แพทย์อังกฤษเตือนกลั้นจามระวังหลอดลมฉีกขาด

ที่มาของภาพ, GETTY IMAGES
แพทย์อังกฤษพบกรณีประหลาดของชายผู้หนึ่งซึ่งพยายามกลั้นไม่ให้ตัวเองจามออกมา โดยใช้มือบีบจมูกและเม้มปากปิดไว้แน่น ผลที่เกิดขึ้นคือ ลมจากการจามที่รุนแรงไม่มีทางออกและกลับไปดันให้หลอดลมในลำคอฉีกขาด จนเจ้าตัวต้องเข้ารับการรักษาในโรงพยาบาลนานหลายวัน
มีการรายงานกรณีที่พบได้ยากดังกล่าวในวารสารการแพทย์ BMJ Case Reports โดยแพทย์ประจำโรงพยาบาลแห่งหนึ่งในเมืองเลสเตอร์ของสหราชอาณาจักรระบุว่า ได้รับตัวคนไข้ชายวัย 34 ปีผู้หนึ่งเข้ารับการรักษา หลังจากเขามีอาการเจ็บคอฉับพลันรุนแรง กลืนอาหารและเปล่งเสียงพูดลำบาก
คนไข้แจ้งว่ามีอาการดังกล่าวหลังพยายามกลั้นจาม โดยรู้สึกว่ามีบางสิ่งในลำคอแตกออก ก่อนจะมีอาการอื่น ๆ ตามมา แพทย์ตรวจพบว่าบริเวณลำคอมีอาการบวมและช้ำอย่างชัดเจน
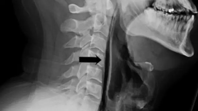
ผลการตรวจเอกซเรย์พบว่า มีอากาศรั่วไหลออกจากหลอดลมคอ (Trachea) ซึ่งเป็นอวัยวะส่วนที่บางครั้งเรียกกันว่าท่อลม (Windpipe) โดยอากาศออกมาจากรอยฉีกขาดและเข้าไปในเนื้อเยื่ออ่อนโดยรอบ
ชายคนดังกล่าวซึ่งไม่สามารถกลืนอาหารได้ ต้องรับอาหารเหลวผ่านทางท่อสายยางเป็นเวลาหนึ่งสัปดาห์ เพื่อให้เนื้อเยื่อส่วนที่ฉีกขาดค่อย ๆ สมานตัวเข้าด้วยกันจนหาย หลังจากนั้นคนไข้กลับไปพักฟื้นต่อที่บ้านจนเป็นปกติ

ที่มาของภาพ, BMJ
แพทย์จากแผนกหู คอ จมูก ของโรงพยาบาล Leicester Royal Infirmary ที่รักษาชายคนดังกล่าวบอกว่า "การพยายามกลั้นจามโดยปิดปากและบีบจมูกเอาไว้แน่นนั้น เป็นเรื่องเสี่ยงอันตรายที่ควรหลีกเลี่ยงแม้กรณีเช่นนี้จะพบได้ยากก็ตาม"
"การจามนั้นเป็นการแพร่เชื้อโรค แต่ปล่อยให้มันออกมาตามธรรมชาติจะดีกว่า เพราะนอกจากหลอดลมคออาจได้รับความเสียหายแล้ว ยังอาจเป็นอันตรายต่อหูและเส้นเลือดที่โป่งพองในสมองอาจแตกออกได้"
แพทย์แนะนำให้ใช้เพียงกระดาษทิชชูปิดปากและจมูกขณะจาม เพื่อป้องกันการแพร่เชื้อ จากนั้นให้นำเศษกระดาษที่ใช้แล้วไปทิ้งลงถังขยะที่มิดชิด และล้างมือให้สะอาดเพื่อสุขอนามัยด้วย






























