'ජාත්යන්තරව පැතිර යා හැකි' ලිංගික අවයව ආක්රමණය කරන පරපෝෂිතයෝ

ඡායාරූප මූලාශ්රය, Getty Images
- Author, කේට් බෝවී
- Role, ගෝලීය සෞඛ්යය, බීබීසී ලෝක සේවය
- කියවීමේ කාලය: මිනිත්තු 5
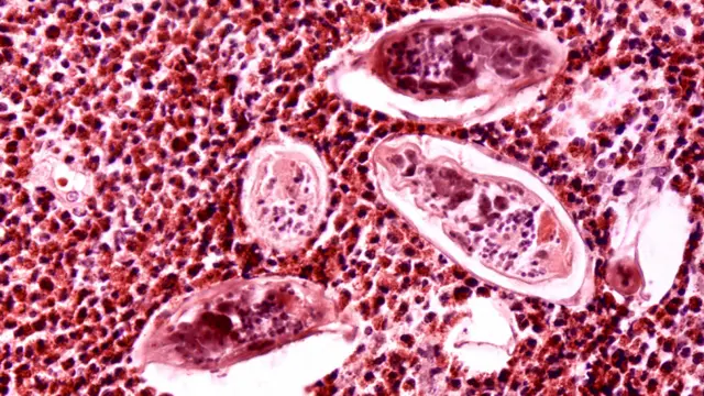
මෙම පරපෝෂිතයා සම හරහා ශරීරයට ඇතුළු වී රුධිරය තුළ සැඟව සිටියි. උන්ගේ බිත්තර අක්මාව, පෙනහලු සහ ලිංගික අවයව තුළ තැන්පත් වේ. වසර ගණනාවක් පුරාවට එය හඳුනාගත නොහැකිව පැවතීමේ හැකියාවක් ද පවතී.
නොසලකා හැර තිබෙන පරපෝෂිතයින් මගින් බෝ වන රෝගයක් වන snail fever පාලනය කිරීම වඩාත් දුෂ්කර වන මට්ටමකට පරිණාමය වෙමින් පවතින බවට විද්යාඥයින් අනතුරු අඟවයි.
සෑම වසරකදී ම මෙම රෝගයට ප්රතිකාර ලබන මිලියන 250කට ආසන්න පිරිසකගෙන් බහුතරය ජීවත් වන්නේ අප්රිකානු කලාපයේ වන අතර, ඊට හේතුව මෙම රෝගය පතුරුවා හරින පරපෝෂිත - වාහක ගොළුබෙල්ලන් එම කලාපයට ආවේණික වීම ය.
නමුත් චීනය, වෙනිසියුලාව සහ ඉන්දුනීසියාව ඇතුළු ලොව පුරා රටවල් 78ක පරපෝෂිත ආසාදනයන් වාර්තා වී ඇත.
පරපෝෂිතයා තුළ සිදුව ඇති වෙනසක් පර්යේෂණ මගින් හෙළි වීමෙන් අනතුරුව ලෝක සෞඛ්ය සංවිධානය පවසන්නේ, එය අප්රිකාවෙන් බැහැර වෙනත් කලාපවලට ද පැතිර යා හැකි බැවින් මෙය ගෝලීයව අවධානය යොමු විය යුතු තත්ත්වයක් බව ය.
ලෝක සෞඛ්ය සංවිධානය විසින් දරිද්රතාවයෙන් යුතු ප්රදේශවල ජීවත් වන බිලියනයකට අධික ජනතාවකට වැඩි වශයෙන් බලපාන වෛරස්, බැක්ටීරියා, පරපෝෂිතයන් සහ දිලීර නිසා ඇති වන තත්ත්වයන් ඉස්මතු කිරීම අරමුණු කර ගත් ලෝක නොසලකා හරින ලද නිවර්තන රෝග දිනය (World Neglected Tropical Diseases Day) සැමරීමට සමගාමීව මෙම අනතුරු ඇඟවීම නිකුත් කර ඇත.
Snail fever යනු කුමක් ද?
