้องกับเรื่องน่าประหลาดใจดังกล่าว จึงมีการทดลองให้ผู้ที่เคยผ่านการผ่าตัดเอาเนื้อสมองออกซีกหนึ่งในวัยเด็ก 6 ราย เข้ารับการตรวจสมองด้วยเครื่องสแกน MRI และเปรียบเทียบข้อมูลที่ได้กับกลุ่มควบคุมซึ่งมีสมองสมบูรณ์ตามปกติ รวมทั้งเปรียบเทียบกับฐานข้อมูลผลสแกนสมองของชาวอเมริกัน 1,482 คนด้วย
ผลปรากฏว่าในภาวะที่ร่างกายกำลังพักผ่อน สมองครึ่งซีกกลับมีการทำงานตอบสนองเชื่อมโยงกันระหว่างเครือข่ายเซลล์ประสาท 7 กลุ่ม อย่างแข็งขันและแข็งแกร่งเกินคาด โดยมีการแลกเปลี่ยนข้อมูลระหว่างเครือข่ายเซลล์ประสาทที่ทำหน้าที่ต่าง ๆ มากขึ้นกว่าคนทั่วไป ไม่ว่าจะเป็นเครือข่ายการรับรู้ประสาทสัมผัส การควบคุมอารมณ์ การใช้ความทรงจำและสมาธิ ซึ่งโดยปกติแล้วจะต้องใช้การทำงานประสานกันระหว่างสมองสองซีก

ที่มาของภาพ, CALTECH
ดร. ดอริต คลีมานน์ หนึ่งในทีมผู้วิจัยบอกว่า "เป็นเรื่องน่าอัศจรรย์ที่คนซึ่งมีสมองเหลือเพียงครึ่งเดียว สามารถใช้ชีวิตได้แทบจะเหมือนกับคนทั่วไป โดยเครือข่ายเซลล์ประสาทสมองที่เหลืออยู่ปรับตัวให้ทำงานหลายอย่างได้พร้อมกัน เพื่อชดเชยส่วนที่ขาดหายไป รวมทั้งทำให้สมองสามารถใช้ความคิดและดำรงสติสัมปชัญญะอยู่ได้"
ทีมผู้วิจัยจะศึกษาต่อไป เพื่อให้ทราบถึงวิธีที่สมองใช้ในการปรับตัวให้ทำงานได้แม้อยู่ในภาวะไม่สมบูรณ์ ซึ่งอาจนำไปสู่การค้นพบวิธีดูแลรักษาผู้ป่วยโรคสมองหรือผู้ที่สมองได้รับความเสียหาย ให้ฟื้นตัวได้รวดเร็วและดีกว่าที่เป็นอยู่

























