การต่อสู้ของลูกสาวเพื่อแม่ที่ป่วย “มะเร็งปอดระยะสุดท้าย” จนมีชีวิตเป็นสุขมาเกือบ 10 ปี

ที่มาของภาพ, Art For Cancer
- Author, ทศพล ชัยสัมฤทธิ์ผล
- Role, ผู้สื่อข่าวบีบีซีไทย
มะเร็งปอดระยะสุดท้าย หรือ มะเร็งปอดระยะที่ 4 เป็นคำวินิจฉัยที่ทุกคนไม่อยากได้ยิน เพราะนั่นหมายถึงโรคร้ายที่เป็นอยู่ ได้กระจายออกนอกช่องอกไปยังอวัยวะอื่น ๆ จนเกินกว่าที่จะรักษาให้หายด้วยการผ่าตัด หรือเคมีบำบัด (Chemotherapy)
ความรู้สึกแรกของ ดร.พญ.ประกายทิพ สุศิลปรัตน์ หรือ “หมอบัว” เมื่อพามารดาไปตรวจสุขภาพประจำปี แต่กลับพบว่า คุณแม่วัย 71 ปี ป่วยเป็นมะเร็งปอดระยะสุดท้าย คือ “ธรรมชาติเลย เจอระยะสี่ก็ตกใจ”
แต่อีกความคิดที่ตามมาคือ “ต้องตั้งสติ พาแม่เข้ากระบวนการให้เร็วที่สุด... รู้อยู่แล้วว่าต้องแข่งกับเวลา”
จากวันที่แม่ได้รับการวินิจฉัยเป็นโรคมะเร็งปอดระยะที่ 4 เมื่อ 2556 หมอบัวต่อสู้ร่วมกับคุณแม่มาโดยตลอด 9 ปี และแม้จะเป็นมะเร็งระยะสุดท้ายที่ไร้วิธีรักษาให้หาย แต่มารดา คือ นางกัลยา สุศิลปรัตน์ ยังมีชีวิตเป็นสุข และก้าวสู่วัย 80 ปีในร่างกายที่มะเร็งปอดยังไม่หายไป
บีบีซีไทยชวนติดตามเรื่องราวการต่อสู้ และการให้พลังใจ ของสองแม่ลูกในจังหวัดพระนครศรีอยุธยา ที่เปิดเพจ “สูสิแม่ ก็แค่มะเร็ง” มานานหลายปี เพื่อแบ่งปันเรื่องราว และสร้างความตระหนักรู้ว่า มะเร็งระยะสุดท้าย ยังไม่ใช่ “ท้ายสุดของชีวิต” ในห้วงเวลาที่สังคมไทยสนใจกับ “มะเร็งปอด” มากขึ้น หลังแพทย์หนุ่มอนาคตไกลใน จ.เชียงใหม่ ป่วยเป็นมะเร็งปอดระยะสุดท้าย แม้ว่าจะไม่สูบบุหรี่และรักษาสุขภาพเป็นอย่างดี
จาก “สู้ดิวะ” ถึง “สู้สิแม่ ก็แค่มะเร็ง”
เมื่อวันที่ 10 พ.ย. อาจารย์นายแพทย์ กฤตไท ธนสมบัติกุล อาจารย์แพทย์ ภาควิชาเวชศาสตร์ครอบครัว คณะแพทย์ศาสตร์ มหาวิทยาลัยเชียงใหม่ อายุ 28 ปี เปิดเผยเรื่องราวว่า เขาเป็น “มะเร็งปอดระยะสุดท้าย” ทั้งที่กำลังก้าวสู่จุดสูงสุดของชีวิต กำลังจะแต่งงานและประสบความสำเร็จ
“ผมมีสุขภาพที่โคตรแข็งแรง การงานที่โคตรมั่นคง และมีอนาคตที่สดใส” แต่ “ผมก็จั่วได้การ์ดที่ชื่อว่า มะเร็งระยะสุดท้าย... มนุษย์เรามันโคตรเปราะบางเลย” อ.นพ.กฤตไท ระบุ