ගොළුබෙල්ලන් විසින් මුදා හරිනු ලබන කීටයන්ගෙන් පිරී ඇති ජලය මිනිසුන්ට හෝ සතුන්ට නිරාවරණය වූ විට Snail fever රෝගී තත්ත්වය හට ගනී. එම කීටයන් සම දිරාපත් කරන එන්සයිම මුදා හරින අතර පසුව එම කීටයෝ සම සිදුරු කරගෙන ශරීරයට ඇතුළු වෙයි.
අනතුරුව ඔවුහු සුහුඹුල් පණුවන් බවට වර්ධනය වෙමින් රුධිර නාල තුළ සිටින අතර පසුව ගැහැනු පරිපෝෂිතයෝ බිත්තර මුදා හරිති.
ඇතැම්විට මෙම බිත්තර මළපහ සහ මුත්රා මගින් ශරීරය හරහා ගමන් කරන නමුත් ඒවා පටකවල සිරවීමේ හැකියාවක් පවතී. මෙම බිත්තරවලට එරෙහිව ශරීරයේ ප්රතිශක්තිකරණ පද්ධතිය ප්රතිචාර දක්වන විට අවසානයේදී ඒ අවට පිහිටි නිරෝගී පටක විනාශ වී යාමෙන් එය අවයවවලට හානිදායක විය හැකි ය.
මෙම බිත්තර ශ්රෝණි ආශ්රිත අවයවවල සහ අවට ද තැන්පත් විය හැකි අතර, එම තත්ත්වය යූරෝජෙනිටල් ෂිස්ටොසොමියැසිස් (urogenital schistosomiasis) ලෙස හැඳින්වේ. මෙම රෝගී තත්ත්වය නිසා උදරයේ වේදනාව සහ පිළිකා ඇති විය හැකි අතර දරුණු අවස්ථාවලදී මරණයට ද හේතු විය හැක.
Snail fever පරපෝෂිත නාශක ඖෂධ මගින් සුව කළ හැකි අතර, කුඩා දරුවන්, කෘෂිකාර්මික සහ ධීවර කර්මාන්තයේ නියැලෙන පුද්ගලයින් වැනි අවදානම වැඩි කණ්ඩායම් අදාළ ඖෂධ වසර කිහිපයක් ගත වන තුරු ලබා ගත යුතු බවට ලෝක සෞඛ්ය සංවිධානය නිර්දේශ කරයි.
නමුත් මලාවි ලිවර්පූල් වෙල්කම් සායනික පර්යේෂණ වැඩසටහනේ සහකාර අධ්යක්ෂ මහාචාර්ය ජැනලීසා මුසායා වැනි විද්යාඥයින් පවසන්නේ, පරපෝෂිතයන්ගේ නව ආකාර කිහිපයක් වත්මන් වෛද්ය ක්රමවලින් හඳුනා ගැනීමට නොහැකි බව ය.
අයිස් කන්දක්
උණුසුම් පුවත්, විශ්ලේෂණ සහ විශේෂ විශේෂාංග ඔබේ දුරකතනය වෙත ඍජුව ම ලබා ගන්න.
සම්බන්ධ වීමට link එක click කරන්න
End of podcast promotion
කලාපීය ලෙස මෙම රෝගය අඛණ්ඩව පැවතීමට හේතුව කුමක් ද? පර්යේෂණ මගින් අනාවරණ කරන්නේ මනුෂ්යයන්ට සහ සත්වයන්ට අයත් පරපෝෂිත වර්ග එකිනෙකා සමග සංසර්ගයේ නිරත වීමෙන් නව දෙමුහුන් ප්රභේද බිහි වෙමින් පවතින බව ය.
මෙම දෙමුහුන් ප්රභේද මිනිසුන්ට සහ සතුන්ට ආසාදනය විය හැකි අතර එමගින් සම්ප්රේෂණය පාලනය කිරීම දුෂ්කර වේ.
පරපෝෂිතයාගේ විවිධ සත්ව සහ මානව ප්රභේදයන් එකිනෙකා සමග සම්බන්ධ වී අභිජනනය සිදු වන බවට විද්යාඥයින් මේ වන විටත් අවබෝධයෙන් සිටිය ද, මෙම දෙමුහුන් බිත්තර ඔවුන්ගේ ධාරක ශරීරවලින් පිටත සාර්ථකව රැඳී සිට පැටවුන් බිහි වී නොනැසී පවතින්නේ ද? යන්න ඔවුන්ට නිශ්චිත වී නැත.
