หมอทำสำเร็จ สลับหัวแม่เท้ามาที่มือหนุ่มออสซี่ หลังเสียหัวแม่โป้งเพราะถูกพ่อวัวอัด

ที่มาของภาพ, SOUTH EASTERN SYDNEY LOCAL HEALTH DISTRICT
หนุ่มชาวออสเตรเลียยอมให้แพทย์ผ่าตัดเอานิ้วหัวแม่เท้ามาใส่แทนนิ้วหัวแม่มือ หลังนิ้วขาดจากการถูกพ่อวัวเตะอัดเข้ากับรั้วฟาร์ม
แซค มิตเชล วัย 20 ปี เกษตรกรฟาร์มปศุสัตว์ในเขตชนบททางตะวันตกของออสเตรเลีย ถูกพ่อวัวเตะมือของเขาอัดเข้ากับรั้ว ขณะทำงานอยู่ในฟาร์มเมื่อเดือน เม.ย.ที่ผ่านมา จนเป็นเหตุให้นิ้วโป้งของมือข้างขวาขาด หลังเกิดเหตุแพทย์พยายามผ่าตัดเพื่อทำการต่อนิ้วโป้งให้เขาถึง 2 ครั้ง แต่ไม่สำเร็จ ก่อนที่แพทย์จะเลือกใช้วิธี ผ่าตัดนำเอานิ้วโป้งที่เท้าข้างขวาของหนุ่มออสเตรเลียรายนี้ มาต่อแทนที่นิ้วโป้งที่หลุดออกไป
มิตเชล เล่าเหตุการณ์ระทึกหลังนิ้วมือของเขาขาดกระเด็นออกไปว่า เพื่อนคนงานต่างกุลีกุจอรีบหยิบนิ้วโป้งของเขามาเก็บไว้ในกระติกน้ำแข็งทันทีทันใด โดยเอาน้ำแข็งโปะไว้ด้วย ก่อนที่เขาจะถูกนำตัวส่งไปยังโรงพยาบาลรัฐประจำเมืองเพิร์ธ แต่ความพยายามต่อนิ้วโป้งให้กลับไปอยู่ยังตำแหน่งเดิมไม่เป็นผล เขาถูกส่งตัวไปยังโรงพยาบาลอีกแห่ง โดยแพทย์ได้เสนอวิธีเอานิ้วเท้ามาต่อแทน นั่นทำให้เขาลังเลในตอนแรก ก่อนตัดสินใจยินยอมเข้ารับการปลูกถ่ายนิ้วตามที่แพทย์เสนอ
นพ.ฌอน นิคลิน ศัลยแพทย์พลาสติกผู้ดูแลการผ่าตัด บอกว่า เขาไม่แปลกใจเลยที่คนไข้จะไม่ยอมรับวิธีการนี้ในช่วงแรก เพราะว่ามันออกจะเป็นความคิดที่ดูบ้าๆ เล็กน้อย คนไข้ไม่ต้องการให้ส่วนอื่นของร่างกายบาดเจ็บ อย่างไรก็ตาม แพทย์ผู้นี้บอกว่า หากไม่ผ่าตัดเอานิ้วเท้ามาต่อใหม่ แม้ว่าจะมีนิ้วมือที่ใช้งานได้ดี 4 นิ้ว แต่หากไม่มีนิ้วโป้งสำหรับหยิบหนีบของบางสิ่งบางอย่างขึ้นมา มือข้างนั้นก็จะสูญเสียความสามารถในการใช้งานไปอย่างมาก

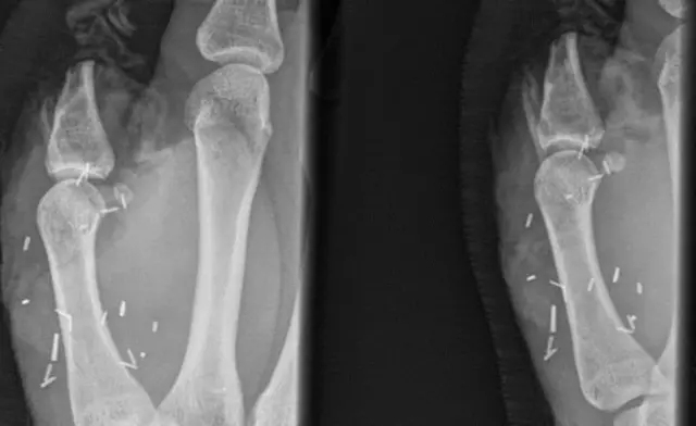
ที่มาของภาพ, An X-ray showing Mr Mitchell's injured handImage c
ด้านโรงพยาบาลซิดนีย์อาย ระบุว่า มีไม่มากที่การผ่าตัดปลูกถ่ายนิ้วจะประสบความสำเร็จ 100 เปอร์เซ็นต์ เหมือนกับกรณีของหนุ่มออสเตรเลียรายนี้ แม้ว่าการตัดนิ้วมาต่อใหม่จะเป็นวิธีการที่ทำกันปกติในทางการแพทย์
"คนส่วนใหญ่คิดว่าวิธีการนี้จะกระทบต่อการทรงตัวและการเดิน แต่โดยทั่วไปแล้วไม่กระทบ" นพ.นิคลิน กล่าว
ทั้งนี้แพทย์ระบุว่านายมิตเชล ต้องพักฟื้นฟูบาดแผลหลังผ่าตัดเป็นเวลา 12 เดือน แต่หลังจากผ่าตัด 2 สัปดาห์ พบว่า เขาฟื้นตัวได้อย่างรวดเร็ว โดยแม่ของเขาบอกว่าการเดินของเขาแทบจะกลับมาเป็นปกติแล้ว
