ความรู้สึกแรกของ หมอบัว หลังทราบข่าวร้ายของ อ.นพ.กฤตไท คือ “ตกใจและเสียดาย” เพราะเขาเป็นแพทย์และอาจารย์แพทย์ด้วย จะสร้างคุณูปการกับประเทศได้อีกมาก ไม่ว่าจะช่วยชีวิตผู้ป่วย และสร้างนักศึกษาแพทย์ให้กลายเป็นแพทย์คุณภาพรุ่นใหม่ ๆ ในสังคม

ที่มาของภาพ, สู้ดิวะ
แต่อีกคำถามที่เธออยากให้สังคมขบคิด คือ การเจอผู้ป่วยมะเร็งปอด โดยเฉพาะระยะสุดท้าย ในประชาชนที่อายุยังไม่มาก มีสาเหตุและปัจจัยจากอะไร อาทิ “การกลายพันธุ์ของยีนเอง หรือปัจจัยสิ่งแวดล้อม ที่พูดกันเยอะ ๆ คือ พีเอ็ม 2.5 (PM2.5) สิ่งปนเปื้อน แร่ใยหิน... มลพิษในอากาศมันเยอะเหลือเกิน”
“ถ้าทุกคนพูดกันเรื่องนี้ และจริงจังกับการแก้ไข ก็จะเป็นเรื่องดีที่จะปกป้องคนที่จะเป็นกำลังของชาติในอนาคต” หมอบัว บอกกับบีบีซีไทย
สำหรับ หมอบัว ที่ดูแลคุณแม่ที่ป่วยด้วยมะเร็งปอดระยะที่ 4 (สุดท้าย) ซึ่งเป็นระยะเดียวกับกรณี อ.นพ.กฤตไท มาเข้าสู่ปีที่ 10 แล้วนั้น เธอพยายามสร้างความเข้าใจในสังคมมาโดยตลอดว่า ผู้ป่วยมะเร็งปอดระยะที่ 4 ยังมีชีวิตที่เป็นสุขและยืนยาวได้
“คนทั่วไปได้ยินก็ โอ้โห! ระยะ 4 ก็สุดท้ายเลยสิ เหลือเวลานิดเดียว” หมอบัว กล่าว “ในทางการแพทย์เขานับ ระยะที่ 1 ระยะที่ 2 ระยะที่ 3 และระยะที่ 4 สุดท้าย... แต่มันไม่ท้ายสุด ระยะที่ 4 ก็มีตั้งแต่ สี่ต้น ๆ สี่เรื่อย ๆ และระยะที่สุดท้ายจริง ๆ ที่เป็นระยะประคับประคอง”
และด้วยเทคโนโลยีและวิทยาการทางการแพทย์ในปัจจุบัน สามารถทำให้ผู้ป่วยมะเร็งปอดระยะที่ 4 อยู่ได้นานเกิน 5 ปี หรือเกิน 10 ปีนั้น เป็นไปได้ ตัวอย่างที่เห็นได้ชัดคือ คุณแม่ของเธอ

ที่มาของภาพ, สู้สิแม่ ก็แค่มะเร็ง
ข้อมูลบนเว็บไซต์โรงพยาบาลศิริราช ระบุว่า ระยะของมะเร็งปอดชนิดเซลล์ไม่เล็ก แบบที่ อ.นพ.กฤตไท และแม่ของหมอบัว มี 4 ระยะ ดังนี้
ระยะที่ 1 - ก้อนมะเร็งมีขนาดเส้นผ่านศูนย์กลางน้อยกว่าหรือเท่ากับ 5 ซม. และยังไม่แพร่กระจาย
ระยะที่ 2 – ก้อนมะเร็งมีขนาดใหญ่กว่า 5 ซม. ลุกลามไปยังเยื่อหุ้มปอดชั้นนอก และผนังหน้าอก หรือแพร่กระจายไปยังต่อมน้ำเหลืองที่อยู่ใกล้ ๆ กับก้อนมะเร็ง
ระยะที่ 3 - ก้อนมะเร็งมีขนาดใหญ่ขึ้น ลุกลามไปยังอวัยวะข้างเคียง และแพร่กระจายไปที่ปอดกลีบอื่น ๆ ในข้างเดียวกัน หรือแพร่กระจายไปยังต่อมน้ำเหลืองที่กลางช่องอก หรือไกลออกไปจากช่องอกข้างนั้น ๆ