මෙය සිදුවෙමින් පවතින බව සනාථ කිරීමට, ඔවුහු මලාවි රටේ තෝරා ගත් ජන කොටස්වල ජනතාවගෙන් සහ සතුන්ගෙන් නියැදි ලබා ගත්හ.
පරීක්ෂා කළ පරපෝෂිතයන්ගෙන් 7%ක් විකෘති දෙමුහුන් බව ඔවුන් සොයා ගත් අතර, එය ඔවුන් අපේක්ෂා කළ ප්රමාණයට වඩා බොහෝ සෙයින් ඉහළ ප්රතිශතයකි.
මෙයින් අදහස් වන්නේ මෙම විකෘති පරපෝෂිතයින් සාර්ථකව වැඩි වෙමින් පවතින අතර, අවසානයේදී ව්යාප්ත වනු ඇති බව ය.
"ස්වභාවධර්මය තුළ සම්ප්රේෂණය දිගට ම සිදුවෙමින් පවතිනවා නම්, එය ඉතා විශාල ව්යාප්තියක්," මුසායා බීබීසීයට පැවසීය.
විශේෂයෙන් ම පරීක්ෂණ මගින් සෑම අවස්ථාවකදී ම මෙය හඳුනාගත නොහැකි වීම හේතුවෙන් ඇයගේ කණ්ඩායම විශේෂිත ප්රදේශ කිහිපයක පමණක් පරීක්ෂණ සිදු කළ නිසා, මෙය කුඩා කොටසක් පමණක් විය හැකි බව ඇය අනතුරු අඟවයි.
අනාගතයේදී, මෙම පරපෝෂිතයන් මුල් පරපෝෂිත වර්ගවලට වඩා ප්රබලව පැතිරී ඒවා පරාජය කළ හැකි බවට ද මුසායා අනතුරු අඟවයි.
මෙම දෙමුහුන් පරපෝෂිතයින් ආසාදනය වී සිටින රෝගීන් කළමනාකරණය කරන්නේ කෙසේ දැයි වෛද්යවරුන් තවමත් නොදන්නා බැවින් මෙය විශාල ගැටලුවක් විය හැකි බව ඇය පවසයි.
"මෙය ප්රතිපත්ති තීරණ ගන්නා අයට අපෙන් කරන ආයාචනයක්. 'අවදි වෙන්න… මේ පරපෝෂිතයින් විශාල ගැටලුවක් වීමට පෙර අපිට ඉක්මනින් යමක් කරන්න පුළුවන් ද?'" යැයි ඇය අසයි.
ලිංගික ආසාදන පරීක්ෂණවලදී මග හැරීම
මෙම අධ්යයනයෙන් හෙළි වූයේ, මෙම දෙමුහුන් පරපෝෂිතයින් මිනිසුන්ගේ ලිංගික අවයවවලට ද ආසාදනය වන බව ය. එහෙත්, දෙමුහුන් snail fever ආසාදිත රෝගීන් හඳුනා ගැනීම අපහසු වන අතර, ඊට හේතුව වන්නේ ඔවුන්ගේ බිත්තර අන්වීක්ෂයකින් බැලූ විට සාමාන්ය පරපෝෂිත බිත්තර ලෙස නොපෙනෙන බැවිනි.
සෞඛ්ය සේවකයන් මෙම රෝග ලක්ෂණ ලිංගිකව සම්ප්රේෂණය වන රෝගයක් ලෙස වැරදි ලෙස තේරුම් ගත හැක.
ප්රතිකාර කිරීම අතහැර දැමුවහොත්, urogenital schistosomiasis රෝගය, ලිංගික ප්රදේශවල හට ගන්නා තුවාල, වඳභාවය සහ HIV අවදානම වැඩි කිරීමට හේතු විය හැක.
කාන්තාවන් සඳහා, මෙහි සායනික, සමාජීය සහ පශ්චාත් ප්රජනන බලපෑම් වඩාත් දරුණු ලෙස සැලකේ.
