 |  |  |  |   |  |  |  |  |  |   | Tom Nunn can often be found ripping up random skateparks around Scotland. He's also an Orthopaedic surgeon, so we thought it'd be good to ask him a few questions about riding and skating and injuries etc:
Intro: Tom Nunn, 28, graduated from medical school five years ago and am working in Orthopaedic and trauma surgery.
How did you get into this side of medicine/surgery? During your basic surgical training you get exposed to a variety of different surgical sub-specialties. Orthopaedics just really appealed to me, though I'm sure the guys who taught me had a huge amount to do with that. I've been very lucky. I remember looking at those guys at work and thinking: 'Yes, I really could see myself doing that for the rest of my life'.
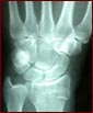
What are the most common skating injuries? Probably wrist injuries for skaters, I would have thought. When you fall, you automatically put out your hands to protect yourself, and as a result they tend to take most of the force. Ankles are pretty common as well, for riders and skaters, it's the same as before when you come off and land on your feet.
How important is it to stretch/warm up before riding/skating? Very. I don't think its something you think about when your younger because you feel pretty invincible, but it is of major importance to prevent injuries etc. You wouldn't see Henrik Larson going out on the pitch without a damn good warm-up, would you!
Does that mean you're a Celtic supporter? I'm actually an Arsenal supporter (come on the Gunners!), should I have used Thierry Henry as an example instead?
You should be ashamed of yourself! Have you ever hurt yourself through riding? About five years ago we were riding dirt out at the beloved, but long since forgotten Bing Trails in Lenzie. I came off straight over the bars and fell about seven or eight foot, straight onto my shoulder. Ask Grant Smith what my face was like - I think he thought I had killed myself. Fortunately I'd only subluxed my acromio-clavicular joint, and just couldn't ride for a couple of months.
Eh? The AC joint is that bit where your collar bone meets your shoulder. To 'sublux' just means 'to sprain or dislocate slightly.'
|  |  |  |
| |  

|
|