ระยะที่ 4 - มะเร็งที่กระจายออกนอกช่องอกไปยังที่ไกลจากจุดเริ่มต้น และมะเร็งที่กระจายไปที่เยื่อหุ้มปอด หรือแพร่กระจายไปยังอวัยวะอื่น ๆ เช่น ต่อมน้ำเหลืองที่คอ ตับ กระดูก ต่อมหมวกไต และสมอง เป็นต้น
“ผ่าตัดไม่ได้แล้ว” และทางเลือกที่เหลืออยู่
เมื่อทราบว่าคุณแม่ป่วยเป็นโรคมะเร็งปอดระยะที่ 4, หมอบัว และทีมแพทย์ ประเมินแล้วว่า ต้องพูดคุยทำความเข้าใจกับผู้ป่วยตั้งแต่แรกเริ่มว่า กระบวนการรักษาต่อจากนี้ จะเป็นอย่างไร และกระทบต่อการใช้ชีวิตอย่างไรบ้าง ขณะที่ตัวหมอบัวเอง ก็ต้องปรับตัวว่าตนเองจะไม่ได้อยู่ในสถานะ “ลูก” อีกต่อไป แต่จะพ่วง “ผู้ดูแล” ด้วย
“ด้วยความเป็นลูกคนเดียว ต้องพาคุณแม่เข้าสู่กระบวนการทุกอย่างเลย” ตั้งแต่การตรวจชิ้นเนื้อที่ปอด เพื่อตรวจดูว่าเป็นเซลล์ชนิดไหน และมียีนส์กลายพันธุ์หรือไม่ เพื่อจะกำหนดวิธีรักษาที่ดีที่สุด
ในอดีตนั้น การรักษาสำหรับมะเร็งปอดระยะที่หนึ่ง คือ การผ่าตัด หรือหากผ่าตัดไม่ได้ ก็จะเป็นการฉายรังสี ส่วนมะเร็งปอดระยะที่ 2 หรือ 3 นั้น จะเป็นการให้ยาเคมีบำบัด ด้วยการฉีดเข้าไปในระบบไหลเวียนเลือด ซึ่งมีผลข้างเคียงหลายประการ อาทิ อาเจียน อ่อนเพลีย ผมร่วง และภูมิคุ้มกันร่างกายอ่อนแอ จนเสี่ยงต่อการติดเชื้อ

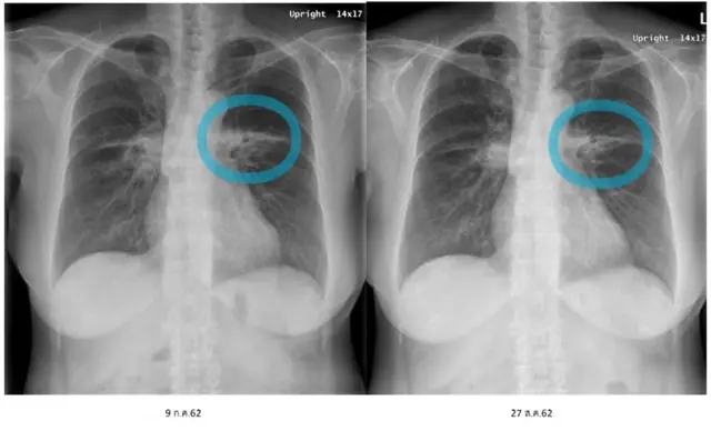
ที่มาของภาพ, สู้สิแม่ ก็แค่มะเร็ง

ที่มาของภาพ, สู้สิแม่ ก็แค่มะเร็ง
“แต่พอมาระยะสี่ ก็เป็นระยะที่ผ่าตัดไม่ได้แล้ว” หมอบัว ยอมรับ “อย่างคุณแม่ มี (มะเร็ง) ก้อนใหญ่อยู่ที่ปอดขวาก้อนหนึ่ง ปอดซ้ายก้อนหนึ่ง และมีจุดเล็ก ๆ กระจายอยู่ที่ชายปอด ไปผ่าทำอะไรไม่ได้”
ทางเลือกรักษาในช่วงต้นตามคำแนะนำของแพทย์เจ้าของไข้ คือ การใช้เคมีบำบัดเพื่อพยายามให้ก้อนมะเร็งเล็กลง แต่แม้จะทำการรักษาไป 3 ครั้ง “โรคของคุณแม่ไม่ตอบสนองต่อการรักษา” แต่เมื่อผลตรวจชิ้นเนื้อพบว่า มียีนกลายพันธุ์ แนวทางรักษาที่เหมาะสมจึงเป็นทานยาที่เรียกว่า “ยามุ่งเป้า”
ยามุ่งเป้าทำลายเซลล์มะเร็ง (Targeted Therapy) เป็นการรักษามะเร็งที่ออกฤทธิ์เฉพาะที่ตัวมะเร็งเป็นหลัก มีผลต่อเซลล์ปกติอื่น ๆ เพียงเล็กน้อย โดยตัวยาส่วนใหญ่ จะอยู่ในรูปของยาทาน วันละ 1 เม็ด มีผลข้างเคียงน้อย และมีประสิทธิภาพดีกว่าเคมีบำบัด