"කාන්තාවකට දරුවන් බිහිකිරීමට නොහැකි වුණොත් කොහොම ද කියලා හිතන්න… අපගේ දේශීය සංස්කෘතිය තුළ දරුවෙකු ලැබීම ඉතා වැදගත් දෙයක්. ඒ නිසා මිනිසුන් ඔබට එක එක නම් කියන්න පටන්ගනීවි. මේක ඇත්තට ම ඉතා නරක දුක්ඛදායක රෝගයක්," මුසායා පවසයි.
දුෂ්කරතා මැද අත්කර ගත් ප්රගතිය
දෙමුහුන් පරපෝෂිත රෝගය වෙනත් කලාපවලට පැතිර යා හැකි බව විද්යාඥයින් සොයාගෙන ඇත.
දේශගුණික විපර්යාස, සංචාරකයින් සහ සංක්රමණය යන සියල්ල snail fever ව්යාප්තියට හේතු විය හැකි අතර, දෙමුහුන් තත්ත්වය නිසා මෙය පාලනය කිරීම දුෂ්කර වී තිබේ. යුරෝපයේ දකුණුදිග ඇතැම් ප්රදේශවල දෙමුහුන් ප්රභේද පැතිරීම් දැනටමත් වාර්තා වී ඇත.
"මෙය ගෝලීය ගැටලුවක්,'' ලෝක සෞඛ්ය සංවිධානයේ schistosomiasis පාලන වැඩසටහනට නායකත්වය දෙන වෛද්ය අමාඩූ ගාර්බා ජිර්මායි පවසයි.
මෙම තත්ත්වය රෝගය සම්පූර්ණයෙන් නැති කිරීම සඳහා ඇති ඉලක්කවලට බලපානු ඇතැයි ජාත්යන්තර සෞඛ්ය සංවිධානය කනස්සල්ල පළ කරයි.
"මිනිසුන් තුළ සම්ප්රේෂණයක් නොමැති රටවල් අපට වාර්තා වෙලා තිබෙනවා. නමුත් පරපෝෂිතයා සතුන් තුළ සිටිනවා, ඒක මිනිසුන්ට අවදානමක් වෙන්න පුළුවන්," ඔහු පවසයි.
මෙම නව තර්ජනයට මුහුණ දීමට ලෝක සෞඛ්ය සංවිධානය සිය ප්රවේශය වෙනස් කරමින් සිටියි. මේ වසරේදී සතුන් තුළ ඇති රෝගය පාලනය කිරීම පිළිබඳ නව මාර්ගෝපදේශ නිකුත් කිරීමට සැලසුම් කර ඇති අතර, දෙමුහුන් පරපෝෂිතයින් පිළිබඳව අවධානයෙන් සිටින ලෙස සියලු රටවලට ජාත්යන්තර මට්ටමේ අනතුරු ඇඟවීම් දැනටමත් යොමු කර ඇත.
මහා පරිමාණ පරපෝෂිත මර්දන වෛද්ය වැඩසටහන් හේතුවෙන් 2006 සහ 2024 අතර කාලය තුළ snail fever රෝගීන් වාර්තාවීම 60%කින් පහත වැටිණි.
එහෙත්, මෙම ප්රගතිය පවත්වාගෙන යාම සඳහා දිගුකාලීන මුදල් ආධාර අත්යවශ්ය වන අතර, 2018 සිට 2023 දක්වා කාලය තුළ නොසලකා හරින ලද නිවර්තන රෝග සඳහා වන ආධාර 41%කින් අඩු වී ඇති බව ලෝක සෞඛ්ය සංවිධානය පවසයි.
රෝගය මුලින් උපුටා දැමිය හැකි බවට වන බලාපොරොත්තුව මුසායා අතහැර නොමැත.
"අපට මේක සම්පූර්ණයෙන් ම තුරන් කර දමන්න පුළුවන්. නමුත් මේක එක් පුද්ගලයෙකුට විතරක් කරන්න පුළුවන් දෙයක් නෙමෙයි… අපි නම් ක්රියාශීලීව ඉදිරියට යනවා. 'අපට මේ ගැටලුව තියෙනවා, අපි කියන්නේ ඒක දැන් ම විසඳමු කියලා''


