ยามุ่งเป้านั้นมีหลายประเภท และแสดงผลกับผู้ป่วยแต่ละคนไม่เท่ากัน ในกรณีแม่ของหมอบัว ได้รักษาด้วยยามุ่งเป้าตัวแรก 13 เดือน แต่ก้อนมะเร็งกลับเริ่มใหญ่ขึ้น ทำให้ต้องเปลี่ยนเป็นยามุ่งเป้าตัวที่ 2 และใช้อยู่นาน 23 เดือน ถึง ต.ค. 2559 จนเมื่อเซลล์มะเร็งไม่ตอบสนองกับยามุ่งเป้าตัวนี้ จึงต้องตรวจชิ้นเนื้อที่ปอดอีกครั้ง เพื่อดูการเปลี่ยนแปลง และเมื่อพบว่ามีการกลายพันธุ์ในแบบที่ทานยามุ่งเป้าตัวที่ 3 ได้ จึงเป็นตัวเลือกรักษามาถึงปัจจุบัน
“จนปัจจุบัน โรคมะเร็งของคุณแม่นิ่งแล้ว ตอนนี้ก็เข้าสู่ปีที่ 10 ของการรักษาแล้วค่ะ” แต่ “ก้อน (มะเร็ง) จะหายไปสนิทไหม ไม่ล่ะค่ะ เมื่อเป็นระยะสี่ ก็ต้องยอมรับว่าโรคจะไม่หาย แต่สามารถควบคุมได้”
อายุน้อยแต่ป่วยมะเร็ง กับการยื้อชีวิตให้ยืนนาน
คนรักของ อ.นพ.กฤตไท บอกกับบีบีซีไทยว่า ตอนนี้ เขากำลังเข้ากระบวนการรักษา และพยายาม “ต่อสู้” อย่างเต็มที่ ทั้ง การรักษาด้วยรังสี การผ่าตัด ยากระตุ้นภูมิ เคมีบำบัด เป็นต้น
เมื่อได้รับทราบเรื่องราวและการต่อสู้โรคร้ายของแพทย์หนุ่มในเชียงใหม่ และเป็นโรคเดียวกับที่แม่ของเธอต่อสู้มายาวนาน, หมอบัว ชี้ว่า สังคมต้องยอมรับแล้วว่า การเจอคนอายุไม่มากเป็นมะเร็งปอด ถือเป็น “เรื่องที่พบได้” แม้มีอัตราเกิดไม่เท่ากลุ่มผู้สูงอายุ
อีกทั้ง การตรวจพบมะเร็งปอดในระยะท้าย ๆ แบบเฉียบพลัน ทั้งที่ตรวจสุขภาพทุกปี แบบกรณี อ.นพ.กฤตไท และคุณแม่นั้น เป็นสิ่งที่เข้าใจได้ เพราะ “การเอกซเรย์ทรวงอกทั่วไป อาจเห็นได้ไม่ชัดนัก”

ที่มาของภาพ, สู้สิแม่ ก็แค่มะเร็ง
“ปอดเป็นอวัยวะที่เหมือนพุ่มไม้ มีกิ่งมีใบ เวลาจะไปแหวกหาบางทีมันไม่เห็น อย่างลูกกอลฟ์วางอยู่บนสนามหญ้ามันเห็นชัด... แต่ลูกกอล์ฟตกลงไปในโพรงไม้ มันไม่เห็น”
แต่ไม่ใช่ว่า การตรวจสุขภาพประจำปีไม่สำคัญ แพทย์หญิงใน จ.อยุธยา ยืนกรานว่า ยังเป็นเรื่องจำเป็นสำหรับทุกคน แต่ที่เพิ่มเติม คือ การใส่ใจในสุขภาพ อาหารที่รับประทาน หมั่นออกกำลังกาย อยู่ในอากาศที่สะอาด และหมั่นสังเกตอาหารร่างกายของตัวเอง หากพบสิ่งผิดปกติ ควรรีบไปพบแพทย์
ที่สำคัญ คือ อย่าสิ้นหวังหากวินิจฉัยว่าเป็นโรคมะเร็งไม่ว่าจะระยะแรกหรือระยะสุดท้าย เพราะเทคโนโลยีทางการแพทย์ที่พัฒนาต่อเนื่อง ทำให้สถิติการมีชีวิตยืนยาวเกิน 5-10 ปี เพิ่มมากขึ้น
“สถิติแบบนี้ก็เป็นความหวังให้ผู้ป่วยมะเร็งเข้าสู่การรักษา” หมอบัว กล่าว พร้อมเสริมว่า แม้แต่การรักษาด้วยเคมีบำบัด ที่สื่อโทรทัศน์และภาพยนตร์มักผลิตซ้ำภาพผู้ป่วยที่ทุกข์ทรมานและผมร่วงนั้น ในปัจจุบัน สามารถลดอาการข้างเคียงของเคมีบำบัดได้ในระดับหนึ่ง
ชีวิตที่อยู่กับผู้ป่วย “มะเร็งระยะสุดท้าย”
ในฐานะแพทย์ หมอบัว มีอาชีพที่ต้องทำงานหนักเพื่อผู้ป่วย แต่ในฐานะบุตรสาว เธอพยายามแบ่งสรรเวลาเพื่อดูแลและเติมความสุขให้คุณแม่ที่เป็นผู้ป่วยโรคมะเร็งอย่างเต็มที่ตลอด 9 ปีที่ผ่านมา แม้การใช้ชีวิตจะเปลี่ยนไป และต้องมีวินัยกับหลายเรื่องมากขึ้น
ไม่ว่าจะเป็น การจัดตารางเวลาดูแลมารดา การใช้สิทธิลางานเพื่อพาแม่ไปโรงพยาบาล การเคร่งครัดเรื่องอาหารในแต่ละช่วงของการรักษา รวมถึงการทำกิจกรรมในครอบครัว และการพักผ่อนหย่อนใจนอกบ้าน
แต่ที่สำคัญกว่าการดูแลคุณแม่ที่ป่วย “ผู้ดูแลก็ต้องดูแลสุขภาพตัวเอง และไม่ทำให้ตัวเองทุกข์จนเกินไปด้วย”

ที่มาของภาพ, สู้สิแม่ ก็แค่มะเร็ง
“มีท้อแท้บ้าง งานก็หนัก กลับมาบ้านก็ดูแลแม่ แต่ชีวิตก็ยังต้องเดินต่อทุกด้าน... คุยกับเพื่อนฝูงบ้าง ประเมินตัวเองบ่อย ๆ ว่า ท้อแล้วยังไหวไหม ท้อแล้วพักไหม ท้อแล้วลืม ๆ มันไปได้ไหม”
หมอบัว ยอมรับว่า เส้นทางการดูแล รักษา และให้กำลังใจ ตลอดหลายปีมานี้ “ไม่ได้ราบเรียบ” การทานยาทุกวันต่อเนื่องเป็นเวลานาน ทำให้คุณแม่ “ท้อแท้และเบื่อ” ไม่นับผลข้างเคียงอื่น ๆ
แต่สิ่งที่ช่วยให้ก้าวผ่านอุปสรรคมาได้จนถึงทุกวันนี้ คือ “กำลังใจ” จากคนรอบข้าง คนรัก คนในครอบครัว เพื่อนร่วมงาน รวมถึงทีมแพทย์ที่ให้การรักษา
ส่วนคำพูดที่เธอมักใช้ให้กำลังใจแม่บ่อย ๆ เป็นคำกล่าวที่เรียบง่าย แต่สร้างพลังใจ อาทิ “สู้ ๆ แม่ ไม่เป็นไร” “ไม่เป็นไรหรอก เดี๋ยวมันก็ต้องแก้ไขได้” “ไปต่อได้สิ” เพื่อให้แม่รู้สึกว่า “อยากจะอยู่ดูโลกนี้ไปอีกนาน ๆ มันยังมีอะไรดี ๆ อีกเยอะแยะเลย และเพลิดเพลินกับการใช้ชีวิตประจำวันได้”
ดังนั้น หากเพจ “สู้ดิวะ” ของ อ.นพ.กฤตไท คือ การให้กำลังใจคนอื่น ๆ ให้ต่อสู้กับอุปสรรคที่ไม่คาดฝัน เพจ “สู้สิแม่ ก็แค่มะเร็ง” ของ ดร.พญ.ประกายทิพ คือ แรงผลักดันให้ผู้ป่วยโรคมะเร็งอย่าหมดหวัง และมีกำลังใจเข้าสู่การรักษา
“เพราะเส้นทางมันยาวไกล ก็ต้องเสริมสร้างกำลังใจให้กัน” หมอบัว ทิ้งท้าย































